Chapter 15
Influence of Pregnancy on the Oral Cavity
Peter J. Robinson and Donna Maddalozzo
Main Menu   Table Of Contents

Search

Peter J. Robinson, DDS, PhD
Professor of Periodontology and Chairman of Stomatology, Department of Stomatology, Northwestern University Dental School, Chicago, Illinois (Vol 2, Chap 15)

Donna Maddalozzo, DDS, MS
Director and Associate Professor, Division of Periodontics, Department of Stomatology, Northwestern University Dental School, Chicago, Illinois (Vol 2, Chap 15)

INTRODUCTION
ORAL PATHOLOGY IN PREGNANCY
USE OF FLUORIDE IN PREGNANCY
INTERCEPTIVE CARE
DENTAL TREATMENT IN PREGNANCY
SUMMARY
REFERENCES

INTRODUCTION

Some striking observations have now been made about the role of sex hormones in the development of pathologic changes in the gingiva. It has been known for a long time that sex hormones contribute to the vascular changes in gingiva during pregnancy. Evidence now suggests that sex hormones also are capable of altering the normal subgingival flora and the immune response in the oral cavity, resulting in intense (pregnancy granuloma) and frequent gingivitis in pregnant women. Other problems that seem to appear in the oral cavity during pregnancy are discussed later and are for the most part unrelated to hormonal changes. These unrelated pathologic findings include periodontitis and dental caries. The special treatment and prevention needs of dental patients during pregnancy are also discussed.

Back to Top
ORAL PATHOLOGY IN PREGNANCY

Four oral diseases have been described as affecting pregnant women to a greater degree than their nonpregnant counterparts: gingivitis, pregnancy granuloma, periodontitis, and dental caries.

Gingivitis

The frequently observed gingival changes that occur during pregnancy were reported as early as 1877.1 For many years, however, there have been questions about the reported prevalence of periodontal disease in pregnancy, the role that local and hormonal factors may have in the pathogenesis, and the implication of certain microorganisms in the etiology of this disease. Based on clinical observation, the reported frequency of so-called pregnancy gingivitis ranges from 35%2 to 100%3 (Fig. 1). This variation may be a reflection of both the populations studied and the clinical parameters used.

Fig. 1. Moderately severe pregnancy gingivitis in a 30-year-old patient during the eighth month of pregnancy.

According to studies using well-defined indices, gingival inflammation is a heightened or exacerbated response to dental plaque during a period of progesterone and estrogen imbalance.4 In addition, the effect of pregnancy on pre-existing gingival inflammation is first noticeable in the second month of gestation and peaks in the eighth month (see Fig. 1). During the last month of gestation, a definite decrease in gingivitis generally occurs, and the gingival status immediately postpartum is found to be similar to that at the second month of pregnancy.3 The greatest relative increase in gingivitis during pregnancy is observed around the anterior teeth, although the molars demonstrate the highest gingivitis scores throughout pregnancy. The papillae (interproximal areas) are the most frequent sites of gingival inflammation both during pregnancy and after parturition.

ETIOLOGY.

The causes of gingivitis in pregnancy can be separated into two general headings: host factors and microbial changes. Relative to host factors, the onset of increased gingival inflammation observed in the second month of gestation coincides with an increase in the circulating levels of estrogen and progesterone. The continuous rise in these two hormone levels up to the eighth month is reflected in the greatest amount of gingival inflammation noted during pregnancy. In addition, a marked reduction in gingivitis after the eighth month correlates with an abrupt decrease of the circulating levels of these hormones. Estrogen and progesterone receptors have been demonstrated in human gingiva,5 indicating that it is a target tissue for hormones.6 Additionally, it has been demonstrated that progesterone is metabolized faster by inflamed human gingiva than by normal gingiva.7 The kinetics of progesterone in the gingiva, coupled with the clinical observations that the abnormal changes in gingiva during pregnancy parallel the circulatory levels of progesterone and estrogen, provide convincing evidence that these two hormones play a role in exacerbating gingivitis.

The mechanisms of action of progesteroneinduced and estrogen-induced gingival changes during pregnancy have become much better understood. Increased circulating levels of progesterone in pregnancy cause dilatation of gingival capillaries, increased capillary permeability, and gingival exudate. Vittek and colleagues8 described the effect of progesterone on the gingival vasculature and the resultant increased exudation. The effects included a direct activation of progesterone on the endothelial cells, possible effects on the synthesis of prostaglandins, and suppression of the cellular immune response.

