Chapter 12
Follicle Growth and Development
Gregory F. Erickson
Main Menu   Table Of Contents

Search

Gregory F. Erickson, PhD
Professor of Reproductive Medicine, University of California, San Diego, School of Medicine, La Jolla, California (Vol 5, Chap 12)

INTRODUCTION
FOLLICULOGENESIS
AUTOCRINOLOGY AND PARACRINOLOGY
ACKNOWLEDGMENTS
REFERENCES

INTRODUCTION

Typically, the human ovaries produce a single dominant follicle that results in a single ovulation each menstrual cycle (Fig. 1). In any given cycle, the dominant follicle must complete all the steps in folliculogenesis in a timely manner. In this capacity, it survives the negative events that operate to destroy the other follicles by atresia. Recognition that only a few follicles become dominant beautifully demonstrates the fundamental principle that folliculogenesis in mammals is a highly selective process. This chapter considers what is known about the process underlying the expression of the structural and functional organization of developing follicles and how they are controlled.

Fig. 1. Photomicrograph of ovulation shows the expanded egg-cumulus complex leaving the follicle through the stigma. The remaining cells in the follicle wall ( i.e. granulosa, membrana and periantral, theca, the theca interna and externa) develop into the corpus luteum.(From Blandau RJ: Growth of the ovarian follicle and ovulation. Prog Gynecol 5:58, 1970.)

Back to Top
FOLLICULOGENESIS

Folliculogenesis is the process in which a recruited primordial follicle grows and develops into a specialized graafian follicle with the potential to either ovulate its egg into the oviduct at mid-cycle to be fertilized or to die by atresia. In women, the process is long, requiring almost 1 year for a primordial follicle to grow and develop to the ovulatory stage. During the course of folliculogenesis, growth is achieved by cell proliferation and formation of follicular fluid, whereas development involves cytodifferentiation of all the cells and tissues in the follicle. Only a few follicles in the human ovary survive to complete the cytodifferentiation process, with 99.9% dying by a programmed cell death mechanism called apoptosis.

The mechanisms regulating follicle growth and development are under the control of changing concentrations of ligands (i.e. hormones and growth factors). At the endocrine level, folliculogenesis is regulated by a central nervous system, anterior pituitary, and ovary cascade mechanism. Specialized hypothalamic neurons secrete pulses of gonadotropin-releasing hormone (GnRH) into the portal blood vessels, which acts on the gonadotrophs to cause a pulsatile release of follicle-stimulating hormone (FSH) and luteinizing hormone (LH), which act on ovarian follicle cells to control folliculogenesis. Although GnRH, FSH, and LH are critically important in regulating folliculogenesis, hormones and growth factors, which are themselves products of the follicle, can act locally to modulate (amplify or attenuate) FSH and LH action. This is the autocrine/paracrine system of developing follicles. It is believed that this local regulatory system plays an important role in the complex mechanisms governing the timing of folliculogenesis and whether a follicle becomes dominant or atretic.

Chronology

The steps and timing of human folliculogenesis are shown in Fig. 2. In women, folliculogenesis is a long process.1,2,3 In each menstrual cycle, the dominant follicle that ovulates its egg originates from a primordial follicle that was recruited to initiate growth almost 1 year earlier (Fig. 2). In a broad sense, there are two types of follicles (Fig. 2): preantral (primordial, primary, secondary [class 1], tertiary [class 2]) and antral (graafian, small [class 3, 4, 5], medium [class 6], large [class 7], preovulatory [class 8]). The development of preantral and antral follicles is gonadotropin independent and gonadotropin dependent, respectively.

Fig. 2. Chronology of folliculogenesis in human ovaries. Notice the time line at the periphery. Preantral period: It takes 300 days for a recruited primordial to grow and develop to the class 2/3 (0.4 mm) or cavitation (early antrum) stage. Atresia can occur in preantral class 1, 2, and 3 follicles. Antral period: A class 4 (1 to 2 mm) follicle, if selected, requires about 50 days to grow and develop to the preovulatory stage. The dominant follicle of the cycle appears to be selected from a cohort of class five follicles, and it requires about 20 days to develop to the ovulatory stage. Atresia is common during the antral period. gc, number of granulosa cells; d, days.(From Gougeon A: Dynamics of follicular growth in the human: A model from preliminary results. Hum Reprod 1:81, 1986.)

The rate of preantral follicle development is slow, requiring about 300 days for a recruited primordial follicle to complete the whole preantral period (Fig. 2). A long doubling time (about 10 days) for the granulosa cells is responsible for the slow growth rate. After antrum formation in the class 3 follicle (about 0.4 mm in diameter), the rate of growth accelerates (Fig. 2). The time interval between antrum formation and the development of a 20-mm preovulatory follicle is about 50 days (Fig. 2). The dominant follicle appears to be selected from a cohort of class 5 follicles at the end of the luteal phase of the menstrual cycle.1,2,3,4 About 15 to 20 days are required for a dominant follicle to grow and develop to the preovulatory stage (Fig. 2). Atresia can occur in all follicles (preantral and antral) after the class 1 or secondary follicle stage; however, the highest incidence is seen in the antral follicles that are more than 2 mm in diameter (i.e. class 5, 6, and 7) (Fig. 2).

The Process

Folliculogenesis occurs within the cortex of the ovary (Fig. 3). The follicles in the cortex are present in a wide range of sizes representing various stages of folliculogenesis. The goal of folliculogenesis is to produce a single dominant follicle from a pool of growing follicles. There are four major regulatory events involved in this process: recruitment, preantral follicle development, selection, and atresia.

Fig. 3. Photomicrograph of an adult primate ovary. Follicular and luteal units are seen in the cortex and large blood vessels and nerves in the medulla. se, serous or surface epithelium; ta, tunica albuginea; pf, primary follicle; sf, secondary follicle; tf, tertiary follicle; gf, graafian follicle.(From Bloom W, Fawcett DW: A Textbook of Histology. Philadelphia: WB Saunders, 1975.)

THE PRIMORDIAL FOLLICLE.

All primordial follicles are composed of a small primary oocyte (about 25 μm in diameter) arrested in the diplotene (or dictyate) stage of meiosis, a single layer of flattened (squamous) granulosa cells, and a basal lamina (Fig. 4). The mean diameter of the human primordial follicle is 29 μm.5 By virtue of the basal lamina, the granulosa and oocyte exist within a microenvironment in which direct contact with other cells does not occur. The primordial follicles do not have an independent blood supply.6 It follows that primordial follicles have limited access to the endocrine system.

Fig. 4. Electron micrograph of a human primordial follicle shows the flattened granulosa cells (GC), the oocyte with its germinal vesicle (GV) or nucleus, the Balbiani body (BB), with all the oocyte organelles gathered at one pole of the GV, and basal lamina (BL).(From Erickson GF: The ovary: Basic principles and concepts. In Felig P, Baxter JD, Frohman L (eds): Endocrinology and Metabolism. New York: McGraw-Hill, 1995.)

Recruitment.

The first major event in folliculogenesis is recruitment. Recruitment is the process by which an arrested primordial follicle is triggered to reinitiate development and enter the pool of growing follicles. All primordial follicles (oocytes) present in the human ovaries are formed in the fetus between the sixth and the ninth month of gestation. Because the entire stock of oocytes in primordial follicles is in meiotic prophase, none is capable of dividing mitotically. All oocytes (primordial follicles) capable of participating in reproduction during a woman's life are present in the ovaries at birth (Fig. 5). The total number of primordial follicles in the ovaries at any given moment of time is called the ovary reserve (OR).7 The process of recruitment begins soon after the formation of the primordial follicles in the fetus,8 and it continues throughout the life of the female until the pool of primordial follicles is exhausted at the menopause (Fig. 5). There is a bi-exponential decrease in OR during aging7,9,10 (Fig. 6). The number of primordial follicles falls steadily for more than three decades, but when the OR reaches a critical number of about 25,000 at 37.5 ± 1.2 years of age, the rate of loss of primordial follicles accelerates about twofold (Fig. 6). This change in OR is associated in an age-related decrease in fecundity, perhaps causal to the age-related increase in FSH that occurs in women after 36 years of age.7

Fig. 5. Age-dependent changes in the number of primordial follicles (oocytes) in human ovaries. Left panel: The number of eggs decreases from 6 months of gestation to 50 years of age. (From Baker TG: Radiosensitivity of mammalian oocytes with particular reference to the human female. Am J Obstet Gynecol 110:746, 1971.) Right panel: Photomicrographs illustrating the age-dependent decrease in primordial follicles ( arrows) in human ovaries.(From Erickson GF: Analysis of follicle development and ovum maturation. Semin Reprod Endocrinol 4:233, 1986.)

Fig. 6. The age-related decrease in the number of primordial follicles (PF) within both human ovaries from birth to the menopause. As a consequence of recruitment, the PF number decreases progressively from about 1,000,000 at birth to about 24,000 at 37 years. At 37, the rate of recruitment accelerates approximately twofold, and the number of PF declines to about 1000 at 51 years ( i.e. the mean age for the onset of menopause).(From Faddy MJ, Gosden RG, Gougeon A et al: Accelerated disappearance of ovarian follicles in mid-life: Implications for forecasting menopause. Hum Reprod 7:1342, 1992.)

Mechanism.

The first visible sign (Fig. 7) that a primordial follicle is being recruited is that some granulosa cells begin to change from a squamous to a cuboidal shape.5 The first cuboidal cell is seen when the primordial follicle contains 8 granulosa cells, and the process is complete when the granulosa number reaches 19 (Fig. 8). The shape change is followed by the onset, albeit slow, of DNA synthesis and mitosis in the granulosa cells.8 A change in shape and acquisition of mitotic potential in the granulosa cells are the hallmarks of recruitment. Such observations suggest that the mechanisms governing recruitment may involve a regulatory response at the level of the granulosa cell. Recruitment is pituitary independent, and it probably is controlled by autocrine/paracrine mechanisms. Whether it is effected by a stimulator or the loss of an inhibitor is uncertain; however, primordial follicles undergo rapid recruitment when removed from the ovary and cultured in vitro.11 These observations support the inhibitor idea.

Fig. 7. Photomicrograph of nongrowing primordial and a newly recruited (growing) follicle in the human ovary. Notice the cuboidal granulosa cells ( arrowheads) in the newly recruited primordial follicle.

Fig. 8. Relation between granulosa number in the largest cross section of the follicle and the distribution of flattened and cuboidal cells.(From Gougeon A, Chainy GBN: Morphometric studies of small follicles in ovaries of women at different ages. J Reprod Fertil 81:433, 1987.)

Several different hypotheses have been put forth to explain the mechanism of recruitment. First, the process appears to occur in primordial follicles nearest the medulla where blood vessels are prominent. This supports the hypothesis that exposure to nutrients or blood-borne regulatory molecules could play a role in the control of recruitment. Second, an internal oocyte clock mechanism has been proposed to control recruitment.12 In this hypothesis, the clock is related to the time that the oocyte initiates meiosis in the embryo. It is noteworthy that recruitment can be modulated.8 In rodents, the rate of recruitment can be attenuated by removing the neonatal thymus gland, starvation, or treatment with exogenous opioid peptides. These are important observations, because they argue that ligand-receptor signaling pathways are likely to regulate recruitment. Understanding the regulatory mechanisms underlying recruitment remains a major task in reproductive biology.

THE PREANTRAL FOLLICLE.

The early stages of folliculogenesis can be divided into three classes based on the number of layers of granulosa cells, the development of theca tissue, and the expression of a small cavity or antrum. The classes are the primary, secondary, and early tertiary follicles (Fig. 9). As the morphologic complexity increases, important cellular and physiologic changes occur in the follicle that render it competent to respond to gonadotropins. The following sections examine the structure and function changes that accompany preantral follicle growth and development.

Fig. 9. Diagram illustrating the size and histologic organization of early developing human follicles during the gonadotropin-independent period of folliculogenesis.(Erickson GF: The ovary: Basic principles and concepts. In Felig P, Baxter JD, Frohman L (eds): Endocrinology and Metabolism. New York: McGraw-Hill, 1995.)

