Chapter 29
Cytopathology
Denise D.S. De Frias and Ritu Nayar
Main Menu   Table Of Contents

Search

Denise D.S. De Frias, MD, FIAC
Professor of Pathology and Obstetrics and Gynecology, Northwestern University; Director of Cytology, Northwestern Memorial Hospital, Chicago, Illinois (Vol 1, Chap 29)

Ritu Nayar, MD, MIAC
Assistant Professor of Pathology; Director of Cytopathology, Northwestern Memorial Hospital, Northwestern University, Chicago, Illinois (Vol 1, Chap 26)

 
CERVICOVAGINAL CYTOLOGY
SAMPLING TECHNIQUES
BETHESDA 2001 SYSTEM TERMINOLOGY
PERITONEAL WASHINGS
FINE-NEEDLE ASPIRATION OF THE OVARY
REFERENCES

CERVICOVAGINAL CYTOLOGY

Cytologic examination of the exfoliative material of the cervicovaginal area of the female genital tract has had a tremendous impact in limiting the development of invasive squamous carcinoma of the uterine cervix. In 1943, George Papanicolaou at Cornell University Medical College laboratories initiated a program that would become valuable as a screening test in the United States and abroad.1,2 At that time, Papanicolaou developed a numeric classification from Class I to Class V, which indicated the absence of atypical or abnormal cells (Class I); atypical cells but no evidence of malignancy (Class II); cells suggestive of, but not conclusive for malignancy (Class III); cells strongly suggestive of malignancy (Class IV); and unquestionable evidence of malignancy (Class V). With the development and refinement of cytologic diagnosis, many believed that the Papanicolaou classification was not adequate because it did not clearly identify the nature of the lesion.3 Several modifications to the original classes were introduced and were used without the uniformity necessary for reporting abnormalities found in the uterine cervix. In 1953, Reagan and colleagues3 introduced the term dysplasia to refer to preneoplastic abnormalities of squamous cells. This classification was further subdivided into mild, moderate, and severe, indicating the variable degrees of severity of the atypical process. The advantage of this reporting system was the possibility of using it for cytologic as well as histologic samples. In 1966, Richart4 introduced the term cervical intraepithelial neoplasia (CIN), which was subdivided into grades I, II, and III, and that could also be used for grading both cytologic and histologic samples.

In 1988, a new classification, The Bethesda System (TBS), was developed by a consensus opinion at a workshop held at the National Cancer Institute in Bethesda, Maryland. The goal of TBS was to provide uniformity in the interpretation and reporting of cytologic material obtained from the cervix and vagina and thus facilitate communication between the laboratory and the clinician. TBS nomenclature requires a statement of adequacy and a descriptive diagnosis. Its nomenclature reflects the current understanding of benign, preneoplastic, and neoplastic processes of the female genital tract, with equivalents in diagnostic histopathologic terminology.5 In 1991, a second workshop was held to evaluate the impact of TBS in actual practice and to modify it where necessary. One of the major recommendations of this second meeting was that precise criteria be formulated for both the diagnostic terms and the descriptors of specimen adequacy.6 After the successful incorporation of TBS 1991 into practice, more than 90% of U.S. laboratories used some form of TBS in reporting cervicovaginal cytology.7 With the change in practice to increased utilization of new technologies and findings from research studies in subsequent years, the Bethesda 2001 workshop was convened to re-evaluate the TBS. After a preconference Internet bulletin board process of input and a 3-day workshop that included input from pathologists, cytotechnologists, gynecologists, family practitioners, epidemiologists, attorneys, public health physicians, and patient advocates, Bethesda 2001 was developed by a consensus process.8 In the revised 2001 TBS, smears without epithelial abnormalities, including those reported previously as benign cellular changes and reactive changes are classified as no intraepithelial lesion/malignancy, epithelial neoplastic processes are reported as squamous or glandular, and other nonneoplastic findings are reported descriptively (Table 1).8 Guidelines for reporting ancillary tests, computerized screening, and educational notes and recommendations for follow-up are also included. It is left up to individual laboratories to incorporate these guidelines as best suited to their practices.

 

TABLE 1. Bethesda System 2001

  Specimen type:

  Indicate conventional smear (Pap smear) vs. liquid-based vs. other


   Specimen adequacy

  Satisfactory for evaluation (describe presence or absence of endocervical/transformation zone component and any other quality indicators e.g., partially obscuring blood, inflammation, etc.)


  Unsatisfactory for evaluation… (specify reason)

  Specimen rejected/not processed (specify reason)
  Specimen processed and examined, but unsatisfactory for evaluation of epithelial abnormality because of (specify reason)



General categorization (optional)

  Negative for Intraepithelial Lesion or Malignancy
  Epithelial Cell Abnormality: See Interpretation/Result (specify ‘squamous’ or ‘glandular’ as appropriate)
  Other: See Interpretation/Result (e.g., endometrial cells in a woman 40 years of age)

Automated review
  If case examined by automated device, specify device and result.

Ancillary testing

  Provide a brief description of the test methods and report the result so that it is easily understood by the clinician.

Interpretation/Result
  Negative for intraepithelial lesion or malignancy (when there is no cellular evidence of neoplasia, state this in the General Categorization above and/or in the Interpretation/Result section of the report, whether or not there are organisms or other nonneoplastic findings)

  ORGANISMS:

  Trichomonas vaginalis
  Fungal organisms morphologically consistent with Candida species
  Shift in flora suggestive of bacterial vaginosis
  Bacteria morphologically consistent with Actinomyces species
  Cellular changes consistent with herpes simplex virus



  Other nonneoplastic findings (Optional to report; list not inclusive):

  Reactive cellular changes associated with

  inflammation (includes typical repair)
  radiation
  intrauterine contraceptive device (IUD)


  Glandular cells status posthysterectomy
  Atrophy


  Other

  Endometrial cells (in a woman > 40 years of age) (Specify if negative for squamous intraepithelial lesion)


  Epithelial cell abnormalities
  Squamous cell

  Atypical squamous cells of undetermined significance (ASC-US) cannot exclude HSIL (ASC-H)
  Low-grade squamous intraepithelial lesion (LSIL) encompassing: human papilloma virus (HPV)/mild dysplasia/CIN I
  High-grade squamous intraepithelial lesion (HSIL) encom-passing: moderate and severe dysplasia, CIS/CIN II and CIN III with features suspicious for invasion (if invasion is suspected)


  Squamous cell carcinoma
  GLANDULAR CELL

  Atypical

  endocervical cells (not otherwise specified [NOS] or specify in comments)
  endometrial cells (NOS or specify in comments)
  glandular cells (NOS or specify in comments)


  Atypical

  endocervical cells, favor neoplastic
  glandular cells, favor neoplastic


  Endocervical adenocarcinoma in situ
  Adenocarcinoma

  endocervical
  endometrial
  extrauterine
  NOS



  Other malignant neoplasms: (specify)
  Educational notes and suggestions (optional)

  Suggestions should be concise and consistent with clinical follow-up guidelines published by professional organizations (references to relevant publications may be included).



Solomon D, Davey D, Kurman R, et al: The 2001 Bethesda System: Terminology for reporting results of cervical cytology. JAMA 28721:2114, 2002.

 

 

To a certain extent, there is correlation among all of the classifications when they are compared (Table 2). TBS 2001 includes normal, inflammatory, and reactive changes as within the no intraepithelial lesion category. TBS divides squamous intraepithelial neoplasia into two groups: low-grade squamous intraepithelial lesions (LSIL) and high-grade squamous intraepithelial lesions (HSILL. LSIL refers to mild dysplasia and condyloma acuminata (human papilloma virus [HPV]), and HSIL refers to moderate and severe dysplasia as well as carcinoma in situ (CIS). Papanicolaou Class I correlates with benign findings and Class II indicates a benign or reactive process (negative in all classifications). Classes III, IV, and V are not as easily correlated with the other classifications. In Reagan’s classification, CIN II refers to moderate dysplasia but is considered a HSIL in the TBS, and CIN III correlates with severe dysplasia and CIS and also is classified as HSIL in the TBS.

 

TABLE 2. Reporting Classifications


System

Classification

Papanicolaou

Class I

Class II

Class III, IV

Class V

Reagan

Normal

Reactive

Dysplasia

Invasive

  

Inflammatory

Carcinoma in situ

Invasive

Richart

Normal

Reactive

Cervical intraepithelial

 
  

Inflammatory

neoplasia I, II, III

 
   

Carcinoma in situ

 

Bethesda

No intraepithelial lesion (Normal, inflammatory, benign cellular changes, reactive)

Low-grade squamous intraepithelial lesion, condyloma/HPV

Invasive

   

High-grade squamousintraepithelial lesion, Carcinoma in situ

 

 

Back to Top
SAMPLING TECHNIQUES

The accuracy of the Papanicolaou smear depends largely on obtaining an adequate cellular sample for examination. Several techniques can be used to obtain adequate samples of the uterine cervix, vagina, endocervix, and endometrial cavities.9 The adequacy depends not only or evenly primarily on the device that is used, but also on the technique of the individual taking the specimen.

The most commonly used and accepted techniques are an ectocervical scraping with the Ayre spatula, and endocervical brushing for endocervical canal and transformation zone sampling. The endocervical brush should be introduced gently into the canal and rotated with a gentle movement of 180 degrees. If the brush is inserted with force and with a harsh back-and-forth movement, the smear obtained will be composed mainly of blood, distorted endocervical cells showing marked pulling artifact, and muscle fibers, and the material will be inadequate for evaluation. The modified Ayre spatula with an extended tip was developed to obtain a sample from the endocervix, but it is now recognized that other instruments are superior to the spatula alone in reliably obtaining a sample that contains material from the transformation zone. More recently the endocervical broom was introduced, which can be used alone or in combination with other devices. Guidelines for taking an adequate conventional cervicovaginal smear are available.10

Liquid-based methods are currently used by many physicians to collect and preserve the material collected from the cervix and vagina. Cytyc Corporation (ThinPrep System) and Tripath imaging (SurePath)are the two vendors currently offering Food and Drug Administraton (FDA)-approved liquid-based technology for cervicovaginal specimens. Liquid-based preparations may decrease preanalytic errors by fixating the sample more rapidly (preventing air drying and better preservation), decreasing artifacts and obscuring cells, such as mucus, cellular debris and red blood cells (RBCs)/white blood cells [WBCs], and homogeneously mixing the sample. There are data to suggest that utilization of liquid based technology can increase the sensitivity for detection of preneoplastic/neoplastic lesions of the cervix,11,12,13,14,15 however, regular screening remains the most effective means of cancer prevention.

Hormonal evaluation was previously performed using a gentle scrape of the upper lateral vaginal wall, but this method has now fallen in to disuse because of the availability of more sophisticated laboratory methods. However, if an abnormality is encountered on the cervicovaginal smear, in relation to the patient’s age and menstrual history, a maturation index can be issued or a comment made regarding the maturation pattern being inconsistent with age and menstrual history.

Several techniques have been developed to sample the endometrial cavity for cytologic evaluation.16 Direct sampling of the endometrium for cytologic detection of neoplasia is performed by a limited number of physicians in the United States. Endocervical aspiration with a glass cannula and rubber bulb was advocated in the past for sampling the uterine cavity, but this method is not used by most gynecologists.9

Handling of Specimens

Proper preservation of cell detail is essential for accurate interpretation. Thus, cervical and vaginal samples should be smeared rapidly but gently on the glass slide to avoid drying the cells, which may cause marked artifacts that can preclude an adequate cytologic evaluation. Rapid immersion of the smear in 95% ethanol is the method of choice. Other alternatives for wet fixation include 100% methanol, 80% isopropanol, or denatured ethyl alcohol. When wet fixation is not possible, the most commonly used alternative method is spray fixation. The nonaerosol or pump method is preferable over the aerosol spray fixatives.

The newer thin-layer, liquid-based methods do not require smear preparation by the clinician. The cell sample is directly placed in the liquid preservative per the manufacturer’s instructions or per package insert and the thin-layer slide is prepared in the laboratory. In addition to making a thin-layer slide for cytologic assessment, the material from the vial can also be sent for ancillary testing such as HPV typing, and Chlamydia and Niesseria gonorrhea.

Cervicovaginal smears should ideally be obtained at midcycle to avoid the presence of large amounts of blood that can obscure the morphologic features of the epithelial cells. However, in some instances, bloody smears are unavoidable, and hemolysis of red blood cells can be achieved with a simple technique. The smears can be air dried for approximately 15 minutes, rehydrated in saline solution for 15 to 30 seconds, and fixed in 95% alcohol. Papanicolaou staining would proceed in the usual manner. Once the smears are air dried, they should be delivered at once to the cytology laboratory. The technical staff should be advised that the slides should be hydrated for 30 seconds before staining is performed, however, this technique is not useful if there is too much mucus.17 This problem is to a some degree taken care of in liquid-based collections.

Specimen Adequacy

TBS 2001 terminology for reporting results of cervical cytology made substantial changes in specimen adequacy terminology and categorization.8 TBS 2001 has two adequacy categories: “satisfactory for evaluation” and “unsatisfactory for evaluation” (see Table 1). The “satisfactory but limited by” category was eliminated. The presence or absence of endocervical/transformation zone component and any other quality indicators are provided immediately after the term “satisfactory for evaluation.” The unsatisfactory report includes reasons for the unsatisfactory designation. Criteria for adequacy evaluation on conventional and liquid based smears have been provided by the 2001 TBS guidelines.8 The evaluation of adequacy, is considered by many to be the single most important quality assurance component of TBS8 and adequacy is considered in management guidelines.18

SATISFACTORY SMEARS.

An adequate conventional smear should have a minimum of approximately 8000 to 12,000 well-preserved and well-visualized squamous epithelial cells. For liquid based preparations, an estimated minimum of 5000 well-visualized/well-preserved squamous epithelial cells should be seen.

While the terminology “satisfactory but limited by…” has been removed from TBS 2001, the laboratory has the option to add quality indicators (presence/absence of endocervical component, other obscuring factors, etc.) to the adequacy statement. At least 10 well-preserved endocervical or squamous metaplastic cells should be observed to report that a transformation zone component is present.

UNSATISFACTORY SMEARS.

For unsatisfactory specimens, the report should indicate whether or not the sample has been processed/evaluated by the laboratory. The wording suggested by TBS 2001 is as follows8:

  1. Specimen rejected/not processed because ___(specimen not labeled, slide broken, etc.)
  2. Specimen processed and examined, but unsatisfactory for evaluation of epithelial abnormality because of ___(obscuring blood, etc.)

Additional comments/recommendations can be included in the report as deemed appropriate.

An abundance of intact or hemolyzed blood, bacteria, and RBCs can obscure the diagnostic epithelial sample, precluding adequate cytologic evaluation.19 Other causes of inadequate specimens are the presence of few epithelial cells, the presence only of endocervical cells when the ectocervix was sampled,20 and the presence of significant degenerative changes. An unsatisfactory smear is considered to be unreliable for the evaluation of epithelial cell abnormalities; however, smears that are processed and evaluated by the laboratory may provide information such as presence of blood, inflammation, organisms, etc., which may be of some clinical importance. A longitudinal study21 found that unsatisfactory cervicovaginal smears were more commonly obtained from high-risk patients, and had significantly more SIL/cancer on follow-up compared to a cohort of patients with satisfactory index smears. Both the laboratory and clinician should monitor the number of unsatisfactory smears as a quality assurance measure.

The preferred management for most women undergoing routine annual/biennial screening is a repeat smear in 12 months.22 In some studies,19,20 the proportion of abnormal smears has been reported to be higher in slides containing endocervical cells compared to slides lacking cells from the endocervical canal. Guidelines are available to suggest which patients may benefit from an early (within 6 months) repeat smear.22 The preferred management for most women with an unsatisfactory cervicovaginal smear result is a repeat smear, generally within a short interval of 2 to 4 months.22 If the unsatisfactory result is the result of obscuring inflammation and an organism is identified, specific treatment should be considered prior to repeating the smear. In cases where the smear is repeatedly unsatisfactory because of obscuring blood, inflammation, or necrosis, additional clinical evaluation such as colposcopy and/or biopsies are suggested, as clinically appropriate.22

Back to Top
BETHESDA 2001 SYSTEM TERMINOLOGY

General Categorization

This is an optional component of TBS 2001.8 It was designed to assist clinicians and/or their staff to triage cervical smear reports adequately and includes:

  1. No intraepithelial lesion/malignancy: encompasses the previous TBS 1991 categories of “within normal limits” and “benign cellular change/organisms” and “reactive cellular change.” These cytologic changes can be described under this category as “nonneoplastic findings.”
  2. Epithelial cell abnormalities: further specified as squamous, glandular or extrauterine/other.
  3. Other: this was added as a category for cases in which there are no cytologic abnormalities per se in the cells, however the finding may indicate some risk of a preneoplastic or neoplastic condition (e.g., endometrial cells in a woman >40 years of age).

These three general categories are mutually exclusive; thus, if several findings are present, the general categorization should be based on the most clinically significant result.8

Interpretation/Result

The unanimous opinion at the 2001 Bethesda workshop was that cervical cytology is primarily a screening test, which in certain instances may serve as a medical consultation, by providing an interpretation/result that contributes to a diagnosis.8 Because an individual patient’s final diagnosis and subsequent management, should integrate the clinical and laboratory results, in TBS 2001, the term “diagnosis” has been replaced by “interpretation” or “result.”8

Nonneoplastic Changes

Reporting of certain organisms (Trichomonas, fungi (yeast), shift in flora, Actinomyces, Herpes) is done by most laboratories; however reporting of other non-neoplastic findings is variable, and optional under TBS 2001 guidelines.8

ORGANISMS.

The vaginal flora is composed of multiple microorganisms. The most common are Lactobacillus vaginalis, Streptococcus viridans, and Staphylococcus epidermidis. They thrive in an environment in which balance is established by hormones as well as physical influences, such as intrauterine devices. Occasionally, intrauterine devices influence the balance of the vaginal flora, causing symptoms and infection with actinomyces.23

Changes caused by inflammation include metaplasia, surface reactions, such as hyperkeratosis and parakeratosis, and reparative processes.23 Frequently, the nuclei of the epithelial cells show enlargement, but the chromatin is fine, and cytoplasmic changes are variable (Fig. 1). In other instances, degenerative changes occur.23 The background may show numerous polymorphonuclear leukocytes and debris, a large number of bacterial forms, and histiocytes. When this exudate obscures the surface of the epithelial cells, it is advisable to treat the infection and repeat the smears because dysplastic or malignant cells may be hiding beneath the white blood cells, bacteria, and debris. Nonspecific vaginitis is commonly seen in patients harboring flora such as mixed bacteria or coccobacilli. Occasionally, cells show inflammatory changes in a background of rod bacteria that appear to be Döderlein’s bacilli. These bacteria belong to a heterogeneous group of organisms, and they morphologically resemble other microorganisms that may cause inflammatory changes in the epithelial cells. The presence of some polymorphonuclear leucocytes by itself is not an indication of inflammation, reactive changes in the epithelial cells are necessary.

Fig. 1. Clue cell showing slight enlargement of nuclei with dense cytoplasm covered by coccobacilli forms.(Papanicolaou, × 900).

Bacteria.