Progesterone causes dramatic morphologic changes in the gingival microvasculature.9 The morphologic basis of the induced vascular permeability is the formation of gaps in the normally intact endothelial lining, together with channels resulting from coalescence of adjacent vesicles. The changes in both capillaries and venules, as well as the long duration of leakage from these vessels, are unlike the short action of histamine.

The keratinization of the gingiva is known to be decreased during pregnancy, and this, together with an increase in epithelial glycogen, results in a diminution in the effectiveness of the epithelial barrier.10 Estrogen also causes changes in the keratinization of the gingival epithelium and alters the degree of polymerization of ground substance.10 Because of the vascular changes caused by these hormones, there is a more florid response to the irritant effects of dental plaque.11 Increased serum levels of progesterone have been correlated with increased gingival crevicular fluid flow rate, which in periodontal diagnosis has been shown to reflect gingival inflammatory conditions.12

Physiologic levels of estrogen and progesterone in pregnancy have been shown to be stimulatory to prostaglandin synthesis.13,14 Prostaglandins, especially PGE1 and PGE2, act as long-term mediators of inflammation.15 Prostaglandins are synthesized by activated macrophages and, to a lesser degree, by polymorphonuclear neutrophils in response to inflammatory stimuli, both of which increase in number as the gingiva becomes inflamed.16 Prostaglandin concentration within the gingiva and gingival fluid also increases dramatically, with the occurrence of gingival inflammation.17 Along with initiation of vascular changes, stimulation of prostaglandin synthesis illustrates another mechanism that raises progesterone levels in pregnancy, magnifying the clinical features of dental plaque-induced gingivitis.

Immune mechanisms have also been suggested to have an important role in the initiation and development of gingivitis and periodontitis.18,19 Little is known about the effects of pregnancy on immune response in the oral cavity. Nevertheless, it has been demonstrated that the cell-mediated response is depressed during pregnancy, possibly contributing to the altered responsiveness of the gingival tissue to dental plaque.20

Dental plaque is the principal etiologic factor in gingivitis. In periodontal disease, In periodontal disease, it is well established that the subgingival plaque is characterized by a shift toward a more anaerobic flora. Strong evidence supports the observation that gingival inflammation during pregnancy results from an alteration of the subgingival flora to a more anaerobic state. The anaerobe-to-aerobe ratio increases significantly during the 13th through 60th week of pregnancy and remains high during the third trimester.21 It has been shown that increased proportions of Prevotella intermedia are concomitant with an increase in gingivitis and elevated serum levels of estrogen and progesterone in pregnancy.21 When the proportion of Bacteroides species were monitored in the dental plaque of pregnant women, nonpregnant women, and nonpregnant women taking contraceptives, a 55-fold increase over the control group was noted in the populations of the Bacteroides species in pregnant women and a 16-fold increase in women taking oral contraceptives.22 This concomitant increase in P. intermedia is most pronounced in the second trimester and correlates with increased gingivitis scores.22 Subsequent pure culture studies have shown that the marked increase in the proportion of Bacteroides species during pregnancy seems to be associated with increased serum levels of circulating progesterone and estrogens. Both hormones can substitute for naphthoquinone, which is an essential growth factor for P. intermedia. The studies reported to date indicate that female sex hormones may be capable of altering the gingival vascular system, the immune response, and the normal subgingival flora.

CLINICAL MANIFESTATIONS.

The marginal gingiva and interdental papillae are fiery red and the gingiva is enlarged, mostly affecting the interdental papillae. The gingiva shows an increased tendency to bleed, and in advanced cases, patients sometimes even experience slight pain. During the second and third trimester, the inflammation often becomes more severe.23,24 It should be noted that not all women respond in this fashion: in fact, many do not have a clinically altered gingival condition. When there is no dental plaque-associated gingivitis before pregnancy and attentive oral hygiene is monitored, gingivitis usually does not develop. Preventive measures, such as more frequent dental visits for prophylaxis and meticulous plaque control, are therefore indicated for pregnant women.

