Chapter 72
Ultrasound Diagnosis of Fetal Anomalies
Rudy E. Sabbagha, Ralph K. Tamura and Elias R. Sabbagha
Main Menu   Table Of Contents

Search

Rudy E. Sabbagha, MD
Professor of Obstetrics and Gynecology, University of Chicago, Pritzker School of Medicine, Chicago, Illinois (Vol 2, Chap 21; Vol 3, Chaps 72, 73, 74)

Ralph K. Tamura, MD
Associate Professor of Obstetrics and Gynecology, Northwestern University Medical School, Chicago, Illinois (Vol 3, Chaps 72, 74)

Elias R. Sabbagha, MD
Instructor, Department of Obstetrics and Gynecology, Northwestern University Medical School, Chicago, Illinois (Vol 3, Chap 72)

INTRODUCTION
CONGENITAL HEART DISEASE
ABNORMALITIES OF THE CHEST AND GASTROINTESTINAL TRACT
URINARY TRACT ABNORMALITIES
ANOMALIES OF THE CENTRAL NERVOUS SYSTEM
EXTERNALLY VISIBLE BODY DEFECTS AND SKELETAL ABNORMALITIES
REFERENCES

INTRODUCTION

The recent development of high-resolution ultrasound equipment has markedly improved the diagnostic accuracy of ultrasound. In particular, the introduction of high-frequency vaginal probes has enabled early diagnosis of certain fetal abnormalities from the 12th to 14th week of pregnancy. Such early testing is of special importance for women with a history of pregnancies associated with birth defects. The frequency with which different organ systems can be imaged is shown in Table 1.1 The sequential appearance of fetal neural structures during the first trimester of pregnancy is shown in Table 2.2

TABLE 1. Frequency in Which Specific Fetal Anatomic Structures Are Visualized by Transvaginal Sonography from Approximately 10 to 14 Weeks' Gestation*


Gestation (weeks)

<10

10–12

12–14

>14

Patients

19

34

65

26

Four chamber

-

13 (37)

44 (68)

21 (81)

Head

-

13 (37)

43 (66)

16 (62)

Spine

-

5 (15)

28 (43)

8 (31)

Stomach

2 (10)

19 (56)

62 (95)

24 (92)

Kidneys

-

5 (15)

38 (58)

14 (54)

Bladder

3 (6)

14 (42)

52 (80)

23 (88)


*Percentages are shown in parentheses. Study included 150 low-risk pregnancies and utilized Acuson equipment and a 5-MHz transducer.
(Adapted from Johnson P, Sharland G. Maxwell D, Allan L: The role of transvaginal sonography in the early detection of congenital heart disease. Ultrasound Obstet Gynecol 2:2481, 1992).

TABLE 2. Sequential Appearance of Fetal Neural Structures During the First Trimester of Pregnancy


 

Mentstrual Age (Weeks)

Structure

6

7

8

9

10

11

12

13

Cephalic pole

 

________________________________

 

 

Univentricular system

 

__________________

 

 

 

Falx cerebri

 

 

 

____________________

 

Biventricular system

 

 

 

______________________

 

Choroid plexus

 

 

 

______________________

 

Thalamus

 

 

 

 

 

___________

 

Third Ventricle

 

 

 

 

 

___________

 

Corpus callosum

 

 

 

 

 

___________

 

Cerebral peduncles

 

 

 

 

 

___________

 

Pons

 

 

 

 

 

 

____

Cerebellum

 

 

 

 

 

 

____

Cerebellar tentorium

 

 

 

 

 

 

____

Hippocampus

 

 

 

 

 

 

____

Posterior fossa (cisterna magna)

 

 

 

 

 

 

____

IV ventricle

 

 

 

 

 

 

____

Cerebral arteries

 

 

 

 

 

______

 

Corpus striatum

 

 

 

 

 

 

____

Calvarial skeleton

 

 

 

 

 

 

____

Spinal skeleton

 

 

 

 

 

 

_

(Achiron R, Achiron A: Transvaginal ultrasonic assessment of the early fetal brain. Ultrasound Obstet Gynecol 1:336, 1991)

The examination for the detection of congenital anomalies is referred to as either detailed ultrasound study or targeted imaging for fetal anomalies (TIFFA)3, 4 In such examinations, a variety of fetal anatomic views (“targets”') are specifically sought after and imaged by experienced ultrasonographers. The indications for TIFFA are listed in Table 3.

TABLE 3. Targeted Imaging for Fetal Anomalies: Indications

  Poor obstetric history
  History of previous affected fetus: multifactorial, genetic or chromosomal abnormality
  Findings on standard obstetric study that increases risk for aneuploidy: choroid plexus cyst, pyelectases, hyperechogenic bowel, two vessel umbilical cord, heart defect, cleft lip, increased nuchal thickness, cystic hygroma, hydrops, diaphragmatic hernia, omphalocele, short humerus or femur bone.
  Findings on standard obstetric study that increase risk for spina bifida: lemon/banana sign.
  Inability to obtain a specific anatomic view on standard study.
  Abnormal level of maternal serum or amniotic fluid volume alpha-fetoprotein.
  Abnormal maternal triple-screen risk.
  Amniotic fluid volume abnormalities.
  Intrauterine growth restriction.
  Breech at term.
  Maternal diabetes mellitus.
  Advanced maternal age.
  History of adoption.
  Exposure to teratogen.
  Absent end diastolic velocity by umbilical Doppler study.
  Other indications (maternal anxiety, thick placenta)

Despite these technical advances, ultrasound accuracy remains dependent on gestational age. For example, if only one ultrasound examination is to be performed in the second trimester of pregnancy, the best time would be between weeks 19 and 20. Accuracy also depends on the skill of the ultrasonographer in obtaining the correct anatomic views and in differentiating between normal and abnormal structures.

The ultrasonographer also plays an essential role in 1) interpretation of the pathophysiology of a discovered defect, and 2) delineating the risk involved. For example, the risk for spina bifida in a woman with elevated maternal serum alpha-fetoprotein is much lower if a detailed ultrasound study is normal (Table 4).5 Thus, the need for amniocentesis to evaluate amniotic fluid alpha-fetoprotein (which is a better predictor of spina bifida than maternal serum alpha-fetoprotein) should be reevaluated in relation to the newly assigned risk (see Table 4).5 Similarly, the risk for autosomal trisomy is lower than the age-related or maternal triple-screen risk in women with a normal second trimester fetal ultrasound examination (Table 5, Table 6, Table 7 and Table 8.)

TABLE 4.Risks of Open Spina Bifida and Ventral Wall Defect by Population Incidence and MSAFP in Patients Who Have a Negative Ultrasonographic of 95% Sensitivity*


AFP

Ventral

Prior Incidence of Open Spina Bifida per 1000

Multiples

Wall Defect

 

of Median

Only

0.1

0.2

0.4

0.8

1

2

3.5

5

25

2

3600

18000

9000

4500

2300

1800

900

510

360

71

 

16000

79000

39000

20000

9800

7900

3900

2200

1600

310

 

69000

340000

170000

86000

43000

34000

17000

9800

6800

1300

2.5

1500

4700

2400

1200

590

470

240

140

95

19

 

6300

21000

10000

5100

2600

2100

1000

590

410

81

 

28000

90000

45000

22000

11000

9000

4500

2600

1800

350

3

590

1500

740

370

190

150

75

43

31

6.8

 

2600

6500

3200

1600

810

650

320

190

130

26

 

11000

28000

14000

7000

3500

2800

1400

800

560

110

3.5

250

530

270

130

68

54

28

16

12

3.1

 

1100

2300

1200

580

290

230

120

67

47

10

 

4700

10000

5100

2500

1300

1000

510

290

200

41

4

110

210

110

54

28

22

12

7.1

5.2

1.8

 

470

930

460

230

120

94

47

27

19

4.6

 

2000

4000

2000

1000

510

400

200

120

81

17

4.5

50

93

47

24

13

10

5.6

3.6

2.8

1.4

 

210

400

200

100

51

41

21

12

9

2.6

 

930

1800

880

440

220

180

88

51

36

7.8

5

24

44

22

12

6.3

5.3

3.1

2.2

1.9

1.2

 

100

190

94

48

24

20

10

6.3

4.7

1.7

 

440

810

410

200

100

82

42

24

17

4.2


*Each number in the table is the denominator of the risk with a standard numerator of 1.
The left-hand column gives risk of ventral wall defects, and the remaining columns give risk of open spina bifida based on prior population incidence. In each column, the upper figure provides the risk based on prior incidence and on MSAFP.
The lower figure in each column is boldface and is the best estimate of risk combining prior population incidence, MSAFP, and normal ultrasound.
MSAFP = maternal serum alpha-fetoprotein.
(Thornton JG, Lilford RJ, Newcombe RG: Tables for estimation of individual risks of fetal neural tube and ventral wall defects, incorporating prior probability, maternal serum alpha-fetoprotein, and ultrasonographic examination results. Am J Obstet Gynecol 164:154, 1991)

TABLE 5. Ultrasound Findings Associated With Increased Risk For Aneuploidy


Women Younger than 33 Years of Age

Women Older than 33 Years of Age

(An Abnormal Score is 2)

(An Abnormal Score is 1)

2 Nuchal Fold 6 mm

2 Nuchal fold 6 mm

2 Cardiac, CNS or other anatomic defect

2 Cardiac, CNS or other 2 anatomic defect

1 Short FL/expected FL*

1 Short FL/expected FL*

1 Short HL/expected JL †

1 Short HL/expected JL †

1 Pyelectasis ‡

1 Pyelectasis ‡

 

1 Echogenic bowel

 

1 Choroid plexus cyst


Abnormal scores in both age groups increase risk for autosomal trisomy to a level greater than 1:182-the standard age related risk of a 35-year-old pregnant woman at 16 weeks' gestation. As a result, an abnormal score warrants counseling for possible assessment of fetal karyotype. Sensitivity and specificity of abnormal score are > 80%. Similarly, a normal score of 0 after 33 years of age would decrease the risk for aneuploidy (see
Table 6).
*Expected femur length (mm) = -9.3105 + 0.9028 × biparietal diameter, value abnormal if measured/expected length . 0.9.
†Expected humeral length (mm) = -7.904 + 0.849 × biparietal diameter, value abnormal if measured/expected length < 0.9.
‡Anteroposterior diameter of renal pelvis 4 mm.
(Adapted from Benacerraf BR, Neuberg D, Bromley et al: Sonographic scoring index for prenatal detection of chromosomal abnormalities. J Ultrasound Med 11:449,1992).

TABLE 6.Risks for Autosomal Trisomy Before and After Sonographic Score of 0* When maternal Age Falls Between 33 and 46 Years of Age


 

 

After Scan

Lower Limit†

Maternal Age

Before Scan

(Score = 0)

95% CI

33

1 : 294

1 : 1666

0.9

34

1 : 232

1 : 1428

1.2

35

1 : 182

1 : 1111

1.5

36

1 : 140

1 : 833

2.0

37

1 : 112

1 : 666

2.5

38

1 : 87

1 : 536

3.2

39

1 : 68

1 : 400

4.1

40

1 : 53

1 : 312

5.3

41

1 : 42

1 : 244

6.8

42

1 : 33

1 : 192

8.7

44

1 : 20

1 : 116

14.5

46

1 : 12

1 : 68

24.3


*Score of 0 = normal ultrasound findings. Note that a normal score of 0 after 33 years of age would decrease the risk of aneuploidy necessitating reevaluation of need for assessment of fetal karyotype.
† Lower limit of the Confidence Interval for sensitivity and specificity.
(Adapted from Nadel AS, Bromley B, Frigoletto FD JR, Benacerraf BR: Can the presumed risk of autosomal trisomy be decreased in fetuses of older women following a normal sonogram? J Ultrasound Med 14:297, 1995).