Primary Follicle.

A primary follicle consists of one or more cuboidal granulosa cells that are arranged in a single layer surrounding the oocyte (Fig. 10). Simultaneous with the shape change and mitotic activities that accompany recruitment (Figs. 7 and 10), the cuboidal granulosa cells begin to express FSH receptors.13,14 The mechanism underlying this critical event in folliculogenesis remains uncertain, but there is evidence in rodents15 that granulosa-derived activin may play an important role in the expression of FSH receptor by autocrine/paracrine mechanisms (Fig. 11). Although the granulosa cells express FSH receptors at this very early stage in folliculogenesis, it is believed that the physiologic levels of plasma FSH during the normal menstrual cycle do not influence granulosa responses because primary follicles lack an independent vascular system. Nevertheless, because there are blood vessels in the vicinity (Fig. 10), FSH-induced changes in primary follicle function may occur in response to abnormally high levels of plasma FSH, such as those that occur during ovulation induction or aging.

Fig. 10. Drawing of a developing primary follicle embedded in the connective tissue or stroma of the ovary cortex. A nucleolus and meiotic chromosomes are evident in the oocyte nucleus. The mitochondria appear aggregated at one pole of the oocyte nucleus ( i.e. Balbinni body). A total of 19 cuboidal granulosa cells are seen, one of which is giving rise to a second layer of cells.(From Bloom W, Fawcett DW: A Textbook of Histology. Philadelphia: WB Saunders, 1975.)

Fig. 11. Diagram of the proposed mechanism for the autocrine control of follicle-stimulating hormone receptor expression in granulosa cells of preantral follicles.(From Erickson GF: Dissociation of endocrine and gametogenic ovarian function. In Lobo R (ed): Perimenopause. New York: Springer-Verlag, 1997.)

Beginning approximately at the time of recruitment, the oocyte begins to grow and differentiate. This period is marked by a progressive increase in the level of oocyte RNA synthesis.16 A number of important oocyte genes are turned on at this time. For example, the genes encoding the zona pellucida (ZP) proteins (i.e. ZP-1, ZP-2, and ZP-3) are transcribed and translated.17 The secreted ZP proteins begin to polymerize near the oocyte surface, forming an extracellular matrix coat (the zona pellucida) that eventually encapsulates the egg. The importance of the zona pellucida is emphasized by the fact that the carbohydrate moiety of ZP-3 is the species-specific sperm-binding molecule.18 It is responsible for initiating the acrosome reaction in capacitated sperm.19

During primary follicle development, the granulosa cells send processes through the zona layer, where they form gap junctions with the oocyte cell membrane, or oolemma (Fig. 12). Gap junctions are intercellular channels composed of proteins called connexins.20,21 There are at least 13 members of the connexin family that directly couple adjacent cells to allow the diffusion of ions, metabolites, and other low-molecular-weight signaling molecules such as cAMP and calcium.20,21 Connexin 37 (C×37) is an oocyte-derived connexin that forms gap junctions between the oocyte and surrounding granulosa cells.22 Evidence from C×37-deficient mice assigns C×37 an obligatory role for folliculogenesis, ovulation, and fertility.22 Large gap junctions are also present between the granulosa cells themselves (Fig. 12). C×43 is a major gap junction protein expressed in the granulosa cells.23 As a consequence of gap junctions, the primary follicle becomes a metabolically and electrically coupled unit. This communication between the granulosa and oocyte remains throughout folliculogenesis and is responsible for the synchronous expression of important activities (positive and negative).

Fig. 12. Electron micrograph of the oocyte-corona radiata granulosa cells in a preantral follicle. The granulosa cell processes traversing the zona pellucida (ZP) make small gap junctions ( arrowheads) with the oocyte plasma membrane. Larger gap junctions (arrows) are evident between corona radiata cells.(Gilula NB, Epstein ML, Beers WH: Cell-to-cell communication and ovulation: A study of the cumulus-oocyte complex. J Cell Biol 78:58, 1978, reproduced with permission from the Rockefeller University Press.)

Secondary Follicle.

A secondary follicle is a preantral follicle with 2 to 10 layers of cuboidal or low columnar cells that form a stratified epithelium (Fig. 13). As seen in Figure 10, the transition from a primary to a secondary follicle involves the acquisition of a second layer of granulosa cells. This transition is accomplished by the continuing division of the granulosa cells. The mechanisms regulating granulosa mitosis are poorly understood. However, exciting research in rodents has provided compelling evidence for the involvement of an oocytederived growth factor, called growth differentiation factor-9 (GDF-9). GDF-9 is a novel member of the transforming growth factor-β (TGF-β) superfamily.24 GDF-9 is strongly expressed in the ovary; it is localized only in oocytes of recruited follicles.25 In GDF-9 deficient mice, follicle growth and development stop at the primary stage; consequently no dominant follicles form, and the females are infertile.26 Accordingly, GDF-9 is obligatory for folliculogenesis after the primary stage, presumably because it is an obligatory mitogen for granulosa cells. A fundamental concept that emerges from this work is that the oocyte plays a pivotal role in regulating folliculogenesis through its ability to produce novel regulatory ligands (e.g. GDF-9), which are crucial for folliculogenesis.

Fig. 13. A typical healthy secondary follicle contains a fully grown oocyte surrounded by the zona pellucida, five to eight layers of granulosa cells, a basal lamina, and developing theca tissue with numerous blood vessels.(From Bloom W, Fawcett DW: A Textbook of Histology. Philadelphia: WB Saunders, 1975, with permission from Arnold Ltd.)

One of the most important changes that occur in the development of a secondary follicle is the acquisition of a theca layer. This tissue, which consists of a layer of stroma-like cells around the basal lamina, subsequently differentiates into the inner theca interna and outer theca externa (Fig. 13). Theca development is accompanied by the neoformation of numerous small vessels, presumably through angiogenesis (Fig. 13). This is a critical event because blood circulates around the follicle, bringing nutrients and hormones (e.g. FSH, LH) to and waste and secretory products from the secondary follicle. In this regard, some stromal cells in the inner layer express LH receptors.27 These cells subsequently differentiate into steroidogenic cells called theca interstitial cells (TICs), most likely in response to the plasma LH delivered by the theca vascular system.27 All the granulosa cells in secondary follicles express FSH receptors.13 It seems likely that diffusion of plasma FSH into the secondary follicle may evoke FSH-dependent granulosa responses. The outer layer of stroma cells subsequently differentiates into smooth muscle cells called the theca externa. These smooth muscle cells are innervated by the autonomic nervous system.27

In the secondary follicle, the oocyte completes its growth. When the follicle is about 200 μm in diameter, the oocyte has attained its maximum size and grows no more, despite the fact that the human follicle enlarges to a diameter of 2 cm or more (Fig. 14). It is well documented in rodents that granulosa cells play an obligatory role in the growth and differentiation of the oocyte.28,29 An important differentiation event that occurs when the oocyte completes its growth is acquisition of the capacity to resume meiosis.30 Oocytes normally do not resume meiosis during folliculogenesis, and a mechanism must operate to inhibit this process (i.e. germinal vesicle breakdown [GVBD]) and the resumption of meiosis. The underlying mechanism for the inhibition remains unknown; however, there is evidence to support the concept that granulosa derived cAMP may play an important role in inhibiting the resumption of meiosis.30 In such a mechanism, FSH-induces cAMP in the granulosa cells, which diffuses into the oocyte through the C×37 gap junction, where it proceeds to inhibit GVBD (Fig. 15).

Fig. 14. Diagram showing the relation between the size of the oocyte and the size of the follicles in the human infant ovary.(From Mandl AM, Zuckerman S: The growth of the oocyte and follicle in the adult rat. J Endocrinol 8:126, 1952, reproduced by permission from the Society for Endocrinology.)

Fig. 15. A diagram of the hypothetical mechanism for the cyclic AMP (cAMP) inhibition of germinal vesicle breakdown (GVBD) or resumption of meoisis. Follicle-stimulating hormone (FSH) receptor signal transduction in the granulosa cells leads to increased cAMP production. The cAMP can diffuse through the granulosa-oocyte connexin-37 (C×37) gap junctions, where it accumulates at high levels in the ooplasm to inhibit the breakdown (BD) of the germinal vesicle (GV) ( i.e. inhibits the resumption of meiosis or GVBD).

Tertiary Follicle.

When a preantral follicle completes the secondary stage in development, it contains five distinct structural units: a fully grown oocyte surrounded by a zona pellucida, six to nine layers of granulosa cells, a basal lamina, a theca interna, and a theca externa (Fig. 13). The first indication of the onset of tertiary follicle development is the appearance of a cavity in the granulosa cells.31 In response to an intrinsic stimulus, a cavity begins to form at one pole of the oocyte. This process, called cavitation or beginning antrum formation, is characterized by the accumulation of fluid between the granulosa cells that in time results in the formation of an internal cavity (Fig. 16). At completion of cavitation, the basic plan of the graafian follicle is established, and all the various cell types are in their proper position awaiting the stimuli that will shift them along paths of differentiation and proliferation (Fig. 16). Based on evidence from polyoocyte follicles, the specification mechanism of cavitation probably is tightly regulated (Fig. 17).

Fig. 16. Photomicrograph of an early tertiary follicle (0.4 mm in diameter) at the cavitation of early antrum stage. ZP, zona pellucida; GC, granulosa cells; BL, basal lamina; TI, theca interna; TE, theca externa; arrowheads, granulosa mitosis.(From Bloom W, Fawcett DW: A Textbook of Histology. Philadelphia: WB Saunders, 1975, with permission from Arnold Ltd.)

Fig. 17. Photomicrograph of a polyovular follicle at the early tertiary stage shows the sites of cavitation or early antrum formation ( clear spaces) just above oocytes ( asterisk ). This event, which is under intraovarian control, seems to arise in a specific synchronized manner and establishes the polarity of the follicle.(From Zamboni L: Comparative studies on the ultra-structure of mammalian oocytes. In Biggers JD and Schultz AW (eds): Oogenesis. Baltimore: University Park Press, 19972.)

What controls cavitation or early antrum formation? It is well known that cavitation occurs in hypophysectomized animals, demonstrating that pituitary hormones such as FSH are not required for this morphogenetic event.32 Consistent with this concept is the observation that cavitation occurs in FSH-β-deficient mice.33,34 It seems reasonable to conclude that cavitation is controlled by autocrine/paracrine mechanisms. Two growth factors expressed in the follicle itself have been implicated in cavitation: activin and KIT ligand. Treating cultured granulosa cells with activin causes morphogenetic changes that result in the formation of a histologic unit with an antrum-like cavity.35 Blocking the action of the KIT ligand in the ovary prevents the formation of antral follicles; consequently, there are no ovulations, and the female is infertile.36 In this regard, evidence supports the concept that the oocyte gap junctions are also important for cavitation. Gap junctions are intercellular channels composed of proteins called connexins.20,21 There are at least 13 members of the connexin family that directly couple adjacent cells, allowing diffusion of ions, metabolites, and other low-molecular-weight signaling molecules such as cAMP.20,21 C×37 appears to be an oocyte-derived connexin that forms gap junctions between the oocyte and surrounding granulosa cells. Evidence from C×37-deficient mice assigns to C×37 an obligatory role in graafian follicle formation, ovulation, and fertility.22 Collectively, all this evidence suggests that follicle-derived activin, KIT, and C×37 are involved in the autocrine/paracrine mechanisms that control cavitation.

THE GRAAFIAN FOLLICLE.

A graafian follicle can be defined structurally as a heterogeneous family of relatively large follicles (0.4 to 23 mm) characterized by a cavity or antrum containing a fluid called follicular fluid or liquor folliculi. The characteristic structural unit of all graafian follicle is the antrum. For this reason, the term antral follicle is used correctly as a synonym for graafian follicle. The follicular fluid is the medium in which the granulosa cells and oocyte are found and through which regulatory molecules must pass on their way to and from this microenvironment.37 Surprisingly, we know almost nothing about the physiologic significance of the antrum and follicular fluid in folliculogenesis. It is clear that follicle development and ovulation occur in birds and amphibians despite the absence of an antrum and follicular fluid. Nonetheless, its presence in all mammalian species testifies to its physiologic importance.