Gardnerella vaginalis, mobilincus, and other anaerobic bacteria (bacterial vaginosis) may be found in asymptomatic women (40% to 50% of patients), and other women may develop leukorrhea and an inflamed vaginal mucosa (see Fig. 1).23 Smears show cells covered by bacteria, so called clue cells, against a background of feathery cocobacillary forms (see Fig. 1).

Actinomyces species occur frequently in association with intrauterine device usage. Less frequently, the use of a pessary, tampons, or any type of foreign body left in place for long periods in the cervicovaginal area may elicit infection with this bacteria. Pelvic infection may occur in some patients. In Papanicolaou-stained smears, filamentous bacteria are seen, usually in clumps as well as single forms.

Chlamydia trachomatis infection is seen in cervicovaginal smears as cytoplasmic bacterial inclusions (Fig. 2). The false-positive rate is high for morphologic diagnosis, and mucus secretion in immature metaplastic cells, phagocytosed debris, and degenerative changes may be the source of erroneous diagnosis of C. trachomatis infection. Because the distinction between these entities is impossible on a morphologic basis alone, more specific microbiologic assays (polymerase chain reaction [PCR], enzyme immunoassay [EIA]) are now used for identification of chlamydia. The FDA recently approved testing for chlamydia out of the liquid-based collection devices.

Fig. 2. Squamous cell showing numerous intracytoplasmic bacterial forms consistent with Chlamydia trachomatis infection.(Papanicolaou, × 1200).

Fungi (yeast).

Candida albicans is the most common fungus found in the cervicovaginal smear (Fig. 3). Yeast forms as well as pseudohyphae are commonly encountered. Diabetes, pregnancy, birth control pills, and antibiotic use may change the vaginal flora, and predispose patients to infection by this fungal agent. Fewer than 10% of mycotic vaginal infections are caused by another Candida species, Torulopsis glabrata, which is morphologically similar to the yeast form of C. albicans.

Fig. 3. Pseudohyphae of Candida albicans intermixed with filamentous bacteria.(Papanicolaou, × 900).

Flagellates.

Trichomonas vaginalis infection may cause changes that range from minimal to severe. Fifty percent of infected women are asymptomatic.23 The classic signs of inflammation are present in the epithelial cells and also in the background of the smears that contain variable amounts of debris and WBCs. Small perinuclear halos may be seen in the squamous cells, but this finding is not pathognomonic of this infectious process. The organisms are seen as pear-shaped structures with a punctate, almond-shaped nucleus. Flagella rarely are seen in smears prepared with the Papanicolaou technique. Without the presence of nuclei, a diagnosis of T. vaginalis cannot be made because fragments of cytoplasm of the intermediate squamous cells may resemble these flagellates. Leptothrix (Leptotrichia buccalis) are filamentous bacteria that frequently are associated with T. vaginalis (70% to 80% of cases) (Fig. 3). Certain forms of Döderlein’s bacilli are morphologically identical to Leptotrichia, and only by culture can they be identified adequately.

Viruses.

The most common viral infections encountered in cervicovaginal smears are caused by Herpes genitalis and papillomaviruses. Herpes genitalis infection occurs primarily by sexual transmission. Clinically symptomatic eruptions may occur. Usually, they are related to stress, the menstrual period, or unrelated diseases. Cytologically, the epithelial cells show multinucleation, the chromatin assumes a ground-glass appearance, and intranuclear inclusions may appear in some cells.

Over the years, there have been several reports in the literature suggesting that microorganisms that induce changes in the cervical epithelium, may be a potentiating cause for the development of cervical neoplasia. Trichomonas vaginalis,24 Chlamydia trachomatis,25 and Herpes genitalis26,27 cause inflammatory changes that not infrequently associated with SIL and may produce fertile ground for the development of preneoplastic and neoplastic squamous lesions. Immunosuppression may be a setting for viral infection, such as HPV and herpes simplex, and also for the development of neoplasia.28 However, it was not until the 1970s that the tools of modern molecular biology were applied to the molecular characterization of the papillomavirus family that HPV,29 with more than 100 molecular types, emerged as the major player in the etiology of cervical neoplasia.

BENIGN/REACTIVE CHANGES.

Inflammation and Regenerative Changes.

A common finding in cervicovaginal smears is reparative change as a result of a variety of processes30,31 that may involve the glandular, metaplastic, and squamous epithelium. These changes are seen after damage to the mucosa and after radiation, chemotherapy, infections, or any condition that alters the tissue integrity. Inflammation of the squamous epithelium can be seen in cells of metaplastic or mature squamous origin. When a reparative process is present, monolayers of cells are seen with enlarged nuclei and nucleoli, variable chromatin content, and delicate cytoplasm with ill-defined borders. Isolated atypical cells of a reparative nature are rare. The cytologic features include enlargement of the nuclei without relative increase in chromatin content. The cytoplasm may acquire increased thickness, with a variable staining quality (Fig. 4). Inflammatory changes in epithelial cells are differentiated from dysplasias and carcinomas by the relative low content of chromatin, symmetrical nuclear outline, and low nuclear-cytoplasmic ratio. The cytoplasm may be thickened and the nuclei and nucleoli enlarged; however, the chromatin is powdery and distributed regularly (Fig. 4). When inflammatory/reparative changes cause epithelial atypia, in either squamous or endocervical cells, the changes maybe classified as atypical squamous cells (ASC) or atypical glandular cells (ACG). Follow-up is needed in these cases to make sure the atypia has regressed.

Fig. 4. Reparative process with inflammatory changes. The cells are arranged in monolayers and contain enlarged nucleoli.(Papanicolaou, × 900).

Differences exist between these proliferating cells and invasive squamous carcinoma, such as the absence of single atypical cells, macronucleoli, a low nuclear-cytoplasmic ratio, and the absence of tumor diathesis (Fig. 4), and are important for the differentiation of repair from nonkeratinized squamous carcinoma and, rarely, from sarcomas.30,31

Therapy Changes.

Several modalities of therapy affect malignant and benign cells, the latter at the vicinity or at a distance from the malignant neoplasm. The types of therapy include chemotherapy, immunotherapy, radiation therapy, and mechanical therapy.32 Therapy of any modality may cause changes in benign cells that can resemble malignant changes.

By examining cervicovaginal smears, short- and long-term radiation changes can be observed. In benign cells, short-term changes usually are found within 6 months of irradiation. These changes consist of nuclear enlargement, with condensation of chromatin, abnormal mitosis, and multinucleation. At the cytoplasmic level, there are varying degrees of vacuolization. Cellular enlargement occurs, and a low nuclear-cytoplasmic ratio is maintained. This feature helps the cytopathologist to recognize the affected cells as benign. Short-term changes can also be encountered in malignant cells shortly after treatment. However, with effective treatment, they regress approximately 1 month after the completion of therapy because of their exquisite sensitivity to radiation.33 Malignant cells that show radiation changes 6 to 8 weeks after treatment indicate persistence of the neoplasm. After this time, the presence of malignant cells without radiation changes indicates recurrence.

The features seen with long-term radiation changes are reflected in cytologic smears by aberrant cells from the basal layers, cellular enlargement, and atrophy. These changes can persist for several years, and vary from patient to patient. Nuclear, nucleolar, and cytoplasmic alterations reflect the destruction of chromatin,34 increased ribonucleic acid synthesis followed by decreased DNA synthesis,35 and abnormal levels of various cytoplasmic elements, respectively. The end result of these changes is seen at the ultrastructural level as destructive changes of the nuclear and cytoplasmic organelles.34 Under light microscopy, cytoplasmic vacuolization starts at the parabasal layers, and engulfment of polymorphonuclear leukocytes within some of the vacuoles are seen. Some of the cells acquire an abnormal staining quality referred to as amphophilia. The most important diagnostic characteristic change is significant enlargement of the epithelial cells, with otherwise normal features. Giant cell histiocytes, and reparative changes,36 are usually encountered. The effectiveness of radiation can be monitored by the assessment of several cellular features in cervico- vaginal smears.33,34,37,38 The cytopathologist should observe the postradiation smear for increased cellular maturation, which is a warning sign for the development of de novo intraepithelial neoplasia. Equally important is the detection of tumor diathesis, which may indicate persistence or recurrence of the tumor. True tumor diathesis has necrotic cells with nuclear and cytoplasmic fragmentation, hemolyzed, blood, and debris; the mere presence of a “grungy” background is not sufficient to qualify.

Systemic chemotherapy may affect cells exfoliated from the cervicovaginal area. Cellular changes bear some similarities to changes caused by ionizing radiation.39 Occasionally, the cells look highly abnormal, except for the maintenance of the amount of cytoplasm and the absence of mitotic figures.40 After the use of several modalities of immunosuppressive therapy for organ transplantation, there is an increase in the number of neoplasms at several body sites,41 including the vulva and cervix.42 The incidence of cervical neoplasms has been reported to reach a 14-fold increase compared with the incidence in the nonimmunosuppressed population. It is advisable to have a baseline cervicovaginal smear to monitor the development of neoplasms during immunosuppressive therapy.32

Electrocautery of the uterine cervix produces coagulative cellular necrosis and significant inflammatory response represented by polymorphonuclear leukocytes and lymphocytes. The latter has been postulated to represent a host immune response.32 These changes may mimic a tumor diathesis background. In addition, cervicovaginal smears may harbor atypical cells after electrocautery treatment for benign processes. Because these cells may persist for several weeks,43 a waiting period of 4 to 6 weeks should be allowed to permit the necrosis and healing process to occur.32 These changes are not limited to the squamous epithelium; atypia of the endocervical cells is also encountered.32 For these reasons, a history of electrocautery as well as the date of therapy for neoplastic and nonneoplastic processes should be disclosed to the pathologist to avoid misinterpretation of cervicovaginal smears. Laser therapy has been used for years to eradicate dysplasia and CIS of the uterine cervix.44,45 The carbon dioxide laser produces a localized intense heat that inactivates cellular components, interrupting the replication process at the cellular level.45 Laser therapy has several advantages over cryotherapy with respect to cervicovaginal smears. Because of the almost-complete absence of bleeding and necrosis as well as the faster healing process, the inherent difficulties (atypical cells and inflammatory background) in cryotherapy are short-lived with laser treatment, and the cervicovaginal smears return to normal quickly.44,45,46,47 The regenerative process takes place from the epithelial edges of the ulcer that is produced by the laser and fills the gap within 2 weeks. In spite of a positive Schiller’s test result, the cells desquamated from this site are easily recognized as benign.44,48 After approximately 6 weeks, this test result becomes negative as the epithelium matures in the newly re-epithelialized site.46

Benign Surface Reactions Of Squamous Epithelium.

Hyperkeratosis.

Under the influence of a variety of stimuli, the surface of the squamous epithelium may develop a granular layer and several layers of anucleated cells as a protective mechanism. This phenomenon is referred to as hyperkeratosis (Fig. 5). Clinically, this condition is seen as an area of leukoplakia; cytologically, the smears contain single or groups of anucleated squames (see Fig. 5).49 The cells derived from the granular layer show keratohyaline cytoplasmic granules (Fig. 6).

Fig. 5. Histologic section of squamous mucosa showing a granular layer and hyperkeratotic layers (Hematoxylin and eosin, × 360). Inset. Clusters of anucleated squames from the epithelial surface.(Papanicolaou, × 650).

Fig. 6. Superficial cells showing keratohyaline granules and isolated anucleated squames.(Papanicolaou, × 850).

Thick patches of those cells with irregular outlines seen consistently throughout the smear are of diagnostic importance. Keratohyaline granules and a few anucleated squames are normally seen at the height of estrogenic stimulation at midcycle and have no clinical significance. However, the presence of many of these cells, associated with patches of anucleated squames, indicates hyperkeratosis and presence of a granular layer in the cervical mucosa. Occasional anucleated cells on the edge of the slides or in the specimen should not be mentioned in the diagnosis because they probably represent contamination from the patient’s vulva or from the fingers of the person handling the slides. It is thus advisable to report only cells with keratohyaline granules associated with anucleated squames that are intermixed with other normal components of the smears. Extensive hyperkeratosis, when appropriately identified, may be associated with underlying abnormal epithelium in up to 42% of patients.31,49

Parakeratosis.

Parakeratosis is another type of surface reaction that is characterized by a proliferation of layers of small nucleated squamous cells with pyknotic nuclei. In smears, miniature keratinized squamous cells are seen, either singly or in sheets (Fig. 7). The nuclei are small and either round or oval. The nuclear-cytoplasmic ratio is low. Parakeratotic cells without nuclear abnormalities can be seen in a variety of situations, such as inflammation, pessary use, and other processes that are irritative to the cervical mucosa. When they are enlarged and irregular, they are classified as atypical squamous cells or atypical parakeratosis (see Fig. 7).31,49 Atypical parakeratosis is frequently (84%) associated with underlying abnormal epithelium. Once a diagnosis of atypical parakeratosis is made, the smears should be repeated with a forceful scrape to obtain cells of deep layers. Some authors36 advise that two smears should be taken, the first to remove the parakeratotic cells and the second to obtain deeper cells, which may be abnormal (see Fig. 7).

Fig. 7. Atypical parakeratotic and dysplastic cells. The nucleus of the parakeratotic cell is enlarged and opaque (arrow). The dysplastic cell has a marked enlarged atypical nucleus, with coarse granular chromatin (arrowhead). (Papanicolaou, × 900). Inset. Parakeratotic cells without atypia.(Papanicolaou, × 350).

Intrauterine Device Effect.

The presence of an intrauterine device in the endocervical and endometrial cavity causes an inflammatory response and subsequent irregular desquamation and shedding of these epithelial cells from these areas may mimic glandular or squamous neoplasm. Squamous metaplasia showing variable degrees of maturation is frequently seen in ectocervical-endocervical smears. The immature metaplastic cells may maintain the mucus-producing ability inherent to endocervical cells because they have a similar histogenesis. This feature mimics the appearance of atypical glandular cells, and may be difficult for the cytologist to identify. Immature metaplasia in single cells with nuclear enlargement only, may mimic high-grade squamous dysplasia. Atypical glandular cells of endocervical32,50 or endometrial origin also may be encountered.51 They can be recognized as reactive or benign if clinical information about intrauterine device use is disclosed, avoiding false-positive results.51 A less common cell type, referred to as indeterminate, has been postulated as being of endometrial origin.52,53 Few of these cells are seen in a cervicovaginal smear, and they have a variety of features that distinguish them from CIS, such as multinucleation, presence of enlarged nucleoli, and absence of other atypical cells in the smear showing a spectrum of dysplastic changes.32 After removal of the device, these cells disappear from cervicovaginal smears after 1 month to 1 year.53

Microglandular Hyperplasia.

Microglandular hyperplasia has been described in patients taking oral contraceptives, in pregnancy, and postpartum. Therefore, it was considered a reflection of the action of progestrogenic stimulation on the endocervical epithelium. However, cases have also been seen in patients with no history of hormonal intake and occasionally in patients with hyperestrogenism or exogenous estrogenic therapy. It is not considered to be a preneoplastic change. Florid microglandular hyperplasia in histologic sections may architecturally resemble clear cell adenocarcinoma.54 Lack of stromal invasion, rare mitosis, and intracellular glycogen excludes the diagnosis of malignancy. Microglandular hyperplasia is a common finding in cervicovaginal smears. The classic appearance of the smears is of numerous dispersed rounded endocervical cells (Fig. 8). Some show a pseudokeratinized appearance caused by ischemic necrosis; hence, the misnomer pseudoparakeratosis was used in the past.49,54 Cytologically, some cases maybe mistaken for atypical squamous or atypical glandular cells.

Fig. 8. Isolated rounded endocervical cells from a patient with microglandular hyperplasia.(Papanicolaou, × 1200).

Squamous Epithelial Lesions

DEVELOPMENT AND CLASSIFICATION.

At the beginning of the century, the concept that intraepithelial neoplasia antedated the development of invasive squamous carcinomas was postulated by Rubin.55 With increased sophistication in the field of cytopathology, it was found that analysis of cellular samples could provide a precise diagnosis that could be correlated with histologic samples. Additional work and increased awareness of the value of cytology led pathologists and gynecologists to realize that even more incipient lesions, such as dysplasias of varying degrees, could be assessed correctly in smears and supported by colposcopic and histologic studies. The terms dysplasia and CIS as well as CIN were introduced to unify the cytologic and corresponding histologic assessment of squamous lesions of the uterine cervix.56,57,58,59,60,61,62,63,64,65 The concept was that intraepithelial lesions represent a continuum, and in some cases, lesions of variable degrees can be found in the same cervix, and can be detected by cytologic and histologic methods. Dysplasia refers to a lesion that shows abnormal cells replacing a portion of the epithelial thickness.

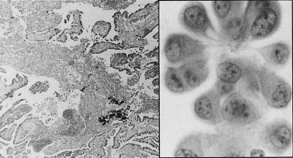
To understand the histogenesis of intraepithelial neoplasia and invasive carcinoma, knowledge of some basic morphologic concepts is necessary (see Fig. 9). The endocervical canal is composed of tall columnar ciliated and nonciliated and mucus-producing cells. Normally, the endocervical epithelium is attached directly to the stroma without a basal layer. Under the mucosa, there are isolated immature totipotential cells that are the source of development of the endocervical cells. Under a variety of hormonal or physical stimuli, these germinative cells may proliferate, giving rise to reserve cell hyperplasia (Fig. 10). Reserve cell hyperplasia may develop in young patients as a result of physical injury and in postmenopausal patients because of hormonal stimuli, or from hormones produced by the adrenal gland that are later metabolized to estrone.66 The cells desquamated from reserve cell hyperplasia have small nuclei, finely granular chromatin, and small amounts of cytoplasm. Caution should be taken not to overdiagnose them as CIS in cytologic and histologic samples. They have a monomorphic appearance, do not display hyperchromasia, and usually are seen in organized small clusters (see Fig. 10). A neoplastic process may develop in those cells as CIS of the small cell type (Fig. 11) and, later, as small cell invasive carcinoma (see Fig. 9 and Fig. 12). Small cell undifferentiated squamous CIS is seen as small cells with hyperchromatic nuclei with limited amounts of cytoplasm. To a certain extent, the features of invasive small cell carcinoma are similar to those of the intraepithelial form. However, tumor diathesis, that is necrosis, hemolyzed blood, and cellular debris, and enlarged nucleoli frequently are associated with the invasive type.

Fig. 9. Morphogenesis of carcinoma of the uterine cervix.(Wied GL, Keebler CM, Koss LG, Reagan JW (eds): Compendium of Diagnostic Cytology, p. 108. 6th ed. Chicago, Tutorials of Cytology, 1990.)

Fig. 10. Histologic section showing reserve cell hyperplasia and squamous metaplasia of the endocervix (Hematoxylin and eosin, × 260). Inset. Reserve cell hyperplasia and squamous metaplasia of the endocervix. The cells are small and monomorphic, with finely distributed chromatin.(Papanicolaou, × 360).

Fig. 11. Syncytial arrangement of a sample from a patient with small cell carcinoma in situ.(Papanicolaou, × 1200).

Fig. 12. A group of malignant cells from a patient with small cell invasive carcinoma. The chromatin is coarse, and nucleoli are evident.(Papanicolaou, × 1200).