TABLE 7.Midtrimester Risk for Trisomy 21 on Basis of Maternal Age in Structurally Normal Fetus as Modified by Ultrasonography (All Risks Are Expressed as 1/ x)


 

 

 

 

 

 

Short

Pyelectasis

 

 

 

 

 

 

Short

Short

Short

Femur and

with Short

 

 

 

Maternal

Age or Triple

Normal

Femur

Femurby

Humerus

Humerusby

Femur

Nuchal

Echogeni

 

Age (yr)

Screen Risk

Ultrasonography

byBPD/FL

O/E

by O/E

O/E

orHumerus

Fold

cBowel

ShortEar

20

1231

18,871

260

463

301

108

194

29

91

194

21

1145

17,553

242

431

280

100

181

27

85

180

22

1065

16,326

225

401

261

93

168

26

79

168

23

1000

15,330

212

376

245

88

158

24

74

157

24

942

14,441

199

354

231

83

149

23

70

148

25

887

14,598

188

334

217

78

140

21

66

140

26

842

12,908

178

317

206

74

133

20

63

133

27

798

12,233

169

300

196

70

126

19

59

126

28

755

11,574

160

287

185

66

120

18

56

119

29

721

11,053

153

271

177

64

114

18

54

114

30

685

10,501

145

258

168

60

109

17

51

108

31

650

9,964

138

245

159

57

103

16

49

103

32

563

8,631

120

212

138

50

89

14

42

89

33

452

6,929

96

170

111

40

72

11

34

72

34

352

5,396

75

133

87

31

56

9

27

56

35

274

4,200

59

104

68

25

44

7

21

44

36

213

3,265

46

81

53

19

34

6

17

34

37

166

2,545

36

63

41

15

27

5

13

27

38

129

1,978

28

49

32

12

21

4

10

21

39

100

1,533

22

38

25

10

17

3

8

17

40

78

1,196

17

30

20

8

13

3

7

13

41

61

935

14

24

16

6

10

2

5

10

42

47

721

11

18

12

5

8

2

4

8

43

37

567

9

15

10

4

7

2

4

7

44

29

445

7

12

8

3

5

2

3

5

45

22

337

5

9

6

3

4

1

3

4

46

17

261

4

7

5

2

4

1

2

4

47

13

199

4

6

4

2

3

1

2

3

48

10

153

3

4

3

2

2

1

2

2

49

8

123

3

4

3

2

2

1

2

2


FL, femur length: O, observed; E, expected (mean).
Note, as an example, that at maternal age of 36 years the risk for Down Syndrome is 1 : 213. However, following a normal second trimester scan the risk can be adjusted to 1 : 3265. As a result assessment of fetal karyotype would become unnecessary.
(Adapted from Vintzileos AM, Egan JFX: Adjusting the risk for trisomy 21 on the basis of second trimester ultrasonography. Am J Obstet Gynecol 172:837, 1995).

TABLE 8.Midtrimester Risk for Trisomy 21 on Basis of Triple Screen in Structurally Normal Fetus as Modified by Ultrasonography (All Risks Are Expressed as 1/ x)


 

 

 

 

 

 

Pyelectasis

 

 

 

Triple

 

 

 

Short

Short Femur

with Short

 

 

 

Screen

Normal

Short Femur

Short Femur

Humerus

and Humerus

Femur

Nuchal

Echogeni

 

Risk

Ultrasonography

by BPD/FL

by O/E

by O/E

by O/E

orHumerus

Fold

c Bowel

Short Ear

15,000

160,000

3163

5631

3661

1303

2359

347

1100

2348

14,500

154,667

3057

5444

3539

1260

2281

335

1063

2270

14,000

149,333

2952

5256

3417

1216

2202

324

1026

2192

13,500

144,000

2846

5068

3295

1173

2124

312

990

2114

13,000

138,667

2741

4881

3173

1129

2045

300

953

2035

12,500

133,333

2636

2693

3051

1086

1966

289

917

1957

12,000

128,000

2530

4505

2929

1043

1888

277

880

1879

11,500

122,667

2425

4318

2807

999

1809

266

843

1801

11,000

117,333

2319

4130

2685

956

1730

254

807

1722

10,500

112,000

2214

3942

2563

912

1652

243

770

1644

10,000

106,667

2109

3754

2441

869

1573

231

733

1566

9,500

101,333

2003

3567

2319

826

1495

220

697

1488

9,000

96,000

1898

3379

2197

782

1416

208

660

1409

8,500

90,667

1792

3191

2075

739

1337

197

624

1331

8,000

85,333

1687

3004

1953

695

1259

185

587

1253

7,500

80,000

1582

2816

1831

652

1180

174

550

1175

7,000

74,667

1476

2628

1709

609

1102

162

514

1096

6,500

69,333

1371

2441

1587

565

1023

151

477

1018

6,000

64,000

1266

2253

1465

522

944

139

440

940

5,500

58,667

1160

2065

1343

478

866

128

404

862

5,000

53,333

1055

1878

1221

435

787

116

367

783

4,500

48,000

949

1690

1099

392

708

135

331

705

4,000

42,667

844

1502

977

348

630

93

294

627

3,500

37,333

739

1315

855

305

551

82

257

549

3,000

32,000

633

1127

733

261

473

70

221

470

2,500

26,667

528

939

611

218

394

59

184

392

2,000

21,333

422

751

489

175

315

47

147

314

1,500

16,000

317

564

367

131

237

36

111

236

1.000

10,667

212

376

245

88

158

24

74

157

500

5,333

106

188

123

44

80

13

38

79


FL, Femur length; O, observed; E, expected (mean)
Note: The finding of short femoral and humeral lengths, relative to expected values (see
Table 5), would adjust a triple screen risk for Down syndrome from 1 : 2000 to 1 : 175. This adjustment suggests that further testing to assess fetal karyotype would now be warranted.
(Adapted from Vintzileos AM, Egan JFX: Adjusting the risk for trisomy 21 on the basis of second trimester ultrasonography. Am J Obstet Gynecol 172:837, 1995)

TIFFA examinations entail ultrasonic visualization of at least 34 fetal views and measurement of seven specific sites (Fig. 1). For each of these views, the ultrasonographer should indicate whether the structure is normal, previously normal, not applicable, suspect, abnormal, or poorly visualized. Poor visualization occurs when (1) fetal movement or position does not allow adequate imaging of a specific area, or (2) gestational age is less than 19 to 20 weeks.

Fig. 1. Computer-generated detailed obstetric report illustrating capability of ultrasonographer to address each specific view by indicating whether the structure appears normal, previously normal, not applicable to case, suspect, abnormal, or poorly visualized.

A normal TIFFA scan takes approximately 1 hour to complete. However, the presence of an anomaly is likely to extend the study and make it necessary for the mother to undergo a combination of genetic counseling, amniocentesis, or chorionic villi sampling to define fetal karyotype.

Studies that definitively resolve any possible concern regarding the long-term safety of ultrasound as well as its cost:benefit analysis are not yet available.6

Ewigman and co-workers7 evaluated the efficacy of routine antenatal diagnostic imaging with ultrasound (RADIUS) in reducing adverse perinatal outcome. Secondary outcomes included maternal morbidity and diagnostic accuracy of ultrasound. Study subjects were recruited from 92 obstetric and 17 family medicine practices in six states. Selection was based on predefined entry criteria that placed all study patients (screened group) in a low-risk category. Ultrasound screening examinations were performed on 7812 study subjects during two pregnancy intervals: 15 to 22 weeks, and 31 to 35 weeks. The women (n = 7718) in the control group had an ultrasound examination performed only if it was clinically indicated. The sensitivity in the detection of congenital anomalies was significantly higher in the screened versus control groups (34.8% vs 11%, p < 0.01); however, the higher detection of anomalies did not result in improved perinatal outcome. Romero8 and others9, 10 attribute the lack of improvement in perinatal outcome to (1) the limited sensitivity in the detection of anomalies in the RADIUS study, and (2) the low rate of pregnancy termination in women diagnosed with a fetal anomaly.

The low sensitivity (16.6%) in the detection of anomalies in the RADIUS study, particularly before 24 weeks' gestation, is very disturbing because it does not represent the current diagnostic capability of ultrasound. Specifically, in four studies11, 12, 13, 14 published from 1990 to 1992, the sensitivity of ultrasound screening for congenital anomalies before 24 weeks' gestation was 40%, 60.7%, 74.4%, and 84.3%, respectively. The specificity and negative predictive values were greater than 98%.11,12, 13, 14 Except for the Helsinki trial,11 the positive predictive values in these studies were equal to or greater than 98%.12, 13, 14

Back to Top
CONGENITAL HEART DISEASE

The frequency of congenital heart disease (CHD) is approximately 6 to 8 per 1000 newborns, and the recurrence risk is 8%. In 25% of cases, the etiology can be related to familial, chromosomal, or environmental causes (Table 9).15 The prenatal risk factors for CHD are shown in Table 10.16 The overall survival rate of fetuses with CHD remains poor (17% to 24%).17, 18

TABLE 9. Major Monogenic, Chromosomal, and Environmental Etiologies of Congenital Heart Disease and Arrhythmias

  Monogenic
  Hypoplastic left heart syndrome (? AR)
  Hypoplastic right heart syndrome (? AR)
  Endocardial fibroelastosis (AR ?, XLR)
  Complete heart block (AD)
  Supravalvular aortic stenosis (AR)
  Wolff-Parkinson-White syndrome (AD)
  Apert, Noonan, Holt-Oram, Marfan, osteogenesis imperfecta, tuberous sclerosis, and Ehlers-Danlos syndromes; all AD
  Ellis-Van Creveld, Carpenter, Meckel-Gruber, and Laurence-Moon-Biedl syndromes; some forms of mucopolysaccaridosis, mucolipidosis, and glycogenosis; thrombocytopenia, absent radius
  Duchenne and Dreifus muscular dystrophies (XLR)
  Chromosomal
  Trisomy 21 (50% incidence of CHD: VSD, ASD, cushion defect)
  Trisomy 18 (99% incidence of CHD: VSD, PS)
  Trisomy 13 (90% incidence of CHD: VSD, dextrocardia)
  Trisomy 22 (65+% incidence of CHD: VSD, ASD)
  Trisomy 8 (mosaic, 50% incidence of CHD: VSD, ASD
  Trisomy 9 (mosaic, 50% incidence of CHD: VSD, coarct, DORV)
  +14q-(50% incidence of CHD: ASD, Tet)
  18q-(50% incidence of CHD: VSD)
  4p-and 5p-(incidence of CHD 40% and 20%, respectively (VSD, ASD)
  XO Turner (35% incidence of CHD: coarct, ASD, AS)
  Environmental
  Maternal diabetes mellitus (3%–5% incidence of CHD: VSD, TGA, coarct, cardiomyopathy)
  Phenylketonuria (25%–50% incidence of CHD: VSD, ASD, tet)
  Rubella (35% incidence of CHD: VSD, ASD, PS)
  Lithium (10% incidence of CHD: Ebstein's anomaly, tricuspid atresia, ASD)
  Alcohol (25%–30% incidence of CHD: VSD, ASD)
  Amphetamines (5%–10% incidence of CHD: VSD, TGA)
  Hydantoin (2%–3% incidence of CHD: PS, AS, Coarct)
  Trimethadione (15%–30% incidence of CHD: TGA, HLHS)