Structure.

A graafian follicle is a three-dimensional structure with a central antrum surrounded by a variety of different cell types (Fig. 18). There are six distinct histologic components in the graafian follicle, including the theca externa, theca interna, basal lamina, granulosa cells, oocyte, and follicular fluid (Fig. 18). A graafian follicle does not change its morphologic complexity as growth proceeds. All graafian follicles have this same basic architecture; even though there are dramatic changes in graafian follicle size, their appearance remains more or less the same.

Fig. 18. Diagram of the architecture of a typical class 5 graafian follicle.(From Erickson GF: The ovary: Basic principles and concepts. In Felig P, Baxter JD, Broadus AE, Froman LA, (eds): Endocrinology and Metabolism. 3rd ed. New York: McGraw-Hill, 1987.)

The theca externa (Fig. 19) is characterized by the presence of smooth muscle cells,38,39 which are innervated by autonomic nerves.27 Although the physiologic significance of the theca externa remains unclear, there is evidence that it contracts during ovulation and atresia.40,41 Changes in the contractile activity of the theca externa may be involved in atresia and ovulation; however, this has not been rigorously proved. The corpus luteum retains a theca externa throughout its life,42 but the significance during luteinization and luteolysis is not known.

Fig. 19. Drawing of the wall of a graafian follicle.(From Bloom W, Fawcett DW: A Textbook of Histology. Philadelphia: WB Saunders, 1975.)

The theca interna is composed of differentiated TICs located within a matrix of loose connective tissue and blood vessels (Fig. 19). In all graafian follicle, LH is a key regulatory hormone for TIC function, and its importance in regulating TIC androgen production in vivo and in vitro has been established.27 Beginning at the very early stages of graafian follicle development, the TICs express their differentiated state as androgen (i.e. androstenedione-producing cells).27 The theca interna is richly vascularized and serves to deliver hormones (e.g. FSH, LH), nutrient molecules, vitamins, and cofactors required for the growth and differentiation of the oocyte and granulosa cells.

We know little about the regulatory elements that control the theca vasculature. A functional link between the vasculature and graafian follicle development is suggested by the evidence43 that all monkey graafian follicles express high levels of FSH and LH receptor regardless of size, but when 125I-human chorionic gonadotropin (hCG) is injected systemically, only the dominant graafian follicle appears capable of accumulating 125I-hCG in the theca interna. These results suggest that the dominant graafian follicle expresses increased vascularization, which plays an important role in its selected maturation. In this regard, follicle-derived vascular endothelial growth factor44,45 and other angiogenic factors such as endothelin46 are being intensively investigated.

The theca compartments (i.e. theca externa and interna) express their differentiated functions at the beginning of graafian follicle development (at cavitation) and appear to constitutively express a mature phenotype throughout the life and death of the graafian follicle. In a broad sense, there is little or no evidence that major changes occur in the theca layers during the various stages of graafian follicle development beyond those related to vascular and proliferative activities. This could imply that it is the granulosa cells (and perhaps the oocyte) that are variable and therefore responsible for graafian follicle diversity.

In the graafian follicle, the granulosa cells and oocyte exist as a mass of precisely shaped and precisely positioned cells (Fig. 18). The spatial variation creates at least four different granulosa cell layers or domains: the outermost domain is the membrana granulosa, the inner most domain is the periantral, the intermediate domain is the cumulus oophorus, and the domain juxtaposed to the oocyte is the corona radiata (Fig. 20). A characteristic histologic property of the membrana domain is that it is composed of a pseudostratified epithelium of tall columnar granulosa cells, all of which are anchored to the basal lamina.

Fig. 20. Diagram of the structure and function heterogeneity of the granulosa cells in a healthy graafian follicle. The relative position of a granulosa cell in the cellular mass determines its proliferation and differentiation potential.(From Erickson GF: The graafian follicle: A functional definition. In Adashi EY (ed): Ovulation: Evolving Scientific and Clinical Concepts. New York: Springer-Verlag, 2000.)

The differentiation of a granulosa cell can be traced to its position within the cellular mass (Fig. 20). For example, cells in the membrana domain stop proliferating before those in central domain.47,48 The ability of the granulosa cells in the inner domains to continue dividing throughout graafian follicle development suggests they may be precursor cells. The cessation of mitosis in the membrana domain is characterized by the progressive expression of overt differentiation in which they assume the functional phenotype of fully differentiated cells. This process requires the temporal and coordinate expression of genes that form the basis of granulosa cytodifferentiation. The mechanisms by which this occurs involves ligand-dependent signaling pathways that are coupled to the activation and inhibition of specific genes. For example, normal differentiation of the membrana granulosa cells requires the activation of specific genes, including those for cytochrome P450 aromatase (P450arom)49 and the LH receptor,50 and the inhibition of structural genes in the apoptotic pathway. In contrast, the granulosa cells in the periantral, cumulus, and corona radiata domains proliferate, but they fail to express the genes that are involved in a terminal differentiation (Fig. 20).

What controls granulosa heterogeneity? All the granulosa cells in the healthy graafian follicle express FSH receptor,13,51,52 and it has been shown that murine granulosa cells in the membrana and cumulus domains produce cAMP in response to FSH stimulation.53 These observations argue that post cAMP regulatory events are involved in the aspects of granulosa heterogeneity. The idea that the oocyte plays a key role in causing the different patterns of granulosa cytodifferentiation during graafian follicle development is supported by studies in rodents.54 A dialogue takes place between the oocyte and granulosa cells that has a great impact on folliculogenesis. In developing murine graafian follicles, the differential pattern of proliferation and differentiation between the granulosa in the membrana and cumulus domains are under the control of secreted oocyte morphogens.54 A novel TGF-β family member, GDF-9, was discovered in the mouse.24,25 Definitive evidence that GDF-9 is obligatory for folliculogenesis came from studies of GDF-9-deficient mice.26 In these animals, the absence of GDF-9 resulted in the arrest of follicle growth and development at primary stage and the females are infertile. These data support the idea that GDF-9 secreted by the egg is obligatory for graafian follicle development, granulosa cytodifferentiation and proliferation, and female fertility. The clinical relevance of this new concept is demonstrated by the presence of GDF-9 mRNA in the human ovary.25 The current challenges are to elucidate the mechanisms controlling GDF-9 expression and to identify the target cells for GDF-9 and the biologic processes that GDF-9 regulates. The concept that oocyte-derived growth factors control folliculogenesis and fertility could have important implications for human physiology and pathophysiology.

Classification.

All graafian follicles can be divided broadly into two groups: healthy and atretic (Fig. 21). The main difference between these two groups is whether apoptosis is occurring in the granulosa cells. The development of a graafian follicle (healthy or atretic) follows a progressive course over time. This implies that variability or heterogeneity is a normal consequence of folliculogenesis. A healthy graafian follicle becomes progressively more differentiated with increasing time until it attains the preovulatory stage (Fig. 22). The time for this process (Fig. 2) is about 2 months in women.3 As this occurs, there is a temporal and spatial pattern of expression of large numbers of genes. In healthy follicles, these genes direct cytodifferentiation, proliferation, and follicular fluid formation. In atretic follicles, the time-dependent changes in gene expression cause the cessation of mitosis and the expression of apoptosis (i.e. follicle atresia). During atresia, the oocyte and granulosa cells become committed to express genes that lead to apoptosis.55 In healthy and atretic graafian follicles, the control mechanisms involve ligand-dependent signaling pathways that inhibit or stimulate the expression of differentiation and apoptosis (Fig. 22). Understanding the molecular mechanisms and cellular consequences of the ligand-receptor signaling pathways that control graafian follicle fate is a major goal of reproductive research.

Fig. 21. The two major classes of graafian follicles: healthy and atretic. Each undergoes a regulated course of progressive change that results in ovulation or apoptosis.(From Erickson GF: The graafian follicle: A functional definition. In Adashi EY (ed): Ovulation: Evolving Scientific and Clinical Concepts. New York: Springer-Verlag, 2000.)

Fig. 22. Diagram of the life cycle of graafian follicles in human ovaries.(From Erickson GF: The graafian follicle: A functional definition. In Adashi EY (ed): Ovulation: Evolving Scientific and Clinical Concepts. New York: Springer-Verlag, 2000.)

The process of graafian follicle growth and development can be arbitrarily divided into several stages based on follicle size (Figs. 2 and 22). It is convenient and important for clinicians and researchers to identify the physiologic function of various types or classes of follicles over the cycle. The healthy human graafian follicle has a destiny to complete the transition from the small (1 to 6 mm), medium (7 to 11 mm), and large (12 to 17 mm) to the fully differentiated preovulatory state (18 to 23 mm). The atretic graafian follicle has a destiny to complete the transition from the small to the medium stage (1 to 10 mm) but appears incapable of growing to the large size under normal physiologic conditions.56 Because the process of graafian follicle development is asynchronous, it produces a large, heterogeneous population of graafian follicles in the ovaries at any moment in time (Fig. 3). Each of these morphologically distinct graafian follicles is a dynamic structure undergoing a flow or progression of developmental change on its way to becoming more differentiated or more atretic (Fig. 22). It should be kept in mind that this results in the presence of an extremely heterogeneous pool of graafian follicles. It is the heterogeneity that makes it difficult to come to grips with a simple functional definition for the graafian follicle.

The size of a graafian follicle is determined largely by the size of the antrum, which is determined by the volume of follicular fluid, which is determined by the bioavailability of FSH in the fluid.57 FSH is obligatory for graafian follicle development, and no other ligand by itself has the ability to induce follicular fluid formation. In the absence of FSH, follicular fluid is not produced, and no graafian follicles develop. The proliferation of the follicle cells also contributes to graafian follicle growth; in healthy follicles, the granulosa and theca cells proliferate extensively (as much as 100-fold), concomitant with the antrum becoming filled with follicular fluid (Fig. 23). These events (i.e. increased follicular fluid accumulation and cell proliferation) are responsible for the tremendous growth of healthy graafian follicles.3,58 In contrast, it is the cessation of mitosis and follicular fluid formation that determines the size of the atretic graafian follicle.

Fig. 23. Changes in the number of granulosa cells and volume of follicular fluid in human graafian follicles throughout the course of folliculogenesis. The dominant follicle at ovulation is about 25 mm in diameter and contains about 50 million granulosa cells and 7 ml of follicular fluid.(From McNatty KP: Hormonal correlates of follicular development in the human ovary. Aust J Biol Sci 34:249, 1981.)

Selection of the Dominant Follicle.

In each menstrual cycle, the ovaries normally produce a single dominant follicle that participates in a single ovulation. Morphometric analysis of normal human ovaries (Figs. 2 and 3) indicates that the dominant follicle that will ovulate in the subsequent cycle is selected from a cohort of healthy, class 5 follicles measuring 4.7 ± 0.7 mm in diameter at the end of the luteal phase of the menstrual cycle.1,2,3,59 At the time of selection, each cohort follicle contains a fully grown oocyte, about 1 million granulosa cells, a theca interna containing several layers of TICs, and theca externa composed of smooth muscle cells (Figs. 3 and 23).

A characteristic feature of a dominant follicle is a high rate of mitosis in the granulosa cells. The evidence suggests that shortly after the mid-luteal phase, the rate of granulosa mitosis increases sharply (about twofold) in the granulosa cells within all cohort follicles.2,56,60 This suggests that luteolysis may be accompanied by a burst of mitosis in the granulosa of the cohort of class 5 follicles. The first indication that one follicle has been selected appears to be that the granulosa cells in the chosen follicle continue dividing at a relatively fast rate while proliferation slows in the granulosa of the other cohort follicles. Because this difference becomes apparent at the end of the luteal phase, it has been argued that selection occurs at the late luteal phase of the menstrual cycle. As a consequence of increased mitosis, the dominant follicle continues to grow rapidly3,4 during the follicular phase, reaching 6.9 ± 0.5 mm at days 1 to 5, 13.7 ± 1.2 mm at days 6 to 10, and 18.8 ± 0.5 mm at days 11 to 14. Conversely, growth proceeds more slowly in the cohort follicles, and with time, atresia becomes increasingly more evident in the nondominant cohort follicles, presumably because of the expression of specific genes in the apoptotic pathway.56 Rarely does an atretic follicle reach more than 10 mm in diameter, regardless of the stage in the cycle.4,56,60

The Process.