Pregnancy Granuloma

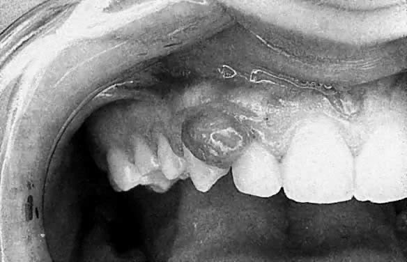
Apart from these generalized gingival changes, pregnancy may also give rise to the formation of tumor-like growths (epulides), along the gingival margin (Fig. 2). A number of terms for this lesion have been suggested, such as pregnancy tumor, epulis gravidarum, and pregnancy granuloma. Of these, pregnancy granuloma is preferred, because the histologic structure is similar to the structure in pyogenic (telangiectatic) granuloma.25 The reported frequency of pregnancy granulomas varies from 0% to 9.6%.26,27 The granuloma occurs more frequently in the maxilla, favoring the vestibular aspect of the anterior region.

Fig. 2. Pregnancy granuloma in a 27-year-old patient during the fifth month of pregnancy.

There appears to be no correlation between the appearance of this lesion and the month of pregnancy, although patients may notice the lesion more often in the second or third trimester, owing to its growth or the complications of its vascular nature.28 The lesion often shows rapid growth, although it seldom becomes larger than approximately 2 cm in diameter. A pregnancy granuloma is generally a pedunculated, soft growth of interdental origin; is fiery red; and often has small, fibrin-covered areas (see Fig. 2). Pregnancy granulomas frequently bleed readily when touched and have a tendency to recur rapidly.

The cause of these lesions appears to be an accentuation of the inflammatory reaction of gingivitis in pregnancy, including the endocrine and bacterial changes described earlier. Additionally, the dramatic enlargement in these lesions may be partly related to the hormonal effect on collagen metabolism. The sequential changes in levels of estradiol and progesterone during pregnancy and immediately after parturition suggest that these hormones are important in the regulation of collagenolytic activity. Progesterone and methylhydroxyprogesterone inhibit collagenase production in the culture of postpartum uterine explants.29,30 The inhibition of collagenase production by these two hormones is apparently concentration dependent.

It is well known that endogenous gingival collagenase is the key enzyme involved in physiologic collagen turnover. During pregnancy, the inhibition of collagenase production ultimately results in accumulation of excess collagen within the connective tissue, thereby supplying a possible additional mechanism for the dramatic gingival enlargement of some pregnancy granulomas.

HISTOPATHOLOGY.

A pregnancy granuloma is composed of capillaries, fibrous tissue, and inflammatory cells, with marked vascularity being the most characteristic histologic feature. As such, distinguishing it from a pyogenic granuloma without other clinical data is difficult. The epithelium is generally thin and atrophic, but may be hyperplastic. If the lesion is ulcerated, it shows a fibrous exudate of varying thickness over the surface and a moderately intense infiltration of polymorphonuclear leukocytes, lymphocytes, and plasma cells. The excessive vascularity accounts for the bright red color, and the hyperemia and edema account for the enlargement.31,32

Differential Diagnosis.

The differential diagnosis of a small, pedunculated hemorrhagic lesion of the marginal gingival tissue must include the following:

  1. Peripheral fibroma
  2. Pyogenic granuloma
  3. Peripheral giant granuloma
  4. Eosinophilia granuloma
  5. Lymphomas or leukemic infiltrates
  6. Hemangiomas

TREATMENT.

It is prudent, if possible, to wait until parturition for surgical excision of a pregnancy granuloma, unless the lesion is creating a functional problem or appears to be having a deleterious effect on the adjacent periodontium. These lesions may regress after birth; however, surgical excision is usually warranted. The surgery can be accomplished safely throughout pregnancy with the use of local anesthesia and most effectively with the aid of lasers in place of scalpel blades. Lasers have the tendency to reduce the postsurgical bleeding typically experienced after excision of a pyogenic granuloma.33 Incomplete excision results in recurrence.27 A residual fibrous mass may remain if the lesion is large and is allowed to regress postpartum without surgical intervention.27

Periodontitis

Gingivitis, or inflammation of the gingiva, is considered to be a reversible process. In contrast, periodontitis results in the loss of tooth attachment (periodontal ligament and alveolar bone) and pocket formation. Though gingivitis is often associated with periodontitis, gingivitis does not usually develop into periodontitis because the putative pathogenic bacteria in periodontitis differ from those associated with gingivitis and because periodontitis is believed to be dependent on different immune mechanisms.

A number of investigators have noted sex hormone-mediated alteration of the subgingival flora and the subsequent increase in gingival inflammation.21,22,34 When pregnant and nonpregnant women with periodontitis are compared, however, the differences become less obvious. It has been shown that in contrast to subjects with gingivitis, no significant differences are noted in the total bacterial counts and the proportion of P. intermedia in periodontal pockets of pregnant versus nonpregnant women.34 Although differences exist in the degree of periodontitis between pregnant and nonpregnant female populations, these reported differences are not impressive.35,36,37 Therefore, conventional approaches for the prevention and treatment of periodontitis are indicated for pregnant patients.