AD = autosomal dominant; AR = autosomal recessive, AS = aortic stenosis; ASD = atrial septal defect; coarct = coarctation of the aorta; DORV = double-outlet right ventricle; HLHS = hypoplastic left heart syndrome; PS = pulmonary stenosis; tet = tetralogy of Fallot; TGA = transposition of the great arteries; VSD = ventricular septal defect; XLR = X-linked recessive.
(Modified from Nora N: Genetics and Counseling in Cardiovascular Disease. Springfield, Charles C Thomas. 1978)

TABLE 10. Prenatal Risk Factors for Congenital Heart Disease

  Fetal Risk Factors
  Intrauterine growth retardation
  Fetal cardiac dysrhythmia
  Abnormal karyotype (trisomy 13–18 and 21, Turner's syndrome)
  Noncardiovascular structural anomalies
  Maternal Risk Factors
  Heart disease
  Congenital
  Acquired
  Drug ingestions
  Alcohol
  Narcotics
  Amphetamines
  Anticonvulsants
  Lithium
  Birth control pills
  Other sex hormones
  Polyhydramnios
  Oliogohydramnios
  Rh sensitization
  Diabetes mellitus
  Phenylketonuria
  Preeclampsia
  Collagen vascular disease
  Familial Risk Factors
  Congenital heart disease
  Genetic syndromes

(DeVore GR. The prenatal diagnosis of congenital heart disease: A practical approach for the fetal sonographers. J Clin Ultrasound 13:229, 1985)

The examination of the fetal heart includes evaluation of many views, including the four chambers, the parasagittal view (also known as the left ventricular outflow tract), the short axis, the great vessels, and the aortic arch.

The Four-Chamber View

The structures that can be visualized in the four-chamber view are as follows:

  1. Both ventricles, including the position or' the heart in the chest and the appearance of the pericardial and pulmonary areas
  2. The interventricular septum (IVS)
  3. The atrioventricular valves
  4. The septum primum and secundum (Fig. 2).

    Fig. 2. Schematic illustration of the four-chamber view.

The ultrasonographer should obtain a number of views of the four chambers to gain adequate visualization of all these structures (Fig. 3).

Fig. 3. These echograms illustrate the need to obtain a number of four-chamber views of the heart. A. Echogram of four-chamber view showing equal-sized ventricles of normal thickness, a moderator band in the right ventricle (arrow), a normal-looking interventricular septum, and a normal septum primum. The septum secundum is not apparent. B. A second four-chamber view in same patient clearly shows septum primum and secundum, but the moderator band is not clear.

THE VENTRICLES.

Although both ventricles should be similar in thickness and size, the right ventricle is normally characterized by the appearance of the moderator band, which consists of thickened trabeculae extending from the septum to the parietal wall of the right ventricle (see Fig. 3A). Absence of the moderator band from its normal location implies corrected or L-transposition of the great arteries. In this abnormality, the right ventricle functions as the left chamber, assuming the role of pumping blood into the aorta. Thus, in contrast to D-transposition, L-transposition allows blood flow to the lungs and body to be maintained normally.

Hyperechogenicity or thickness of the ventricular walls or ventricular septum, or both, is consistent with cardiomyopathy (Fig. 4).

Fig. 4. A Cardiomyopathy in four-chamber view with very thick ventricular walls. B. Four-chamber view of the heart showing hyperechogenicity at the base of the interventricular septum (arrow), consistent with cardiomyopathy.

In dextroversion, the apex of the heart points to the right side of the chest. The main differential diagnoses of this condition are cystic adenomatoid malformation of the lungs, diaphragmatic hernia, and polysplenia. In levoversion the apex of the heart points to left side of the chest excessively; the main differential diagnosis of this condition includes left pulmonary hypoplasia and a right-sided pulmonary mass.

THE INTERVENTRICULAR SEPTUM.

Defects in the IVS constitute the most common form of congenital heart disease and can occur in various locations within the septum. Ultrasonic visualization of small ventricular septal defects, regardless of location, may not be possible in the four-chamber plane. For example, membranous or perimembranous defects (located adjacent to the aortic valve) are situated below the anterior portion of the IVS and are not visualized in the four-chamber plane (Fig. 5). Such defects usually are depicted in the parasagittal plane (Fig. 6).

Fig. 5. Schematic illustration of membranous septal defect adjacent to the aortic valve and below the anterior aspect of the interventricular septum (IVS). This defect is not visible in the four-chamber view of the heart.

Fig. 6. A. Schematic illustration of parasagittal view, showing left ventricle (LV) and aortic outflow tract (Ao). A portion of the right ventricle (RV) is noted anteriorly, opposite the left atrium (LA). The interventricular septum can be readily assessed in this plane. B. Ultrasound appearance of the parasagittal view.

THE ATRIOVENTRICULAR VALVES.

The septal insertion of the tricuspid valve should be visualized slightly below that of the mitral valve (see Fig. 2 and Fig. 3). If the insertion is lower, Ebstein anomaly should be considered. Interestingly, hyperechogenicity limited to the area of the mitral valve is usually inconsequential; that is, cardiomyopathy is not a consideration.

THE SEPTUM PRIMUM AND SECUNDUM.

The foramen ovale is the opening between both atrial septi, allowing blood to flow from the right atrium to the left. In endocardial cushion defect, a single common atrioventricular valve is noted superior to a large ventricular septal defect.

Diagnostic Utility of the Four-Chamber View

Because the four-chamber view depicts so many cardiac structures and is also the plane used to evaluate cardiac arrhythmia, it is included in all obstetric studies. Copel and associates19 showed that 92% of cardiac defects may be discovered by some abnormality in the four-chamber view and proposed routine screening for CHD. After including the four-chamber view in their examinations, Vergani and colleagues20 improved their CHD diagnosis sensitivity from 43% to 81%. Subsequently, Sharland and Allan21 showed that after routinely including the four-chamber view in obstetric studies, 53 fetuses were referred for possible CHD over a period of 32 months; previously, from 1980 to 1988, only 8 fetuses had been referred. They reported a 77% sensitivity for the four-chamber view in the diagnosis of CHD. Studies by Bromley and co-workers22 and Wigton and associates,23 however, suggest that the sensitivity of the four-chamber view in detecting CHD is even lower, ranging from 69% to 39%, respectively. This is understandable because the four-chamber view does not allow for assessment of the pulmonary and aortic arteries-outflow tracts that are evaluated best in the parasagittal, short axis, and great vessel views.

Parasagital View

The parasagittal view encompasses the left ventricle. aortic outflow, a portion of the right ventricle, and the left atrium (see Fig. 6). This plane is significant for two main reasons:

  1. The aorta at the level of the aortic valve can be readily assessed.
  2. Membranous IVS defects (located adjacent to the aortic outflow tract and below the plane of the four chamber view) stand a better chance of being visualized in this view.

Short Axis View

The short axis view (Fig. 7) encompasses the aortic and pulmonary valves as well as the ductus arteriosus and the right branch of the pulmonary artery. It is used to evaluate the size of the aorta and pulmonary arteries at the valvular level.

Fig. 7. Echogram of short axis view, depicting the tricuspid valve (TRIC) and the aortic valve to its right. The pulmonary valve is shown between the plus (+) signs. The pulmonary artery continues into the ductus arteriosus (DA). The right branch of the pulmonary artery (RT PA) is seen as it diverts to pass below the aorta.

Great Vessel View

The great vessel view depicts the relatively parallel relationship of the superior vena cava, aorta, and pulmonary arteries after the latter two cross each other (Fig. 8). Clear visualization of this plane indicates that the crossing of the aorta and pulmonary artery is normal and virtually rules out transposition of the great vessels. Aortic or pulmonary stenosis also can be recognized in this view.

Fig. 8. A. Schematic drawing of the crossing of the pulmonary artery (PA) and the aorta (Ao) . Note how the branch of the pulmonary artery passes below the aorta (see Fig. 7). The black line is the plane that shows the great vessel view (GVV) depicting the almost parallel relationship between the superior vena cava (SVC), PA, and Ao. B. Echogram of the GVV showing the almost parallel relationship between the SVC, P/A, and Ao. C. Echogram of GVV showing aortic stenosis with very small aortic outflow (A outflow) and a normal-sized pulmonary artery. (DA = ductus arteriosus)

In truncus arteriosus, the pulmonary artery is not clearly depicted by ultrasound. Instead, the aortic outflow tract is large and the aorta is overriding.

The great vessel view also allows a comparative measurement of the two arteries a short distance beyond the valvular level; the measurements should be obtained from the inner aspects of these arteries. Normally the ratio of pulmonary artery: aorta has a mean value of 1.09 (range = 0.75 to 1.43) and is independent of gestational age.24

Aortic Arch

The aortic arch is depicted in Figure 9. Coarctation of the aorta most frequently occurs at the isthmus, the area of the arch at the insertion site of the ductus arteriosus. The isthmus is normally narrow in the fetus but dilates in the newborn after the ductus closes. Because narrowing in the isthmus occurs normally, in utero diagnosis of coarctation of the aorta is difficult.

Fig. 9. Echogram of normal-looking aortic arch. The normal constriction at the isthmus is not apparent in this view.

Back to Top
ABNORMALITIES OF THE CHEST AND GASTROINTESTINAL TRACT

Esophageal Atresia

This is a very rare anomaly occurring at a rate of 1:25,000 births. In 10% of cases it can be characterized ultrasonographically by a dilated proximal esophagus, absence of stomach echo, and polyhydramnios.25 In the remaining 90% of cases, however, the defect cannot be ultrasonically recognized because of abnormal communication channels between the proximal aspects of the esophagus, trachea, and stomach, which result in free flow of amniotic fluid.

Pulmonary Cystic Adenomatoid Malformation

Three types of pulmonary cystic adenomatoid malformation have been characterized26:

  Type I: The cysts are large ( 2 cm). The prognosis depends on the size of the tumor and the degree of fetal hydrops (Fig. 10). If the fetus survives, resection of the affected portion of the lung is usually indicated.

Fig. 10. A. Longitudinal echogram of fetus with a large right type I cystic adenomatoid malformation. The cysts are large and up to 1.5 cm in diameter. Note the marked displacement of heart to the left side of the chest. The fetus died of hydrops at 33 weeks. B. Note the brightly hyperechogenic mass involving the left lung and displacing the heart to the right side of the chest, since the left ventricle is contiguous with the mass. This echogram depicts a cystic adenomatoid malformation type III.

  Type II: The cysts are less than 1 cm in diameter, but other anomalies of the renal or gastrointestinal tract may be present.
  Type III: The lesion is microcystic, brightly echogenic, and large, and its presence is associated with a poor prognosis (see Fig. 10).