There is compelling evidence from laboratory animal61 and primate experiments,62 that a secondary rise in plasma FSH must be attained for a follicle to achieve dominance. As shown in Figure 24, the secondary FSH rise in women begins a few days before the progesterone levels fall to basal levels at the end of luteal phase, and the FSH levels remain elevated during the first week of the follicular phase of the cycle.63 Experiments using monkeys have demonstrated that the dominant follicle undergoes atresia if the secondary rise in FSH is prevented by treatment with exogenous estradiol.64 An important concept in reproductive biology is that an increase in bioactive FSH is obligatory for follicle selection and fertility.33,65 It appears that decreased estradiol production by the corpus luteum is the principal cause for the secondary rise in FSH66 rather than the fall in corpus luteum-derived inhibin A (Fig. 24).

Fig. 24. The luteal-follicular transition in women. Data are mean (±SEM) for daily inhibin A, inhibin B, FSH, estradiol, and progesterone levels in the luteal-follicular transition of normal cycling women ( n = 5). Data are centered to the day of menses in cycle 2.(From Welt CK, Martin KA, Taylor AE et al: Frequency modulation of follicle-stimulating hormone (FSH) during the luteal-follicular transition: Evidence for FSH control of inhibin B in normal women. J Clin Endocrinol Metab 82:2645, 1997, with permission from The Endocrine Society.)

How does the secondary rise in FSH control selection? The results from studies of human follicular fluid support the conclusion that the rise in plasma FSH leads to a progressive accumulation of relatively high concentrations of FSH in the microenvironment of one follicle in the cohort; this follicle is destined to become dominant (Fig. 25). In developing healthy (dominant) follicles (class 5 to 8 follicles), the mean concentration of follicular fluid FSH increases from about 1.3 mIU/ml (about 58 ng/ml) to about 3.2 mIU/ml (about 143 ng/ml) through the follicular phase.4,67 In contrast,4,67 the levels of FSH are low or undetectable in the microenvironment of the nondominant cohort follicles (Fig. 25).

Fig. 25. Illustration of the concept that the dominant follicle contains relatively high levels of follicle-stimulating hormone (FSH) in the follicular fluid, whereas FSH levels are low or undetectable in cohort follicles destined for atresia. A. In dominant follicles, FSH in follicular fluid induces P450arom activity that metabolizes androgen substrate to estradiol (E2 ). In such follicles, E2 and androstenedione (A4) accumulate in very high concentrations in the follicular fluid. B. In nondominant follicles, the low levels of FSH lead to a paucity of granulosa cells (GC) and low concentrations of estradiol, despite the high levels of A4.(From Erickson GF, Yen SSC: New data on follicle cells in polycystic ovaries: A proposed mechanism for the genesis of cystic follicles. Semin Reprod Endocrinol 2:231, 1984.)

The entry of FSH into follicular fluid at cavitation is believed to provide the induction stimulus that initiates the process of graafian follicle growth and development. At the cellular level, it is the FSH receptor on the granulosa cell that is the fundamental player in this process. When an appropriate high FSH threshold is reached in one graafian follicle, it is selected to become dominant.31 In contrast, the small graafian follicles in the cohort with subthreshold levels of FSH become nondominant (Figs. 22 and 25). The mechanism whereby one small graafian follicle in a cohort is able to concentrate high levels of FSH in its microenvironment remains one of the mysteries in ovary physiology. An important point is that estradiol produced by the dominant follicle inhibits the secondary rise in FSH by a negative feedback mechanism (Figs. 24 and 26). This is believed to ensure a subthreshold level of FSH in the nondominant cohort follicles, which then leads to atresia. Mitosis in granulosa cells of atretic cohort follicles can be stimulated by treatment with human menopausal gonadotropin (hMG) during the early follicular phase.59 If FSH levels are increased to threshold levels within the microenvironment, then nondominant follicles may be rescued from atresia. This phenomenon could have implications for the way in which exogenous FSH or hMG triggers the formation of multiple dominant follicles in women undergoing ovulation induction.

Fig. 26. Diagram illustrating the important consequences of the increased levels of follicle-stimulating hormone(FSH) in the early follicular phase of the human menstrual cycle on the growth and development of the dominant follicle. Estradiol produced by the dominant follicle is physiologically coupled to the mechanisms governing suppressor of FSH at the mid-follicular phase and for the stimulation of luteinizing hormone (LH) secretion at mid-cycle.(From Erickson GF: Analysis of follicle development and ovum maturation. Semin Reprod Endocrinol 4:233, 1986.)

The Mechanism.

In the ovary (Fig. 27), the granulosa cells are the only cells that express FSH receptors.68 It follows that the primary mechanism by which FSH evokes dominant follicle formation is by stimulating FSH-dependent signaling pathways in the granulosa cells. How does this occur?

Fig. 27. In situ hybridization analysis of follicle-stimulating hormone (FSH) receptor mRNA in developing human follicles. A. Bright-field photomicrograph after hybridization with 35 S-labeled hFSH receptor cRNA probe. cGC, cumulus granulosa cells; mGC, membrana granulosa cells; TI, theca interna; TE, theca externa. B. Dark-field photomicrograph of the same subject as in A. The hybridization signal appears as white grains. All the granulosa cells express FSH receptor mRNA.(GF Erickson and S Shimasaki, unpublished data.)

Granulosa Cells: Follicle-Stimulating Hormone Receptor Signaling.

The human FSH receptor is part of a large family of transmembrane receptors that regulate the heterotrimetric G proteins.69,70 The mature FSH receptor contains 678 amino acids (Mr 76,465) that are organized into three domains:

  1. A long 359-residue extracellular NH2-terminal ligand binding domain with six potential N-linked glycosylation sites and a cluster of cysteines at the junction between the extracellular and transmembrane domains
  2. A transmembrane spanning domain composed of seven hydrophobic a helices that anchor the receptor to the plasma membrane
  3. An intracellular COOH-terminal domain with a relatively high proportion of serine and threonine residues; if these amino acids are phosphorylated, they could play a role in desensitization and down regulation of the FSH receptor.69

Truncated isoforms of the FSH receptor corresponding to the extracellular binding domain have been identified.71 The physiologic or pathophysiologic role of the FSH receptor isoforms is unknown.

The FSH signaling cascade is illustrated in Fig. 28: FSH interacts with its receptor with high affinity; the binding event initiates a conformational change in the receptor that activates the G proteins; GDP bound to the αGs subunit is exchanged for GTP, and the newly active αGs-GTP dissociates from the βγ complex; free αGs-GTP interacts with the adenylate cyclase to generate cAMP; cAMP binds to the regulatory (R) subunits of PKA, causing the complex to dissociate into an R2 dimer and two free catalytic (C) subunits; the C subunits can phosphorylate serine and threonine residues of the CREB and CREM proteins.72 After phosphorylation, these proteins can bind to upstream DNA regulatory elements called cAMP response elements (CRE), where they stimulate or inhibit gene transcription.72 These events are critical for the expression of the developmental program that generates a dominant preovulatory follicle. The FSH interactions within a dominant follicle induce three major responses in the granulosa cells: stimulation of division, acquisition of steroidogenic potential, and induction of LH receptors.

Fig. 28. Diagram of the follicle-stimulating hormone (FSH) signal transduction pathway in granulosa cells of a dominant follicle. FSH interacts with a receptor protein that has seven transmembrane-spanning domains. The binding event is transduced into an intracellular signal by the heterotrimeric G proteins. The active αGstimulating (αGs -GTP) protein interacts with its effector protein, adenylate cyclase, to initiate cAMP formation. cAMP binds to and activates protein kinase A, which phosphorylates substrate proteins that stimulate transcription of the genes encoding P450AROM, 17β-hydroxysteroid dehydrogenase, and the luteinizing hormone and that activate mitosis and follicular fluid formation.(Adapted from Erickson GF: Polycystic ovary syndrome: Normal and abnormal steroidogenesis. In Schats R, Schoemaker J (eds): Ovarian Endocrinopathies: Proceedings of the 8th Reinier deGraaf Symposium. Park Ridge, NJ: Parthenon Publishing, 1994.)

The granulosa cells in the dominant follicle have the ability to divide at a relatively rapid rate throughout the follicular phase of the cycle,2,5 increasing from about 1 × 106 cells in the class 5 follicle at selection to more than 50 × 106 cells when it reaches the preovulatory stage (Fig. 23). FSH has been shown to be an effective stimulator of primate granulosa proliferation in vivo2,73 and in vitro.73,74 Precisely how the FSH signaling mechanism controls the rate of mitosis is not understood. A variety of growth factors, including insulin-like growth factor-I (IGF-I),75 fibroblast growth factor,76 and epidermal growth factor,76 are also effective stimulators of mitosis in human granulosa cells grown in vitro. It is possible that these growth factors may serve as important stimulators of granulosa proliferation in the dominant follicle by autocrine/paracrine mechanisms. This proposition is supported by direct evidence that follicular fluid contains these growth factors and that human granulosa cells express receptors for and respond to these ligands. Granulosa cell division continues at a high rate until the end of the follicular phase, when the preovulatory LH surge shuts off granulosa mitosis in the dominant follicle.77

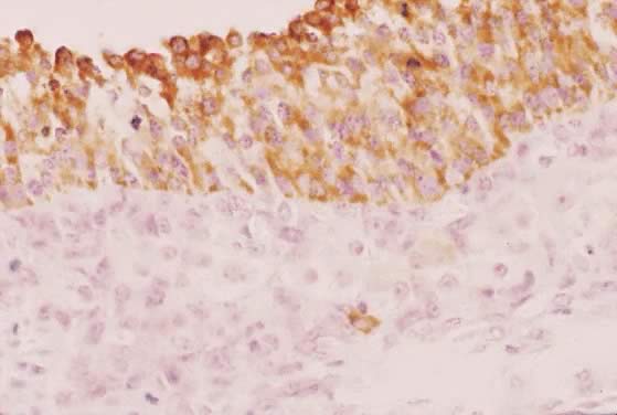
FSH plays an important role in the control mechanisms governing estradiol biosynthesis and in determining the potential for luteinization and progesterone synthesis by the granulosa cells during the development of the dominant follicle.32,78 The underlying mechanism involves the expression (or the potential to express) specific genes that encode the enzymes in the estradiol and progesterone biosynthetic pathways (Fig. 28). In the estrogen pathway, FSH induces the expression of the P450arom (the CYP19 gene).79 The type I 17β-hydroxysteroid dehydrogenase (17β-HSD) appears to be constitutively expressed in the granulosa cells in follicles from the primary to the preovulatory stage.80,81,82 The control mechanisms that regulate 17β-HSD in human ovaries are poorly understood. The first time P450arom is detectable in the granulosa cells appears to occur when a follicle reaches about 1 mm in diameter, or the class 2 stage.83 It is observed in only one follicle, the putative dominant follicle.84 The levels of P450arom activity increase progressively,83,84,85 reaching very high amounts in the granulosa cells of the preovulatory follicle in the late follicular phase (Fig. 29). By virtue of the expression of P450arom and 17β-HSD, the granulosa cells have the capacity to metabolize theca-derived androstenedione to estradiol. A progressive increase in P450arom gene expression in the dominant follicle is reflected physiologically in the progressive increase in estradiol in the peripheral plasma during days 7 to 12 of the menstrual cycle (Fig. 26).

Fig. 29. Immunohistochemistry of P450AROM in a putative dominant small graafian follicle in a normal human ovary at the late luteal phase of the menstrual cycle. Notice the intense immunostaining in the dividing and nondividing granulosa cells. An occasional theca cell exhibits anti-P450AROM immunoreactivity.(GF Erickson and RJ Chang, unpublished data.)