Dental Caries

Many laypersons appear to believe that pregnancy is a direct cause of dental caries. The old wives' tale “with each child, a tooth” has been quoted even in dental and medical literature. In 1875 Coles wrote, “We have during pregnancy, an increasing liability to caries, with each generation.”38 He noted that during the first months of pregnancy, patients may have “severe toothache” secondary to caries. He explained this as “a diminution of earthy salts” during pregnancy. This belief has been fostered and has been one of the most stubborn misconceptions to appear in dental and medical literature. There is no scientifically proven evidence to support this belief.39

The hydroxyapatite crystal, of which enamel is made, does not respond to the biochemical and metabolic changes of pregnancy, nor does it respond to changes in calcium metabolism. The belief that morning sickness and vomiting can create an acid pH and therefore increase the decay rate is highly suspect as well. The few seconds that the pH of the oral environment may be lowered is a very brief period of time compared to the months needed for the production of decay.

Back to Top
USE OF FLUORIDE IN PREGNANCY

Administration of fluoride supplements to pregnant patients in an effort to benefit the teeth of the offspring has been evaluated in several clinical studies. Although the collective findings of these studies indicate a possible benefit to the primary teeth of the offspring, the evidence is not sufficiently conclusive to warrant recommending prescribing fluoride.40 The question of whether the fluoride ingested by expectant mothers living in an area with fluoridated water will lead to increased caries resistance in the primary teeth of the offspring cannot be definitely answered because the evidence is conflicting. The data from other studies, however, have failed to show any difference in the caries resistance of the primary teeth of children born just before the fluoridation of a water supply and children born afterward who were exposed to fluoride both prenatally and postnatally.40

Back to Top
INTERCEPTIVE CARE

Ideally a patient's oral health status should be evaluated and treated by a dentist when pregnancy is anticipated. The evaluation should be comprehensive and identify any potential problem areas (e.g., dental caries, broken teeth and/or restorations, periodontal disease, endodontic involvement). This interceptive approach to treatment is recommended for three reasons: (1) to avoid a dental emergency during pregnancy, which could potentially alter or compromise ideal dental treatment; (2) to reduce the possibility or severity of periodontal disease (e.g., pregnancy granulomas) during pregnancy through instruction and improvement in the patient's oral hygiene before pregnancy; and (3) to prevent the possibility of a directly negative effect of oral disease on the fetus.

The third reason is supported by recent evidence showing that periodontal disease represents a significant risk factor for preterm, low-birth-weight neonates (less than 2500 g).41 In this study, 124 pregnant or postpartum mothers were evaluated to determine whether the prevalence of material periodontal infection was associated with the birth of preterm, low-birth-weight infants. It was found that low-birth-weight infants had mothers with significantly worse periodontal disease as compared to mothers of normal-birth-weight infants. Additionally, the study showed that expectant mothers with periodontal disease were seven times more likely than others to deliver a preterm, low-birth-weight infant.

Back to Top
DENTAL TREATMENT IN PREGNANCY

Normal pregnancy does not necessarily contraindicate dental treatment if the stage of gestation and the extent of dental procedures are taken into account. The first trimester is the period of organogenesis. In addition, approximately 75% to 80% of spontaneous abortions occur before the 16th week of gestation. The fetus is thus very sensitive to environmental influences at this time. In the last half of the third trimester, premature delivery becomes a hazard. Prolonged chair time should be avoided because supine hypotensive syndrome may occur. Whether a pregnant woman is in a semireclining or a supine position, the great vessels, particularly the inferior vena cava, are compressed by the uterus. By interfering with venous return, this compression causes hypotension, decreased cardiac output, and eventual loss of consciousness. Supine hypotensive syndrome can usually be reversed by turning the patient on her left side, thereby relieving the pressure on the vena cava and allowing blood to return to the lower extremities and pelvic areas. Because of these hazards, however, no elective procedures, such as definitive periodontal surgery, should be performed during the first and third trimesters.42

The second trimester is the safest period during which routine dental care can be provided. Even so, it is advisable to limit care to minimal treatment.