A pulmonary cystic adenomatoid malformation can result in a right or left shift of the mediastinum (see Fig. 10). The differential diagnosis includes pulmonary sequestration and diaphragmatic hernia.27

Pulmonary Hypoplasia

Pulmonary hypoplasia is associated with a high mortality rate. Lung weight at autopsy is 2 SD below the mean.49 The etiology of this disease usually is related to (1) compression of the lungs, and (2) oligohydramnios28 (Table 11); however, the disease also can occur as a primary condition.

TABLE 11. Etiology of Pulmonary Hypoplasia


Etiology

Example

Hydrothorax

Fetal hydrops

Pulmonary tumor

Cystic adenomatoid malformation

Chest mass

Teratoma, anterior thoracic meningocele

Elevation of the diaphragm

Ascites, obstructive uropathy

Oligohydramnios

Severe obstructive uropathies, intrauterine growth

 

 restriction (IUGR)

Diaphragmatic hernia

Prolonged rupture of membranes

Although high-resolution equipment has enabled lung tissue to be visualized adjacent to the heart, most studies dealing with antenatal diagnosis of pulmonary hypoplasia have focused on reduced chest size as a predictor for the condition.29, 30 More recently, Vintzileos and colleagues31 showed that the highest sensitivity (85%) and positive predictive value (83%) for the diagnosis of pulmonary hypoplasia could be obtained with the following ratio:


[chest area - heart area/chest area] × 100

The chest area should be traced at the midpoint of the chest wall. The ratio is independent of gestational age and is considered abnormal when it is less than or equal to 62 (5th percentile). The ratio can be used when the abdominal circumference is large (as in ascites or obstructive uropathy) or small (as in omphalocele). It is not applicable to fetuses with diaphragmatic hernia because chest size is artificially enlarged in this condition.

Diaphragmatic Hernia

Congenital defects in the diaphragm result in herniation of bowel, stomach, and possibly parts of the liver and pancreas, into the chest. The hernia displaces the heart and mediastinum, making antenatal diagnosis possible. The most common defect (1:3000 births) involves the foramen of Bochdalek, which is situated in the posterolateral aspect of the diaphragm.32 This condition may be associated with cardiac abnormalities or aneuploidy (trisomy 13, 18, and 21).

In utero corrective surgery is possible in cases of isolated diaphragmatic hernia. The outcome of open in utero surgery, however, should be weighed against that of extracorporeal oxygen membrane oxygenation in the neonate, which has been reported to carry a success rate of only 55%. Data on this subject are still evolving.33

Another rare type of diaphragmatic hernia is found through the foramen of Morgagni. This hernia is associated with a poor prognosis because of its association with other anomalies, such as hydrocephalus, encephalocele, enlarged cisterna magna, malrotation of the gut, cardiac anomalies, and trisomies.32

The differential diagnosis of diaphragmatic hernia includes (1) eventration or displacement of visceral contents into the chest secondary to a thin diaphragm; (2) chest mass; and (3) pulmonary tumor.

Ventral Wall Defects

Fetal bowel normally is located outside the abdomen in the first trimester of pregnancy. This is known as physiologic herniation, a condition that can be appreciated with the use of high-frequency vaginal transducers.34, 35 Thus, the diagnosis of omphalocele should not be made before the 14th week of pregnancy.

True ventral wall defects occur at a rate of 1:2500 births. Two main forms are described: omphalocele and gastroschisis. In omphalocele, the fetal gut (and sometimes the liver) is outside the abdomen but is covered by a sac-like cyst interface (Fig. 11). In gastroschisis, segments of intestine are noted in the peritoneal cavity without any sac-like cover. In contrast to omphalocele, the umbilical cord in gastroschisis is inserted into the abdominal wall (see Fig. 11). Gastroschisis is not associated with other fetal abnormalities, but a chromosomal abnormality may be found in approximately 50% of fetuses with omphalocele, particularly if fetal liver is not part of the hernia.36, 37 Other anomalies involving the cardiac, skeletal, renal, and central nervous systems may also be present. The Beckwith-Weidman syndrome of organomegaly and hypoglycemia has been described in association with omphalocele.

Fig. 11. A. Cross-section echogram of a fetus with an omphalocele. Note herniation of bowel covered by a fluid interface and sac wall. B. In another view, the umbilical cord (CORD) is seen tot enter into the sac, which is characteristic of an omphalocele.

In the presence of a ventral wall defect, the mode of delivery (vaginal delivery vs cesarean section) remains controversial.38, 39 Vaginal delivery appears safe, however, when the hernia is small and the liver is not herniated.

Obstructive Gastrointestinal Lesions and Hyperechogenic Bowel

Duodenal atresia results from failure of recanalization of the upper gastrointestinal tract at 8 weeks' gestation. It may be associated with Down syndrome and other anomalies involving the gastrointestinal. cardiac, and renal systems. This condition is characterized by dilation of the stomach and proximal part of the duodenum (double-bubble sign). Occasionally the diagnosis can be made before the 20th week of pregnancy, but it is more likely to be made after the 20th week, when the quantity of swallowed amniotic fluid exceeds the resorptive capacity of the gut.40

Small bowel obstruction results from in utero avascular necrosis of segments of jejunum and ileum. Dilation of small bowel proximal to the necrotic segments is ultrasonically recognizable by the presence of valvular flaps projecting into the lumen.

The pattern of bowel dilation in other obstructive bowel abnormalities is not specific enough to allow for a precise diagnosis. These abnormalities include malrotation of the bowel, volvulus, intussusception, and Hirschprung disease (congenital intestinal aganglionosis).

Meconium within normal bowel sometimes appears bright and has been described as hyperechogenic bowel (Fig. 12). In many fetuses that exhibit this entity, the outcome may be norma141; however, it has been associated with cystic fibrosis and aneuploidy.42 Prospective couples should be counseled regarding appropriate antenatal testing.

Fig. 12. Hyperechogenic bowel (arrow).

Differentiation between hyperechogenic bowel and meconium peritonitis may be possible. In the latter condition, bowel perforation results in extravasation of meconium into the abdominal cavity. Meconium induces an inflammatory response, formation of adhesions, and calcium deposition in the area.

Back to Top
URINARY TRACT ABNORMALITIES

The frequency of urinary abnormalities is approximately 7:1000 newborns, and the recurrence risk is 8% to 10%.

The etiology of urinary tract abnormalities should extend beyond the apparent site of the lesion. For example, dilation of the ureteropelvic junction (UPJ) may result either from obstruction at the upper ureter or from pathology at a more caudad level. This includes increased intraluminal pressure secondary to reflux at the level of the vesicoureteral junction resulting in dilation of the UPJ. Similarly, a posterior urethral valve (PUV) will dilate the UPJ and even produce hydronephrosis. Thus, in discussing urinary tract abnormalities, it is reasonable to start with the urethra and proceed cephalad.

Posterior Urethral Valve

Most PUVs are partial, such that the resulting bladder dilation is not severe. The ureters may only be slightly dilated, and if present, hydronephrosis is moderate (Fig. 13). In the severe form, however, the pathophysiology is severe and may resemble the findings in agenesis of the urethra. In complete PUV, the bladder is markedly dilated. The ureters also are convoluted and large. Hydronephrosis is severe. Oligohydramnios prevents appropriate pulmonary development and leads to pulmonary hypoplasia.

Fig. 13. Longitudinal echogram showing some enlargement of the bladder ( arrow) in a fetus with a partial posterior urethral valve. Ureters are not dilated, and there is no evidence of hydronephrosis.

Early treatment of this condition (less than 20 weeks' gestation) is important to prevent permanent renal damage. The indications for therapy include the following:

  1. Early diagnosis (18 to 20 weeks' gestation)
  2. A fetal urine sample showing sodium concentrations less than 100 mg/dL, chloride < 90 mg/dL, and osmolality, 210 mOsm/dL—all indirectly pointing to the ability of the kidneys to provide the function of salt conservation
  3. Decreasing amniotic fluid volume but not frank oligohydramnios

A number of treatment options are available:

  1. Open fetal surgery to marsupialize the bladder
  2. A two-ended curved catheter to drain urine into the amniotic cavity (catheter insertion has been difficult, however, and is frequently followed by catheter displacement and blockage)
  3. Frequent bladder drainage procedures.43

To prevent pulmonary hypoplasia, treatment should be initiated by the 20th pregnancy week, Although early treatment may prevent development of pulmonary hypoplasia, however, 30% to 50% of these children may subsequently develop dysplastic kidneys and require renal transplantation.44

Prune-Belly Syndrome

In prune-belly syndrome, the bladder is dilated, the abdominal wall lax, and testicles undescended (cryptorchidism). Although this condition may result from a PUV, it is also believed that it may represent a primary mesoderm defect in the abdominal wall and urinary tract muscles.45 Fortunately in most cases of PUV the urethral obstruction is incomplete, allowing for fetal urination and maintenance of near-normal amniotic fluid volume.

The Ureteropelvic Junction

Dilation of the UPJ (Fig. 14) results from (1) abnormal recanalization of the upper part of the ureter, resulting in varying degrees of obstruction; or (2) absence of the longitudinal muscle fibers in the upper ureter and renal pelvis. In the latter dysfunction, there is abnormal forward propulsion of urine, resulting in a dilation of the UPJ.46 Importantly, dilation of the UPJ may be associated with other anomalies involving the fetal cardiac, gastrointestinal, and central nervous systems.

Fig. 14. A. Cross-section of fetal abdomen at level of kidneys ( spine anterior ) show both kidneys. The left (LT) kidney shows dilation of the ureteropelvic junction (UPJ), but no hydronephrosis is present. B. The fetal spine is tot he left of the echogram and the kidney above the spine also shows dilation of the UPJ, the anteroposterior diameter (calipers) measuring 8 mm. C. The fetal spine is on the right lower side of the echogram. The kidney above the spine shows more severe UPJ (calipers) , with extension to the calyces.

Further, male fetuses are more frequently affected than female (5:1). The UPJ dilation also occurs more frequently on the left side and can be unilateral in 70% of cases.

Pyelectasis

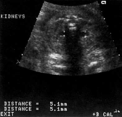
The etiology of a dilated renal pelvis or pyelectasis is similar to that of a dilated UPJ. Reflux occurring at the level of the vesicoureteral valves also may result in pyelectasis (Fig. 15).

Fig. 15. Echogram showing a cross-section of the fetal abdomen at the level of the kidneys. The spine is anterior. Note bilateral pyelectasis (calipers). The anteroposterior diameter of each renal pelvis measure 5 mm.

The definition of mild or minimal pyelectasis in the literature is confusing.47 Further, the outcome of fetuses with minimal pyelectasis is not all “benign” as suggested in some studies.48 In fact, many such fetuses may require subsequent medical or surgical intervention. Thus, an anteroposterior diameter equal to or greater than 4 mm or 7 mm before and after 33 weeks' gestation, respectively, warrants postnatal follow-up.48

Moreover., approximately 3.3% of fetuses with pyelectasis in the range of 3 to 5 mm may also have chromosomal abnormalities, including Down syndrome.49, 50 Interestingly, 25% of fetuses with Down syndrome have pyelectasis, whereas only 2.8% of fetuses with a normal karyotype show this condition.49

Hydronephrosis

Dilation of the renal calyceal system results from abnormalities at a lower level of the urinary tract. It is differentiated from multicystic dysplastic disease by (1) ultrasonic visualization of radially placed calyces communicating with the renal pelvis and (2) preservation of some renocortical tissue (Fig. 16).