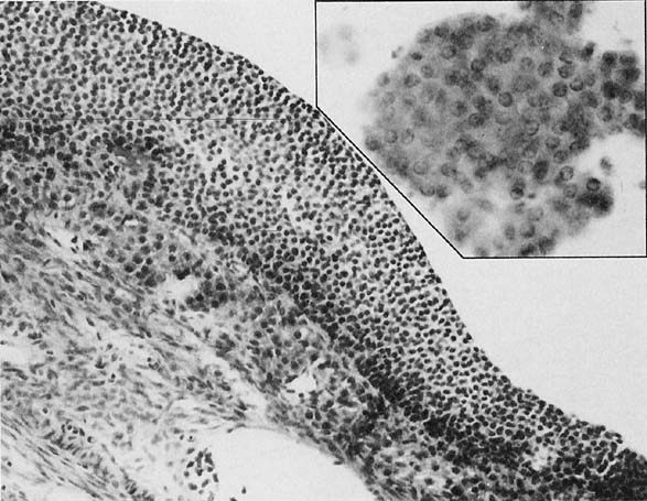
By a process of maturation, the reserve cells may acquire squamous features, and squamous metaplasia will replace the original glandular epithelium (see Fig. 9 and Fig. 10). The stimuli inducing those changes can be physical, inflammatory, or hormonal.36,66 Squamous metaplasia is a benign process found frequently in smears. As a benign component, it should be recognized for adequacy of sampling because its presence indicates adequate sampling of the transformation zone (Fig. 13). However, under the influence of an unknown stimulus, preneoplastic and neoplastic changes may take place57 in a minority of cases. In those instances, metaplastic dysplasia of varying degrees (Fig. 14 and Fig. 15), nonkeratinizing dysplasia or CIS (see Fig. 15 and Fig. 16), or nonkeratinized invasive squamous carcinoma may develop.57,58,59,60,61,62

Fig. 13. Squamous metaplastic cells surrounding a superficial squamous cell.(Papanicolaou, × 900).

Fig. 14. Metaplastic dysplastic cells and a superficial squamous cell. The cytoplasm is well defined, the nucleocytoplasmic ratio is increased, and nuclear pleomorphism is noticeable.(Papanicolaou, × 900).

Fig. 15. Key to cells derived from normal epithelia, benign proliferative reactions, and preinvasive reaction of the uterine cervix.(Wied GL, Keebler CM, Koss LG, Reagan JW (eds): Compendium of Diagnostic Cytology, pp. 35, 36. 6th ed. Chicago, Tutorials of Cytology, 1990.)

Fig. 16. Nonkeratinized dysplastic cells showing abnormal nuclei and delicate cytoplasm. On the lower left side, a monolayer of normal endocervical cells is seen.(Papanicolaou, × 900).

By sampling the surface of the abnormal mucosa, it is possible to evaluate the process of maturation from the basal to the uppermost layers.36 The stimulus that induces maturation is related directly to the degree of differentiation of the abnormal basal layers. The less differentiated cells will respond poorly to stimuli inducing maturation, and will emerge to the surface and a higher degree of abnormality will be seen when the surface is sampled.

CURRENT TERMINOLOGY FOR SQUAMOUS INTRAEPITHELIAL LESIONS.

The 1988 TBS,5 introduced a two-tiered terminology, dividing the spectrum of squamous epithelial abnormalities into LSIL and HSIL lesions. Low-grade lesions encompass the cellular changes associated with the cytopathic effect of HPV, also referred to as koilocytotic atypia, and mild dysplasia/CIN I. High-grade lesions encompass moderate dysplasia, severe dysplasia, and CIS/CIN II/III. TBS divides the spectrum of SIL cytologic abnormalities into two categories for the following reasons: (1) studies have reported poor interobserver and intraobserver reproducibility with conventional three- and four-grade classification systems, (2) in the United States, the difference between moderate/severe dysplasia and CIS is not relevant to patient management, (3) data from natural history studies comparing low- and high-grade lesions imply differences between these two lesions, although the biologic behavior of any individual abnormality, whether high or low grade, cannot be predicted.6

The rationale of introducing the term squamous intra-epithelial lesion (SIL) to replace dysplasia/CIN, was based on observations that most mild dysplasia/CIN regress, approximately half of the cases of moderate dysplasia/CIN do not progress, and as a group, high-grade lesions are more likely to progress than low-grade lesions, but the behavior in an individual patient is unpredictable.6 The term lesion rather than neoplasia was chosen to convey the uncertain biologic potential in any individual patient.6

The dichotomous classification of SIL (LSIL/HSIL) was retained in TBS 2001, because it seems to be supported by current virologic, molecular, and clinical evidence that LSIL is generally a transient infection with HPV, and high-grade SIL is more often associated with persistence of HPV and higher incidence of progression.8 In addition, data from the ASCUS/LSIL Triage Study (ALTS), trial has further supported the two-tier terminology by demonstrating that (1) LSIL/HSIL is a fairly reproducible breakpoint, (2) confirmed that subdividing HSIL into moderate and severe dysplasia is not reproducible, and (3) HPV cytopathic effect cannot be reliably separated from mild dysplasia/CIN I.6,8

The 2001 Bethesda System8 suggests reporting squamous epithelial abnormalities as follows: atypical squamous cells of undetermined significance, (ASC-US); atypical squamous cells/rule out HSIL, (ASC-H); LSIL; and HSIL.

Approximately 50 million Pap smears are performed each year in the United States,67 of which approximately 7% (3.5 million) are reported as abnormal.68 Among these, approximately 3 million women have LSIL or ASC smears.69

Atypical Squamous Cells.

Terminology.

Atypical squamous cells of undetermined significance (ASCUS) was introduced into TBS terminology to represent squamous cell abnormalities that are more marked than those attributable to reactive changes but that quantitatively or qualitatively fall short of a definitive diagnosis of SIL.6 The cellular changes in this category may represent a reactive/reparative/benign change or a more serious lesion; however, they cannot be unequivocally classified by the pathologist, and are thus interpreted to be of undetermined significance. The cellular changes include nuclear enlargement to two and half to three times that of a normal intermediate squamous cell nucleus, a slightly increased nuclear-cytoplasmic ratio; with possible variation in nuclear size and shape, and binucleation. The nuclei may also show mild hyperchromasia, but the chromatin remains evenly distributed without granularity and nuclear outlines usually are smooth and regular.6 TBS 1991 encouraged pathologists to qualify ASCUS as to whether a reactive process or SIL was favored,6 however in actual practice, a large number of these cases were reported as atypical squamous cells of undetermined significance, not otherwise specified (ASCUS-NOS).8

A diagnosis of ASCUS can be caused by a variety of etiologic factors6 such as inflammation and repair, and both qualitative (poorly fixed smear) and quantitative (few/rare abnormal cells) reasons may contribute to the pathologist making this diagnosis. Keratotic cells shed singly or in three-dimensional clusters that demonstrate cellular pleomorphism (caudate or elongate shapes) and/or increased nuclear size or chromasia should be categorized as ASCUS (atypical parakeratosis) or SIL depending on the degree of the cellular/nuclear abnormalities.6

Despite efforts to provide specific criteria for the diagnosis of ASCUS, this diagnosis is poorly reproducible.8 In order for laboratories not to overuse this term, it is suggested that the frequency of ASCUS diagnoses should not exceed two to three times the rate of SIL in the same laboratory6 or the ASCUS: SIL ratio should not be greater than 2–3:1. As an example, if the frequency of SIL in a laboratory practice is 1%, the frequency of ASCUS should be less than or equal to 3%.6

TBS 2001 retained this equivocal category of reporting atypical squamous cells because approximately 10% to 20% of women with ASCUS may have underlying CIN II/III, and 1 in 1000 may have invasive carcinoma.69 However, the TBS 2001 classification differs in several ways with regard to reporting equivocal squamous epithelial abnormalities. ASC are now qualified either as being of “undetermined significance” (ASC-US) or as “cannot exclude HSIL” (ASC-H). The “undetermined significance” qualifier was retained to emphasize that some cases of ASCUS maybe associated with an underlying HSIL. Additionally, ASCUS-favor reactive was eliminated; all ASC are considered now to be suggestive of SIL.8

Atypical Squamous Cells of Undetermined Significance.

In the vast majority, 90-95%, of cases, ASC involves nuclear enlargement in squamous cells with mature, superficial/intermediate-type cytoplasm8,69 (Figs. 17A, 18, 19, 20 and 21). The differential diagnosis is most often between a benign change in reaction to a stimulus versus a LSIL.8 This is the category of ASC-US that is now referred to as ASCUS in TBS 2001. Cells with cytologic features diagnostic of HPV cytopathic effect, that it, a well-defined, clear, perinuclear cavity with a peripheral rim of thickened cytoplasm as well as required nuclear alterations, are classified as LSIL6 (Fig 17B). Cells with features that are suggestive but not diagnostic of HPV cytopathic effects, are included in the ASC-US category. Cytoplasmic vacuolization alone, without any nuclear atypia, is considered to be a benign cellular change and should not be classified as LSIL or ASCUS.6

Fig. 17. A. Sign of human papilloma virus (HPV) infection: mild koilocytosis (koilocytes without nuclear atypia). This may be interpreted as atypical squamous cells of undetermined significance (ASCUS). (Papanicolaou, × 900). B. Koilocytes showing large defined perinuclear halos, binucleation, and slight nuclear atypia, with smudged chromatin. This would be classified as low-grade squamous intraepithelial lesions (LSIL).(Papanicolaou, × 800).

Fig. 18. Sign of human papilloma virus (HPV) infection: cells with cracking of cytoplasm/keratohyaline-like granules.(Papanicolaou, × 900).

Fig. 19. Sign of human papilloma virus (HPV) infection: cells with perinuclear clearing.(Papanicolaou, × 900).

Fig. 20. Sign of human papilloma virus (HPV) infection: cells with spindled nuclei.(Papanicolaou, × 900).

Fig. 21. Atypical squamous cell of undetermined significance (ASCUS): a sheet of intermediate squamous cells with mild nuclear enlargement and fine chromatin. Differential diagnosis is low-grade squamous intraepithelial lesion (LSIL) and reactive change.(Papanicolaou, × 600).

Marked cellular changes involving tissue fragments, or sheets of immature squamous cells, so-called atypical repair, also are included in the ASC category, but present a different cytologic picture. In typical repair, cells occur primarily in monolayer sheets and syncytia and contain prominent nucleoli. However, nuclear piling, significant anisonucleosis, and irregularities in chromatin distribution that exceed changes seen in typical repair were considered to be ASCUS in TBS 1991.6 The differential diagnosis is between an exuberant reparative process versus invasive carcinoma, however, atypical repair lacks both a tumor diathesis and isolated abnormal cells seen in squamous cell carcinoma.6 A variety of reactive cellular changes, such as degeneration, autolysis, etc., may be seen in an atrophic smear and occasionally they can mimic HSIL or squamous carcinoma. A diagnosis of ASCUS associated with atrophy should be considered if cells demonstrate: nuclear enlargement (at least two times normal), significant hyperchromasia, nuclear chromatin or membrane abnormalities, or marked pleomorphism in the form of tadpole or spindle cells.6

The ALTS, a multicenter trial sponsored by the National Cancer Institute, showed that HPV DNA testing for high-risk types is a viable option for management of women with ASC-US, and has a greater sensitivity to detect CIN III or above and specificity comparable to a single additional cytologic diagnosis of ASC-US or above.69 The American Society for Colposcopy and Cervical Pathology (ASCCP) has published consensus guidelines for the management of women with cervical cytologic abnormalities, based on the TBS 2001 terminology.18 The guidelines support DNA testing for high-risk types of HPV for an ASC-US cytologic diagnosis. Women who test positive for HPV DNA should be referred to colposcopy and those who test negative for high-risk HPV-DNA can be followed up with repeat cytologic testing at 12 months. If no lesion is found at colposcopy in a high-risk HPV–positive woman, follow-up cytology at 6 and 12 months or HPV-DNA testing at 12 months are suggested options.18 Reflex test orders from the clinician at the time of obtaining the sample allow the laboratory to send the same specimen collected for the cervical smear for HPV testing, avoiding a return visit, and 40% to 60% women will be spared a colposcopic examination. For ASCUS in postmenopausal women, a course of intravaginal estrogen followed by a repeat cytologic test obtained approximately 1 week after completion of the estrogen test is acceptable if the smear is atrophic and there is no contraindication to using intravaginal estrogen.18 Immunosuppressed women with ASCUS should be referred to colposcopy and pregnant women should be managed in the same manner as nonpregnant patients with ASC-US.18

Atypical Squamous Cells/Rule Out High-Grade Squamous Intraepithelial Lesions.

In a smaller number of ASC cases, 5% to 10% of all ASC, the atypical changes occur in less mature squamous metaplastic cells, previously called atypical metaplasia.8 This category has been reclassified as ASCH or atypical squamous cells/rule out HSIL, in TBS 2001, and reflects a mixture of HSIL and its imitators.8 Nuclear enlargement approximates one and a half to two times the area of a mature squamous metaplastic nucleus, or three times the area of a normal squamous intermediate-cell nucleus (Fig. 22). In these cases, the differential diagnosis is between immature squamous metaplasia and a HSIL and LSIL is not a consideration.6

Fig. 22. Atypical squamous cell, rule out high-grade squamous intraepithelial lesion (ASCH): a single cell with high N/C ratio and nuclear hyperchromasia and irregularity. Differential diagnosis is high-grade intraepithelial lesion (HSIL) and immature squamous metaplasia.(Papanicolaou, × 600).

While there is interpreter variability in making the diagnosis of ASC, even among expert cytopathologists,70 studies suggest that ASC-H has a positive predictive value for histologic CIN II/III that is intermediate between ASC-US and HSIL.8 A woman with ASC-US has a 5% to 17% chance of having CIN II/III confirmed by biopsy, while CIN II/III is identified in 24% to 94% of those with ASC-H.18,69,71 The recommended management for women with ASC-H obtained using conventional or liquid-based cytology is referral for colposcopic evaluation.18 There is no role for HPV testing or repeat cytology. If no lesion is found at colposcopic, a review of cytology, colposcopy, and histology results should be performed. If the cytologic diagnosis of ASCH is upheld and no revised interpretations are found, cytologic follow-up at 6 and 12 months or HPV-DNA testing at 12 months are acceptable.18

Low-Grade Squamous Intraepithelial Lesion.

On histology, mild dysplasia is diagnosed when the upper two thirds of the abnormal squamous epithelium shows an adequate degree of differentiation. In many institutions, koilocytic or HPV change maybe reported on biopsy. Corresponding cytologic samples in both cases show abnormal cells with mature or superficial-type cytoplasm.6 In LSIL, nuclear enlargement is at least three times the size of a normal intermediate cell nucleus.6 Although the nucleus is hyperchromatic, the chromatin is distributed uniformly or it may appear degenerated and smudged if associated with cytopathic changes induced by HPV (see Fig. 17B). Cells with HPV cytopathic effect (koilocytes), are also interpreted as LSIL on cytologic smears. In these cases, the nucleus maynot be enlarged, but is usually hyperchromatic and “wrinkled.”

While most LSIL, especially in young women regress/are self- limited HPV infections,71,72 approximately 15% to 30% of women with LSIL on cervical cytology will have a CIN II/III on a subsequent cervical biopsy. The ALTS trial has shown that HPV DNA testing is not useful in triaging women with LSIL because 83% were positive for HPV.69 ASCCP guidelines18 currently recommend colposcopy as the preferred management for women with LSIL. Subsequent management will depend on whether a lesion is identified, whether the colposcopy is satisfactory, and whether the woman is pregnant. Routine diagnostic excisional procedures such as loop electrosurgical excision procedure (LEEP) are discouraged for initial management of women with LSIL in the absence of biopsy-confirmed CIN. Special recommendations for postmenopausal women, adolescents, and pregnant women are also outlined in the ASCCP consensus publication.18

High-Grade Squamous Intraepithelial Lesion.

In the TBS terminology, HSIL encompasses moderate and severe dysplasia and CIS. In moderate dysplasia, the morphologic appearance of the upper one third of the epithelium is relatively preserved in contrast with abnormal changes of the underlying layers. Cytologically moderate dysplasia shows cells with less cytoplasm, larger nuclei, and occasionally with asymmetrical nuclear outlines. The chromatin is increased and granular. In severe dysplasia or CIS, histology shows an epithelium that has immature cells throughout its thickness. These changes are seen in cytologic smears as immature cells, with scant cytoplasm and a high nuclear-cytoplasmic ratio (Fig. 23). The abnormal cells can be seen singly or in crowded, dark sheets/groups. At times it may not be possible to exclude the possibility of invasive carcinoma and in such cases, the terminology for reporting this finding is “HSIL, with features suspicious for invasion.” The incidence of CIN II/III is estimated to be approximately four times that of invasive carcinoma. All patients with a HSIL cytologic diagnosis should be referred for an immediate colposcopic evaluation.18

Fig. 23. High-grade squamous intraepithelial lesion (HSIL) cells showing moderate to severe dysplasia.(Papanicolaou, × 600).

Borderline Squamous Intraepithelial Lesion.

For practical purposes, the cells from mild dysplasia/HPV cytopathic effect show abundant cytoplasm with enlarged or hyperchromatic, wrinkled nuclei (see Fig. 17B). As the lesion progresses from moderate to severe dysplasia (Fig. 23), the amount of cytoplasm decreases as the nucleus increases in size, increasing the nuclear-cytoplasmic ratio. The pattern of DNA distribution in dysplastic lesions is not a helpful indication of the biologic behavior of the lesion.73 However, an indication of progression can be expected in severely atypical lesions in which aneuploidy is encountered.74,75

At times there maybe difficulty in categorizing cells with intermediate features into low or high grade. Although occasional borderline cases occur, most of these can be classified as either LSIL or HSIL. Features that favor a high-grade lesion include increased numbers of abnormal cells, higher nuclear/cytoplasmic ratios, greater irregularities in the outline of the nuclear envelope, coarsening of nuclear chromatin, and chromatin clumping.6 Cell size, overall is smaller in HSIL as compared to LSIL. The appearance of the cytoplasm is usually different in LSIL and HSIL cases. LSIL typically involves squamous cells with mature, intermediate, or superficial-type cytoplasm with well-defined polygonal cell borders, whereas cells from a HSIL have a more immature type of cytoplasm, that can be lacy and delicate or dense/metaplastic, with rounded cell borders.6 When it is not possible to grade a SIL as low or high grade, a diagnosis of “SIL, grade cannot be determined” or “LSIL with few cells suggestive of HSIL” can be rendered on the cervical smear. These patients should under colposcopy/biopsy.6

Progression and Regression of Squamous Intraepithelial Neoplasia.

Spontaneous regression of LSIL occurs with great frequency (60% or more),36,72 and HSIL regress in approximately 40% of cases.56,57 Most severely abnormal lesions are destroyed by a variety of modalities of treatment. However, some evidence suggests that only a few lesions will invade and most of them, if left unattended, disappear.73,74,75,76 Progression of mildly dysplastic lesions occurs in 15% of cases.77 HSIL persists or progresses to more severe lesions, such as invasive squamous carcinoma, in fewer than 1.5% of cases.78,79,80 Abnormal epithelium has fewer desmosomes,81,82 and the decrease in the number of desmosomes induces decreased cohesiveness among cells, and easier detachment of abnormal epithelium.

Intraepithelial Neoplasia in Pregnancy.