Granulosa cytodifferentiation is also accompanied by the acquisition of the potential to express the enzymes in the progesterone pathway, including steroid acute regulatory protein (StAR),86 the P450 side chain cleavage enzyme (P450SCC),87 and 3βhydroxysteroid dehydrogenase (3β-HSD) genes.88 Developmentally, these enzymes do not become detectable in granulosa cells of the dominant follicle until very late in the follicular phase of the menstrual cycle.78,85 This evidence suggests a putative luteinization inhibitor exists in the follicular fluid of developing graafian follicles. Although the nature of the luteinization inhibitor is unknown, work in rodents suggests it may involve an intrinsic bone morphogenetic protein system.89 It appears that FSH controls the potential of the granulosa cells to express StAR, P450SCC, and 3β-HSD, while the ovulatory LH surge may induce the expression of these enzymes by virtue of its ability to suppress the activity of the luteinization inhibitor.78 Further work is required to determine precisely how FSH and LH control the expression of the progesterone potential of the granulosa cells during the growth of the dominant follicle in human ovaries.

Granulosa cells in a dominant follicle (Fig. 28) express a relatively high concentration of LH receptors.90 This FSH-dependent event91,92,93 essentially occurs at the end of the follicular phase, when a dominant follicle reaches the class 8 stage (Fig. 2). As with P450SCC and 3β-HSD, the increase in LH receptor in the granulosa layer remains suppressed until the very end of folliculogenesis, when it appears in the membrana granulosa cells. The physiologic significance of the induction of LH receptor in the late follicular phase is that it endows the dominant follicle with the unique ability to respond to the ovulatory surge of LH/hCG by undergoing ovulation. Acquisition of LH receptors implies that, when the LH ligand enters the microenvironment of the dominant follicle in the late follicular phase,67 it can act on the granulosa cells to regulate their function. In this regard, LH has been shown to act on the granulosa cells of developing follicles to stimulate estradiol production.94 LH in the microenvironment may facilitate estradiol production by the dominant follicle in the late follicular phase, possibly replacing FSH as the principal regulator of granulosa P450arom activity.

The importance of estradiol in regulating granulosa cytodifferentiation in rodent ovaries is clear,90 but whether this concept is true for humans remains uncertain. Some studies have shown that human granulosa cells strongly and selectively express estrogen receptor-β (ERβ),95 suggesting that estradiol may play an autocrine/paracrine role in human folliculogenesis. Further work is necessary to identify what specific biologic functions might be regulated by estradiol-ERβ signaling pathways in human granulosa cells.

Theca Interstitial Cytodifferentiation.

The TICs begin to express their differentiated state when the tertiary follicle undergoes cavitation. This cytodifferentiation process is accompanied by the differential expression of a battery of specific genes, including those for LH receptors,13 insulin receptors,96 lipoprotein receptors (high-density [HDL] and low-density lipoprotein [LDL]), StAR,86,97 P450scc, 3β-HSD, and P450c17.84,85,98 By virtue of the expression of these genes, the TICs acquire the capacity for the regulated production of androstenedione.99,100 LH appears to be the most important effector of TIC cytodifferentiation, but insulin and lipoproteins can amplify the action of LH in human TICs.101

Throughout the antral period, the TICs of all graafian follicles (class 1 to 8) express this differentiated state (Figs. 30 and 31). All antral follicles appear capable of responding to hormone stimulation with increased androstenedione production throughout their course of development. This idea is supported by the presence of high levels (about 1 μg/ml) of androstenedione in follicular fluid in all developing antral follicles.67 The production of androstenedione (aromatase substrate) by the TICs targets them as being critically important in the regulation of follicle estrogen production. Accordingly, the LH-dependent processes that occur in the theca layer of developing graafian follicles are central to the process of folliculogenesis and fertility in women. Theca-derived androgens have been implicated in the mechanisms of atresia in rodents99,102; however, there is little definitive evidence to support this concept in women.

Fig. 30. In situ hybridization of luteinizing hormone (LH) receptor mRNA in a developing human graafian follicle. A. Bright field. B. Dark-field photomicrograph of the same subject as in A after hybridization with an anti-sense LH receptor cRNA probe.(GF Erickson and S Shimasaki, unpublished data.)

Fig. 31. Immunohistochemistry of P450C17 in a developing human graafian follicle. High levels of immunoreactive P450C17 are present in theca interstitial cells, whereas none is detectable in other cell types, including the oocyte and granulosa cells.(The anti-P450C17 antibody was a gift from Dr. Mike Watterman; GF Erickson and RJ Chang, unpublished data.)

Despite its importance, little is known about the inducers of theca differentiation. Evidence is accumulating, however, that growth factors may be involved.103 Perhaps the most compelling evidence is a report that large graafian follicles with welldeveloped theca interna (hyperplastic and hypertrophied TICs) are present in the ovaries of a patient with an LH receptor inactivating mutation.104 This argues that a yet to be identified regulatory ligand (independent of LH) can promote theca development, proliferation, and cytodifferentiation. With respect to mitosis, there occurs a marked increase in the number of TICs during normal folliculogenesis.2,4 Accordingly, theca mitosis is a critical determinant of the total amount of androgen produced by the ovaries. An unusually high mitotic rate could result in an unusually large number of TICs, which could result in unusually high levels of androgen production in response to hormone stimulation. Such a mechanism has been proposed to account for ovarian hyperandrogenism in PCOS patients.105 In rodents, LH is a potent stimulator of theca proliferation102; however, to what extent this concept operates in women is unclear. Given the importance of theca-derived hyperandrogenism in women, further studies need to be done to identify the nature of the putative regulatory factors of TIC mitosis and differentiation and to establish their physiologic and pathologic significance.

Within the past few years, considerable progress has been made in understanding the mechanisms of LH action. Human LH receptor cDNA has been cloned and sequenced.106 Like the FSH receptor, it is a part of a large family of transmembrane receptors that regulate the heterotrimeric G proteins. The mature LH receptor has a long extracellular NH2-terminal ligand-binding domain, a transmembrane domain containing seven hydrophobic a helices that integrate the LH receptor to the membrane, and an intracellular COOH-terminal domain that interacts with residues of the third intracellular loop (I3) to activate the G proteins. The COOH terminus contains potential phosphorylation sites which show consensus sites for protein kinase C (PKC) phosphorylation.106 The function of LH receptor phosphorylation is not understood, but in other receptors in this family, phosphorylation leads to causes desensitization.107 It is possible that phosphorylation of serine and threonine residues in the I3 and COOH terminus results in desensitization of the LH receptor in the human ovary. If true, a defect in the desensitization mechanism may cause continuous activity of the LH receptors, with the constant secretion of high androgen levels such as that seen in women with hyperandrogenism.

Several truncated forms of the LH receptor have been identified in which the transmembrane domain is absent.106 Hence, the truncated LH receptors may be entirely extracellular, perhaps being secreted from the cells. We do not know whether these shorter variants of LH receptor bind LH, but if they do, they could affect the levels of free LH and thereby modulate cellular responses to LH signals.

As with FSH, the signal transduction mechanisms of LH receptors are coupled to G proteins. As shown in Figure 32, LH interacts with its receptor with high affinity; the binding event initiates a conformational change in the receptor which activates the G proteins; GDP bound to the αGS subunit is exchanged for GTP and the αGs-GTP dissociates from the βγ complex; free αGS-GTP interacts with the adenylate cyclase to generate cAMP; cAMP binds to the regulatory (R) subunits of PKA, causing the complex to dissociate into an R2 dimer and two free catalytic (C) subunits; the C subunits can phosphorylate serine and threonine residues of the CREB and CREM proteins that bind to DNA and modulate gene activity. The second messenger molecules in the LH signaling pathways are involved in the activation of the genes in the biochemical pathway that eventually lead to androstenedione biosynthesis (Fig. 32).

Fig. 32. Diagram showing the regulatory mechanisms of androgen production by theca interstitial cells. The principal endocrine regulators of androstenedione production are luteinizing hormone (LH), insulin, and lipoproteins. The LH receptor cAMP/protein kinase A (PKA) signaling pathway leads to the induction of specific genes ( broken lines) in the androstenedione biosynthetic pathway. Insulin receptor/protein tyrosine kinase (PTK) signaling can cause marked increases in this response. Lipoproteins are potent stimulators of theca androgen production by virtue of their ability to increase intracellular cholesterol, which is transferred to P450C22 by means of the steroid acute regulatory protein (StAR).(Adapted from Erickson GF: Normal regulation of ovarian androgen production. Semin Reprod Endocrinol 11:307, 1993.)

There appear to be at least three mechanisms that can terminate LH signaling. First, termination of the G protein signal occurs when bound GTP is hydrolyzed to GDP. The GTPase activity resides within the αGs molecule itself (i.e. the αGS is an intrinsic GTPase). The inactive αGs-GDP reassociates with the βγ complex and the activity of adenylate cyclase is shut off. Second, cAMP can be degraded by cyclic nucleotide phosphodiesterase. Third, a protein serine/threonine phosphatase (phosphatase type 2A) terminates the activity of the substrate proteins by dephosphorylating the phosphoserine and phosphothreonine residues. If a defect existed in the GTPase, phosphodiesterase, or phosphatase type 2A, ovarian interstitial cells might be expected to produce high levels of androstenedione continuously. In theory, this could also be a possible explanation for hyperandrogenism. However, further work is necessary to investigate this hypothesis.

In addition to LH, other ligands can act to control TIC androgen production, including insulin, lipoprotein, activin, and inhibin. Insulin receptors with protein tyrosine kinase (PTK) activity have been identified in human TICs, and the ability of the insulin receptor signal transduction pathways to stimulate androstenedione production has been demonstrated.101,108,109 The mechanism of insulin-stimulated androgen production is not clear, but it may involve the activation of a family of PTKs that act and interact with the LH action downstream of cAMP (Fig. 32). Insulin by itself can increase androstenedione production, and insulin can synergize with LH to further increase androgen biosynthesis.101,108 The significance of these observations is demonstrated by the evidence that hyperinsulinemia can result in hyperandrogenism in some women.110 Insulin therefore appears to be an important physiologic stimulus for androstenedione production by TICs. LDL and HDL also stimulate steroidogenesis by human TICs, and they can cooperate with LH to effect further increases.101 Whether the in vitro stimulation of TIC androgen production by LDL or HDL has any physiologic meaning is not clear, but it may be worth pointing out that HDL is the most potent stimulator of TIC androgen production known.101

Activin111 and inhibin112 can inhibit and stimulate, respectively, androgen production by human TICs in vitro. We know nothing about the importance of activin and inhibin in regulating TIC androgen production in vivo.

The Two-Cell, Two-Gonadotropin Concept.

To understand the underlying mechanisms of follicle estradiol production, we need to consider steps that occur in the two-cell, two-gonadotropin concept (Fig. 33). In response to the LH, which is delivered to the follicle through the theca vasculature, there occurs an increase in the expression of specific steroidogenic genes in the TICs, which increases the synthesis of androstenedione. The level of androgen secretion reflects the presence within the theca of plus and minus factors, including insulin, lipoproteins, activin, and inhibin. Some of the TIC-derived androstenedione diffuses across the basal lamina and enters the follicular fluid and granulosa cells. In response to the P450arom induced by FSH in the granulosa, the androstenedione is aromatized to estrone, which then is converted to estradiol by 17β-HSD. These synthetic activities of the granulosa cells can also be modulated by a wide variety of regulatory molecules, such as the stimulators insulin113 and IGF-I114 and the inhibitors epidermal growth factor115 and tumor necrosis factor-α.116 The sum total of the ligand controls that operate to determine the activities of P450arom and 17β-HSD in the granulosa cells determines when and how much estradiol is produced by the dominant follicle. The estradiol molecules enter the follicular fluid and then diffuse into the theca vasculature, where they enter the systemic circulation.

Fig. 33. Diagram showing the two gonadotropin-two cell concept of follicle estrogen production.(From Kettel M, Erickson GF: Basic and clinical concepts in ovulation induction. In Rock J, Alverez-Murphy A (eds): Advances in Obstetrics and Gynecology, vol 1. St. Louis: Mosby Year Book, 1994.)