Fig. 16. Longitudinal echogram of fetus, showing kidney (within tracing) with extensive hydronephrosis. Many dilated calyces are communicating with the renal pelvis, a finding that differentiates hydronephrosis from multicystic kidney.

In utero diagnosis of pyelectasis, UPJ dilation, and hydronephrosis is significant because it identifies fetuses who will require postnatal urologic evaluation. As a result, early surgical intervention or medical treatment with antibiotics will prevent irreversible renal compromise.

Renal Agenesis

The frequency of this condition is 1:4000 births, and the risk of recurrence is 3%.51 The etiology is variable and may include chromosomal or genetic disorders (recessive or dominant mode of inheritance). It may also be part of the VATER association: vertebral defects, anal atresia, tracheoesophageal fistula, and radial and renal dysplasia. The outcome of fetuses with renal agenesis is poor because of oligohydramnios and associated pulmonary hypoplasia.

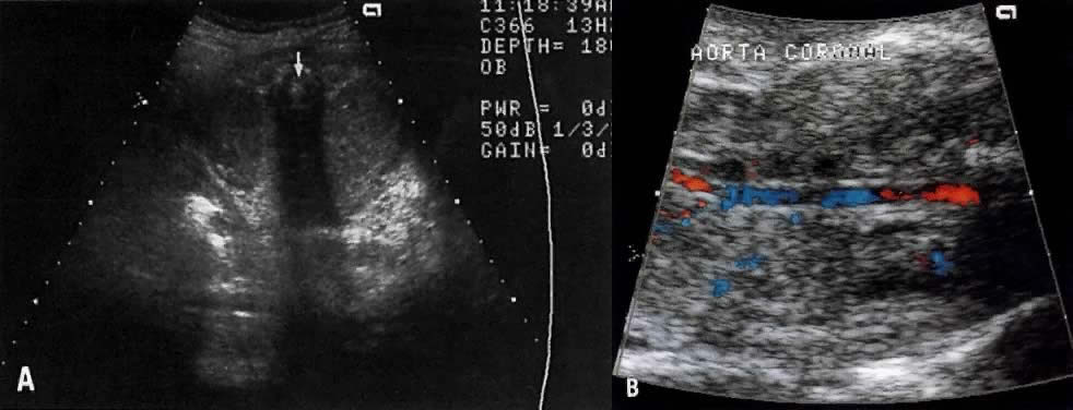
Intravenous administration of furosemide (40 mg IV) has not been helpful in differentiating renal agenesis from severe intrauterine growth restriction. Further, because of associated oligohydramnios as well as an enlarged adrenal gland that mimics renal appearance, the diagnosis by gray scale ultrasound is difficult (sensitivity, 50%).51 In suspected cases, however, the use of color Doppler velocimetry may show absence of renal arteries in bilateral renal agenesis and only one renal artery in the unilateral form of this abnormality (Fig. 17).52

Fig. 17. A. Cross-section of fetal abdomen at level of kidneys (spine anterior, arrow) shows both kidneys. The areas on each side of the spine are filled with a uniform echopattern, and no kidneys are seen. B. Color Doppler of aorta in a fetus with renal agenesis fails to outline renal arteries.

Infantile Polycystic Kidney Disease

This is an autosomal recessive disorder. The kidneys are enlarged (ratio of kidney:abdominal circumference greater than the norm of 30%) and show small multicystic echoes.53 Unfortunately, the diagnosis cannot always be made before 24 weeks' gestation54 because several subtypes of infantile polycystic kidney disease exist, and these vary in onset and severity.

Multicystic-Dysplastic Kidney Disease

The etiology of this condition may be secondary to a chromosomal abnormality or a mutant gene. It is rare, occurring at a rate of 1:10,000 births, and has a male-to-female ratio of 2:1. The condition is unilateral in 75% of cases.

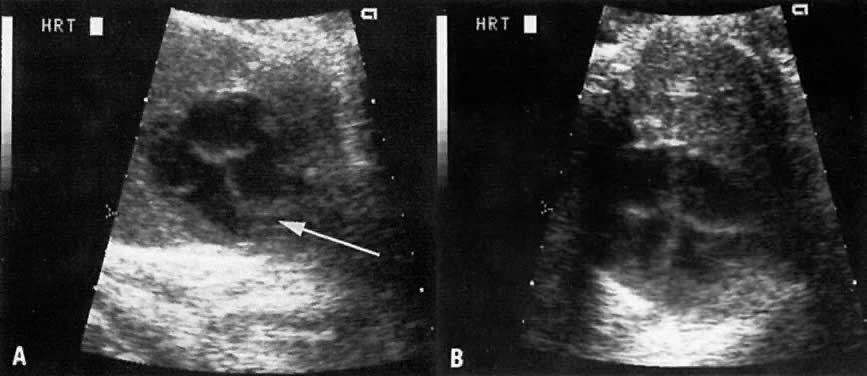
The etiology is related to either (1) poor induction of nephron formation or (2) obstructive uropathy. Defects in nephron formation occur early in embryogenesis, thus impeding renal development. In such cases, the kidneys are very small, each weighing as little as 1 g, and cysts are evident only via microscopic examination. This defect is classified as Potter type II-B dysplastic kidney.55 If the defect develops by 9 to 13 postmenstrual weeks, the fetal kidney assumes a large multicystic appearance (Potter type II-A; Fig. 18).

Fig. 18. Cross-section of fetal abdomen at level of kidneys (spine anterior) shows both kidneys. Note pyelectasis of right kidney (anteroposterior diameter = 6.4 mm). The left kidney is enlarged and uniformly cystic, with no apparent renal cortical tissue, which is characteristic of multicystic kidney.

Megacystis-microcolon-intestinal hypoperistalsis (MMIH) syndrome is a fatal autosomal recessive disorder believed to result from an end-organ receptor defect confined to the smooth muscle of the urinary and gastrointestinal tracts.56, 57, 58, 59 It is characterized by a large, thick-walled bladder plus dilation and distention of the small bowel, including the duodenum.57, 58 The kidneys may also appear hydronephrotic or even multicystic. Amniotic fluid volume may be either normal or excessive. The condition is differentiated from PUV by the absence of oligohydramnios and dilation of the proximal urethra. This entity has been described only recently, so it is not clear whether diagnosis by ultrasound is always possible before 24 weeks' gestation.

Back to Top
ANOMALIES OF THE CENTRAL NERVOUS SYSTEM

The frequency of central nervous system anomalies varies according to geographic area and race. It is approximately 2:1000 newborns, and the recurrence risk is 1% to 2%.

Anencephaly

In anencephaly, the cerebral hemispheres and overlying skull and scalp are absent. In exencephalus, the cranial bones are also absent, but a large amount of disorganized brain tissue is present. The diagnosis can now be made in the latter part of the first trimester of pregnancy with the use of high-frequency transvaginal ultrasound (Fig. 19).60

Fig. 19. Echogram of fetus with exencephaly. Not absence of skull echo and disorganized of brain tissue. (right side).

Microcephaly

The diagnosis of microcephaly is more likely to be accurate when the head circumference is 3 SD below the mean for dates (Table 12).4, 5 A definitive diagnosis is usually difficult to make before 24 weeks' gestation because the etiology is variable (Table 13), and head size may not become small for gestational age until the third trimester of pregnancy.

TABLE 12. Small Head Perimeter Measurements (mm), 2-and 3-SD below Mean for Fetal Age in Weeks of Value in Diagnosis of Microcephaly


Age (wk)

-2 SD

-3 SD

-4 SD

-5SD

20

145

131

116

101

21

157

143

128

113

22

169

154

140

125

23

180

166

151

136

24

191

177

162

147

25

202

188

173

158

26

213

198

183

169

27

223

208

194

179

28

233

218

203

189

29

242

227

213

198

30

251

236

222

207

31

260

245

230

216

32

268

253

239

224

33

276

261

246

232

34

283

268

253

239

35

289

275

260

245

36

295

281

266

251

37

301

286

272

257

38

306

291

276

262

39

310

295

281

266

40

314

299

284

270


SD = standard deviations.
(Adapted from chervenak FA, Jeanty P, Cantraine F et al: The diagnosis of fetal microcephaly. Am J Obstet Gynecol 149:512, 1984)

TABLE 13. Selected Conditions Associated with Microcephalus with Features Potentially Diagnosable by Ultrasound


 

Frequent or Occasional Features

Syndromes

 

Meckel-Gruber

Encephalocele, cleft palate, polycystic kidney, polydactyly, IUGR (A/R)

Dubowitz

IUGR, hypertelorism, olinodactyly of fifth finger (A/R)

Robert

IUGR, cleft lip, hypertelorism, hypomelia, CHD, polycystic kidneys, polyhydramnios, hydrocephalus (A/R)

Seckel

IUGR, facial hypoplasia with prominent nose (A/R)

De Lange

IUGR, micrognathia, micromelia, CHD, sporadic etiology

Coffin-Siris

IUGR, CHD, Dandy-Walker anomaly, hypoplastic fifth finger (unknown etiology)

Bloom

IUGR A/R

Chromosomal Deviations

 

Trisomy 13

Holoprosencephaly, hydronephrosis, polycystic kidneys, IUGR, single umbilical artery, CHD

Trisomy 18

Polyhydramnios, hydronephrosis, polycystic kidneys, IUGR, single umbilical artery, CHD, omphalocele, choroid plexus cysts

VATER associations

Esophageal atresia, radial hypoplasia, renal dysplasia

Del (4p) and Del (5p)

Hypertelorism, IUGR, CHD

Del (13 q)

Hypertelorism, IUGR,CHD, hydrocephalus, small thumbs

Del (18p)

IUGR, holoprosencephaly

Del (18q)

Cleft lip, CHD, horseshoe kidney

Environmental Factors

 

Alcohol

IUGR, hydrocephalus, CHD

Amniopterin

IUGR, hydrocephalus, neural tube defect, hypoplasia/frontal bone, cleft palate, broad nasal bridge, hypertelorism, CHD

Hydantoin

IUGR, hypertelorism, cleft lip, CHD, duodenal atresia, single umbilical artery

Maternal phenylketonuria

IUGR, CHD

Rubella

IUGR, CHD

Other Associations

 

Aniridia-Wilms

IUGR, genitourinary anomalies,

tumor

Wilms tumor


A/R = autosomal recessive; CHD = congenital heart disease; IUGR = intrauterine growth retardation; VATER = vertebral defects, imperforate anus, tracheoesophageal fistula, and radial and renal dysplasia.
(Adapted from Sabbagha RE, Toig RM, Tamura RK. Ultrasound examination of the fetus: Externally visible defects. In: Lin CC, Verp MS, Sabbagha RE, eds. The high risk fetus: Pathophysiology, diagnosis and management. New York: Springer-Verlag 1993:271)

Sonographic measurement of the frontal lobe (i.e., the distance from the posterior wall of the frontal horn to the inner aspect of the skull) has been proposed as a helpful diagnostic tool because the frontal aspect of the brain is the area most compromised.61, 62, 63 The normal frontal lobe values ± 2 SD from 16 to 24 weeks' gestation are shown in Table 14.