During the first trimester of pregnancy, dysplastic cells are smaller than in nonpregnant patients, thus giving the false impression of a higher grade of abnormality.49 In the late stages of pregnancy, the size of the cells is comparable to the nongravid population. The biologic growth rate is similar to that of the general population. Regression of the lesions was shown in 45% of cases, whereas in 29% the lesions persisted, and in 25% they progressed to a more severe process.78 The possibility of undetected intraepithelial lesions may be higher than in nonpregnant patients because of a larger number of unsatisfactory smears.19

Management of Squamous Intraepithelial Lesions.

It must be emphasized and remembered that cervical cytology is used for screening. The cytologic interpretation/result should be evaluated in conjunction with the clinical findings. ASC denotes an atypical category where HPV testing maybe useful for ASC-US, however, ASC-H cases need colposcopic evaluation. The subsequent management of a cytologic diagnosis of LSIL includes a colposcopically directed biopsy and/or follow-up with smears.18 HSIL should be evaluated by colposcopy and directed biopsy. Management should focus on preventing invasive carcinoma by the most conservative means possible. The ASCCP guidelines provide recommendations for management of TBS 2001 diagnostic categories.8,18

Invasive Squamous Cell Carcinoma.

In areas in which adequate screening programs are available, the incidence of invasive squamous carcinoma of the uterine cervix has decreased considerably.83,84,85 Based on clinical and histologic studies,86,87 a classification was created that specifically indicates the histogenesis of several histologic types of squamous carcinoma. In addition, this classification could predict the biologic behavior of each subtype and its response to therapy.88 It also would correlate with the classification of abnormal cells exfoliated from those tumors (see Fig. 9). This classification of squamous carcinoma of the cervix includes three subtypes: nonkeratinized, keratinized, and small cell undifferentiated carcinoma.89 The 5-year survival rates are 78.6%, 47.8%, and 20%, respectively (see Fig. 9).57 The World Health Organization determined the validity and usefulness of this classification, and later adopted it.90

A well-differentiated neoplasm refers to a tumor that closely resembles the parent tissue. Because the uterine cervix normally is a nonkeratinized epithelium, neoplasms that lack keratinization represent the better-differentiated form of this tumor. The better biologic behavior and response to radiation therapy support this contention.86,88 In some series, the most common type of tumor is nonkeratinizing carcinoma (43.3%), followed by keratinized carcinoma (29.1%), small cell carcinoma (10.9%), and adenosquamous carcinoma (7%). Histogentically, the first two neoplasms arise from the ectocervical squamous mucosa and squamous metaplastic epithelium (see Fig. 9).89 In contrast, small cell undifferentiated carcinomas develop from the endocervical reserve cells (see Fig. 9).57 Although this classification had worldwide acceptance as well as acceptance by the World Health Organization, the histogenesis of small cell carcinoma of the cervix was challenged, and was assigned to a neuroendocrine origin.36 Small cell undifferentiated carcinomas frequently arise in the most proximal portion of the endocervical canal. For this reason, specimens obtained by gentle swabbing of the endocervix may show smears that lack tumor cells. Endocervical brushing circumvents the problem.

Cells from nonkeratinized dysplasia have a delicate cytoplasm with abnormal nuclei (see Fig. 16). Nonkeratinized invasive squamous carcinoma shows clusters and isolated cells with highly abnormal nuclei, with macronucleoli, and abundant cytoplasm with variable degrees of thickness. Tumor diathesis is a common finding. Keratinizing dysplasia and invasive carcinoma arise in most basal cells of the ectocervical mucosa, which is a nonkeratinized squamous epithelium (see Fig. 9, Fig. 24, and Fig. 25). According to Patten,57 keratinizing dysplasia of severe degree (see Fig. 25) may be difficult to differentiate from invasive keratinizing squamous carcinoma (see Fig. 24). In 10% of cases, smears of invasive keratinizing squamous carcinoma lack tumor diathesis, a finding that may lead the cytopathologist to diagnose the lesion in smears as noninvasive (see Fig. 24). It is advisable when diagnosing severe keratinizing dysplasia to add a comment regarding the possibility of invasion.

Fig. 24. Clusters of malignant cells from a keratinizing invasive carcinoma showing a high nuclear-cytoplasmic ratio, keratinized cytoplasm, and enlarged nucleoli (arrow). The granular debris in the lower right field represents tumor diathesis.(Papanicolaou, × 900).

Fig. 25. Keratinizing dysplasia showing a pleomorphic population of abnormal cells.(Papanicolaou, × 900).

Postradiation Dysplasia and Carcinoma In Situ.

A variable degree of chronic radiation atypia is detected in smears of radiated patients. It may linger from months to several decades. Patten57 described several morphologic differences of dysplasia arising in radiated epithelium in contrast to dysplasia arising in nonradiated mucosa. Maturation of the normal components is greater, and the dysplastic cells are larger than those of conventional dysplasia. The mature appearance of the epithelium seen in association with this entity is reported as preceding the development of dysplasia.57 When postradiation dysplasias arise within 3 years of the last treatment, the prognosis is poorer than when it occurs more than 3 years after the completion of treatment.57

Glandular Epithelial Lesions

ENDOCERVIVAL NEOPLASIA.

The incidence of endocervical neoplasms has been increasing in recent years,91,92 with an absolute as well as a relative increase being noted. These lesions can be seen in situ, in microinvasive, and invasive stages on histology. The introduction of brushing for endocervical sampling has had widespread acceptance, and has greatly improved the yield of endocervical cells in cervical cytology specimens. Endocervical cell samples obtained by swabbing the canal show mature cells that are identifiable as benign, however, when taken by force, less mature forms as well as cells from immature squamous metaplasia and reserve cell hyperplasia may be dislodged and overdiagnosed as squamous or glandular neoplasia.

The revised TBS 20018 reporting format for glandular abnormalities is as described below:

  GLANDULAR CELL
  Atypical

  endocervical cells (NOS or specify in comments)
  endometrial cells (NOS or specify in comments)
  glandular cells (NOS or specify in comments)


  Atypical

  endocervical cells, favor neoplastic
  glandular cells, favor neoplastic


  Endocervical adenocarcinoma in situ
  Adenocarcinoma

  endocervical
  endometrial
  extrauterine
  not otherwise specified (NOS)


Atypical Glandular Cells.

In TBS 2001, the term atypical glandular cells of undetermined significance (AGUS) has been eliminated to avoid confusion with ASCUS. Glandular abnormalities are classified as “atypical endocervical, endometrial, or glandular cells.” In the majority of cases, morphologic features allow a differentiation of endocervical from endometrial cells,8 and this distinction is clinically significant because the management of patients may vary significantly depending on the cell type.18 The term atypical epithelial cells may be used for cases where a squamous or glandular origin is difficult to ascertain. The diagnosis of atypical glandular cells (AGC) is clinically significant because the percentage of cases associated with an underlying high-grade disease is higher than that for ASC-US8. On follow-up, a high-grade lesion, either squamous or glandular, is seen in 10% to 39% of AGC cases.93,94,95,96 The prior category of “atypical glandular cells, favor-reactive” has also eliminated, and replaced by “not further specified” so as not to give false reassurance to the clinician. In the 1991 TBS, adenocarcinoma in situ (AIS) was included in AGUS, favor neoplastic. Since then the morphologic criteria for recognition of AIS have been refined and are reproducible when properly applied; resulting in AIS being a distinct diagnostic entity in TBS 2001.8,97

Endocervical Adenocarcinoma In Situ.

The histologic features of AIS are seen in tissue samples in which there is abundant stroma that will allow assessment of the depth and location of the neoplastic glands. In cytologic samples, the features may resemble some features of frankly invasive carcinoma.98,99,100 Recent improvements in diagnostic criteria allow cytopathologists to recognize these neoplasms at early as well as advanced invasive stages.96 As is well established for squamous epithelium, it is reasonable to assume that the endocervical epithelium also goes through a series of progressive dysplastic steps. However glandular dysplasia is a debatable and poorly reproducible entity, even on histopathology,101 and it is not diagnosed as such in cytologic smears. Depending on the degree of suspicion these changes are classified as “atypical glandular cells, endocervical (AGEC), favor neoplasia” in order to convey a significant level of concern to the clinician.

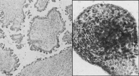
Samples of AIS and well-differentiated invasive adenocarcinoma usually are usually seen in sheets, without the classic honeycombing appearance of normal endocervical cells (Fig. 26). The “colonic-type” AIS resembles colonic epithelium. There are well-defined cytologic criteria for making this diagnosis, including: crowded hyperchromatic groups, columnar cells, palisading, nuclear enlargement, coarse granular chromatin, micronucleoli, mitosis/apoptotic bodies and architectural features such as strips, rosettes, and feathering and lack of tumor diathesis. The term microinvasive cervical adenocarcinoma has been introduced into the literature. Histologically, this term indicates that the tumor has invaded less than 5 mm from the surface. Cytologically in addition to features of AIS, cellular dyscohesion, syncytial crowded sheets, papillary groupings, and numerous mitoses indicate that invasion may have occurred.96,100 In invasive endocervical adenocarcinoma, a diathesis is common in the background and there is abundant tumor cellularity.

Fig. 26. A cluster of cells from endocervical adenocarcinoma in situ showing loss of honeycombing and polarity. Inset. Benign endocervical cells showing honeycombing and maintained polarity.(Papanicolaou, × 900).

There are certain benign processes that can lead to atypical cells mimicking a endocervical neoplastic process.96 The most common is tubal metaplasia, in which the cells can show certain features of AIS, and this problem becomes more accentuated the higher the metaplastic cells are in the endocervical canal. In a study from the University of Rochester, tubal metaplasia was identified in the endocervical canal in 100% of hysterectomy specimens.102

Endometrial cells are generally smaller and have a higher nuclear: cytoplasmic ratio than endocervical cells. With direct samping of the lower uterine segment (LUS) and endometrial cavity, large two-dimensional groups of endometrial cells can show columnar morphology and pseudostratified architecture, as opposed to the small three-dimensional tight clusters seen in exfoliated endometrial cells.103 Other differential diagnosis of endocervical adenocarcinoma include cervical endometriosis, and endometrial cells in postcone samples. In postcone samples, the endometrial lining can be reached during sampling, and normal endometrial cells showing lack of honeycombing and mitosis may be mistaken for neoplastic endocervical cells.

On subsequent follow-up, a significant percentage of lesions diagnosed as AGUS, (now AGC), represent squamous lesions mimicking glandular cells. This is particularly a problem when squamous carcinoma in situ involves the endocervical gland necks, with tight aggregates, giving an appearance of palisading or columnar forms. The pathologist should look for the presence of typical squamous features in other abnormal cells and lack of typical features of endocervical neoplasia in the abnormal “glandular” groups.103

There is a frequent association of endocervical AIS with intraepithelial squamous abnormality104 as well as with squamous atypia induced by HPV infection. The presence of HPV-DNA virus type 16 or 18 has been reported in adenocarcinoma and adenosquamous carcinoma of the cervix and a common etiologic agent suggested for squamous and endocervical adenocarcinoma.105 The most significant observation in these tumors is reflected in the degree of differentiation of the nuclei rather than the architectural features seen in histologic sections.106 This observation can be evaluated in cytologic samples and is important because there is a strong correlation between survival and degree of nuclear differentiation. Fu and colleagues107 made another important observation of the biologic behavior of these tumors. They studied the DNA ploidy in tumors, some of which had a comparable degree of nuclear differentiation. Low ploidy and good prognosis were found in well-differentiated tumors. In contrast, high ploidy and poorer prognosis usually were found in poorly differentiated cervical adenocarcinoma. Advanced clinical stage was associated with poor outcome; even in low-ploidy tumors.107 This observation supports the contention that the experience of the cytopathologist plays an important role in detecting incipient neoplasms of endocervical origin.

ENDOMETRIAL HYPERPLASIA AND ADENOCARCINOMA.

The incidence of endometrial neoplasia has been rising.108 This increase has several causes, such as the increase in the elderly population and the increased use of unopposed estrogen, and more recently tamoxifen.

The detection of hyperplasia and adenocarcinoma depends primarily on the type of sampling used. Direct endometrial cell sampling done under sterile conditions is the ideal technique, and it can be performed in the physician’s office or in outpatient clinics. However, this technique is time consuming, causes patient discomfort, and is not cost effective for the detection of endometrial lesions108 Endocervical aspiration is the next most valuable type of sampling because it overcomes most of the clinical difficulties of direct endometrial sampling. Another feature that enhances the diagnosis of endometrial adenocarcinoma with this technique is the availability of well-preserved endometrial cells because of the anatomic closeness of the endocervical and endometrial cavities. Endocervical swabbing and posterior fornix sampling are less valuable because the endometrial cells are less suitable for diagnosis because of degenerative changes and also because of the small number of endometrial cells present in those specimens. It should be remembered that the cervicovaginal smear is not aimed at detection of endometrial neoplasia.

Depending on the sampling technique used, endometrial cells may be seen singly or in clusters, and variable degrees of degeneration may be seen, precluding adequate assessment of these cells. When exfoliated spontaneously, endometrial cells are seen in variable amounts from day 1 to 14 of the menstrual cycle and are rarely seen in cyclic women in the secretory phase of the cycle or in postmenopausal women.108 Normal endometrial cells in smears can be of epithelial or stromal origin (Fig. 27A). In the past, it was well established that in cyclic women, the presence of exfoliated benign endometrial cells during the second half of the cycle indicated abnormal endometrial desquamation108 and was associated with benign or malignant lesions in 0.2% of young women. This incidence rises substantially (22%) in postmenopausal patients.108 This may not apply, however, if endocervical brushing is used, because benign endometrial cells are retrieved forcefully from the lower uterine segment.

Fig. 27. A. A cluster of endometrial cells with small nuclei and limited cytoplasm from a menstrual smear. (Papanicolaou, × 900). Inset. Superficial endometrial stromal cells. (Papanicolaou, × 1200). B. A cluster of malignant endometrial cells. The background contains polymorphonuclear leukocytes, but tumor diathesis is not present.(Papanicolaou, × 1200).

Benign endometrial cells can shed normally in a variety of situations such as: the immediate postpartum or post abortion period, during pregnancy, as a result of dysfunctional uterine bleeding, in association with oral contraceptive intake, in patients receiving estrogen therapy, in the presence of intrauterine devices, in patients with an anovulatory cycle, in pyometra, in patients with endometrial polyps, in association with submucosal myoma, in patients with cervical and vaginal endometriosis, and after recent endometrial instrumentation.108 For the reasons stated above, a complete clinical history should be provided to the cytopathologist to allow adequate cytologic interpretation. Numerous histiocytes of putative endometrial origin encountered in cervicovaginal smears of perimenopausal and postmenopausal women may indicate the presence of endometrial abnormality in up to 10% of cases, and the endometrial lesions may range from hyperplasia to primary and metastatic malignancies of variable origin.109 However, histiocytes may be present in many cases in which endometrial disease is absent. For practical purposes, in addition to numerous histiocytes, the presence of hemolysed blood, necrosis, and high estrogenic effect (the latter is seen occasionally with hyperplasia and well-differentiated adenocarcinoma) increase the rate of detection of endometrial adenocarcinoma. Clinical correlation by the gynecologist is important to evaluate the value of the findings. Patients with hyperplasia and adenocarcinoma also shed abnormal cells in progressive numbers, depending on the degree of atypicality of the hyperplasia and the increased dedifferentiation of adenocarcinoma. The cytologic diagnosis of endometrial hyperplasia of various degrees of atypicality and grading of differentiation of adenocarcinoma can be diagnosed by direct sampling of the endometrial cavity or by aspiration of the endocervix. These findings are not duplicated in most laboratories, perhaps because of the other sampling techniques used. The presence of normal and abnormal cells in the range of hyperplasia and well-differentiated adenocarcinoma usually cannot be identified accurately in spontaneously desquamated samples. In these instances, the cells desquamated from these lesions can be classified only as neoplastic. The presence of tumor diathesis points toward a diagnosis of adenocarcinoma, whereas its absence indicates hyperplasia in most cases. Tumor diathesis refers to a granular transudate with or without white blood cells and necrotic cellular debris. This type of background is frequently found (90% of cases) in smears of patients harboring endometrial adenocarcinoma.108,110 There are other causes of tumor-like diathesis, such as pyometra and heavy infection with coccoid bacteria. In the absence of neoplastic cells, the assessment of diathesis should be done with caution. Hyperplasia as well as early invasive well-differentiated adenocarcinoma may lack tumor diathesis (see Fig. 27B).108 Increased maturation of the squamous epithelium, mimicking estrogenic stimulation, can be seen in some cases of hyperplasias and well-differentiated adenocarcinomas.108,110

Cytologically benign-appearing endometrial cells also can desquamate in patients with hyperplasia and adenocarcinoma.108 Many of these patients may be asymptomatic (57% with carcinoma and 70% with hyperplasia).110 The number of cytologically normal-appearing endometrial cells increases progressively in normal status, hyperplasia, and adenocarcinoma when specimens are obtained by aspiration of the endocervical canal.108 However, in exfoliated material, it is difficult to appreciate this increase in the number of benign cells in relation to the increase in the severity of the lesion.108,111,112,113 Given that the laboratory may not be aware of the clinical circumstances and that the last menstrual period (LMP) date and history of hormone therapy may not have been provided or be accurate, TBS 2001 suggests that cytologically benign endometrial cells seen in cervicovaginal smears in women 40 years or older be reported in a “other” general categorization.8 The clinician should then follow the patient as warranted.

Management of Atypical Glandular Cells.

If properly applied, the cytologic diagnosis of AGC is a potentially more serious lesion than ASC. Thus, it is imperative that communication with clinicians is well established and that they understand that screening cytology has a sensitivity of only 50% to 72% for identifying glandular neoplasia, and that CIN usually ≥ CIN II is the most common form of neoplasia identified in women with a cytologic result of AGC.114

Repeat cytology, colposcopy, and endocervical sampling, traditionally used to evaluate women with AGC/AIS, all have limitations, with repeat cytology being less sensitive than colposcopy for detecting CIN II/III and glandular lesions in women with AGC.115 In working up women with AGC, age is a key factor, with a higher risk of CIN II/III and AIS in premenopausal women and a higher incidence of endometrial hyperplasia/carcinoma in postmenopausal women. Approximately 50% of women with biopsy-confirmed AIS have a coexisting squamous abnormality and thus, the presence of a coexisting squamous abnormality detected by cytology does not change the management of women with cytologically detected AGC or AIS116.

If utilizing TBS 2001, the cytopathologist will qualify whether the AGC is endocervical or endometrial in nature in most cases, however in a minority of cases, the distinction may not be possible and the cells are determined to be atypical glandular cells, not other wise specified (AGC-NOS).18,116 Colposcopy with endocervical sampling is recommended for women with all subcategories of AGC, with the exception that women with atypical endometrial cells should initially be evaluated by endometrial sampling. The endometrial sampling should be in done in conjunction with colposcopy in women older than 35 years with AGC and in younger women with AGC who have unexplained vaginal bleeding.18 A repeat cervical cytologic smear for initial management of AGC/AIS is not acceptable under current recommendations. A diagnostic excisional procedure is recommended for women with AGC-favor neoplasia and AIS, if a lesion is not identified on initial workup.18 The role of HPV testing in AGC is not yet well established, however preliminary studies show potential value.117

OTHER MALIGNANT TUMORS.

Tumors present in the pelvis and reaching the uterine cavity, cervix, and vagina through patent fallopian tubes, usually lack tumor diathesis (80%).108 As reported by Ng,108 20% may have tumor diathesis when there is implantation with tissue destruction.