Atresia

Through a process involving a programmed cell-death mechanism called apoptosis, 99.9% of the ovarian follicles die by atresia.55,117 During atresia, the oocyte and granulosa cells undergo a complex set of structural and functional changes that ultimately result in the entire loss of these cells from the follicle (Fig. 34). After some time, the follicular fluid is lost, and the follicle collapses. The theca exhibit little or no apoptosis. After atresia is complete, the TICs retain their position in the stroma and begin to carry out their functional activity as secondary interstitial cells (SICs).27 The SICs retain their capability of secreting androgens in response to LH and insulin stimulation.108 Accordingly, SICs play a role in determining the levels of androgen produced by the ovaries. Perhaps the most dramatic example is the production of abnormally large quantities of androgens in women with so-called “hyperthecosis.”

Fig. 34. Photomicrograph showing apoptosis in the granulosa cells of an early tertiary follicle during atresia. Some granulosa exhibit the cytologic features of programmed cell death, including chromatin condensation, blebbing, and release of apoptotic bodies. Some adjacent cells appear healthy. Notice that theca cells do not undergo apoptosis. asterisk, granulosa cells attached to basal lamina have contracted; TI, theca interna; TE, theca externa.(From Sadrkhanloo R, Hofeditz C, Erickson GF: Evidence for widespread atresia in the hypophysectomized estrogen-treated rat. Endocrinology 120:146, 1987, with permission from The Endocrine Society.)

When do follicles become committed to the atretic pathway? Results of morphometric studies indicate that atresia is a rare event in primordial and growing preantral follicles. However, once a preantral follicle proceeds into the graafian stages, apoptosis can occur. Little is known about the potential for a follicle to undergo apoptosis in any species; however, there is evidence that oocytederived GDF-9 may play a role in determining the apoptotic potential of growing follicles.26 If true, the oocyte may ultimately determine when a follicle acquires the capacity to die by apoptosis.

A large-scale effort to study apoptosis has elucidated some of the molecular mechanisms.118 Anyone interested in exploring this subject in a comprehensive manner should consult the monograph by Wyllie et al.119 and the excellent mechanistic reviews in Science.120,121,122,123,124 At the level of the ovary, the molecular players and events involved in granulosa and oocyte apoptosis are becoming evident.125 An important concept that emerges from all this work is that apoptosis is controlled by a dynamic balance of plus (BCL family) and minus (BAX family) factors124 and that the execution of apoptosis is brought about by the activation and action of a family of proteases called caspases.122 Understanding the molecular basis for the balance between the inhibition and activation of these factors is a popular research area.

One big question concerns the nature of the effector molecules that cause apoptosis (i.e. atresia) in the ovaries. FSH withdrawal may be an important part of the physiologic process. After a follicle has been stimulated by FSH, its survival depends on continued FSH stimulation. If the concentration of FSH in the microenvironment falls below threshold, apoptosis is triggered through an FSH withdrawal mechanism, and the follicle undergoes atresia.55 In this sense, FSH is a survival factor for the graafian follicle.

What is the mechanisms by which FSH withdrawal triggers apoptosis? The process may be mediated by local regulatory molecules (i.e. steroid hormones and growth factors) which act by autocrine/paracrine mechanisms55,117; however, further work is required to prove this idea. Inasmuch as the decision to live or die is one of the most critical events in the life of a follicle, knowledge of the cellular and molecular mechanism could have important implications for human fertility and infertility.

Ovulation

On or about the 15th day of an ideal 28-day cycle, the preovulatory follicle ruptures, and the eggcumulus complex is released from the ovary by a process called ovulation (Fig. 1). The preovulatory surges of LH and FSH play a crucial role in the physiologic mechanism of ovulation (Fig. 35). The major role of the LH surge is to stimulate meiotic maturation and to coordinate the formation of the stigma or site of follicle rupture. The major role of the FSH surge is to stimulate cumulus expansion and to facilitate the production of the protease plasmin.

Fig. 35. Diagram of the cellular mechanisms by which the preovulatory surge of follicle-stimulating hormone (FSH) and luteinizing hormone (LH) causes ovulation.(From Erickson GF: The ovary: Basic principles and concepts: In Felig P, Baxter JD, Broadus AE, Froman LA (eds): Endocrinology and Metabolism. 2nd ed. New York: McGraw-Hill, 1995.)

The oocyte in the preovulatory follicles resumes meiosis in response to the preovulatory surge of LH and FSH. Unfortunately, the mechanisms by which this occurs are poorly understood. Based on what we know about the relation between cAMP and meiosis in vitro (Fig. 15), it appears that the gonadotropin surges in some way cause the level of cAMP in the oocyte to fall, perhaps in part because of desensitization and downregulation of the granulosa LH and FSH receptors and because of activation of specific enzymes that degrade cAMP. The effect of decreased cAMP levels is to trigger resumption of meiosis.30 In the resulting meiotic division, the oocyte reaches the second meiotic metaphase or first polar body stage (Fig. 36). The meiotic process proceeds no further unless the ovulated egg is fertilized. Completion of meiotic maturation is a critical component in the ovulation process because it is obligatory for normal fertilization.

Fig. 36. The process of meiotic maturation from the resumption of meiosis (germinal vesicle breakdown) through metaphase II (first polar body).(From Witschi E: Development of Vertebrates. Philadelphia: WB Saunders, 1956.)

During this process, the cumulus granulosa cells undergo a series of structural and functional changes called mucification. In response to the preovulatory surge of FSH, the cumulus cells secrete large quantities of a newly synthesized glycoprotein mucous substance into the extracellular spaces.28,29,30 This change results in the dispersal of the cumulus cells and causes the egg-cumulus complex to expand tremendously (Fig. 37). The process of mucification is physiologically critical for the pickup and transport of the egg in the fallopian tube.

Fig. 37. Photomicrograph showing the effects of the luteinizing hormone (LH)/follicle-stimulating hormone (FSH) surge on egg-cumulus expansion in situ. The oocyte has resumed meiosis, the corona radiata is radiating from the zona pellucida, and the cumulus (but not the membrana and periantral) granulosa cells have lost their attachments and appear as individual cells dispersed within the proteoglycan matrix.(From Testart J, Thebault A, Frydman R, Papiernik E: Oocyte and cumulus oophorus changes inside the human follicle cultured with gonadotropins: In Hafez ESE, Semm K (eds): In Vitro Fertilization and Embryo Transfer. New York: Alan R Liss, 1982.)

Expulsion of the mature egg-cumulus complex depends on the synthesis and activation of proteases,126,127,128 such as collagenases, that degrade the ovarian tissues in a small, highly localized area called the macula pellucida or stigma (Figs. 1 and 35). Although the mechanisms underlying the expression of this proteolytic activity are still under investigation, some important conclusions have been reached from animal studies. The concept emerging from this work is that LH-stimulated progesterone and prostaglandin production by the follicle wall are required for ovulation.

The most compelling data to support this concept come from gene knockout experiments, showing that female mice lacking the progesterone receptor (PR) gene129 or the cyclooxygenase (COX) gene130,131 fail to ovulate and are infertile. The PR exists as two isoforms, called PRA and PRB, that arise from the same gene.129 Mice carrying a null mutation of the PR gene develop mature preovulatory follicles that undergo cumulus expansion in response to the gonadotropin surge; however, none ovulates because of the absence of stigma formation.129 This evidence provides strong support for a functional role for the preovulatory increases in progesterone and PR in stigma formation.

Similarly, COX plays a key role in prostaglandin synthesis. It occurs in two isoforms, the constitutive COX-1 and the inducible COX-2.130,131 The targeted disruption of COX-2 gene produces anovulation and infertility in female mice.130,131 Anovulation results from the failure of dominant follicles to ovulate because stigma formation is compromised. Collectively, this evidence supports the proposition that the LH-induced progesterone and prostaglandin production are critical determinants of stigma formation, ovulation, and fertility.

Based on all the data, it is possible to propose the following cascade mechanism. The midcycle surge of LH stimulates the expression of PR and the production of progesterone; the progesterone ligand interacts with PR in the follicle cells, which induces COX-2 and prostaglandin production; and the prostaglandins interact with specific receptors in the surface epithelial cells of the presumptive stigma and activate a signaling pathway that leads to the release of lysosomal (proteolytic) enzymes, which degrades the underlying tissue and causes the surface epithelial cells to detach from the basement membrane (Fig. 38). This process results in stigma formation and follicle rupture (Fig. 35).

Fig. 38. Scanning electron micrograph of the protruding surface of an ovulatory follicle(F). Notice the groups of surface epithelial cells in the presumptive stigma (a flower-like bouquet), which are in the process of being sloughed off.(From Motta P, Van Blerkon J: A scanning electron microscopic study of the luteo-follicular complex II events leading to ovulation. Am J Anat 143:241, 1975.)

Another active protease relevant to ovulation is plasmin.132 Plasmin is a serine protease derived from plasminogen by enzymatic activation. Two forms of plasminogen activators have been characterized, urokinase (uPA) and tissue (tPA) types.126 Both uPA and tPA appear to contribute to ovary plasmin biosynthesis and ovulation. The follicular fluid contains relatively high levels of the plasmin precursor, plasminogen. The preovulatory surge of FSH appears to stimulate granulosa cells to secrete plasminogen activator, which converts plasminogen to the active protease plasmin (Fig. 35). Plasmin appears to play a role in the degradation of the granulosa cells and basal lamina in the presumptive stigma.

Back to Top
AUTOCRINOLOGY AND PARACRINOLOGY

There is no doubt that the ability of the ovary to produce a dominant follicle, which ovulates a fertilizable egg, is under the control of the endocrine system, most notably by the hormones FSH and LH. Anything that interferes directly or indirectly with the normal action of the gonadotropins can be expected to produce a condition leading to apoptosis and infertility.

Research in the past decade has established the concept that FSH and LH signal transduction can be modulated by proteins with growth factor activity. All growth factors are ligands that act locally to amplify or attenuate cellular responses. The autocrine concept is that ligands (e.g. hormones, growth factors, neurotrophins, cytokines) produced by a cell act on the cell itself to modulate cellular activities (e.g. growth, differentiation, apoptosis) (Fig. 39). The paracrine concept is that ligands produced by one cell act on adjacent cells to modify or modulate cell functions (Fig. 39).

Fig. 39. The growth factor or autocrine/paracrine concept. Hormones(H) are transported by the circulatory system to distal target cells.(From Erickson GF: Nongonadotropic regulation of ovarian function: Growth hormone and IGFs. In Ovulation induction: Basic science and clinical advances, pp 73–84. Amsterdam, Elsevier Science Publisher, 1994.)

All five major families of growth factors are expressed within developing follicles of rats and humans.133 The principle emerging from an enormous amount of in vivo and in vitro research is that intrinsic growth factors interact with the endocrine system to evoke the physiologic control of all aspects of folliculogenesis, including recruitment, preantral follicle growth, selection, atresia, and ovulation. Two growth factors, oocyte-derived GDF-926 and granulosa-derived IGF-I,134 are obligatory for folliculogenesis and fertility in female mice.

The probability that new ovarian growth factor systems will be discovered in the future is high. Definitive evidence that local growth factors are obligatory for folliculogenesis and fertility in women is lacking, and the physiologic significance of the autocrine/paracrine concept in human ovaries remains to be established. The current challenges are to understand how specific autocrine/paracrine regulatory molecules control folliculogenesis and how these controls are integrated into the overall physiologic and pathophysiologic mechanisms.

Back to Top
ACKNOWLEDGMENTS

I thank Ms. Andi Hartgrove for typing the manuscript.