Based on numerous studies that emphasize the role of local irritants in the initiation of periodontal disease during pregnancy, it is prudent to educate pregnant women about effective plaque control techniques early in pregnancy.3,36,43 All local irritants should be removed as soon as possible, before the effects of pregnancy are manifested in the gingival tissues.

If emergency treatment is indicated, it should be performed anytime during gestation to eliminate any associated physical or emotional stress. The pain and anxiety precipitated by a dental emergency may be more detrimental to a fetus than the treatment itself.41

One controversial area in the treatment of pregnant patients involves taking dental radiographs. Only serious dental emergencies require radiographic evaluation, especially in the first trimester, when a developing fetus is particularly susceptible to the effects of radiation. Routine radiographs should be avoided and taken only when necessary. If radiographs are taken, patients should wear a protective lead apron to reduce the amount of radiation to which the abdominal area is exposed.

Another area of concern involves drug therapy, because any drug given to a pregnant patient can affect her fetus by diffusion across the placental barrier. In most cases, it is safe practice to use a local anesthetic with a vasoconstrictor (1:100,000). Analgesics, including acetaminophen and aspirin (except during the third trimester, when bleeding problems can occur during or after delivery) are also safe.41

Certain drugs occasionally prescribed by dentists are known to cause complications during pregnancy and therefore should be avoided. These include diazepam (Valium), chlordiazepoxide (Librium), flurazepam (Dalmane), meprobamate (Miltown), streptomycin, and tetracycline. Nitrous oxide should not be administered during organogenesis (first trimester), and neither general anesthesia nor intravenous sedation should be used at all during pregnancy.

Back to Top
SUMMARY

By far the most common dental complaint of pregnant women is bleeding gingiva (see Gingivitis and Pregnancy Granuloma sections). The bleeding may be spontaneous or secondary to trauma, and it is distressing and sometimes embarrassing to patients. Fear of blood loss may prompt an expectant mother to discontinue tooth brushing and flossing to protect the gingiva from trauma; this, in turn, increases the risk of a more severe periodontal infection. Pregnant women should be alerted to this risk and should be advised to seek dental care immediately if gingival bleeding occurs, so that the cause of the hemorrhage can be eliminated or checked.

Pain is another frequent complaint if dental decay has been allowed to progress before pregnancy. A pregnant patient with dental pain should be encouraged to seek immediate consultation and treatment from a dentist.

Visits to a dentist every 3 months during pregnancy should be encouraged, and if a patient has a prior history of treatment for gingivitis or periodontitis, visits to a dentist and hygienist for consultation and prophylaxis should occur on a bimonthly basis.

It is strongly recommended that a dentist be in attendance to the outpatient department of maternity hospitals. A dental examination and appropriate dental care should become integral to the routine management of every pregnant woman.

Back to Top
REFERENCES

1. Pinard A, Pinard D: Treatment of the gingivitis of puerperal women. Dental Cosmos 19: 327, 1877

2. Hasson E: Pregnancy gingivitis. Harefuah 58: 224, 1966

3. Loe H, Silness J: Periodontal disease in pregnancy. Acta Odontol Scand 21: 533, 1963

4. Lundergren D, Lindche J: Lack of influence of female sex hormones on alveolar bone loss in hamsters. Scand J Dent Res 79: 113, 1971

5. Vittek J, Rappaport SC, Gordon GG et al: Metabolism of androgens by human periodontal ligament. J Dent Res 61: 1153, 1982

6. Ojanotko A, Neinstedt W, Harri P: Metabolism of testosterone by human healthy and inflamed gingiva (in vitro). Arch Oral Biol 25: 381, 1980

7. El Attar TMA: Metabolism of progesterone3 H in vitro in human gingiva with periodontitis. J Periodontol 42: 721, 1971

8. Vittek J, Gordon GG, Rappaport SC et al: Cellular regulations of the metabolism of androgen in rat oral mucosa. J Dent Res 58: 624, 1979

9. Mohamed AH, Waterhouse JP, Friederici HHR: The microvasculature of the rabbit gingiva as affected by progesterone. J Periodontol 45: 50, 1974

10. Manson JD: Periodontics, p 38. London, Kimpton Medical Publications, 1986

11. Sooriyamoorthy M, Gower DB: Hormonal influences on gingival tissues: Relationship to periodontal disease. J Clin Periodontol 16: 201, 1989

12. Lamster IB, Oshrain RL, Harper SD: Enzyme activity in crevicular fluid for detection and prediction of clinical attachment loss in patients with chronic adult periodontitis: Six month results. J Periodontol 59: 516, 1988