The most common and classic cytologic picture of an extrauterine tumor in smears is a few groups of tumor cells in a clean background.108 Occasionally, when the ovaries are involved by metastatic tumor, there is reactive hyperplasia of the stromal elements, with hormonal production and estrogenic stimulation of the cervicovaginal epithelium.

Metastatic disease can be detected in cervicovaginal samples. It is advisable that any history of previous cancer, other than uterine sites, be included in the requisition form that is sent to the cytology laboratory. In our experience, the most common sites are the ovary, stomach, and breast, but other sites can metastasize to the lower genital tract.108,118,119

Ancillary Testng

HUMAN PAPILLOMA VIRUS.

HPV is now recognized as the major cause of cervical cancer, a disease that kills more than 200,000 women around the world each year. However, HPV is common, infects essentially all vertebrate species, and induces primarily, but not exclusively, squamous epithelial neoplasia. Anogenital HPV infections are the most common sexually transmitted diseases. A conservative estimate of genital HPV prevalence in the United States is approximately 15% to 20%.120 Among more than 100 types of HPV, fewer than 20 are considered high risk for the development of cancer. Some HPV are associated with benign lesions, such as condyloma acuminata, especially types 6 and 11. Other viral types, such as 16, 18, 31, and 45 have been identified in 90% of squamous invasive carcinomas121,122 as well as in LSIL and flat condylomas.123,124,125 HPV 18 is associated more consistently with adenocarcinomas and small-cell neuroendocrine carcinomas than invasive squamous carcinomas of the cervix.

Histologically, these lesions have in common the presence of koilocytes126 in the intermediate and superficial layers of the squamous epithelium, in addition to other nonpathognomonic features.123,127,128,129,130,131,132,133 Three histologic types of condylomatous lesions are known.123 In the flat acanthotic condyloma lesions, the lower layers appear normal and the upper portion of the epithelium contains koilocytes. The papillary lesions show an exuberant exophytic growth, with the same architectural characteristics of the flat condyloma and atypia at the cellular level.123 The inverted and rare type grows inward into the endocervical glands.123 Regardless of the histologic type, the cells desquamated from these lesions are similar.

Human papillomavirus infection is recognized in cervicovaginal smears in an array of squamous cells that are quite characteristic of this virus’ cytopathic effect, namely koilocytes and dyskeratocytes.134 Cytologically, a koilocyte is a mature squamous cell with a well-defined large halo surrounding one or more atypical nuclei (see Fig. 17B). These cells were first observed by Ayre,135 who by clinical and cytologic correlation, described these balloon cells, as he called them, as related to a viral infection. Koss and Durfee126 named these cells koilocytes. Many years passed before a specific etiologic agent was encountered. Meisels and Fortin,123,134 using ancillary methods such as immunohistochemistry and electron microscopy, identified the intranuclear virus particles. The other cells described by Meisels and Morin,123 and currently accepted as a clue to HPV infection, are dyskeratocytes. Dyskeratocytes are keratinized squamous cells that are organized in three-dimensional clusters and characterized by vesicular nuclei with indistinct chromatin detail. They also are referred to as parakeratotic cells.123 Although some authors123 consider these cells an indication of HPV infection, others36 believe that they can be found in infectious processes of other etiologies. A variety of other nonclassic cells indicating HPV infection were recently introduced into the cytology literature,136,137,138,139 in addition to the classic koilocytes and dyskeratocytes. The newer nonclassic additions of cellular forms that are diagnostic of HPV infection include mild koilocytosis (koilocytes without nuclear atypia) (see Fig. 17A), mild dyskeratocytes (sheets of keratinized superficial squamous cells with normal nuclei), cells with keratohyaline-like granules (see Fig. 18), spindle squamous cells, nuclear hyperchromasia in otherwise benign cells, binucleation or multinucleation and perinuclear clearing (see Fig. 19),136 and spindled nuclei (see Fig. 20).139 There is evidence that, at the research level, nonclassic cytologic features are proof of HPV infection. This contention is supported by the detection of HPV-DNA sequences, by molecular biology techniques, in cells with minimal alterations.136 According to Schneider,136 when the diagnosis of HPV infection was made using the classic koilocytes and dyskeratocytes, only 15% of HPV-DNA–positive patients were identified correctly. However, when a panel of nonclassic cellular features was used, statistically discriminating analysis identified 84% of HPV-DNA–positive patients.136,140

The suspicion raised by zur Hausen122 of an association between the presence of HPV in the cellular genome and the development of cervical neoplasia was confirmed. For many years, the culture of these viruses was not feasible by traditional methods. A mature keratinized cell (permissive cell) is necessary for particle replication, and the difficulties involved in culturing this virus arose from the fact that this degree of maturation cannot be achieved in tissue culture.123 Subsequently, it was confirmed that patients with no evidence of morphologic abnormality at the cellular level harbored HPV-DNA sequences in their cervical epithelium.141,142 It has been shown that HPV-related lesions are more common in sexually active patients of younger age groups than in those older than 30 years, and that HPV infection is more common in the second half of pregnancy.143 In low-grade lesions, all viral genes are expressed as a manifestation of vegetative replication. In contrast, in HSILs and invasive carcinomas, there is a restricted pattern of viral gene expression involving primarily E6 and E7. In benign HPV lesions, the viral DNAs exist as extrachromosomal plasmids, mostly in monomeric circular molecules.144 Viral integration disrupts E2 open reading frame (ORF), which encodes the transcription regulatory proteins. Loss of these regulatory proteins is thought to be the basis for potential dysregulation of the expression of the transforming E6 and E7 ORFs.144,145 The only cells in the cervical epithelium that are capable of divison are the parabasal and basal cells. HPV gene expression is permitted only in cells that have begun squamous differentiation, and which concurrently have lost the ability to divide. The eventual outcome of coordination between the host and the virus is the production of a histologic LSIL, the only demonstrated source of infectious virions. Such lesions can regress or maintain themselves for extended periods of time.146

The nuclear enlargement and hyperchromasia seen microscopically is a result of the activation of host DNA synthesis mediated by E6 or E7.146 If the cells also have the correct amount and form of the cytokeratin binding protein, HPV E4, expressed, then they appear as koilocytes. Progression to HSIL may include viral integration or mutation in E2 such that E2 controlled regulation of E6 and E7 is lost. In such cases, E6 and E7 viral oncogenes are inappropriately expressed in cells that have the capacity to divide, hence cell proliferation and progression is initiated.146

Laboratory Techniques for Detection of HPV Infection and Reporting of Results.

Several laboratory techniques have been used to identify HPV in cells and tissue preparations, including immunohistochemistry and electron microscopy. These techniques can miss 50% of HPV-associated lesions.123 Subsequently, laboratory DNA hybridization tests were introduced to identify virus genomes in histologic and cytologic preparations. These tests involve variable technology and include in situ, filter in situ, hybridization, dot blot, Southern blot, and PCR analysis.123 Commercial kits are now available for in situ hybridization (Ventana), and a Hybrid Capture II assay from Digene Corporation is FDA approved for testing low-risk and high-risk HPV types.

The TBS does not endorse or promote the use of ancillary testing in conjunction with cervical cytology, however, specific ancillary tests may be used to complement the cytology test.8 Currently, many laboratories perform human papillomavirus (HPV) DNA testing as an adjunct to the cervicovaginal smear, especially in cases of ASCUS, based on the ALTS trial data69 and ASCCP guidelines.18 The Bethesda 2001 workshop developed examples of how ancillary testing may be reported in conjunction with cervical cytology results.

Description of Testing Method and Results.

The results of all ancillary tests should specify laboratory methods. With respect to HPV testing, several methods such as PCR, in situ hybridization, hybrid capture, etc., can be used. Each method has specific test characteristics and variable sensitivity and specificity based on the threshold that has been set for a positive result. TBS 2001 recommends that the method used should be stated and the results should be reported so they are easily understood by the clinician. For HPV testing, the results should be reported as positive or negative for HPV DNA of a certain type or class, and specific HPV types included in the assay can be listed, if the laboratory desires to do so.

Reporting of Molecular and Cytologic Results.

Integrated reporting of cytologic and molecular results together is not practical in all clinical settings. TBS 2001 endorses integrated reporting when possible; when this is not possible, the molecular report should refer to the other cytology report. (Bethesda System 2001 Workshop, Raab S, et al, unpublished data).

Gonorrhea and Chlamydia.

The FDA approved “out of vial testing” for gonorrhea and chlamydia, by the Roche Amplicor technique in 2002.

Computerized/Automated Screening

It is recommended that if computerized screening is used, a report title or a test methodology heading to indicate this as a part of all cervical cytology reports. The methodology for specimen preparation should be reported in addition to the use of instrumentation employed for arriving at the final interpretation/result.8 The result of automated slide examination should be stated in the report. The name of any individual who examines the cervical cytology slide and gives an opinion for the final report should be documented in the report with the role of the person clearly stated. If the slide is not manually screened (i.e., automated primary screening only), then there should be no name on the report that can be misconstrued as a person who examined the slide. The results generated by the instrument should be reviewed and verified by laboratory personnel with appropriate training and authorization and an internal laboratory record maintained according to regulations stipulated in the Clinical Laboratory Improvement Act of 1988 (Prey M, et al. Bethesda 2001 Workshop Consensus, unpublished data).

Various technologies are available and/or under development for primary screening and location guided screening of cervical cytology (Tripath Imaging, Cytyc Health Corporation). TriPath’s FocalPoint slide profiler, formerly AutoPap, is currently FDA approved for primary screening on both conventional and PrepStain processed slides.

Educational Notes and Recommendations on Reports

Continued communication between laboratories and clinical providers is crucial if cervical cytology is to maintain its high level of efficacy as a cancer screening test.147 Written comments regarding the validity and significance of cytology results are the responsibility of the pathologist generating the report and are directed to the clinician who ordered the test.8 The use of educational notes and/or suggestions is considered optional in TBS 2001,8 and if they are appended to cytology reports, they should be clearly, carefully, and concisely worded, and evidence-based. The use of notes that emphasize the limitations of cervical cytology as a screening test can also be used. If written suggestions are used, the format and style may vary depending on the preferences of the laboratory and the provider.8 Alerting clinicians to references containing consensus guidelines published by different professional organizations, such as The American Society for Colposcopy and Cervical Pathology (ASCCP), The American College of Obstetricians and Gynecologists (ACOG) and The National Comprehensive Cancer Network (NCCN) may also be helpful.8

Laboratory Quality Assurance of Cervical Cytology Reporting

To ensure accurate and reliable test results, the laboratory must monitor and assess the quality of all phases of the testing process from specimen collection, accessioning, preparation, microscopic evaluation, reporting, and record retention. To achieve this goal, laboratories have quality assessment parameters to evaluate that include preanalytic, analytic, and postanalytic processes and personnel involved. While specific components of the quality assurance program are established by the laboratory director, federal, and in many cases, state regulations define mandatory standards for laboratory practice.

With respect to cervicovaginal cytology, cytotechnologists screen all cases and can diagnose smears that have no evidence of intraepithelial lesion and those without any changes requiring confirmation by a pathologist. Pathologists review and diagnose all gynecologic cases that have any changes that are reactive, atypical, or have any intraepithelial or malignant lesion and all nongynecologic cases. Several quality control measures are in place for gynecologic cytology. These include, but are not limited to the following: (1) quality control rescreening: 10% of gynecologic smears not requiring a pathologist review, are rescreened by a second, senior cytotechnologists as a quality control measure; (2) monitoring of diagnostic categories: laboratories monitor the breakup to various diagnostic reporting categories and monitor rates of ASC, AGC, and ASC/SIL ratios; (3) cytologic-histologic correlation is done as follow-up and any significant discrepancies should ideally be discussed by the clinician and pathologist(s) involved to ensure appropriate follow-up; and (4) follow-up letters on HSIL and malignant cases are sent by the laboratory to the clinician if no follow-up histology/smear is seen following a diagnosis of a significant lesion (HSIL, AGUS-neoplasia/AIS/cancer).

Vaginal Lesions

Inflammatory diseases of the vagina are similar to those described in this chapter in the Organisms section. Benign processes in this area include inclusion cysts and cysts of müllerian origin, which are lined by squamous and columnar or mucosecreting epithelium, respectively.148 These benign processes are adequately sampled by fine-needle aspiration.

Vaginal adenosis is found most frequently in the upper anterior vaginal wall. A variety of cells can be obtained by scraping these lesions. The endocervical cell type is the most common. Squamous metaplasia, microglandular hyperplasia, and epithelium resembling endometrial and oviduct epithelium148 also may be seen. Clear cell adenocarcinoma is rare in patients exposed to diethylstilbestrol (DES) in utero, occurring in approximately 0.1%. It coexisted with adenosis in 95% of the cases reported by Robboy and associates.149,150 Most commonly, malignant neoplasms of the vagina are of a metastatic nature. Because of its close proximity to other organs, the vagina may be the site of metastasis or direct extension of malignant neoplasms (80% to 90% of cases).148 These neoplasms can easily be identified by cytologic methods.

Hormonal Evaluation

The analysis of cellular vaginal samples for assessment of hormonal status has some limitations, but offers an easy, efficient, and rapid method to evaluate the hormonal status of the patient.151 The ideal specimen is obtained from the upper lateral vaginal wall151 by gentle scraping. The presence of inflammation and inflammatory changes of the squamous cells precludes the assessment of hormonal evaluation. In the interpretation of hormonal cytologic findings, it is essential that certain clinical facts be available, particularly patient age, recent menstrual history, and pertinent clinical endocrine findings. As a screening test, the assessment of the hormonal status of a patient can be an adjunct to other clinical procedures for the diagnosis of several endocrinologic abnormalities (Table 3).

 

TABLE 3. Hormonal Cytologic Findings in Various Endocrinopathies

  Primary Amenorrhea

  Gonadal dysgenesis: In Turner’s syndrome, the smear is atrophic, and in 80% of cases, findings are negative for the sex chromatin body. Occasionally, there may be two or more sex chromatin bodies, or variety, suggesting mosaicism. In some patients with atypical dysgenesis, the smear may show slight proliferation.
  Pituitary infantilism: The smear varies from atrophic to intermediately proliferative. Sex chromatin findings are positive.
  Ovarian eunuchoidism: The smear is atrophic. Sex chromatin findings are positive.
  Testicular femininization syndrome: The smear shows a good estrogen effect, but sex chromatin findings are negative.
  Simple congenital absence of uterus: The smear shows a normal cyclic pattern. Sex chromatin findings are positive.
  Congenital adrenal hyperplasia: Sex chromatin findings are positive. The degree of intermediate proliferation varies, and the smear may be atrophic.
  Precocious puberty syndrome: Constitutional or idiopathic: The smear is proliferative and may show cycling.
  Lesions of central nervous system: The degree of proliferation varies.
  Granulosa and theca cell tumors of the ovary: The smear is highly proliferative.


  Secondary Amenorrhea of Hypothalamic Origin

  Psychogenic: Smears vary from atrophic to moderately proliferative. The degree of estrogen effect is useful guide to the prognosis.
  Environmental: Smears generally show varying degrees of proliferation.
  Syndromes of oligomenorrhea and hirsutism

  Stein-Leventhal syndrome: The proliferation of the smear varies from intermediate to good. Large parabasal and intermediate cells of the navicular type may be present. The picture may be one of mixed hormonal effect.
  Adrenogenital syndrome: The smear may vary from atrophic to small intermediate cell proliferation. Some mixed hormonal patterns are present.
  Cushing’s syndrome: Generally, cell proliferation is intermediate.
  Masculinizing tumors of the ovary: Generally, the smear is atrophic. Some with mixed hormonal effect.
  Genetic: The smear is proliferative and may be cyclic.


  Syndromes of amenorrhea and galactorrhea

  Chiari-Frommel syndrome: Typically, the smear is markedly atrophic.
  Pituitary tumors and central nervous system lesions (Forbes-Albright syndrome): The smear varies. Generally, cells are parabasal and small intermediate or occasionally good proliferation is present.
  Del Castillo’s syndrome (nonpuerperal, dysfunctional): Usually, small intermediate cells predominate.
  Pseudocyesis: Proliferation often with progestational characteristics.
  Menopausal syndrome: Great individual variation. Early in the climacteric, the smear may show high proliferation, but no cycling. In some cases, atrophic changes may occur abruptly, whereas in others, varying degrees of proliferation may be evident for years, with a gradual shift in the maturation index to the left.




Rakoff AD: Hormonal cytology of endocrinopathies. In Wied GL, Keebler cM, Koss LG, Reagan JW (eds: Compendium of Diagnostic Cytology, pp. 49–50. 6th ed. Chicago: Tutorials of Cytology, 1990.)

 

For practical purposes, the Papanicolaou stain is used when the smears are screened for preneoplastic or neoplastic processes and for hormonal evaluation. However, the rapid Shorr method, used specifically for hormonal evaluation, can give excellent results, but is not used routinely in the United States.151 Other rapid supravital stains with practical application for immediate in-office evaluation also offer excellent results. Phase microscopy is a rapid, reliable technique that uses fresh, unfixed material.151 It offers the additional advantage of evaluating microbiologic flora.

Several indexes are used to report the hormonal status of patients. The most useful is the maturation index, which uses three cell types (parabasal, intermediate, and superficial cells) (Fig. 28). Superficial cells have pyknotic nuclei and are seen when the vaginal epithelium is stimulated by estrogenic substances (Fig. 29). Intermediate cells usually have cyanophilic cytoplasm and vesicular viable nuclei (see Fig. 29), and their presence most frequently indicates the progestogenic effect usually seen during the second half of the cycle, in pregnant patients, and in some postmenopausal patients who never achieve a parabasal atrophic pattern.151

Fig. 28. A. The karyopyknotic index is the ratio of mature superficial cells to mature intermediate cells, regardless of staining reaction. B. The maturation index is the ratio of parabasal cells to intermediate cells to superficial cells expressed in percentages, and written as 10/80/10. If there are numbers in all three spaces, the sample should be rejected from hormonal evaluation. C. The eosinophilic index is the ratio of mature eosinophilic squamous cells to mature cyanophilic squamous cells, regardless of nuclear appearance. D. The folded cell index is the ratio of mature folded squamous cells to mature flat squamous cells, regardless of staining reaction or nuclear appearance. E. The crowded cell index is the ratio of mature squamous cells in clusters of four or more cells lying either singly or in clusters of fewer than four cells, regardless of staining reaction, nuclear appearance, cellular folding, or flatness.(Wied GL, Bibbo M: Hormonal cytology. In Bibbo M (ed): Comprehensive Cytopathology, p 95. Philadelphia, WB Saunders, 1991.)

Fig. 29. Superficial squamous cells showing abundant cytoplasm and pyknotic nuclei (arrow). Intermediate squamous cell with vesicular nuclei (arrowhead). On the left of the field, smaller cells of metaplastic origin are seen. Inset. Parabasal cells.(Papanicolaou, × 1200). (Wied GL, Keebler CM: Hormonal cytology. In Weid GL (ed): Teaching Slide Sets in Cytology. Vol. 8. Chicago, Tutorials of Cytology, 1973.)

This lack of atrophy depends on several parameters, including the adrenal production of pregnenolone,151 which is metabolized to estrone in the peripheral fat. This substance is an estrogenic stimulator that maintains the vaginal epithelium of some postmenopausal women, with resultant maturation to an intermediate or superficial cell type.

