Chapter 18
The Endometrial Cycle
Alex Ferenczy
Main Menu   Table Of Contents

Search

Alex Ferenczy, MD
Professor of Pathology, Obstetrics and Gynecology, McGill University and The Sir Mortimer B. Davis Jewish General Hospital, Montreal, Quebec, Canada (Vol 4, Chap 12; Vol 5, Chap 18)

INTRODUCTION
OBTAINING SPECIMENS
MORPHOPHYSIOLOGIC INTERPRETATION OF THE ENDOMETRIAL CYCLE
REFERENCES

INTRODUCTION

Morphologically, the endometrium is one of the most dynamic target tissues in women. Its cyclic structural changes mirror changes in metabolic functions, and both are regulated by ovarian estradiol and progesterone. Because of this interplay of structure, function, and ovarian hormonal stimuli, the endometrium is considered one of the most sensitive indicators of the hypothalamic-pituitary-ovarian hormonal axis. As a result, morphologic evaluation of the endometrium is used in diagnostic evaluation of infertile patients to determine whether ovulation is occurring (Fig. 1).

Fig. 1. Schematic representation of steroid hormone-morphologic interactions during the endometrial cycle. Estradiol promotes endometrial proliferation, whereas after ovulation, progesterone converts estradiol-primed endometrium into secretory tissue. Postovulatory estradiol amplifies the progesterone effect, and after withdrawal of both estradiol and progesterone, the endometrial mucosa degenerates and regenerates within the period of menstruation.(Ferenczy A: How to date the endometrial cycle. Contemp Obstet Gynecol 18:115, 1981)

Steroid hormone control of endometrial, epithelial, stromal, and presumably endothelial cells is mediated by estrogen receptors and progesterone receptors. These steroid receptors are specific proteins concentrated exclusively in the nuclei of endometrial cells (Fig. 2).1,2 They have high affinity to bind estradiol and progesterone, respectively.3

Fig. 2. Receptors are localized to epithelial and stromal cell nuclei ( arrows ), although the intensity of specific staining is stronger in most epithelial cell nuclei than in most stromal cell nuclei.(Bergeron C, Ferenczy A, Shyamala G: Distribution of estrogen receptors in various cell types of normal, hyperplastic and neoplastic human endometrial tissues. Lab Invest 58:338, 1988. Copyright by US and Canadian Academy of Pathology)

This chapter contains a review of the technical procedures for handling endometrial tissues and a discussion of the morphologic aspects of the endometrium, focusing on the interpretation and understanding of the physiomorphology of the endometrial cycle.

Back to Top
OBTAINING SPECIMENS

Method

To ensure a good specimen for morphologic interpretation, a biopsy sample should be taken from both the anterior and the posterior endometrium and fixed immediately in either Bouin's solution or 10% formalin. The former is preferred because it preserves cytologic characteristics, whereas formalin is a tissue fixative that yields poor cytologic details. If Bouin's solution is used, the jaw of the curette should not be immersed in the fixative because Bouin's solution contains highly corrosive glacial acetic acid, which quickly acts on the cutting edge of the curette. Instead, the specimen should be removed from the curette with a fine forceps, placed on a piece of lens paper or some other adhesive tissue, and immersed in the fixative. By this means, all of the tissue fragments remain tightly attached to the lens paper, rather than floating in the fixative, and no tissue will be lost for histologic examination. Orientation of the specimen on the lens paper either on end (uterine surface lining on top) or on edge (surface epithelium perpendicular to the lens paper) allows vertical histologic sections to be obtained. Such histologic preparations include the upper portion of the functional layer of the endometrium, which is necessary for an accurate diagnosis. Use of this procedure considerably reduces the rate at which tissues are designated “insufficient for diagnosis.” The pathology requisition should contain all pertinent information, including date of last menstrual period.