TABLE 14. Frontal Lobe Distance from Posterior Wall of Frontal Horn to Inner Aspect of Skull


Measurement (cm) (± 2 SD)*

No. of Weeks' Gestation

1.4 ( ± 0.4 )

16

1.6 ( ± 0.2 )

17–18

1.7 ( ± 0.2 )

19–20

1.8 ( ± 0.2 )

21–23

1.9 ( ± 0.4 )

24


* Measurement used to enhance diagnosis of microcephaly (see text).
(Adapted from Goldstein I, Reece A, Pilu G et al: Sonographic assessment of the fetal frontal lobe: A potential tool for prenatal diagnosis of microcephaly. Am J Obstet Gynecol 158:1057, 1988)

Meningocele and Encephalocele

In cranial meningocele, the meninges protrude through a bony defect in the skull. Occipital presentation of meningocele is most common, occurring in 75% of cases. The differential diagnosis of cranial meningocele includes (1) scalp edema associated with fetal hydrops, (2) cystic hygroma, (3) teratoma, and (4) encephalocele (Fig. 20).64, 65

Fig. 20. Echogram of fetus with an encephalocele. The encephalocele (arrows) projects from the posterior aspect of the fetal head.

Spina bifida is frequently associated with meningocele. The latter represents extrusion of the meninges through the bony defect. Some cerebrospinal fluid (CSF) is usually contained within the meningocele. As a result, the area appears cystic, an ultrasound characteristic that enhances visibility of small spina bifida (Fig. 21).

Fig. 21. A. Longitudinal scan fetal spine. Note meningocele in the lumbosacral area (arrow). B. Cross-sectional view of the fetal lumbosacral area shows open spina bifida covered by a meningocele (arrow). C. Cross-sectional view of normal lumbosacral area showing rounded closed spin covered with skin (arrow). D. Echogram of fetal head with spina bifida, showing the lemon sign (i.e., scalloping of the frontal bones of the fetal head.

Hydrocephaly

Figure 22 depicts the flow of CSF in hydrocephaly. Any lesion preventing normal flow of CSF from the lateral ventricles to the cisterns results in hydrocephaly.

Fig. 22. Schematic representation of the cerebral ventricular system. Note that lateral ventricles encompass the frontal horns (F.H.), body, posterior horns ( P.H .), and temporal horns (T.H.). The cerebrospinal fluid flows (1) from the lateral ventricles to the third ventricle (closed arrow) via the short foramen of Mono; (2) from the third ventricle through the relatively long aqueduct of Sylvius tot he fourth ventricle (open arrow); and (3) from the fourth ventricle through the small foramina Luschka and Magendie to the cisterna magna located posterior to the cerebellum.

Obstruction at the level of the aqueduct of Sylvius results in enlargement of the third and lateral ventricles (Fig. 23). The etiology of such obstruction includes (1) X-linked recessive inheritance, (2) infection with cytomegalovirus or toxoplasmosis, and (3) other lesions that impinge on the area.

Fig. 23. A. Head echogram of a fetus with hydrocephalus and dilation of the lateral ventricle. The ratio between the distance from the midline to (1) ventricular wall (+), and (2) inner aspect of the parietal bone(x) is used to assess severity of the condition. In this fetus, the ratio is 67% (normal is approximately 35%) . Note compression of the choroid plexus adjacent tot he ventricular wall and to the left of the + sign. B. Head echogram of fetus with hydrocephalus, showing dilation of the ventricular atria (+ and X, respectively). Each atrium measures 2.3 cm (normal, 0.2 to 1.0 cm)

Hydrocephaly plus dilation of the posterior fossa results from obstruction of CSF flow at the level of the foramina Luschka and Magendie (see Dandy-Walker syndrome, below). Table 15 lists a number of other specific syndromes that result in hydrocephaly.

TABLE 15. Skeletal Dysplasias, Chromosomal Abnormalities, and Birth Defects Associated with Hydrocephalus

  Apert's syndrome
  Robert's syndrome
  Osteogenesis imperfecta
  Thanatophoric dwarfism
  Trisomies 13, 18, and 21
  Triploidy
  Aneurysm of the vein of Galen
  Papilloma of the choroid plexus

In approximately 25% of hydrocephalic fetuses, an abnormal karyotype is found. Of these fetuses, approximately 85%, have additional anomalies. Thus, the prognosis should be individualized depending on specific etiology, but this cannot always be determined antenatally.

Hydrocephalic fetuses should not be delivered before pulmonary maturity is attained because there is a weak correlation between the extent of compression of the cerebral cortex and the severity of mental retardation.

ROUTE OF DELIVERY.

In a term fetus with normal chromosomes, isolated hydrocephalus (i..e, no other abnormality noted), and head circumference less than 90th percentile, vaginal delivery may be a reasonable option. If head circumference is equal to or greater than 90th percentile at term, cesarean section may be the least traumatic route. When hydrocephalus is associated with conditions incompatible with life, such as renal agenesis, thanatophoric dwarfism, or trisomy 18, cephalocentesis may be used to accomplish vaginal delivery. The combination of hydrocephalus with spina bifida also can determine the mode of delivery (see section on Spina Bifida. below).

In contrast to simple ventriculomegaly, hydrocephalus usually is more progressive, and it is frequently associated with compression of the choroid plexus (see Fig. 23).

The progression of hydrocephalus may be gauged by (1) the ventricular:hemispheric ratio, and (2) the diameter of the ventricular atrium (see Fig. 22 and Fig. 23).66, ,68 Dilation of the ventricular atrium is also a characteristic finding in agenesis of the corpus callosum. In such cases, the third ventricle is displaced cephalad and the frontal horns laterally.69

DIFFERENTIAL DIAGNOSES.

Differential diagnoses of hydrocephaly include the following:

  1. Holoprosencephaly: In this condition, the cerebral hemispheres do not separate; a single ventricle is noted, and hypotelorism is a characteristic finding. Fetal karyotype is abnormal in 50% of fetuses with holoprosencephaly, and trisomy 13 is the most frequent chromosomal abnormality. The diagnosis may be made in the latter part of the first trimester with the use of high-frequency vaginal ultrasound (Fig. 24).

    Fig. 24. Echogram of the head (HEAD) of one fetal twin at 13 weeks' gestation, showing holoprosencephaly.

  2. Hydranencephaly. In this condition, early bilateral vascular thrombosis of the carotid arteries bilaterally results in infarcted and atrophic cerebral hemispheres. The cerebellum, midbrain, and basal ganglia are seen, however. and are characteristically surrounded by a fluid interface.
  3. Porencephaly. In contrast to hydranencephaly, the condition results from localized brain atrophy secondary to a vascular accident.
  4. Aneurysm of the vein of Galen (Fig. 25):70 Dilation of the vein of Galen results from an arteriovenous malformation in which one or more arterioles feed the vein of Galen and distend it. The diagnosis is clarified by color Doppler velocimetry (see Fig. 25). The distension may result in hydrocephaly, and it may lead to high-output cardiac failure (see Fig. 25).

    Fig. 25. A. Echogram showing malformation of the vein of Galen (arrow). B. Color Doppler velocimetry confirms lesion, showing turbulent flow (cursor) due to arterial blood flow into the vein. C. Great vessel view of fetus with right heart failure secondary to a vein of Galen malformation. Note dilated pulmonary artery (X) below aorta (+). The superior vena cava above the aorta enters into a dilated right ventricle.

Choroid Plexus Cyst

A choroid plexus cyst is visualized in approximately 1% of fetuses scanned at 16 to 22 weeks' gestation (Fig. 26). In 1% to 2% of such fetuses, fetal trisomy 18 or 21 is noted.71, 72, 73, 74 Parents therefore should be counseled regarding the assessment of fetal karyotype. They should also be informed that trisomy 18 is a fatal condition, but that approximately 10% of infants with this defect live beyond 1 year of age. These parents should be counseled with respect to the emotional and financial cost of caring for an infant with this disorder.75

Fig. 26. Echogram of fetus with a choroid plexus cyst.

It has been postulated that the risk for aneuploidy may be small if (1) the cyst is less than 1 cm in diameter, (2) the cyst decreases in size or disappears as the pregnancy advances to 22 weeks, and (3) no other anomalies are noted. Whether there is indeed a decreased risk in such pregnancies, however, remains controversial. Kupfermink and co-workers76 showed that in a fetus with isolated choroid plexus cyst, the risk for aneuploidy is high (1:25) and thus amniocentesis is warranted.

The Posterior Fossa

The posterior fossa shows the cerebellum and the cisterna magna (Fig. 27). Normally, the cisterna magna measures 1 to 10 mm. The differential diagnoses of an enlarged cisterna magna include trisomy 18, arachnoid cyst, and obstruction of normal CSF flow at the level of the foramina Luschka and Magendie. CSF obstruction occurs in the following conditions:

Fig. 27. A. Echogram of the fetal posterior fossa, showing (1) cerebellum (+) and (2) cystic area behind the cerebellum representing normal cisterna magna. Note that in this fetus the subcutaneous tissue posterior to the cisterna magna (X) is also thickened to 6 mm, a finding predictive of Down's syndrome. B. Fetus with massive dilation of the cisterna magna posterior to the cerebellum (+). The cerebellum is hypoplastic and the dilation secondary to Dandy-Walker malformation (see text for differential diagnosis)

  1. Dandy-Walker malformation
  2. Abnormalities of the subarachnoid space:
    1. Arnold-Chiari II syndrome
    2. Cerebral infection
    3. Achondroplasia
    4. Hurler syndrome.77, 78, 79

In Dandy-Walker malformation, dilation of the posterior fossa results from atretic foramina Luschka and Magendie, hypoplastic cerebelli, and vermis (roof of the fourth ventricle). As a result, the dilated fourth ventricle “herniates” into the area of the cisterna magna, ultrasonically appearing as symmetrically dilated cisterna magna (see Fig. 27). In contrast, an arachnoid cyst in the posterior fossa is less symmetric.77

Spina Bifida

In spina bifida, splaying of the spine is noted in the longitudinal plane. However, small spinae bifida located in the lumbosacral area are best visualized by careful cross-sectional imaging (see Fig. 21). The size of spinae bifida varies from a tiny bone defect to one involving many segments of the spine (myeloschisis).

Importantly, an Arnold-Chiari type II malformation occurs in nearly all cases of spina bifida. This is characterized by forward scalloping of the frontal aspect of the fetal head (lemon sign; see Fig. 21), and an abnormal, banana-shaped cerebellum (banana sign). The ultrasonographer should always look for these signs during the examination; if they are present, the ultrasonographer should extend the examination to search for spina bifida.80

MODE OF DELIVERY.

Currently, there are no controlled prospective studies that indicate whether a fetus with spina bifida should be delivered vaginally or by cesarean section. In a recent retrospective report, however, Luthy and associates81 showed that the mean functional level of infants delivered by cesarean section extended to a lower level than that of infants delivered vaginally (L4 vs L2). This two-segment difference may determine the prognosis as to whether an infant will be able to walk.81,82 Thus, obstetricians prefer delivery by cesarean section because it allows controlled handling of the fetal lumbosacral area.

Back to Top
EXTERNALLY VISIBLE BODY DEFECTS AND SKELETAL ABNORMALITIES

Cleft Lip and Palate

It is now possible to image the fetal nose area and upper lip to rule out cleft lip (Fig. 28). Cleft lip alone is genetically different from the combination of a cleft lip and palate and is more likely to occur in female infants (sex ratio, 2:1). Importantly, both conditions may be components of genetic, chromosomal, or other syndromes.