Persisting hypermaturation of the cells exfoliated from the vaginal mucosa can result from the presence of a functioning ovarian tumor, but an unexplained pseudoestrogenic effect is occasionally encountered in endometrial, ovarian, and breast carcinoma.151

The parabasal pattern is also found in smears of newborn girls after the effects of the mother’s hormones disappear, in postpartum and postmenopausal women, and in women with anorexia nervosa. The last effect is because of the decrease in the level of pituitary gonadotropin that occurs with secondary ovarian failure (see Fig. 29).151

Nonhormonal factors may induce changes in vaginal mucosa that do not necessarily indicate similar hormonal status. Several bacterial types, trichomonads, and fungal infection may cause pseudoeosinophilia that precludes adequate cytohormonal evaluation.151

Döderlein’s bacilli destroy the cytoplasm of the intermediate cells by a process of cytolysis, preventing the maturation of the cells to a superficial level and rendering the assessment of hormonal status erroneous.

Irradiation affects the mitotic apparatus of the cells from the basal layers, and exfoliation after this modality of treatment yields cells that show an atrophic pattern that is resistant to exogenous estrogenic stimulation.152 Avitaminosis A and C can induce changes that mimic estrogenic stimulation caused by generalized hyperkeratosis of the mucosa.153 Nonhormonal influences may cause changes in the vaginal epithelium that may be misleading to the cytopathologists. For instance, large doses of digitalis induce increased maturation mimicking increased levels of estrogenic substances in patients with decreased liver function.153

ESTROGEN STIMULATION TEST.

Diagnostic problems in atrophic smears can be overcome by the use of short-term low dosages of estrogen. This estrogenic test is indicated when it is doubtful whether the atypical cells are due to severe benign atrophic changes or neoplasia. The induced growth and maturation of the cells will be complete in benign or atypical changes caused by atrophy, and the atypical cells will remain in cases of neoplasia.151,152 The test is also indicated in radiation-treated patients to exclude severe radiation changes or recurrent tumor.11 The estrogenic test is not used to clarify the nature of glandular atypia. The accepted procedure is either topical administration of vaginal cream daily for 3 days, with smears repeated on the fifth day, or parenteral use of 20 mg long-acting estrogenic substance, with smears repeated by the seventh day.151

Vulvar Lesions

The success of cytologic diagnosis of vulvar lesions is dependent on the technique used to obtain the specimen.148 The best technique is a forceful scrape of the lesion, because a thick keratinized layer is part of the normal vulvar mucosa. If a gentle swab of the lesion is used, most of the cells obtained will be anucleated squames. A warm, moist gauze pad can be soaked in saline solution and placed over the thick keratin layer overlying the lesion. The first specimen may be discarded, and a second taken to obtain cells from the deeper layers, which would be diagnostic of the lesion.

Unless they are ulcerated, biopsy should be performed on pigmented lesions. For ulcerated lesions, a touch preparation should be obtained with a glass slide held against the ulcerated surface.148

The most common infectious lesions diagnosed in the vulvar area are of viral etiology: herpes genitalis and HPV infection. Topical treatment of some infectious vulval lesions with podophyllin may induce cellular changes mimicking dysplasia or CIS.148 Adequate clinical history would avoid false-positive diagnosis of treated lesions.

Mycotic infections usually are caused by several species of Candida and Torulopsis glabrata.148 The epithelial changes induced are inflammatory and are easily identifiable cytologically.

DYSTROPHY.

Several types of dystrophy affect the vulvar area: hyperplastic, atrophic, and mixed. They are overlayered by keratotic layers. Because keratosis is a normal component of the vulvar area, the presence of anucleated cells is not diagnostic of dystrophic lesions.148 The same holds true for lichen sclerosis. A precise clinical diagnosis of lichen sclerosis associated with smears containing a large number of anucleated squames is suggestive of this entity, but this finding does not exclude other diseases that may underlie the thick keratotic layers. The clinician must recognize the possibility of the association of underlying dysplasia in 16% and 10% of mixed and hyperplastic dystrophies, respectively. Underlying dysplasia rarely exists in lichen sclerosis.148,154,155 There also is the potential for the development of malignant processes from dysplastic dystrophy that would go undetected by cytology if the surface keratotic layers are not disrupted and the deeper layers sampled.

MALIGNANT DISEASE.

Malignant neoplasms of the vulva account for 5% of the malignancies that affect the female genitalia. The most common lesion is invasive squamous carcinoma (51%) followed by in situ squamous lesions (25%), Paget’s disease (8%), malignant melanoma (5%), adenocarcinoma (2%), basal cell carcinoma (2%), and sarcoma (1%).156,157 Metastatic disease to the vulvar area accounts for 8% of these lesions.156,157 Squamous carcinoma is classified histologically as keratinized, nonkeratinized, and small cell. The biologic behavior is variable depending on the histologic type that can be assessed in cytologic samples.155 Verrucous carcinomas refer to tumors with minimal nuclear atypia forming exophytic papillary growths overlayered by hyperkeratosis or parakeratosis. Verrucous carcinomas exfoliate squamous cells with minimal nuclear atypia, in addition to hyperkeratotic and parakeratotic cells.148 The cellular components are identical to those of cells exfoliated from several hyperplastic processes.148 A biopsy should be obtained that includes the base of the lesion for adequate histologic diagnosis.148 If adequately sampled, basal cell carcinoma can be diagnosed cytologically. Most frequently, these lesions are found in the labia majora148 and the perirectal area. They should be diagnosed carefully and adequately with cytologic or histologic methods, because in this area the differential diagnosis is cloacogenic carcinoma of the rectum.148

Paget’s disease also is frequently found in the labia majora in older women.148 There are several well-documented theories about the histogenesis of Paget’s disease of the vulva from the basal layer of the epithelium and its appendages or underlying glands.148 Cytologic techniques cannot differentiate between Paget’s disease, other primaries, and metastatic invasive adenocarcinomas occurring in the vulva.148,155

Anal Cytology

The use of anal-rectal cytology in the evaluation of HPV-related lesions is a relatively new tool. Its usefulness is still being investigated and described.158,159 The target of sampling is the entire anal canal, including the keratinized and nonkeratinized portions and the anal transformation zone. There are parallels between cervicovaginal and anal-rectal cytology, and it is suggested that terminology, criteria, and guidelines for evaluation of anal-rectal specimens should parallel those used for gynecologic cytology.8

Cytologic samples are often collected without direct visualization of the canal, although some clinicians may use an anoscope to introduce the collection device. Collection devices used include Dacron-fiber swabs, cytobrush; the former is reported to be better tolerated by patients. Both conventional and liquid-based cytology maybe used; there have been reports that liquid sampling decreases obscuring fecal material, air-drying, and mechanical artifacts.160,161 Criteria for adequacy have not been well established, however the topic was addressed at the 2001 Bethesda Workshop. Cell types seen in these preparations include anucleate squames, nucleated squamous cells, metaplastic squamous cells, and columnar glandular cells from the rectum.

Ovarian Cytology

Approximately 10% of ovarian cancers are thought to have a hereditary basis. The strongest risk factor for the development of disease is a family history of ovarian cancer. Germline mutations in the BRCA1 and BRCA2 breast-ovarian cancer susceptibility genes appear to account for most hereditary ovarian cancers. A much smaller fraction occur as a result of DNA repair gene mutations.162 BRCA1 is a phosphoprotein located in the cell nucleus that functions as a negative regulator of the cell cycle.163,164,165 It is considered an active inhibitor for development of neoplasia, a tumor-suppressor gene, and is located in chromosome 17q21. Gene mutations of BRCA1 have been implicated in 80% of familial breast and ovarian cancers166,167 and these mutations are inherited through the germ cell line.167 The risk of a BRCA1 carrier developing breast carcinoma is between 33% and 50% in contrast to 2% in young patients without inherited mutations.168 The risk for the development of ovarian carcinoma in these women is also increased and estimated to be between 28% and 44%.168,169 Germline mutations in the BRCA 2 gene, which is located on chromosome 13q12, may account for as much as 10% to 35% of ovarian cancers.

The cells scraped from ovarian surface of patients with BRCA1 and BRCA2 mutations show a complex arrangement of cells with florid papillary fronds and large sheets (Fig. 30). Some clusters may contain cells with slightly enlarged nuclei and infoldings of the nuclear envelopes are often noticeable. These findings contrast with the cytologic features of cells from normal ovaries, which show small monolayers of cuboidal cells with minimal cytoplasm, and occasionally clusters of columnar cells with maintained polarity (Fig. 31). The cytologic features seen in BRAC1 and BRCA2 ovaries correlate well with the histological findings, in which complex micropapillary excrescences are seen in foci of the ovarian surface epithelium with multiple clefts deep in the ovarian stroma (Figs. 32 and 33).

Fig. 30. Exuberant fronds of hyperplasia in a scrape smear of the ovarian surface epithelium.(Papanicolaou, × 600).

Fig. 31. Cytology of normal ovarian surface epithelium in a scrape smear.(Papanicolaou, × 600).

Fig. 32. Hyperplasia on the ovarian surface in a histologic section Hematoxylin and eosin, × 400).

Fig. 33. Hyperplasia on the ovarian surface, showing deep clefting in a histologic section. Hematoxylin and eosin, × 400.)

Surveillance and management of young patients with the propensity to develop ovarian carcinoma may include prophylactic surgery, preventive chemotherapy,168 and most recently, a new approach of studying cells obtained by scraping the ovarian surface during laparoscopy.170 Several laboratory techniques may be employed to identify patients that carry this type of abnormality.170 In the surgical pathology setting, immunohistochemical staining using avidin-biotin-peroxidase complex method is feasible. The immunoreactivity identified is graded by the proportion of malignant cells showing distinctive nuclear staining as well as the aberrant cytoplasmic staining in these cells,171 however, utilization of this methodology is still controversial.172

Back to Top
PERITONEAL WASHINGS

Peritoneal washing cytology performed during surgery or second-look laparoscopy for carcinoma is used by gynecologic oncologists for the management of patients with gynecologic malignancies, specifically ovarian and endometrial carcinomas.173,174 A malignant finding on peritoneal washing in patients harboring ovarian carcinoma is of major importance for substaging this type of neoplasm, especially early (FIGO I and II) ovarian cancer, where presence of malignant cells warrants assignment to stage IC or IIC and indicates a poorer prognosis.172,173,174,175,176 Cytology is more sensitive in detecting ovarian carcinoma in ascites than in peritoneal washings, as well as in patients with peritoneal metastasis greater than 0.5 cm.

The presence of epithelial cells in the peritoneal fluid of patients with borderline/atypical proliferative ovarian tumors has previously been a problematic area in cytopathology. This problem no longer exists because accurate subclassification of neoplasms into benign and malignant types renders the peritoneal cytology specimens in most of the patients who have benign tumors to be of no relevance. The small number of patients with bona fide carcinoma (patients with micropapillary serous carcinoma or atypical proliferative serous tumor) can be substaged based on the presence or absence of epithelial cells resembling the primary ovarian tumor in the cytology specimens.

Between 5% and 15% of patients with endometrial carcinoma have positive peritoneal cytology, and this may be the only manifestation of extrauterine spread of the tumor. The presence of malignant cells in the peritoneal sample, qualifies for stage IIIA. The literature regarding the significance of this spread has varied, with some studies reporting higher recurrence, and others noting lack of significance in predicting recurrence or death.177,178 However, the weight of evidence in larger studies with multivariate analysis, supports the presence of malignant cells in peritoneal washings of patients with endometrial carcinoma to be a significant predictor of poor prognosis in all disease stages.179

Mesothelial cells collected by saline washings during laparoscopy, laparotomy, or culdocentesis are morphologically different from those desquamated spontaneously. The latter float in peritoneal, pleural, or pericardial effusions and acquire a globular appearance. In contrast, mesothelial cells taken by force in washings are arranged in monolayers assuming a mosaic-like appearance. The nuclei are monomorphic and easily identified as benign cells (Fig. 34). However, in cell blocks of these washings, strips of mesothelial cells assume a coiled appearance during the centrifugation, mimicking papillary-like fronds and acinar-like formations suggestive of adenocarcinoma. Close scrutiny shows the cuboidal, monomorphic appearance of mesothelial cells.

Fig. 34. A monolayer of benign mesothelial cells from a peritoneal washing.(Papanicolaou, × 900).

It is important to avoid false-positive or false-negative readings for adequate patient management. A false-positive rate of 4.5% has been reported in benign conditions.180,181

The most important pitfall in the examination of peritoneal cytology specimens in women involves benign epithelial proliferations. To avoid erroneous readings, the cytopathologist should be familiar with the morphologic features of benign-reactive, low-grade tumors, and müllerian inclusions and intraperitoneal chemotherapy effect.180,181 Sneige and associates180,181 studied eight cases of müllerian inclusion, four of which were misdiagnosed as adenocarcinoma. Several concepts have been offered in the literature to explain the histogenesis of müllerian inclusions, including lymphatically transported endometrial tissue, müllerian metaplasia of the coelomic epithelium,182 and tubular epithelium sloughing secondary to inflammatory processes of the fallopian tube mucosa. Metaplasia of the müllerian epithelium seems to be the best accepted concept. These inclusions have been referred to as benign glandular inclusions, endometriosis, and salpingiosis.180,181 Histologically, these lesions are tubular or papillary fronds arranged in single layers and embedded in the uterine serosa, omentum, or pelvic lymph nodes.183,184,185,186,187,188,189,190,191,192,193 The epithelial component resembles the epithelium of the fallopian tubes, endometrium, or endocervix.182 These structures may shed clusters of cells in single rows surrounding psammoma bodies. This feature is a potential source of confusion, and these structures may be diagnosed as well-differentiated adenocarcinoma in peritoneal washings by a less experienced cytopathologist (Fig. 35).180,181 Another source of confusion is overstaining of cells that are detached from focal hyperplasia of the pelvic peritoneal epithelium or ovarian surface. Globules of collagen surrounded by epithelial cells are characteristic of this entity (Fig. 36).194

Fig. 35. Histologic section of müllerian inclusion showing a structure formed by collagen infiltrated by lymphocytes and showing foci of calcification (Hematoxylin and eosin, × 900). Inset. A psammoma body surrounded by a single row of epithelial cells.(Papanicolaou, × 900).

Fig. 36. A globule of collagen and mesothelial cells from a patient with hyperplasia of the ovarian surface epithelium.(Papanicolaou, × 1200).

Hyperplasia of the mesothelium associated with calcified structures also may cause confusion because it mimics serous neoplasms with psammoma bodies. They are commonly found in specimens obtained from patients with pelvic inflammatory disease. There is lack of atypia, which is characteristic of nonneoplastic processes.

Back to Top
FINE-NEEDLE ASPIRATION OF THE OVARY

Fine-needle aspiration of ovarian tumors can be performed through the vagina, rectal mucosa, or percutaneously through the abdominal wall. This information should be conveyed to the cytopathologist, because when done transvaginally, squamous cells can be seen and be mistaken for a component of a dermoid cyst. Presence of bacteria on the squamous cells indicates vulvar origin. When both preservation of ovarian function and assessment of the nature and spreading pattern of malignant tumors are necessary, fine-needle aspiration of ovarian neoplasms is indicated. The morbidity rate is low. Occasionally, infection has been reported when aspiration was done transvaginally and transrectally.195,196 The location, size, and consistency of the tumor are evaluated by palpation, and the route of aspiration is established. Frequently,195,196,197,198,199 the transpelvic route is favored because in larger cystic ovarian tumors, the solid portion is located intrapelvically, whereas the cystic portion is situated in the abdomen.197

Aspiration of nonneoplastic ovarian cysts usually is performed in lesions that are up to 4 to 5 cm in diameter. The cysts must be unilocular, translucent, and without semisolid or solid components or surface excrescences. Squamous cells and colonic cells from the vagina, rectum, and mesothelial cells are frequent components of the aspirate. Colonic cells retrieved during aspiration should be identified precisely, and not misdiagnosed as cells arising from a mucoproducing ovarian neoplasm.198 In many countries other than the United States this approach is used to sample large ovarian lesions. However in this country fine-needle aspiration of ovarian lesions is mainly reserved for small cystic lesions, and in women being investigated for infertility. Only if there is evidence of large ovarian lesions with extension into the pelvis or metastatic disease, fine-needle aspiration is used as a diagnostic tool.

Nonneoplastic Lesions

Nonneoplastic lesions comprise endometrioid, follicular, and corpus luteum cysts.

Surface epithelial inclusions, paraovarian, and paratubal serous cysts yield clear fluid and degenerated epithelial cells. In aspirates, they are indistinguishable from each other, and clinical correlation is necessary to establish their precise nature.199

ENDOMETRIOID CYSTS AND ENDOMETRIOSIS.

Aspirates of endometriosis contain hemosiderin-laden histiocytes and clusters of endometrial cells in varying stages of degeneration, seen against a background of debris. Not all of these elements are consistently present in aspirates from patients with endometriosis. However, the presence of histiocytes and clinical suspicion by the gynecologist point toward this diagnosis. After multiple bleeding episodes the epithelium may become hyperplastic and highly atypical, mimicking adenocarcinoma in cytology samples and possibly result in a false positive diagnosis. To compound the problem some types of uterine (papillary serous) and ovarian (clear-cell) adenocarcinomas can arise in association with endometriosis. Also the presence of extensive adhesions may also mimic ovarian neoplasia radiologically.

FOLLICULAR CYSTS.

Most frequently, patients seek medical care because of menstrual disturbances related to increased estrogenic stimulation produced by these cysts.197 Aspiration of follicular cysts yields clusters and single cells with a high nuclear-cytoplasmic ratio and granular chromatin mimicking cells originating from neuroendocrine tumors (Fig. 37). Mitotic figures may be present sparsely or in high numbers.198,200,201 Nuclear grooving also may be observed. The differential diagnosis with cystic granulosa cell tumors is based on the identification of Call-Exner bodies. They are present in cystic granulosa cell tumors and absent in cells derived from follicular cysts. Luteinized follicular cysts may show nuclear atypia in postpartum patients and also in young, cyclic patients.200

Fig. 37. Histologic section of a portion of a follicular cyst showing layers of follicular cells lining the luminal surface. (Hematoxylin and eosin, × 680). Inset. A cluster of follicular cells in three-dimensional arrangement showing limited cytoplasm and enlarged nucleoli.(Papanicolaou, × 900).

Neoplastic Cysts

Fine-needle aspiration of neoplastic cysts is limited to tumors with adhesions to the pelvis, caused by malignant infiltration and tumors with known metastasis. Mobile cystic lesions larger than 4 cm usually are not aspirated because they may represent neoplastic processes that when punctured, may seed the pelvic peritoneum.

Benign neoplasms and tumors of low malignant potential are difficult to evaluate on cytology because of sample restriction and lack of the architectural criteria encountered in histologic sections. Benign tumors usually yield monolayers of monomorphic benign-appearing cells.

Usually, borderline tumors are more cellular, with variably shaped nuclei (Fig. 38) and more pronounced nuclear atypia. It is difficult to differentiate borderline tumors from invasive carcinomas by cytology alone in the majority of cases, and a cytologic diagnosis of adenocarcinoma maybe be rendered in a tumor that is borderline on histology.

Fig. 38. Left. Histologic section of a borderline serous tumor. (Hematoxylin and eosin, × 520). Right. A cluster of small monomorphic cells from the neoplasm.(Papanicolaou, × 900).