Timing

The best way to prove or disprove that ovulation has taken place is to take an endometrial sample on cycle day 22 or later, preferably at the onset of uterine bleeding. By obtaining samples at the time of early uterine bleeding, the pathologist will be able to determine whether the bleeding is caused (1) by the breakdown of postovulatory, secretory endometrium; or (2) by focal necrosis of the endometrium associated with anovulation, from other pathologic states, or from hormone administration. In addition, because with a few exceptions (e.g., inadequate luteal phase), the length of the secretory phase of the cycle is constant (i.e., 13 days plus or minus 2 days), the time of ovulation can be estimated if the endometrium is of the normal menstrual type. Also, during the period of bleeding, both the external os and the isthmus (lower uterine segment) are widened, facilitating penetration of the biopsy forceps into the endometrial cavity. The final argument in favor of taking samples at the onset of bleeding is that endometrium of the first 2 days of menstruation is relatively easy to recognize histologically. In contrast, secretory-phase endometrium often demonstrates subtle changes and, in many cases, combinations of morphologic changes, resulting in most instances in errors of plus or minus 4 to 5 days. The pathologist can improve this to plus or minus 2 days, however, by acquiring expertise in endometrial dating (all cases of normal endometria are to be dated regardless of reasons for sampling) and by basing the dating on those endometrial morphologic alterations that represent the most advanced phase of the menstrual cycle. For example, if an endometrial biopsy contains changes consistent with the 16th, 17th, and 18th days of the cycle, the pathologist should report the diagnosis as “18th-day secretory endometrium,” instead of averaging cycle days and reporting “17th-day secretory endometrium.”

Endometrial biopsies are not to be taken at the onset of bleeding in the following two conditions:

  1. If inadequate luteal phase is suspected and is desired to be confirmed histologically, the biopsy should be taken between the 21st and 23rd cycle days to demonstrate a 3- to 4-day delay in endometrial maturation. Impaired maturation is presumably due to the poor development of the corpus luteum. This in turn results in a decrease of circulating progesterone levels, which are then not sufficient to promote full secretory differentiation of the endometrium. A repeat biopsy taken during the same period of the following cycle will further confirm an abnormally short corpus luteum life span.
  2. In cases of clinical membranous dysmenorrhea, the endometrial biopsy should be taken on cycle days 5 to 10. In these instances, the histologic specimens contain large fragments (casts) of endometrium, often with focal Arias-Stella reaction, or star-shaped glands with dense stroma alternating with foci of normal menstrual endometrium. Such a condition, also called irregular shedding, is presumably associated with a persistent corpus luteum from a recent or remote intrauterine or ectopic pregnancy and with relatively increased blood progesterone levels.4 Because of the stabilizing effect of progesterone on lysosomal enzymes and prostaglandins, menstrual breakdown may be delayed, prolonged, and extensive.

Back to Top
MORPHOPHYSIOLOGIC INTERPRETATION OF THE ENDOMETRIAL CYCLE

The major morphologic criteria useful for dating the endometrium throughout the cycle are presented in Figure 3. In routine dating, the pathologist should avoid bias by evaluating the histologic section before reading the clinical information. After examining the specimen, the pathologist should attempt to correlate histology with clinical history. Given histologic expertise, however, the endometrial biopsy is sufficiently accurate and objective that the date of the sample seldom has to be changed in the face of a contrary history. In the most common terminology for dating the endometrial biopsy, day 1 is used as the first day of bleeding, and this is used in Figure 3 as the starting point.5 It is not necessary to date the endometrium during the proliferative phase. During this period, daily morphologic alterations are not sufficiently sensitive. Also, because proliferation precedes the ovulatory period, dating proliferative endometrium gives the clinician no relevant information on whether ovulation is occurring. The daily changes in the endometrium during the postovulatory period, however, are significant enough from one day to another to provide accurate evaluation of the endometrial cycle.