Back to Top
REFERENCES

1. Gougeon A: Dynamics of human follicular growth. In Adashi EY, Leung PCK (eds): The Ovary, p 21. New York: Raven Press, 1993

2. Gougeon A: Dynamics of follicular growth in the human: A model from preliminary results. Hum Reprod 1: 81, 1986

3. Gougeon A: Regulation of ovarian follicular development in primates: facts and hypotheses. Endocr Rev 17: 121, 1996

4. McNatty KP, Moore-Smith D, Osathanondh R, Ryan KJ: The human antral follicle: Functional correlates of growth and atresia. Ann Biol Anim Biochim Biophys 19: 1547, 1979

5. Gougeon A, Chainy GBN: Morphometric studies of small follicles in ovaries of women at different ages. J Reprod Fertil 81: 433, 1987

6. Reynolds SRM: The vasculature of the ovary and ovarian function. Recent Prog Horm Res 5: 65, 1950

7. Erickson GF: Basic biology: Ovarian anatomy and physiology. In Lobo R, Marcus R, Kelsey J (eds): Menopause. San Diego: Academic Press (in press)

8. Erickson GF: The ovary: Basic principles and concepts. In Felig P, Frohman L (eds): Endocrinology and Metabolism. 4th ed. New York: McGraw Hill (in press)

9. Faddy MJ, Gosden RG, Gougeon A et al: Accelerated disappearance of ovarian follicles in mid-life: Implications for forecasting menopause. Hum Reprod 7: 1342, 1992

10. Gougeon A, Ecochard R, Thalabard JC: Age-related changes of the population of human ovarian follicles: Increase in the disappearance rate of non-growing and early-growing follicles in aging women. Biol Reprod 50: 653, 1994

11. Wandji SA, Srsen V, Nathanielsz PW et al: Initiation of growth of baboon primordial follicles in vitro. Hum Reprod 12: 1993, 1997

12. Henderson SA, Edwards RG: Chiasma frequency and maternal age in mammals. Nature 217: 22, 1968

13. Yamoto M, Shima K, Nakano R: Gonadotropin receptors in human ovarian follicles and corpora lutea throughout the menstrual cycle. Horm Res 37 (Suppl 1): 5, 1992

14. Oktay K, Briggs D, Gosden RG: Ontogeny of follicle-stimulating hormone receptor gene expression in isolated human ovarian follicles. J Clin Endocrinol Metab 82: 3748, 1997

15. Nakamura M, Minegishi T, Hasegawa Y et al: Effect of an activin A on follicle-stimulating hormone (FSH) receptor messenger ribonucleic acid levels and FSH receptor expressions in cultured rat granulosa cells. Endocrinology 133: 538, 1993

16. Bachvarova R: Gene expression during oogenesis and oocyte development in mammals. In Browder L (ed): Developmental Biology: A Comprehensive Synthesis, p 453. New York: Plenum, 1985

17. Wassarman PM, Liu C, Litscher ES: Constructing the mammalian egg zona pellucida: some new pieces of an old puzzle. J Cell Sci 109: 2001, 1996

18. Gong X, Dubois DH, Miller DJ, Shur BD: Activation of a G protein complex by aggregation of beta-1,4-galactosyltransferase on the surface of sperm. Science 269: 1718, 1995

19. Wassarman PM: Fertilization in mammals. Sci Am 259: 78, 1988

20. Beyer EC: Gap junctions. Int Rev Cytol 137C: 1, 1993

21. Kumar NM, Gilula NB: The gap junction communication channel. Cell 84: 381, 1996

22. Simon AM, Goodenough DA, Li E, Paul DL: Female infertility in mice lacking connexin 37. Nature 385: 525, 1997

23. Beyer EC, Kistler J, Paul DL, Goodenough DA: Antisera directed against connexin-43 peptides react with a 43-kD protein localized to gap junctions in myocardium and other tissues. J Cell Biol 108: 595, 1989

24. McPherron AC, Lee S-J: GDF-3 and GDF-9: Two new members of the transforming growth factor-β superfamily containing a novel pattern of cysteines. J Biol Chem 268: 3444, 1993

25. McGrath SA, Esquela AF, Lee S-J: Oocyte-specific expression of growth/differentiation factor-9. Mol Endocrinol 9: 131, 1995

26. Dong J, Albertini DF, Nishimori K et al: Growth differentiation factor-9 is required during early ovarian folliculogenesis. Nature 383: 531, 1996

27. Erickson GF, Magoffin DA, Dyer C, Hofeditz C: The ovarian androgen producing cells: A review of structure/function relationships. Endocr Rev 6: 371, 1985

28. Eppig JJ: Regulation of mammalian oocyte maturation. In Adashi EY, Leung PCK (eds): The Ovary, p 185. New York: Raven Press, 1993

29. Eppig JJ: Oocyte-somatic cell communication in the ovarian follicles of mammals. Semin Dev Biol 5: 51, 1994

30. Erickson GF: Analysis of follicle development and ovum maturation. Semin Reprod Endocrinol 4: 233, 1986

31. Erickson GF: The graafian follicle: A functional definition. In Adashi EY (ed): Ovulation: Evolving Scientific and Clinical Concepts. New York: Springer-Verlag (in press)

32. Erickson GF: Primary cultures of ovarian cells in serum-free medium as models of hormone-dependent differentiation. Mol Cell Endocrinol 29: 21, 1983

33. Kumar TR, Wang Y, Lu N, Matzuk MM: Follicle stimulating hormone is required for ovarian follicle maturation but not male fertility. Nat Genet 15: 201, 1997

34. Kumar TR, Low MJ, Matzuk MM: Genetic rescue of follicle-stimulating hormone beta-deficient mice. Endocrinology 139: 3289, 1998

35. Li R, Phillips DM, Mather JP: Activin promotes ovarian follicle development in vitro. Endocrinology 136: 849, 1995

36. Yoshida H, Takakura N, Kataoka H et al: Stepwise requirement of c-kit tyrosine kinase in mouse ovarian follicle development. Dev Biol 184: 122, 1997

37. Edwards RG: Follicular fluid. J Reprod Fertil 37: 189, 1974

38. Amsterdam A, Lindner HR, Groschel-Stewart U: Localization of actin and myosin in the rat oocyte and follicular wall by immunofluorescence. Anat Res 187: 311, 1977

39. Self DA, Schroeder PC, Gown AM: Hamster thecal cells express muscle characteristics. Biol Reprod 39: 119, 1988

40. Motta PM, Familiari G: Occurrence of a contractile tissue in the theca externa of atretic follicles in the mouse ovary. Acta Anat 109: 103, 1981

41. Martin GG, Talbot P: The role of follicular smooth muscle cells in hamster ovulation. J Exp Zool 216: 469, 1981

42. Crisp TM, Dessouky DA, Denys FR: The fine structure of the human corpus luteum of early pregnancy and during the progestational phase of the menstrual cycle. Am J Anat 127: 37, 1970

43. Zeleznik AJ, Schuler HM, Reichert LE: Gonadotropin-binding sites in the rhesus monkey ovary: Role of the vasculature in the selective distribution of human chorionic gonadotropin to the preovulatory follicle. Endocrinology 109: 356, 1981

44. Gordon JD, Mesiano S, Zaloudek CJ, Jaffe RB: Vascular endothelial growth factor localization in human ovary and fallopian tubes: possible role in reproductive function and ovarian cyst formation. J Clin Endocrinol Metab 81: 353, 1996

45. Laitinen M, Ristimäki A, Honkasalo M et al: Differential hormonal regulation of vascular endothelial growth factors VEGF, VEGF-B, and VEGF-C messenger ribonucleic acid levels in cultured human granulosa-luteal cells. Endocrinology 138: 4748, 1997

46. Mancina R, Barni T, Calogero AE et al: Identification, characterization, and biological activity of endothelin receptors in human ovary. J Clin Endocrinol Metab 82: 4122, 1997

47. Hirshfield AN: Patterns of [3 H] thymidine incorporation differ in immature rats and mature, cycling rats. Biol Reprod 34: 229, 1986

48. Hirshfield AN: Granulosa cell proliferation in very small follicles of cycling rats studied by long-term continuous tritiated-thymidine infusion. Biol Reprod 41: 309, 1989

49. Whitelaw PF, Smyth CD, Howles CM, Hillier SG: Cell-specific expression of aromatase and LH receptor mRNAs in rat ovary. J Mol Endocrinol 9: 309, 1992

50. Bortolussi M, Marini G, Reolon ML: A histochemical study of the binding of 125 I-HCG to the rat ovary throughout the estrous cycle. Cell Tissue Res 197: 213, 1979

51. Camp TA, Rahal JO, Mayo KE: Cellular localization and hormonal regulation of follicle-stimulating hormone and luteinizing hormone receptor messenger RNAs in the rat ovary. Mol Endocrinol 5: 1405, 1991

52. Minegishi T, Tano M, Igarashi M et al: Expression of follicle-stimulating hormone receptor in human ovary. Eur J Clin Invest 27: 469, 1997

53. Buccione R, Vanderhyden BC, Caron PJ, Eppig JJ: FSH-induced expansion of the mouse cumulus oophorus in vitro is dependent upon a specific factor(s) secreted by the oocyte. Dev Biol 138: 16, 1990

54. Eppig JJ, Chesnel F, Hirao Y et al: Oocyte control of granulosa cell development: How and why. Hum Reprod 12: 127, 1997

55. Hsueh AJ, Billig H, Tsafriri A: Ovarian follicle atresia: A hormonally controlled apoptotic process. Endocr Rev 15: 707, 1994

56. Gougeon A, Lefèvre B: Evolution of the diameters of the largest healthy and atretic follicles during the human menstrual cycle. J Reprod Fertil 69: 497, 1983

57. Erickson GF: The ovary: Basic principles and concepts. In Felig P, Baxter JD, Frohman LA (eds): Endocrinology and Metabolism, p 973. 3rd ed. New York: McGraw-Hill, 1995

58. McNatty KP: Hormonal correlates of follicular development in the human ovary. Aust J Biol Sci 34: 249, 1981

59. Gougeon A, Testart J: Influence of human menopausal gonadotropin on the recruitment of human ovarian follicles. Fertil Steril 54: 848, 1990

60. Gougeon A: Qualitative changes in medium and large antral follicles in the human ovary during the menstrual cycle. Ann Biol Anim Biochem Biophys 19: 1461, 1979

61. Hirshfield AN: Development of follicles in the mammalian ovary. Int Rev Cytol 124: 43, 1991

62. Zeleznik AJ: Dynamics of primate follicular growth: A physiologic perspective. In Adashi EY, Leung PCK (eds): The Ovary, p 41. New York: Raven Press, 1993

63. Welt CK, Martin KA, Taylor AE et al: Frequency modulation of follicle-stimulating hormone (FSH) during the luteal-follicular transition: evidence for FSH control of inhibin B in normal women. J Clin Endocrinol Metab 82: 2645, 1997

64. Zeleznik AJ: Premature elevation of systemic estradiol reduces serum levels of follicle-stimulating hormone and lengthens the follicular phase of the menstrual cycle in rhesus monkeys. Endocrinology 109: 352, 1981

65. Matthews CH, Borgato S, Beck-Peccoz P et al: Primary amenorrhea and infertility due to a mutation in the beta-subunit of follicle-stimulating hormone. Nat Genet 5: 83, 1993

66. Lahlou N, Chabbert-Buffet N, Christin-Maitre S et al: Main inhibitor of follicle stimulating hormone in the luteal-follicular transition: inhibin A, oestradiol, or inhibin B? Hum Reprod 14: 1190, 1999

67. McNatty KP, Hunter WM, McNeilly AS, Sawers RS: Changes in the concentration of pituitary and steroid hormones in the follicular fluid of human graafian follicles throughout the menstrual cycle. J Endocrinol 64: 555, 1975

68. Simoni M, Gromoll J, Nieschlag E: The follicle-stimulating hormone receptor: biochemistry, molecular biology, physiology, and pathophysiology. Endocr Rev 18: 739, 1997

69. Ulloa-Aguirre A, Midgley AR Jr, Beitins IZ, Padmanabhan V: Follicle-stimulating isohormones: characterization and physiological relevance. Endocr Rev 16: 765, 1995

70. Davis D, Liu X, Segaloff DL: Identification of the sites of N-linked glycosylation on the follicle-stimulating hormone (FSH) receptor and assessment of their role in FSH receptor function. Mol Endocrinol 9: 159, 1995