Serous, mucinous, endometrioid, and clear cell tumors of the ovary are for the most part cystic lesions, and aspirates usually yield some fluid. The most common neoplasm is the serous type, which yields groups of cells in papillary, acinar, and single forms. Psammoma bodies may be encountered in aspirates, but this feature is present in only a minority of cases (Fig. 39).196 Mucinous tumors yield a variable amount of mucin and maybe paucicellular. Mucinous cells can also resemble histiocytes. Well-differentiated mucinous malignant tumors are difficult to differentiate in aspirates from borderline and benign mucinous neoplasms of the ovary. Clinical correlation and location of the lesion may shed some light in the differential diagnosis.

Fig. 39. Left. Histologic section of an invasive serous adenocarcinoma. (Hematoxylin and eosin, × 260). Right. A cluster of cells from the tumor, showing marked pleomorphism and nuclear atypia.(Papanicolaou, × 1200).

Aspirates from endometrioid adenocarcinoma of the ovary can mimic serous type neoplasms in aspirates. Because psammoma bodies are not present with great frequency in aspirates of the serous type (Fig. 39), and endometrioid carcinomas also may have psammoma bodies their presence is not a marker for differentiating these two neoplasms.196 Sex-cord stromal and germ cell tumor components can be identified and diagnosed on cytology, however accurate classification is dependant on the adequacy of sampling.

Metastasis to the ovary most frequently originate from the gastrointestinal tract and the breast. Identification of the tumor as adenocarcinoma is easily done on cytology, however establishing the origin may require immunohistochemical stains and clinical correlation. Signet ring cell type of morphology is often seen in Krukenberg tumors. In cases in which a primary tumor has been diagnosed previously, comparison of the histologic features with those of the primary tumor can establish whether the cells aspirated from the ovary are part of a primary or metastatic process.195 Lymphoma in the ovary is, for the most part, a secondary/metastatic neoplasm.

Fine-Needle Aspiration Cytology in the Staging of Gynecologic Malignancies

Under radiologic guidance, fine-needel biopsy biopsy is used in gynecologic oncology in the evaluation of intra-abdominal and pelvic masses and also for any superficially palpable masses/lymph nodes. Fine-needle aspiration can be utilized for primary diagnosis or staging/recurrence/detection of metastasis in various malignancies. Fine-needle aspiration biopsy for detection of metastatic disease has a high sensitivity and specificity.202 The cytologic appearance of metastatic gynecologic malignancies is similar to the morphology of the primary tumor.

Back to Top
REFERENCES

1. Papanicolaou GN, Trunt HF: Diagnosis of Uterine Cancer by the Vaginal Smear. New York, The Commonwealth Fund, 1943

2. Papanicolaou GN: Atlas of Exfoliative Cytology. Cambridge, The Commonwealth Fund, 1943

3. Reagan JW, Seidemann IL, Patten SF: Developmental stages of in situ carcinoma in uterine cervix: An analytical study of cells. Acta Cytol 6:538, 1953

4. Richart RM: The influence of diagnostic and therapeutic procedures on the distribution of cervical intraepithelial neoplasia. Cancer 19:1635, 1966

5. National Cancer Institute Workshop: The 1988 Bethesda system for reporting cervical/vaginal cytologic diagnosis. JAMA 262:931, 1989

6. Kurman R, Solomon D: The Bethesda system for cervico-vaginal cytology. Springer Verlag, 1994

7. Davey D, Woodhouse S, Styer P, et al: Atypical epithelial cells and specimen adequacy: Current laboratory practices of participants in the College of American Pathologists interlaboratory comparison program incervicovaginal cytology. Arch Pathol Lab Med 338:423, 1998

8. Solomon D, Davey D, Kurman R, et al: The 2001 Bethesda System: Terminology for reporting results of cervical cytology. JAMA 287:2114, 2002

9. Reagan JW, Ng AB: The cells of uterine adenocarcinoma. In Wied GL (ed): Monographs in Clinical Cytology. 2nd ed.. Vol. 1:Basel, S Karger, AG, 1973

10. NCCLS: Papanicolaou Technique: Approved Guidelines. 2nd ed.. Vol. 21:2001

11. Weintraub J, Morabia A: Efficacy of a liquid based thin layer method for screening in a population with a low incidence of cervical cancer. Diagn Cytopathol 22:52, 2000

12. Papillo JL, Zarka ML, St John TL: Evaluation of Thin Prep pap test in clinical practice. Acta Cytol 42:203, 1998

13. Ashfaq R, Gibbons D, Vela C, et al: Thin Prep Pap Test accuracy for glandular disease. Acta Cytol 43:81, 1999

14. Gupta PK, Baloch ZW, Cobbs C, et al: Processing liquid based gynecologic samples: Comparison of available technologies. Acta Cytol 45:995, 2001

15. Bishop J, Kauman R, Taylor D: Multicenter comparison of manual and automated screening of Autocyte gynecologic preparations Acta Cytol. 43:34, 1999

16. Sedlis A, Chen P: Cytology. In Sciarra J (ed): Gynecology and Obstetrics. pp. 1, 25 Vol 1:New York, Harper & Row, 1986

17. Chan JKC, Kung ITM: Rehydration of air-dried smears with normal saline application in fine-needle aspiration cytologic examination. Am J Clin Pathol 89:30, 1988

18. Wright TC, Cox T, Massad LS, et al: 2001 Consensus guidelines for management of women with cervical cytologic abnormalities. JAMA 287:2120, 2002

19. Vooijs GP, Elias A, Van der Graaf Y, et al: Relationship between the diagnosis of epithelial abnormalities and the composition of cervical smears. Acta Cytol 29:323, 1985

20. Elias A, Linthorst G, Bekker B, et al: The significance of endocervical cells in the diagnosis of cervical epithelial changes. Acta Cytol 27:225, 1983

21. Ransdell JS, Davey DD, Zaleski S: Clinicopathologic correlation of the unsatisfactory Papanicolaou smear. Cancer Cytopathol 81:139, 1997

22. Davey DD, Austin RM, Birdsong G, et al: ASCCP patient management guidelines: Pap test specimen adequacy and quality indicators. J Lower Genital Tract Dis 6:195, 2002

23. Gupta PK: Microbiology, inflammation and viral infections. In Bibbo M (ed): Comprehensive Cytopathology. pp. 115, 152 Philadelphia, WB Saunders, 1991

24. LaVecchia C, Franceschi S, Decarli A, et al: Sexual factors, venereal disease and the risk of intraepithelial and invasive neoplasia. Cancer 58:935, 1986

25. Schacter J, Hill EC, King EB, et al: Chlamydia trachomatis and cervical neoplasia. JAMA 248:2134, 1987

26. Morse AR, Coleman DV, Gardner SD: An evaluation of cytology in the diagnosis of herpes simplex virus infection and cytomegalovirus infection of the cervix uteri. Br J Obstet Gynaecol 81:393, 1974

27. Matas AJ, Simmons RL, Najarian JS: Chronic antigenic stimulation, herpes virus infection, and cancer in transplant recipients. Lancet i:1277, 1975

28. Matas AJ, Simmons RL, Kuellstrand CM, et al: Increased incidence of malignancy during chronic renal failure. Lancet i:883, 1975

29. Bosch FX, Munoz N: Human papillomavirus and cervical neoplasia: A critical review of the epidemiological evidence. In Munoz N, Bosch FX, Jensen OM (eds): Human Papillomavirus and Cervical Cancer. pp. 135, 151 Lyon, France, 1989

30. Bibbo M, Keebler CM, Wied GL: The cytology diagnosis of tissue repair in the female genital tract. Acta Cytol 15:133, 1971

31. Patten SF: Benign proliferative reactions of the uterine cervix. In Wied GL, Keebler CM, Koss LG, Reagan JW (eds): Compendium on Diagnostic Cytology. pp. 83, 87 6th ed.. Chicago, Tutorials of Cytology, 1988

32. Wallock JL, Hong HY, Bibb LM: Effect of therapy on all body sites. In Bibbo M (ed): Comprehensive Cytopathology. pp. 860, 877 Sect D. Philadelphia, WB Saunders, 1991

33. Von Haam E: Radiation cell changes. In Wied GL, Keebler CM, Koss LG, Reagan JW (eds): Compendium on Diagnostic Cytology. 6th ed.. Tutorials of Cytology. Chicago, University of Chicago Press, 1988

34. Silverman S: Ultrastructure observations of radiation response in oral exfoliative cytology. Acta Cytol 13:292, 1969

35. Herovici C: Cytochemistry of irradiated cells. Acta Cytol 3:360, 1959

36. Vooijs PG: Benign proliferative reactions, intraepithelial neoplasia and invasive cancer of the uterine cervix. In Bibbo M (ed): Comprehensive Cytopathology. pp. 153, 230 Philadelphia, WB Saunders, 1991

37. Graham RM, Graham JB: Cytological prognosis in cancer of the uterine cervix treated radiologically. Cancer 8:59, 1955

38. Gupta S, Mukherjee K, Gupta YN, Kumar M: Sequential radiation changes in cytology of vaginal smears in carcinoma of cervix uteri during radiotherapy. Int J Gynaecol Obstet 25:303, 1987

39. Ward HN, Konikov N, Reinhard EH: Cytologic dysplasia occurring after busulfan (Myleran) therapy. Ann Intern Med 63:654, 1965

40. Gureli N, Denham SW, Root SW: Cytologic dysplasia related to busulfan (Myleran) therapy. Obstet Gynecol 21:466, 1963

41. Penn I, Brunson ME: Cancers after cyclosporine therapy. Transplant Proc 20:885, 1963

42. Porreco R, Penn I, Droegemueller W, et al: Gynecologic malignancies in immunosuppressed organ homograft recipients. Obstet Gynecol 45:359, 1975

43. Bukovsky A, Zidovsky J: Cytologic phenomena accompanying uterine cervix electrocoagulation. Acta Cytol 29:353, 1985

44. Allen JM, Stein DS, Shingleton HM: Regeneration of cervical epithelium after laser vaporization. Obstet Gynecol 62:700, 1983

45. Bellina JH, Seto YJ: Pathological and physical investigations into CO2, laser-tissue interactions with specific emphasis on cervical intraepithelial neoplasm. Lasers Surg Med 1:47, 1980

46. Mylotte MJ, Allen JM, Jordan JA: Regeneration of cervical epithelium following laser destruction of intraepithelial neoplasia. Obstet Gynecol Surv 34:859, 1979

47. Sharp GLM, Cordiner JW, Murray EL, et al: Healing of cervical epithelium after laser ablation of cervical intraepithelial neoplasia. Clin Pathol 37:611, 1984

48. Holmquist ND, Bellina JH, Danos ML: Vaginal and cervical cytologic changes following laser treatment. Acta Cytol 20:290, 1976

49. Patten SF: Diagnostic cytology of the uterine cervix. In Wied GL (ed): Monographs in Clinical Cytology. pp. 42, 262 2nd ed.. Vol. 3:Baltimore, Williams & Wilkins, 1978

50. Fornari ML: Cellular changes in the glandular epithelium of patients using IUD: A source of cytologic error. Acta Cytol 18:341, 1974

51. Risse EKJ, Beerthuizen FJCM, Vooijs GP: Cytologic and histologic findings in women using an IUD. Obstet Gynecol 58:569, 1981

52. Gupta PK: Microbiology: Inflammation and viral infections. In Bibbo M (ed): Comprehensive Cytopathology. pp. 115, 230 Philadelphia, WB Saunders, 1991

53. Gupta PK, Burroughs F, Luff RD, et al: Epithelial atypia associated with intrauterine contraceptive devices (IUD). Acta Cytol 22:286, 1978

54. Ferenczy A: Benign lesions of the cervix. In Blaustein A (ed): Pathology of the Female Genital Tract. pp. 136, 155 2nd ed.. New York, Springer-Verlag, 1982

55. Rubin IC: The pathological diagnosis of incipient carcinoma of the uterus. Am J Obstet Gynecol 62:668, 1910

56. Patten SF: Dysplasia of the uterine cervix. Lewis, Wentz and Jaffe’s New Concepts in Oncology. pp. 33, 44 Philadelphia, FA Davis, 1966

57. Patten SF: Diagnostic Cytology of the Uterine Cervix. Basel, S Karger, AG, 1969

58. Reagan JW, Hamonic MJ: The cellular pathology of carcinoma in situ: A cytohistological correlation. Cancer 9:385, 1956

59. Reagan JW, Hamonic MJ, Wentz WB: Analytical study of cells in cervical squamous cancer. Lab Invest 6:241, 1957

60. Reagan JW, Patten SF: Analytic study of cellular changes in carcinoma in situ, squamous cancer and adenocarcinoma of uterine cervix. Clin Obstet Gynecol 4:1097, 1961

61. Reagan JW, Patten SF: Dysplasia: A basic reaction to injury in the uterine cervix. Acad Sci 97:662, 1962

62. Christopherson WM: Concepts of genesis and development in early cervical neoplasia. Obstet Gynecol Surv 24:842, 1969

63. Wied GL, Legorreta G, Mohr D, et al: Cytology of invasive cervical carcinoma in situ. Ann NY Acad Sci 97:757, 1962

64. Reagan JW: Microscopic grading and radiosensitivity. In Anderson (ed): Proceedings of the 5th Annual Clinical Conference on Cancer. pp. 31, 40 Chicago, Year Book Medical Publishers, 1960

65. Richart RM: The influence of diagnostic and therapeutic procedures on the distribution of cervical intraepithelial neoplasia. Cancer 19:1635, 1966

66. Von Haam E, Old JW: Reserve cell hyperplasia, squamous metaplasia and epidermidization. In Gray (ed): Dysplasia, Carcinoma in Situ and Microinvasive Carcinoma of the Cervix Uteri. pp. 41, 82 Springfield, IL, Charles C Thomas, 1964

67. Jones HW: The Bethesda System. Cancer 76:1914, 1995

68. Jones BA, Davey D: Quality management in gynecologic cytology using interlaboratory comparison. Arch Pathol Lab Med 124:672, 2000

69. Solomon D, Schiffman M, Tarone R: for the ALTS Group: Comparison of three management strategies for patients with atypical squamous cells of undetermined significance:baseline data from a randomized trial. J Natl Cancer Inst 93:293, 2001

70. Stoler MH, Schiffman M: Interobserver variability of cervical cytologic and histologic interpretations. JAMA 285:1500, 2001

71. Sherman ME, Solomon D, Schiffman M: Qualification of ASCUS: Comparison of equivocal LSIL and equivocal HSIL cervical cytology in the ASUS LSIL Triage Study (ALTS). Am J Clin Pathol 116:386, 2001

72. Ho GY, Bierman R, Beardsly L, et al: Natural history of cervicovaginal papillomavirus infection in young women. N Engl J Med 338:423, 1998

73. Fox CH: Biologic behavior of dysplasia and carcinoma in situ. Am J Obstet Gynecol 99:960, 1967

74. Green GH, Donovan JW: The natural history of carcinoma in situ. Br J Obstet Gynecol 77:1, 1970

75. Kinien LJ, Spriggs AI: Women with positive cervical smears but without surgical intervention: A follow-up study. Lancet ii:463, 1978

76. Koss LG, Stewart FW, Foote FW, et al: Some histologic aspects of behavior of epidermoid carcinoma in situ and related lesions of the uterine cervix. Cancer 9:1160, 1963

77. Patten SF: Morphological subclassification of preinvasive cervical neoplasia. In Wied GL, Keebler CM, Koss LG, Reagan JW (eds): Compendium on Diagnostic Cytology. pp. 83, 87 6th ed.. Chicago, Tutorials of Cytology, 1988

78. Slate TA, Merritt JW: The behavior of cervical atypias and carcinoma in situ during pregnancy: A study of 120 patients. Proceedings of the First International Congress on Exfoliative Cytology. pp. 128, 132 Philadelphia, JB Lippincott, 1961

79. Christopherson WM: Concepts of genesis and development in early cervical neoplasia. Obstet Gynecol Surv 24:842, 1969

80. MacKay DG, Terjarrian B, Paschiachioda D, et al: Clinical and pathological significance of anaplasia (atypical hyperplasia) of the cervix uteri. Obstet Gynecol 14:2, 1959

81. Kenemans P, Davina JHM, de Haan RW, et al: Cell surface morphology in epithelial malignancy and its precursor lesions. Scanning Electron Microscopy, Part III. Chicago, SEM, 1981

82. Kenemans P, van der Zanden PHT, Stolk JG, et al: Cell surface ultrastructure in neoplasia of the uterine cervix: Biology of the cancer cell. In Kenemans P (ed): Proceedings of the Fifth Meeting of the European Association for Cancer Research, Vienna, Austria, September 1979. Amsterdam, Kugler, 1980

83. Hajdu SI: American Cancer Society report on the cancer related health checkup. Acta Cytol 24:369, 1980

84. Hakama M, Chamberlain J, Day NE, et al: Evaluation of screening programmes for gynecological cancer. Br J Cancer 52:669, 1985

85. Husain OAN: Diagnostic errors in cytology in “preclinical” neoplasia of the cervix. Proceedings of the Ninth Study Group of the Royal College of Obstetricians and Gynecologists. pp. 111132, London, 1982

86. Wentz WBP, Reagan JW: Survival in cervical cancer with respect to cell type. Cancer 12:384, 1959

87. Wentz WB: Histologic grade and survival in cervical cancer. Obstet Gynecol 18:1412, 1961

88. Wentz WB, Lewis GC: Correlation of histologic morphology and survival in cervical cancer following radiation therapy. Obstet Gynecol 26:228, 1965

89. Ng ABP, Reagan JW: The pathology and cytopathology of squamous cell carcinoma of the uterine cervix. In Wied GL, Keebler CM, Koss LG, Reagan JW (eds): Compendium on Diagnostic Cytology. pp. 123, 131 6th ed.. Chicago, Tutorials of Cytology, 1988

90. Riotton G, Christopherson WM: Cytology of the Female Genital Tract. Geneva, World Health Organization, 1973

91. Brand E, Berek JS, Hacker NF: Review: Controversies in the management of cervical adenocarcinoma. Obstet Gynecol 71:261, 1988

92. Jones BA, Novis D: Cervical biopsy-cytology correlation: a College of American Pathologists Q-probes study of 22, 439 correlations in 348 laboratories. Arch Pathol Lab Med 120:523, 1996

93. Soofer S, Sidawy M: Atypical glandular cells of undetermined significance: Clinically significant lesions and means of patient follow-up. Cancer 90:207, 2000

94. Eddy GL, Stumpf KB, Wojtowycz MA, et al: Biopsy findings in 531 patients with atypical glandular cells of undetermined significance as defined by the Bethesda system. Am J Obstet Gynecol 177:1188, 1997

95. Bose S, Kana V, Kline TS: Abnormal endocervical cells Really abnormal? Really endocervical? Am J Clin Pathol 101:708, 1994

96. Biscotti CV, Ger MA, Toddy SM, et al: Endocervical Adenocarcinoma in situ: an analysis of cellular features. Diagn Cytopathol 17:326, 1997

97. Reagan JW, Ng ABP: The cells of uterine adenocarcinoma. In Wied GL (ed): Monograph in Clinical Cytology. pp. 88, 113 Vol 1:2nd ed.. Basel, S Karger, AG, 1973