13. Loe H: Periodontal changes in pregnancy. J Periodontol 36: 209, 1965

14. Hugoson A: Gingival inflammation and female sex hormones. J Periodontal Res 5 (suppl): 1, 1970

15. Vane J: Prostaglandins as mediators of inflammation. Adv Prostaglandin Thromboxane Leukot Res 2: 791, 1976

16. Humes J, Bonney R, Pelus L et al: Macrophages synthesize and release prostaglandins in response to inflammatory stimuli. Nature 269: 149, 1977

17. Goodson J, Dewhirst F, Brunetti A: Prostaglandin E levels and human periodontal disease. Prostaglandins 6: 81, 1974

18. Page RC, Schroeder HE: Pathogenesis of inflammatory periodontal disease. Lab Invest 3: 235, 1976

19. Genco R, Slots J: Host responses in periodontal diseases. J Dent Res 63: 441, 1984

20. O'Neal TCA: Maternal T-lymphocyte response and gingivitis in pregnancy. J Periodontol 50: 178, 1979

21. Kornman KS, Loesche WJ: The subgingival microbial flora during pregnancy. J Periodontal Res 15: 111, 1980

22. Jansen J, Liljemark W, Bloomquist C: The effect of female sex hormones on subgingival plaque. J Periodontol 52: 588, 1981

23. Goldman H, Cohen DW: Periodontal Therapy, 6th ed. St. Louis, CV Mosby, 1978

24. Lindhe J: Textbook on Clinical Periodontology, 2nd ed, p 287. Copenhagen, Munksgaard, 1989

25. Pinborg J: Atlas of Diseases of the Oral Mucosa, 4th ed, p 228. Philadelphia, WB Saunders, 1985

26. Tiilila I: Epulus Gravidarum. Thesis, Suom Hammaslaak Toim (suppl 1):58, 1962

27. Arafat A: The prevalence of pyogenic granuloma in pregnant women. J Balt Coll Dent Surg 29: 14, 1974

28. Blum T: Pregnancy tumors: A study of 16 cases. J Am Dent Assoc 18: 393, 1981

29. Koob TJ, Jeffrey JJ: Hormonal regulation of collagen degradation in the uterus: Inhibition of collagenase expression by progesterone and cyclic AMP. Biochem Biophys Acta 354: 61, 1974

30. Jeffrey JJ: Collagen synthesis and degradation in the uterine deciduoma: Regulation of collagenase activity by progesterone. Collagen Rel Res 1: 257, 1981

31. Shafer W, Hine M, Levi B: A Textbook of Oral Pathology, 4th ed, p 360. Philadelphia, WB Saunders, 1983

32. Robinson HBG, Miller A: Color Atlas of Oral Pathology, 5th ed, p 97. Philadelphia, JB Lippincott, 1990

33. Pick RM, Pecaro BC: Use of the CO2 laser in soft tissue dental surgery. Lasers Surg Med 7: 207, 1987

34. Jonsson R, Howland BE, Bowden GHW: Relationships between periodontal health, salivary steroids, and Bacteroides intermedius in males, pregnant and nonpregnant women. J Dent Res 67: 1062, 1988

35. Reteitschak KH: Tooth mobility changes in pregnancy. J Periodontal Res 2: 199, 1967

36. Cohen DW, Friedman L, Shapiro J et al: A longitudinal investigation of the periodontal changes during pregnancy. J Periodontol 40: 563, 1969

37. Hugoson A, Lindhe J: Gingival tissue regeneration in nonpregnant female dogs treated with sex hormones: Clinical observations. Odontol Rev 22: 237, 1971

38. Coles O: On the condition of the mouth and teeth during pregnancy. Am J Dent Sci 8: 361, 1875

39. Barrett-Connor E: Infections and pregnancy: A review. South Med J 62: 275, 1969

40. Report of Council on Dental Therapeutics: Accepted Dental Therapeutics. Chicago, American Dental Association, 1982

41. Offenbacher S, Katz V, Fertik G et al: Periodontal infection as a possible risk factor for preterm low birth weight. J Periodontol 67: 1103, 1996

42. Gneco RJ, Goldman HM, Cohen DW: Contemporary Periodontics, p 221. St. Louis, CV Mosby, 1990

43. Cohen DW, Shapiro J, Friedman L et al: A longitudinal investigation of the periodontal changes during pregnancy and 15 months post partum: Part II. J Periodontol 42: 653, 1971

Back to Top