71. Gromoll J, Gudermann T, Nieschlag E: Molecular cloning of a truncated isoform of the human follicle stimulating hormone receptor. Biochem Biophys Res Commun 188: 1077, 1992

72. Meyer TE, Habener JF: Cyclic adenosine 3',5'-monophosphate response element binding protein (CREB) and related transcription-activating deoxyribonucleic acidbinding proteins. Endocr Rev 14: 269, 1993

73. McNatty KP, Sawers RS: Relationship between the endocrine environment within the graafian follicle and the subsequent rate of progesterone secretion by human granulosa cells in vitro. J Endocrinol 66: 391, 1975

74. Yong EL, Baird DT, Hillier SG: Mediation of gonadotrophin-stimulated growth and differentiation of human granulosa cells by adenosine-3',5'-monophosphate: one molecule, two messages. Clin Endocrinol (Oxf) 37: 51, 1992

75. Yong EL, Baird DT, Yates R et al: Hormonal regulation of the growth and steroidogenic function of human granulosa cells. J Clin Endocrinol Metab 74: 842, 1992

76. Gospodarowicz D, Bialecki H: Fibroblast and epidermal growth factors are mitogenic agents for cultured granulosa cells of rodent, porcine, and human origin. Endocrinology 104: 757, 1979

77. Delforge JP, Thomas K, Roux F et al: Time relationships between granulosa cells growth and luteinization, and plasma luteinizing hormone discharge in human. 1. A morphometric analysis. Fertil Steril 23: 1, 1972

78. Channing CP: Influences of the in vivo and in vitro hormonal environment upon luteinization of granulosa cells in tissue culture. Recent Prog Horm Res 26: 589, 1970

79. Steinkampf MP, Mendelson CR, Simpson ER: Regulation by follicle-stimulating hormone of the synthesis of aromatase cytochrome P-450 in human granulosa cells. Mol Endocrinol 1: 465, 1987

80. Sawatawan C, Milewich L, Word RA et al: Compartmentalization of type I 17 beta-hydroxysteroid oxidoreductase in the human ovary. Mol Cell Endocrinol 99: 161, 1994

81. Ghersevich SA, Poutanen MH, Martikainen HK, Vihko RK: Expression of 17 beta-hydroxysteroid dehydrogenase in human granulosa cells: Correlation with follicular size, cytochrome P450 aromatase activity and oestradiol production. J Endocrinol 143: 139, 1994

82. Zhang Y, Word RA, Fesmire S et al: Human ovarian expression of 17 beta-hydroxysteroid dehydrogenase types 1, 2, and 3. J Clin Endocrinol Metab 81: 3594, 1996

83. Inkster SE, Brodie AM: Expression of aromatase cytochrome P-450 in premenopausal and postmenopausal human ovaries: An immunocytochemical study. J Clin Endocrinol Metab 73: 717, 1991

84. Suzuki T, Sasano H, Tamura M et al: Temporal and spatial localization of steroidogenic enzymes in premenopausal human ovaries: in situ hybridization and immunohistochemical study. Mol Cell Endocrinol 97: 135, 1993

85. Doody KJ, Lorence MC, Mason JI, Simpson ER: Expression of messenger ribonucleic acid species encoding steroidogenic enzymes in human follicles and corpora lutea throughout the menstrual cycle. J Clin Endocrinol Metab 70: 1041, 1990

86. Kiriakidou M, McAllister JM, Sugawara T, Strauss JFR: Expression of steroidogenic acute regulatory protein STAR in the human ovary. J Clin Endocrinol Metab 81: 4122, 1996

87. Voutilainen R, Tapanainen J, Chung BC et al: Hormonal regulation of P450scc (20,22-desmolase) and P450c17 (17 alpha-hydroxylase/17,20-lyase) in cultured human granulosa cells. J Clin Endocrinol Metab 63: 202, 1986

88. Penning TM: Molecular endocrinology of hydroxysteroid dehydrogenases. Endocr Rev 18: 281, 1997

89. Shimasaki S, Zachow RJ, Li D et al: A functional bone morphogenetic protein system in the ovary. Proc Natl Acad Sci USA 96; 7282, 1999

90. Richards JS: Hormonal control of gene expression in the ovary. Endocr Rev 15: 725, 1994

91. Erickson GF, Wang C, Hsueh AJW: FSH induction of functional LH receptors in granulosa cells cultured in a chemically defined medium. Nature 279: 336, 1979

92. Shaw HJ, Hillier SG, Hodges JK: Developmental changes in luteinizing hormone/human chorionic gonadotropin steroidogenic responsiveness in marmoset granulosa cells: Effects of follicle-stimulating hormone and androgens. Endocrinology 124: 1669, 1989

93. Bar-Ami S, Haciski RC, Channing CP: Increasing 125 I-human chorionic gonadotrophin specific binding in human granulosa cells by follicle-stimulating hormone and follicular fluid. Hum Reprod 4: 876, 1989

94. Yong EL, Hillier SG, Turner M et al: Differential regulation of cholesterol side-chain cleavage P450scc and aromatase P450arom enzyme mRNA expression by gonadotrophins and cyclic AMP in human granulosa cells. J Mol Endocrinol 12: 239, 1994

95. Enmark E, Pelto-Huikko M, Grandien K et al: Human estrogen receptor beta-gene structure, chromosomal localization, and expression pattern. J Clin Endocrinol Metab 82: 4258, 1997

96. El-Roeiy A, Chen X, Roberts VJ et al: Expression of insulin-like growth factor-I (IGF-I) and IGF-II and the IGF-I, IGF-II, and insulin receptor genes and localization of the gene products in the human ovary. J Clin Endocrinol Metab 77: 1411, 1993

97. Pollack SE, Furth EE, Kallen CB et al: Localization of the steroidogenic acute regulatory protein in human tissues. J Clin Endocrinol Metab 82: 4243, 1997

98. Tamura T, Kitawaki J, Yamamoto T et al: Immunohistochemical localization of 17α-hydroxylase/C17-20 lyase and aromatase cytochrome P-450 in polycystic human ovaries. J Endocrinol 139: 503, 1993

99. Erickson GF: Normal regulation of ovarian androgen production. Semin Reprod Endocrinol 11: 307, 1993

100. Erickson GF: Ovarian androgen biosynthesis: Endocrine regulation. In Azziz R, Nestler JE, Dewailly D (eds): Androgen Excess Disorders in Women, p 3. New York: Lippincott-Raven Publishers, 1997

101. Erickson GF, Magoffin DA, Jones KL: Theca function in polycystic ovaries of a patient with virilizing congenital adrenal hyperplasia. Fertil Steril 51: 173, 1989

102. Erickson GF, Magoffin DA, Dyer CA, Hofeditz C: The ovarian androgen producing cells: A review of structure/function relationships. Endocr Rev 6: 371, 1985

103. Magoffin DA, Erickson GF: Control systems of theca-interstitial cells. In Findlay JK (ed): Molecular Biology of the Female Reproductive System, p 39. New York: Academic Press, 1994

104. Toledo SP, Brunner HG, Kraaij R et al: An inactivating mutation of the luteinizing hormone receptor causes amenorrhea in a 46,XX female. J Clin Endocrinol Metab 81: 3850, 1996

105. Erickson GF: PCO: The ovarian connection. In Adashi EY, Rock JA, Rosenwaks Z (eds): Reproductive Endocrinology, Surgery, and Technology, p 1141. New York: Raven Press, 1995

106. Segaloff DL, Ascoli M: The lutropin/choriogonadotropin receptor … 4 years later. Endocr Rev 14: 324, 1993

107. Sibley DR, Benovic JL, Caron MG, Lefkowitz RJ: Phosphorylation of cell surface receptors: A mechanism for regulating signal transduction pathways. Endocr Rev 9: 38, 1988

108. Barbieri RL, Smith S, Ryan KJ: The role of hyperinsulinemia in the pathogenesis of ovarian hyperandrogenism. Fertil Steril 50: 197, 1988

109. Poretsky L: On the paradox of insulin-induced hyperandrogenism in insulin-resistant states. Endocr Rev 12: 3, 1991

110. Legro RS, Spielman R, Urbanek M et al: Phenotype and genotype in polycystic ovary syndrome. Recent Prog Horm Res 53: 217, 1998

111. Hillier SG, Yong EL, Illingworth PJ et al: Effect of recombinant activin on androgen synthesis in cultured human thecal cells. J Clin Endocrinol Metab 72: 1206, 1991

112. Hillier SG, Yong EL, Illingworth PJ et al: Effect of recombinant inhibin on androgen synthesis in cultured human thecal cells. Mol Cell Endocrinol 75: R1, 1991

113. Garzo VG, Dorrington JH: Aromatase activity in human granulosa cells during follicular development and the modulation by follicle-stimulating hormone and insulin. Am J Obstet Gynecol 148: 657, 1984

114. Erickson GF, Garzo VG, Magoffin DA: Insulin-like growth factor 1 (IGF-1) regulates aromatase activity in human granulosa and granulosa luteal cells. J Clin Endocrinol Metab 69: 716, 1989

115. Steinkampf MP, Mendelson CR, Simpson ER: Effects of epidermal growth factor and insulin-like growth factor I on the levels of mRNA encoding aromatase cytochrome P-450 of human ovarian granulosa cells. Mol Cell Endocrinol 59: 93, 1988

116. Rice VM, Williams VR, Limback SD, Terranova PF: Tumour necrosis factor-alpha inhibits follicle-stimulating hormone-induced granulosa cell oestradiol secretion in the human: Dependence on size of follicle. Hum Reprod 11: 1256, 1996

117. Tilly JL: Apoptosis and ovarian function. Rev Reprod 1: 162, 1996

118. Erickson GF: Defining apoptosis: Players and systems. J Soc Gynecol Invest 4: 219, 1997

119. Wyllie AH: Cell death: The significance of apoptosis. Int Rev Cytol 68: 251, 1980

120. Ashkenazi A, Dixit VM: Death receptors: Signaling and modulation. Science 281: 1305, 1998

121. Green DR, Reed JC: Mitochondria and apoptosis. Science 281: 1309, 1998

122. Thornberry NA, Lazebnik Y: Caspases: enemies within. Science 281: 1312, 1998

123. Evan G, Littlewood T: A matter of life and cell death. Science 281: 1317, 1998

124. Adams JM, Cory S: The Bcl-2 protein family: arbiters of cell survival. Science 281: 1322, 1998

125. Tilly JL, Tilly KI, Perez GI: The genes of cell death and cellular susceptibility to apoptosis in the ovary: A hypothesis. Cell Death Differ 4: 180, 1997

126. Tsafriri A, Chun SY, Reich R: Follicular rupture and ovulation. In Adashi EY, Leung PCK (eds): The Ovary, p 227. New York: Raven Press, 1993

127. Espey LL: Current status of the hypothesis that mammalian ovulation is comparable to an inflammatory reaction. Biol Reprod 50: 233, 1994

128. Takahashi T, Ohnishi J: Molecular mechanism of follicle rupture during ovulation. Zoolog Sci 12: 359, 1995

129. Lydon JP, DeMayo FJ, Funk CR et al: Mice lacking progesterone receptor exhibit pleiotropic reproductive abnormalities. Genes Dev 9: 2266, 1995

130. Dinchuk JE, Car BD, Focht RJ et al: Renal abnormalities and an altered inflammatory response in mice lacking cyclooxygenase II. Nature 378: 406, 1995

131. Lim H, Paria BC, Das SK et al: Multiple female reproductive failures in cyclooxygenase 2-deficient mice. Cell 91: 197, 1997

132. Beers WH: Follicular plasminogen and plasminogen activator and the effect of plasmin on ovarian follicle wall. Cell 6: 379, 1975

133. Adashi E, Leung PCK (eds): The Ovary: Comprehensive Endocrinology. New York: Raven Press, 1993

134. Baker J, Hardy MP, Zhou J et al: Effects of an lgfl gene null mutation on mouse reproduction. Mol Endocrinol 10: 903, 1996

Back to Top