98. Reagan JW, Ng ABP: Cellular detection of glandular neoplasms of the uterine cervix. In Wied GL (ed): Compendium on Diagnostic Cytology. pp. 146, 153 6th ed.. Chicago, Tutorials of Cytology, 1988

99. Pollack RS, Taylor HC: Carcinoma of the cervix during the first two decades of life. Am J Obstet Gynecol 53:135, 1947

100. Pacey NF: Glandular neoplasms of the uterine cervix. In Bibbo M (ed): Comprehensive Cytopathology. pp. 231, 256 Philadelphia, WB Saunders, 1991

101. Farnsworth A, Laverty C, Stoler MH: Human papillomavirus messenger RNA expression in Adenocarcinoma in situ of the uterine cervix. Int J Gynecol Pathol 8:321, 1989

102. Babkowski RC, Wilbur DC, Rutkowski MA, et al: The effects of endocervical canal topography, tubal metaplasia, and high canal sampling on the cytologic presentation of non-neoplastic endocervical cells. Am J Clin Pathol 105:403, 1996

103. Wilbur DC, Mulford DK, Sickel J, et al: An approach to endocervical atypia: normal pathology and mimickers of pathology. Cytopathology. ASCP Reviews in Pathology. pp. 115, 143 Vol 2:Chicago, ASCP Press, 1997

104. Jaworski R, Pacey F, Greenberg M, et al: The histologic diagnosis of adenocarcinoma in situ and related lesions of the cervix uteri: Adenocarcinoma in situ. Cancer 61:1171, 1987

105. Smotkin D, Berek JT, Fu YS: Human papillomavirus DNA in adenocarcinoma and adenosquamous carcinoma of the uterine cervix. Obstet Gynecol 68:241, 1986

106. Fu YS, Reagan JW, Hsiu JG, et al: Adenocarcinoma and mixed carcinoma of the uterine cervix, part I. A clinicopathologic study Cancer 49:2560, 1982

107. Fu YS, Reagan JW, Fu AS, et al: Adenocarcinoma and mixed carcinoma of the uterine cervix, part II. Prognostic value of nuclear DNA analysis Cancer 49:2571, 1982

108. Ng ABP: Endometrial hyperplasia and carcinoma and extrauterine cancer. In Bibbo M (ed): Comprehensive Cytopathology. pp. 257, 284 Philadelphia, WB Saunders, 1991

109. Dressel DM, Dressel IJ, Wilbur DC: Stromal histiocytes in routine Papanicolaou smears: Histopathological and clinical significance [abstract]. Acta Cytol 36:629, 1992

110. Reagan JW, Ng ABP: The Cells of Uterine Adenocarcinoma. 2nd ed. Basel, S Karger, AG, 1973

111. Ng ABP, Reagan JW: Normal, benign and neoplastic processes simulating adenocarcinoma of uterus. In Wied GL, Keebler CM, Koss LG, Reagan JW (eds): Compendium on Diagnostic Cytology. p. 176, 6th ed.. Chicago, Tutorials of Cytology, 1988

112. Ng ABP, Reagan JW, Cechner RL: The precursors of endometrial cancer: A study of their cellular manifestations. Acta Cytol 17:439, 1973

113. Reagan JW, Ng ABP: The cells of endometrial cancer. In Wied GL, Keebler CM, Koss LG, Reagan JW (eds): Compendium on Diagnostic Cytology. p. 194, 6th ed.. Chicago, Tutorials of Cytology, 1988

114. Krane JF, Granter SR, Trask CE, et al: Papanicolaou smear sensitivity for detection of adenocarcinoma of the cervix: A study of 49 cases. Cancer 93:8, 2001

115. Kim TJ, Kim HS, Park CT, et al: Clinical evaluation of follow-up methods and results of atypical glandular cells of undetermined significance (AGUS) detected on cervicovaginal smears. Gynecol Oncol 73:292, 1999

116. Ostor AG, Duncan A, Quinn M, et al: Adenocarcinoma in situ of the uterine cervix. Gynecol Oncol 79:207, 2000

117. Ronnett BM, Manos MM, Ransley JF, et al: Atypical glandular cells of undetermined significance. Hum Pathol 30:816, 1999

118. Boken R, Perkovik M, Bakotin J, et al: Cytology and histopathology of metastasis malignant melanoma involving a polyp on the uterine cervix: A case report. Acta Cytol 29:612, 1985

119. Takashina T, Ito E, Kudo R: Cytologic diagnosis of primary tubal cancer. Acta Cytol 29:367, 1985

120. deVillierse EM, Schneider A, Miklaw H, et al: Human papilloma virus infections in women with and without abnormal cervical cytology. Lancet 1:703, 1987

121. Durst M, Gissmann L, Ikenberg H, zur Hausen H: A papillomavirus DNA from a cervical carcinoma and its prevalence in cancer biopsy samples from different geographic regions. Proc Natl Acad Sci USA 80:3812, 1983

122. zur Hausen H: Human papillomavirus and their possible role in squamous carcinomas. Curr Top Microbiol Immunol 78:1, 1977

123. Meisels A, Morin C: Cytopathology of the Uterine Cervix. Chicago, ASCP Press, 1990

124. Lorincz AT, Lancaster WD, Temple GF: Cloning and characterization of new human papillomavirus from a woman with dysplasia of the uterine cervix. J Virol 58:225, 1986

125. Kaish AS, Buk RD, Kress Y, et al: Human papillomaviruses of different types in precancerous lesions of the uterine cervix: Histologic, immunocytochemical and ultrastructural studies. Hum Pathol 17:384, 1986

126. Koss LG, Durfee GR: Unusual patterns of squamous epithelium of the uterine cervix: Cytologic and pathologic study of koilocytotic atypia. Ann NY Acad Sci 63:1245, 1956

127. Brescia RJ, Jenson B, Lancaster WD, Kurman RJ: The role of human papillomavirus in the pathogenesis and histologic classification of precancerous lesions of the cervix. Hum Pathol 17:552, 1986

128. Fletcher S: Histopathology of papilloma virus infection of the cervix uteri: The history, taxonomy, nomenclature and reporting of koilocytotic dysplasias. J Clin Pathol 36:616, 1983

129. Koss LG: Cytologic and histologic manifestations of human papillomavirus infection of the female genital tract and their clinical significance. Cancer 60:1942, 1987

130. Meisels A, Fortin R, Roy M: Condylomatous lesions of the cervix, part II. Cytologic, colposcopic and histopathologic study Acta Cytol 21:379, 1977

131. Meisels A, Morin C, Casas-Cordero M: Human papillomavirus infection of the uterine cervix. Int J Gynecol Pathol 1:75, 1982

132. Meisels A, Roy M, Fortier M, Morin C: Condylomatous lesions of the cervix: Morphologic and colposcopic diagnosis. Am J Diagn Gynecol Obstet 1:109, 1979

133. Woodruff JD, Peterson WF: Condylomata acuminata of the cervix. Am J Obstet Gynecol 75:1354, 1958

134. Meisels A, Fortin R: Condylomatous lesions of the cervix and vagina, part I. Cytologic patterns Acta Cytol 20:505, 1976

135. Ayre JE: The vaginal smear: “Precancer” cell studies using a modified technique. Am J Obstet Gynecol 58:1205, 1949

136. Schneider A, Meinhardt G, DeVilliers EM, Gissmann L: Sensitivity of the cytologic diagnosis of cervical condyloma in comparison with HPV-DNA hybridization studies. Diagn Cytopathol 3:250, 1987

137. Cecchini S, Confortini M, Bonardi L, et al: “Non classic” cytologic signs of cervical condyloma: A case-control study. Acta Cytol 34:781, 1990

138. Schlaen I, Gonzalez MR, Weismann EA: Predictive value of phenotypic cytologic characteristics in early dysplastic cervical lesions. Acta Cytol 32:298, 1988

139. Shroyer KR, Hopey J, Swanson LE, et al: Cytologic diagnosis of human papillomavirus infection: Spindled nuclei. Diagn Cytopathol 6:178, 1989

140. Boshart M, Gissmann L, Ikenberg H, et al: A new type of papillomavirus DNA, its presence in genital cancer biopsies and in cell lines derived from cervical cancer. EMBO J 3:1151, 1984

141. Gissman L, zur Hausen H: Partial characterization of viral DNA from human genital warts (condyloma acuminata). Int J Cancer 15:605, 1980

142. Gissman L, Diehl V, Schulz-Caulon HJ, et al: Molecular cloning and characterization of human papillomavirus DNA derived from a laryngeal papilloma. J Virol 44:393, 1982

143. Meisels A: Cytologic diagnosis of human papillomavirus: Influence of age and pregnancy stage. Acta Cytol 36:480, 1992

144. Cullen AP, Reid R, Campion M, et al: Analysis of the physical stae of different human papillomavirus DNAs in intraepithelial and invasive neoplasms. J Virol 65:606, 1991

145. Chin MT, Hirochika R, Hirochika H, et al: Regulation of human papillomavirus type 11 enhancer and E6 promoterby activating and repressing proteins from the E2 open reading frame:functional and biochemical studies. J Virol 62:2994, 1998

146. Stoler MH: The biology of human papillomavviruses and their role in cervical carcinogenesis. pp. 51, 72 Bonfiglio TA, Erozan YS (eds): Gynecologic Cytopathology. Philadelphia, Lippincott-Raven, 1997

147. Jones BA, Novis DA: Follow-up of abnormal gynecologic cytology: A College of American Pathologists Q-Probes study of 16,132 cases from 306 laboratories. Arch Pathol Lab Med 124:665, 2000

148. Sorensen K, Somrak TM: Vulva and vagina. In Bibbo M (ed): Comprehensive Cytopathology. pp. 285, 296 Philadelphia, WB Saunders, 1991

149. Robboy SJ, Welch WR, Young RH: Topographic relation of cervical ectropion and vaginal adenosis to clear cell adenocarcinoma. Obstet Gynecol 60:546, 1982

150. Melnick S, Cole P, Anderson D: Rates and risks of diethylstilbestrol-related clear cell adenocarcinoma of the vagina and cervix: An update. N Engl J Med 316:914, 1987

151. Wied GL: Hormonal cytology. In Bibbo M (ed): Comprehensive Cytopathology. pp. 85, 114 Sect A. Philadelphia, WB Saunders, 1991

152. Wied GL: Climacteric amenorrhea: A cytohormonal test for differential diagnosis. Obstet Gynecol 9:646, 1957

153. Naib ZM: Exfoliative Cytopathology. Endocrine and Pregnancy Cytology. pp.42, 64 1st ed.. Boston, Little, Brown & Co, 1970

154. Hart WR, Norris HJ, Helwig EG: Relation of lichen sclerosis et atrophicus of the vulva to the development of carcinoma. Obstet Gynecol 45:369, 1975

155. Fu YS, Reagan JW: Pathology of the Uterine Cervix, Vagina and Vulva. Philadelphia, WB Saunders, 1989

156. Dehner LP: Metastatic and secondary tumors of the vulva. Obstet Gynecol 42:47, 1973

157. Morrow CP, Rutledge F: Melanoma of the vulva. Obstet Gynecol 39:745, 1972

158. Palefsky JM, Holly EA, Hogeborn CJ, et al: Anal cytology as a screening tool for anal squamous intraepithelial lesions. J AIDS Hum Retrovir 14:415, 1997

159. Scholefield JH, Johnson J, Hitchcock A, et al: Guidelines for anal cytology to make a cytologic diagnosis and follow up much more reliable. Cytopathology 9:15, 1998

160. Darragh TM, Jay N, Tupkelewicz BA, et al: Comparison of conventional cytologic smears and ThinPrep preparations from the anal canal. Acta Cytol 41:1167, 1997

161. Sherman ME, Freidman HB, Busseniers AE, et al: Cytologic diagnosis of anal intraepithelial neoplasia using smears and Cytyc ThinPreps. Mod Pathol 8:270, 1995

162. Berchuck A, Schildkraut JM, Marks JR, et al: anaging hereditary ovarian cancer risk [review]. Cancer 86:2517, 1999

163. Zhang HT, Z.X, Zhao HZ, et al: Relationship of p215BRCA1 to tyrosine kinase signaling pathways and the and the cell cycle in normal and transfomed cells. Oncogene 14:2863, 1997

164. Ruffner H, Verma IM: BRCA1 is a cell cycle-regulated nuclear phosphoprotein. Natl Acad Sci 94:7138, 1997

165. Wang H, Shao N, Ding QM, et al: BRCA1 proteins are transported to the nucleus in the absence of serum and splice variants BRCA1a, BRCA1b are tyrosine phosphoproteins that associate with E2F, cyclins and cyclin dependent kinases. Oncogene 15:143, 1997

166. Castilla LH, Couch FJ, Erdos MR, et al: Mutations in the BRCA1 gene in families with early-onset breast and ovarian cancer. Nat Genet 82:3871, 1994

167. Hall JM, Lee M, Newman B, et al: Linkage of early-onset familial breast cancer to chromosome 17q21. Science 250:1684, 1990

168. Frank TS, Braverman AM: The pros and cons of genetic testing for breast and ovarian cancer risk [review]. Int J Fertil Reprod Med 44:139, 1999

169. Easton DF, Ford D, Bishop DT: Breast cancer linkage consortium. Breast and ovarian cancer incidence in BRCA-1 mutation carriers Am J Hum Genet 56:265, 1995

170. DeFrias DVS, Okonkwo A, Keh PC, Nayar R: Cytopathology of the ovary. In Stack S, Fishman D (eds): Ovarian Cancer. pp. 185, 213 Boston, Kluwer, 2002

171. Lee WY, Jin YT, Chang TW, et al: Immunolocalization of BRCA1protein in normal breast tissue and sporadic breast invasive ductal carcinomas: A correlation with other biological parameters. Histopathology 34:106, 1999

172. Smith TE: Meeting to sort out BRCA1 confusion. Science 272:799, 1996

173. Kottmeier H-L: Annual Report on the Results of Treatment in Carcinoma of the Uterus, Vagina, and Ovary. Stockholm, International Federation of Gynecology and Obstetrics 1976

174. Creasman WT, Rutledge F: The prognostic value of peritoneal cytology in gynecologic malignant disease. Am J Obstet Gynecol 110:773, 1971

175. Malkasian P, Decker GG, Webb MJ: Histology of epithelial tumors of the ovary: Clinical usefulness and prognostic significance of the histologic classification and grading. Semin Oncol 2:191, 1975

176. Copeland LJ, Silva EG, Gershenson DM, et al: The significance of Mullerian inclusions found at second-look laparotomy in patients with epithelial ovarian neoplasma. Obstet Gynecol 71:763, 1988

177. Lurain JR, Rumsey NK, Schink JC, et al: Prognostic significance of positive peritoneal cytology in clinical stage I adenocarcinoma of the endometrium. Obstet Gynecol 74:175, 1989

178. Kurman RJ (ed): Blaustein’s Pathology of the Female Genital Tract. p. 514, Springer Verlag, 2002

179. Zaino RJ, Kurman RJ, Diana KL, et al: Pathologic models to predict outcome for women withendometrial adenocarcinoma: The importance of distinction betweensurgical stage and clinical stage. A Gynecologic Oncology Groupstudy Cancer 77:1115, 1996

180. Sneige N, Fanning CV: Peritoneal washing cytology in women: Diagnostic pitfalls and clues for correct diagnosis. Diagn Cytopathol 8:632, 1992

181. Sneige N, Fernandez T, Copeland LJ, et al: Mullerian inclusions in peritoneal washings, potential source of error in cytological diagnosis. Acta Cytol 30:271,

182. Ferguson BR, Bennington JL, Haber SL: Histochemistry of mucosubstances and histology of mixed Mullerian pelvic node glandular inclusions. Obstet Gynecol 33:617, 1969

183. Karp LA, Czernobilsky B: Glandular inclusions in pelvic and abdominal para aortic lymph nodes: A study of autopsy and surgical material in males and females. Am J Clin Pathol 52:212, 1969

184. Weir JH, Janovski NA: Paramesonephric lymph node inclusions: A cause of obstructive uropathy. Obstet Gynecol 21:363, 1963

185. Brumeister RE, Fechner RE, Franklin RR: Endosalpingiosis of the peritoneum. Obstet Gynecol 34:310, 1969

186. Chen KTK: Benign glandular inclusions of the peritoneum and periaortic lymph nodes. Diagn Gynecol Obstet 3:265, 1981

187. Hsu YK, Parmley TH, Rosenshein NA, et al: Neoplastic and non-neoplastic mesothelial proliferations in pelvic lymph nodes. Obstet Gynecol 55:83, 1980

188. Kempson RL: Benign glandular inclusions in iliac lymph nodes. Am J Surg Pathol 2:321, 1978

189. Kheir SM, Mann WJ, Wilkerson JA: Glandular inclusions in lymph nodes: The problems of extensive involvement and relationship to salpingitis. Am J Surg Pathol 5:353, 1981

190. Schnurr RC, Delgado G, Chun B: Benign glandular inclusions in para aortic lymph nodes in women undergoing lymphadenectomies. Am J Obstet Gynecol 130:813, 1981

191. Zinsser KR, Wheeler JA: Endosalpingiosis in the omentum: A study of autopsy and surgical material. Am J Surg Pathol 6:109, 1982

192. Keettel WC, Pixley EE, Buchsbaum HJ: Experience with peritoneal cytology in the management of gynecologic malignancies. Am J Obstet Gynecol 120:174, 1974

193. Zervakis M, Howdon WM, Howdon A: Cul-de-sac needle aspiration: Its normal and abnormal cytology and its value in the detection of ovarian cancer. Acta Cytol 13:507, 1969

194. Kim K, Naylor B: Practical Guide to Surgical Pathology with Cytologic Correlation: A Text and Color Atlas. p 95, New York, Springer-Verlag, 1991

195. Hajdu ST, Melamed MR: Limitations of aspiration cytology in the diagnosis of primary neoplasms. Acta Cytol 28:337, 1984

196. Angstrom T, Kjellgren O, Bergman F: The cytologic diagnosis of ovarian tumors by means of aspiration biopsy. Acta Cytol 26:336, 1972

197. Selvaggi SM: Aspiration cytology of the ovarian follicle cyst: ASCP check sample. Cytopathology C92–4 (C-224):1992

198. Kovacic J, Rainer S, Levicnik A, et al: Cytology of benign ovarian lesions in connection with laparoscopy. In Zajcek J (ed): Aspiration Biopsy Cytology, Part II. Cytology of Infradiaphragmatic Organs. pp. 57, 79 Basel, S Karger, AG, 1979

199. Ramzy I, Delaney M, Rose P: Fine needle aspiration of ovarian masses, part II. Correlative cytologic and histologic study of non-neoplastic cysts and noncelomic epithelial neoplasms Acta Cytol 23:97, 1979

200. Selvaggi SM: Fine-needle aspiration cytology of ovarian follicular cysts with cellular atypia from reproductive-age patients. Diagn Cytopathol 7:189, 1991

201. Kovacic J, Rainer S, Levicnik A: Aspiration cytology of normal structures and non-neoplastic cysts of the ovary. In Blaustein A (ed): Pathology of the Female Genital Tract. pp. 716, 740 New York, Springer-Verlag, 1982

202. Bonfiglio TA, MacIntosh PK, Patten SF, et al: Fine needle aspiration cytopathology of retroperitoneal nodes in metastatic disease. Acta Cytol 23:126, 1979

Back to Top