Fig. 28. Echogram of nostrils (single arrow shows left) nostril and upper lip (double arrows).

Cystic Hygroma

Cystic hygroma is a rare (1:6000 pregnancies) disorder and usually occurs as a sporadic event, although in some cases a recessive mode of inheritance is implicated. Importantly, 75% of cases have an associated chromosomal abnormality, including 45,X trisomies (two thirds of cases).13, 18, 21

In this disorder, poor development of communication channels between the jugular veins and the cervical lymph sacs (jugular lymphatic obstruction sequence) results in the formation of cystic hygromas (Fig. 29). These can vary in size depending on the degree of obstruction. In some cases, cystic hygromas have been noted to regress in utero, implying growth in the communication channels with advancing gestational age.83 In mild cases, the differential diagnosis includes thickening of the nuchal occipital fold secondary to aneuploidy.84 In severe cases, massive fetal hydrops develops and intrauterine fetal death occurs in the second trimester of pregnancy.

Fig. 29. Cross-section of fetal neck, showing very large cystic hygromas extending toward the right side of the echogram.

Fetal Hydrops

This term is used to describe accumulation of fluid in some or all serous cavities in conjunction with massive fetal edema. The etiology is immune in 13% of cases and nonimmune in the remaining 87%. In the latter group, the etiology is idiopathic in 22%, extrinsic in 1% (i.e., due to infections, such as TORCH or parvovirus B 19), and intrinsic in 64%. The most common intrinsic causes are cystic hygroma and cardiac defects. Other intrinsic etiologies include: chromosomal abnormality, arteriovenous shunts, twin-to-twin transfusion syndrome, fetomaternal hemorrhage, pulmonary masses. and inherited diseases, such as α-thalassemia, Tay-Sachs disease, and hemoglobinopathy.85

Sacrococcygeal Teratoma

Sacrococcygeal tumor appears as a predominantly echogenic mass attached to the sacrococcygeal area. It is quite rare (1:40,000 births) but has the potential to become malignant. The size is variable, but the majority of tumors are small (Fig. 30). In approximately 10% of cases, the mass is equal to or greater than 10 cm at term, requiring delivery by cesarean section.86

Fig. 30. Small sacrococcygeal teratoma (+,X) noted anterior to the fetal spine. This could be readily palpated in a rectal examination in the neonate.

Skeletal Dysplasia

Skeletal dysplasia involves a heterogeneous group of abnormalities characterized by variability in the mode of inheritance, recurrence risk, gene penetrance, and type of limb shortening.87 It is beyond the scope of this chapter to describe each possible abnormality in detail.

In most skeletal dysplasias, the first noticeable feature is short limbs (Fig. 31. Once this is established, a detailed survey of fetal anatomy is carried out to identify the specific dysplasia. Attention to the following areas is helpful: (1) facial abnormality, (2) cephalic size, (3) shortened radius, (4) segment of bone shortened, (5) small or barrel-shaped chest, (6) cardiac defects, (7) head size, (8) protuberance of abdomen; (9) fetal edema; and (10) demineralization of bone. The abnormal ultrasound findings in various skeletal dysplasias are listed in Table 16.

TABLE 16. Abnormal Ultrasound Features in Various Skeletal Dysplasias


Abnormal Ultrasound

 

Feature

Skeletal Dysplasias

Amniotic fluid volume and polyhydramnios

Robert S, VATERS association

Acromelia

Ellis-van Creveld dysplasia, Poland sequence acrodysostosis

Bowing of long bones

 

 Tibia

Campomelic dysplasia, metaphyseal chondradysplasia

 Femur

Split-hand S

 Cardiac abnormalities

Thanatophoric dysplasia, chondroectodermal dysplasia,

 

 short rib polydactyly, campomelic dwarfism, Robert S

 Cleft lip and cleft palate

All facial skeletal dysplasias, diastrophic dwarfism,

 

 chondroectodermal dysplasia, short-rib

 

 polydactyly, campomelic dwarfism

 Clubfoot

Osteogenesis imperfecta, arthrogryposis, Robert S, other

 Contractures

Femoral hypoplasia/unusual facies S, popliteal web S,

 

 sirenomelia sequence, arthrogryposis

Demineralization and poor calcification of bone

 

 Mainly noted in spine

Achondrogenesis

 Mainly noted in skull

Hypophophatasia

 Mainly noted in long

Osteogenesis imperfecta

  bones with fractures

 

Dolichocephaly

Craniosynostosis, trilobed or clover-leaf skull

Femur hypoplasia

Femoral hypoplasia/unusual facies S, ectrodactyly-

 

 ectodermal dysplasia-clefing S

Fetal motion absence

Arthrogryposis

Finger abnormalities and

Ectrodactyly ectodermal dysplasia-clefing S, Aase S

 triphalangeal thumb

 

Head shape abnormalities

 

Brachycephaly

Craniosynostosis, acrodysostosis, achondroplasia,

 

 (heterozygous form)

Hydrocephaly

Thanatophoric dwarfism, osteogenesis imperfecta

Hydropic appearance

Achondrogenesis, short rib polydactyly

 

 (Saldino-Noonan type)

Hypertelorism

Cleidocranial cleidostosis, acrodysostosis, VATERS

Intrauterine growth

Robert S, VATERS

 retardation

 

Kyphoscoliosis

Metatrophic dysplasia

Limbs lower fusion

Caudal regression S

Long bones (increased thickness)

Diastrophic dysplasia

Macrocephaly

Achondroplasia, campomelic dysplasia

Mesomelia

Neivergelt or Langer dysplasia

Micromelia (severe)

Robert S, type II osteogenesis imperfecta, achondrogenesis

Microcephalus

Robert S, thanatophoric dwarfism, De Lange S,

 

 chondrodysplasia punctata

Protuberant abdomen

Achondrogenesis, thanatophoric dwarfism, short rib

 

 polydactyly (Majewski type)

Radial bone hypoplasia

Miller S, TAR S, AASE S, VATERS, acromelia

Renal disease

Short rib polydactyly, campomelic dwarfism, asphyxiating

 

 thoracic dysplasia (Jeune type), short rib polylydactyly

Thorax (decreased size)

Thanatophoric dwarfism, achondrogenesis, metatrophic

 

 dwarfism, asphyxiating thoracic dysplasia (Jeune type),

 

 short rib polydactyly, campomelic dysplasia

 

 cleidocranial dysostosis

Umbilical cord (single umbilical artery)

VATERS


Aase S = triphalangeal thumb, ventricular septal defect, and aplastic anemia; S = syndrome; TAR = thrombocytopenia with absence of the radius; VATERS = vertebral and ventricular septal defects, anal atresia, tracheoesophageal fistula, radial and renal dysplasia, and single umbilical artery association).

Fig. 31. A. Note marked reduction in the length of the arm, forearm, and wrist. B. The fetal head is quite large relative to the size of chest. C. A close look at the fetal head shows hydrocephalus and a trilobed skull. The diagnosis is consistent with thanatophoric (lethal) dysplasia.

Back to Top
REFERENCES

1. Johnson P, Sharland G, Maxwell D, Allan L: The role of transvaginal sonography in the early detection of congenital heart disease. Ultrasound Obstet Gynecol 2: 2481, 1992

2. Achiron R, Achiron A: Transvaginal ultrasonic assessment of the early fetal brain. Ultrasound Obstet Gynecol 1: 336, 1991

3. Sabbagha RE, Sheikh Z, Tamura RK et al: Predictive value, sensitivity, and specificity of ultrasonic targeted imaging for fetal anomalies in gravid women at high risk for birth defects. Am J Obstet Gynecol 152: 822, 1985

4. Sabbagha RE, DalCompo SA, Shuhaibar L: Targeted imaging for fetal anomalies. In Sabbagha RE (ed): Ultrasound Applied to Obstetrics and Gynecology, 3rd ed. Philadelphia. JB Lippincott, 1994

5. Thornton JG, Lilford R J, Newcombe RG: Tables for estimation of individual risks for neural tube and ventral wall defects, incorporating prior probability, maternal serum alpha-fetoprotein, and ultrasonic examination results. Am J Obstet Gynecol 164: 154, 1991

6. Reece RA, Assimakopoulos E, Zheng XZ et al: The safety of diagnostic ultrasonography: Concern for the fetus. Obstet Gynecol 76: 139, 1990

7. Ewigman BG, Crane JP, Frigoletto FD et al: A randomized trial of prenatal ultrasound screening in a low risk population: Impact on perinatal outcome. N Engl J Med 329: 821, 1993

8. Romero R: Editorial. Routine obstetric ultrasound. Ultrasound Obstet Gynecol 3: 303, 1993

9. Berkowitz RL: Editorial. Should every pregnant woman undergo ultrasonography? N Engl J Med 329: 874, 1993

10. Hegge FN: Letter to the editor. N Engl J Med 330: 570, 1994

11. Saari-Kamppainen A, Karjalainen O, Heinonen OP: Ultrasound screening and perinatal mortality: Controlled trial of systematic one-stage screening in pregnancy: The Helsinki Ultrasound Trial. Lancet 336: 387, 1990

12. Chitty LS, Hunt GH, Moore J, Lobb MO: Effectiveness of routine ultrasonography in detecting fetal structural abnormalities in a low risk population. Br Med J 303: 1165, 1991

13. Shirley IM, Bottomley F, Robinson VP: Routine radiographer screening for fetal abnormalities by ultrasound in an unselected low risk population. Br Med J 65: 564, 1992

14. Luck CA: Value of routine ultrasound scanning at 19 weeks: A four year study of 8849 deliveries. Br Med J 304: 1474, 1992

15. Nora N: Genetics and Counseling in Cardiovascular Disease. Springfield, Charles C Thomas, 1978

16. DeVore GR: The prenatal diagnosis of congenital heart disease—a practical approach for the fetal sonographers. J Clin Ultrasound 13: 229, 1985

17. Ferrazi E, Fesslova V, Bellotti M et al: Prenatal diagnosis of and management of congenital heart disease. J Reprod Med 34: 207, 1989

18. Crawford DC, Chita SK, Allan LD: Prenatal detection of congenital heart disease: Factors affecting obstetric management and survival. Am J Obstet Gynecol 159: 352, 1988

19. Copel JA, Pilu G, Green J et al: Fetal echocardiographic screening for congenital heart disease: The importance of the four-chamber view. Am J Obstet Gynecol 157: 648, 1987

20. Vergani P, Mariani S, Ghidini A et al: Screening for congenital heart disease with the four chamber view of the heart. Am J Obstet Gynecol 167: 1000, 1992

21. Sharland GK, Allan LD: Screening for congenital heart disease prenatally: Results of 2 1/2 year study in the south east Thames region. Br J Obstet Gynaecol 99: 220, 1992

22. Bromley B, Estroff JA, Sanders SP et al: Fetal echocardiography: Accuracy and limitations in a population at high risk for heart defects. Am J Obstet Gynecol 166: 1473, 1992

23. Wigton TR, Sabbagha RE, Tamura RK et al: Sonographic diagnosis of congenital heart disease: Comparison between the four chamber view and multiple cardiac views. Obstet Gynecol 82: 219, 1993

24. Comstock CH, Riggs T, Lee W et al: Pulmonary-to-aorta diameter ratio in the normal and abnormal fetal heart. Am J Obstet Gynecol 165: 1038, 1991

25. Faarant P: The antenatal diagnosis of esophageal atresia by ultrasound. Br J Radiol 53: 1202, 1988

26. Stocker JT, Madewell JE, Grake RM: Congenital cystic adenomatoid malformation: Classification and morphologic spectrum. Hum Pathol 8: 155, 1977

27. Mariona F, McAlpin G, Zador I et al: Sonographic detection of fetal extrathoracic pulmonary sequestration. J Ultrasound Med 5: 283, 1986

28. Thibeault DW, Beatty EC, Hall RT et al: Neonatal pulmonary hypoplasia with premature rupture of membranes and oligohydramnios. J Pediatr 107: 273, 1985

29. Chitkara U. Rosenburg J. Chervenak FA et al: Prenatal sonographic assessment of the fetal thorax: Normal values. Am J Obstet Gynecol 156: 1069, 1987

30. Fong K, Ohlsson A, Zaber A: Fetal thoracic circumference: A prospective cross sectional study with real time ultrasound. Am J Obstet Gynecol 158: 1154, 1988

31. Vintzileos AM, Campbell WA, Rodis JF et al: Comparison of six different ultrasonographic methods for predicting lethal fetal pulmonary hypoplasia. Am J Obstet Gynecol 161: 606, 1989

32. Sabbagha RE, Comstock CH: Abnormalities of the chest and gastrointestinal tract. In Sabbagha RE (ed): Ultrasound Applied to Obstetrics and Gynecology, 2nd ed. Philadelphia, JB Lippincott, 1987

33. Wenstrom KD, Weiner CP, Hanson J W: A five-year state-wide experience with congenital diaphragmatic hernia. Am J Obstet Gynecol 165: 838, 1991

34. Green JJ, Hobbins JC: Abdominal ultrasound examination of the first trimester fetus. Am J Obstet Gynecol 159: 165, 1988

35. Gray DL, Martin CM, Crane JP: Differential diagnosis of first trimester ventral wall defect. J Ultrasound Med 8: 255, 1989

36. Benacerraf BR, Saltzman DH, Esteroff JA, Frigoletto FD: Abnormal karyotype of fetuses with omphalocele: Prediction based on omphalocele contents. Obstet Gynecol 75: 317, 1990

37. Nyberg DAS, Fitzsimmons J, Mack LA et al: Chromosomal abnormalities in fetuses with omphalocele: Significance of omphalocele contents. J Ultrasound Med 8: 299, 1989

38. Kirk PE, Wah RM: Obstetric management of the fetus with omphalocele or gastroschisis: A review and report of 112 cases. Am J Obstet Gynecol 146: 512, 1983

39. Sipes SL, Weiner CP. Sipes DR II et al: Gastroschisis and omphalocele: Does either antenatal diagnosis or route of delivery make a difference in perinatal outcome? Obstet Gynecol 76: 195, 1990

40. Nelson LH, Clark CE, Fishburne JI et al: Value of serial sonography in the in utero detection of duodenal atresia. Obstet Gynecol 59: 657, 1982

41. Paulson EK, Hertzberg BS: Hyperechoic meconium in the third trimester fetus: An uncommon normal variant. J Ultrasound Med 10:677. 1991

42. Pretorius D, Budorick N, Cahill T et al: Midtrimester echogenic bowel and chromosomal abnormalities (SPO abstract 20). Am J Obstet Gynecol 166: 283, 1992

43. Evans MI, Sacks AJ, Johnson PM et al: Sequential invasive assessment of fetal renal function and the intrauterine treatment of fetal obstructive uropathies. Obstet Gynecol 77: 545, 1991

44. Estes JM, Adzick NS, Harrison MR: Antenatal open surgery for the abnormal fetus. In Sabbagha RE (ed): Ultrasound Applied to Obstetrics and Gynecology, 3rd ed. Philadelphia, JB Lippincott, 1994

45. Garris J, Kangarloo H, Sarti D et al: The ultrasound spectrum of prune-belly syndrome. J Clin Ultrasound 8: 117, 1980

46. Antonakopoulos GN, Fuggle WJ, Newman J et al: Idiopathic hydronephrosis. Arch Pathol Lab Med 109: 1097, 1985

47. Hoddick WK, Kogan BA, Jeffry RB et al: Minimal fetal renal pyelectasis. J Ultrasound Med 4: 85, 1985

48. Corteville JE, Gray DL, Crane JP: Congenital hydronephrosis: Correlation of fetal ultrasonographic findings with infant outcome. Am J Obstet Gynecol 165: 384, 1991

49. Benacerraf BR, Mandell J, Estroff JA et al: Fetal pyelectasis: A possible association with Down syndrome. Obstet Gynecol 76: 5855, 1990

50. Carter CO: The genetics of urinary tract malformations. J Genet Hum 32: 23, 1984

51. Romero R, Cullen M, Grannum P et al: Antenatal diagnosis of renal anomalies with ultrasound: III. Bilateral renal agenesis. Am J Obstet Gynecol 151: 38, 1985

52. Jeanty P, Romero R, Kepple D et al: Prenatal diagnosis in unilateral empty renal fossa. J Ultrasound Med 9: 651, 1990

53. Grannum P, Bracken M, Silverman R, Hobbins JC: Assessment of fetal kidney size in normal gestation by comparison of ratio of kidney circumference to abdominal circumference. Am J Obstet Gynecol 136: 249, 1980

54. Simpson JL, Sabbagha RE, Elias S et al: Failure to detect polycystic kidneys in utero by second trimester ultrasonography. Hum Genet 60: 295, 1982

55. Potter EL: Type II cystic kidney: Early ampullary inhibition in normal and abnormal development of the kidney, p 154. Chicago, Year Book Medical, 1972

56. Penman DG, Lilford RJ: The megacystis-microcolon-intestinal hypoperistalsis syndrome: A fatal recessive condition. J Med Genet 26: 66, 1989

57. Berdon WE, Baker DH, Blanc WA et al: Megacystis-microcolon-intestinal hypoperistalsis syndrome: A new cause of intestinal obstruction in the newborn. Report of radiologic findings in 5 newborn girls. AJR 126: 957, 1976

58. Vintzileos AM, Eisenfeld LI, Herson VC et al: Megacystis-microcolon-hypoperistalsis syndrome: Prenatal sonographic findings and review of the literature. Am J Perinatol 3: 297, 1986

59. Young ID, Mckeever PA, Brown LA et al: Prenatal diagnosis of the megacystis-microcolon-intestinal hypoperistalsis syndrome. J Med Genet 26: 403, 1989

60. Kennedy KA, Flick KJ, Thurmond AS: First trimester diagnosis of exencephaly. Am J Obstet Gynecol 162: 461, 1990

61. Chervenak FA, Rosenberg J, Brightman RC et al: A prospective study of the accuracy of ultrasound in predicting fetal microcephaly. Obstet Gynecol 69: 908, 1987

62. Chervenak FA, Jeanty P, Cantraine F et al: The diagnosis of fetal microcephaly. Am J Obstet Gynecol 149: 512, 1984

63. Goldstein I, Reece A, Pilu G et al: Sonographic assessment of the fetal frontal lobe: A potential tool for prenatal diagnosis of microcephaly. Am J Obstet Gynecol 158: 1057, 1988

64. Santolaya J, Alley D, Jaffe R, Warsof SL: Antenatal classification of hydrops fetalis. Obstet Gynecol 79: 256, 1992

65. Sabbagha RE, Tamura RK, DalCompo S: Fetal cranial and craniocervical masses: Ultrasound characteristics and differential diagnosis. Am J Obstet Gynecol 138: 511, 1980

66. Pretorius DH, Drose LA, Manco-Johnson ML: Fetal lateral ventricular ratio determination during the second trimester. J Ultrasound Med 5: 121, 1986

67. Pilu G, Reece A, Goldstein I et al: Sonographic evaluation of the normal developmental anatomy of the fetal cerebral ventricles: The atria. Obstet Gynecol 73: 2505, 1989

68. Cordoza JD, Goldstein RB, Filly RA: Exclusion of fetal ventriculomegaly with a single measurement of the width of the lateral ventricular atrium. Radiology 169: 711, 1988

69. Comstock C: Agenesis of the corpus callosum in the fetus: Diagnosis and significance. The Female Patient 17: 40, 1992

70. Jeanty P, Kepple D, Roussis P, Shah D: In utero detection of cardiac failure from aneurysm of the vein of Galen. Am J Obstet Gynecol 163:50. 1990

71. Chitkara U, Cogswell C, Norton K et al: Choroid plexus cysts in the fetus: A benign anatomic variant or pathologic entity ? Report of 41 cases and review of the literature. Obstet Gynecol 72: 185, 1988

72. Gabrielli S, Reece AE, Pilu G et al: The clinical significance of prenatally diagnosed choroid plexus cysts. Am J Obstet Gynecol 160: 1207, 1989

73. Rotmensch S, Luo JS, Nores JA et al: Bilateral choroid plexus cysts in trisomy 21. Am J Obstet Gynecol 166: 591, 1992

74. Platt LD, Carlson DE, Medearis AL et al: Fetal choroid plexus cysts in the second trimester of pregnancy: A cause for concern. Am J Obstet Gynecol 164: 1652, 1991

75. Hershey DW: Fetal choroid plexus cysts revisited—Is genetic amniocentesis indicated? J Ultrasound Med 11: 14775, 1992

76. Kupferminc M J, Tamura RK, Sabbagha RE et al: Isolated choroid plexus cyst(s): An indication for amniocentesis. Am J Obstet Gynecol 171: 1068, 1994

77. Sabbagha RE: Targeted imaging for fetal anomalies: Clues to reaching a correct diagnosis. Obstet Gynecol Rep 2: 142, 1990

78. Thurmond AS, Nelson DW, Lowensohn RI et al: Enlarged cisternal magna in trisomy 18: Prenatal ultrasonographic diagnosis. Am J Obstet Gynecol 161: 83, 1989

79. Ghidini A, Sirtori M, Vergani P: Fetal intracranial calcifications. Am J Obstet Gynecol 160: 8622, 1989

80. Van den Hof MC, Nicolaides KH, Campbell S: Evaluation of the lemon and banana signs in one hundred thirty fetuses with open spina bifida. Am J Obstet Gynecol 162: 322, 1990

81. Luthy DA, Wardinsky T, Shurtleff DB et al: Cesarean section before the onset of labor and subsequent motor function in infants with meningomyelocele diagnosed antenatally. N Engl J Med 162: 624, 1991

82. Hobbins JC: Diagnosis and management of neural tube defects to day. N Engl J Med 324: 690, 1991

83. Macken MB, Granmyre EB, Vincer MJ: Regression of nuchal cystic hygroma in utero. J Ultrasound Med 8: 101, 1989

84. Benacerraf BR, Neuberg D, Bromley B, Frigoletto FD: Sonographic scoring index for prenatal detection of chromosomal abnormalities, J Ultrasound Med 11:449, 1992

85. Santolaya J, Alley D, Jaffe R, Warsof SL: Antenatal classification of hydrops fetalis. Obstet Gynecol 79: 256, 1992

86. Salerno AP: Fetal sacrococcygeal teratoma. Perspect Probl Obstet Gynecol 1: 3, 1985

87. Smith DW: Recognizable patterns of human malformation. Philadelphia. WB Saunders, 1976

Back to Top