Fig. 3. Major morphologic criteria for dating the endometrium during the menstrual cycle.(Noyes RW, Hertig AT, Rock J: Dating the endometrial biopsy. Fertil Steril 1:3, 1950. Reproduced with permission of the publisher. The American Fertility Society)

Menstrual Period

In most women with normal-length cycles, the menstrual period lasts 4 days ± 1 day. During this period, the endometrial mucosa undergoes rapid degeneration and regeneration. Both phenomena are presumably independent of hormonal influence.6

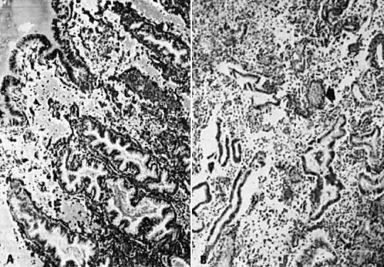
On cycle days 28 and 1, the endometrium is thick, red, and soft. The stroma beneath the surface epithelium contains blood lakes, fragmented stromal cells, and inflammatory exudate (Fig. 4A). These rapidly become generalized, resulting in a rough, friable, hemorrhagic surface. When seen in cross-section, the functional layer of the endometrium occupies the upper two thirds of the entire thickness; the lower third, or basal layer, changes very little during the endometrial cycle.

Fig. 4. Menstrual endometrium. A. Menstrual endometrium, day 28 to day 1, with collapsed stroma and blood lakes beneath the surface epithelium ( arrow) (× 100). B. Menstrual endometrium, day 1 to day 2, showing ruptured glands with secretory exhaustion, degenerated predecidua, inflammatory cells, and thrombosed vessels ( arrow) (×100).

On cycle day 2, the functional layer becomes disorganized, containing predecidual stromal cells admixed with epithelial glandular cells; both cellular systems undergo severe degenerative changes (Fig. 4B). These are diffuse throughout the endometrial mucosa of the body and fundus regions. The isthmic endometrium is not significantly sensitive to cyclic hormonal stimuli and is not used for dating purposes. The menstrual fluid is made up of autolyzed tissue admixed with a heavy polymorphonuclear exudate, red blood cells, and proteolytic enzymes. One of the latter is blood protease plasmin, which prevents clotting of menstrual blood. Plasminogen activators, which convert plasminogen into plasmin, are found in and released from degenerated endometrial vascular endothelium.7 Anovulatory bleeding, in contrast to menstrual bleeding, is associated with focal tissue breakdown and thrombosis of dilated vessels. The adjacent endometrium is intact and most commonly is of the hyperplastic type.

During cycle days 1 and 2, synthesis of nuclear deoxyribonucleic acid (DNA) is near zero level in the secretory functional layer of the endometrium. These findings are consistent with previous ultrastructural observations, indicating that the cellular components of the functional layer undergo irreversible cell injury before being expelled during the menstrual period.6

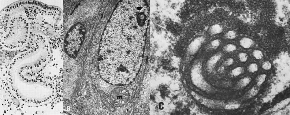
On cycle days 2 and 3, the functional layer gradually becomes cleaved off from the underlying basal layer, resulting in a thin, denuded basal layer with a ragged surface onto which residual basal gland stumps open (Fig. 5A). Loss of the bulk of endometrial mucosa explains why scant tissue is obtained in endometrial biopsy or dilation and curettage (D & C) during the second part of the menstrual period.

Fig. 5. Scanning electron microscopy of regenerative endometrium. A. On cycle day 3, gland stumps of residual basal glands have epithelial extensions ( arrow) onto denuded stroma (×380). B. Cycle day 4 is dominated by anastomoses of epithelial membranes ( arrows) from adjacent basal gland openings (×230). C. By cycle day 5, the surface is fully regenerated. Note concentration of ciliated cells ( arrow) around gland openings (×300).

Starting on day 2 and for the subsequent 2 days, proliferation of the basal gland epithelium begins in the areas of denudation.6 The surface of the endometrium is re-epithelialized as the residual glandular epithelium spreads over the denuded surface (see Fig. 5A). Another source of resurfacing epithelium is the surface epithelium of peripheral regions of the endometrial cavity, such as the lower uterine segment and peritubal ostia, which remain intact during the menstrual period.6 The subsequent development of interanastomoses between converging epithelial proliferations (Fig. 5B) leads ultimately to complete reconstruction of a new surface epithelium by cycle day 5 (Fig. 5C). Complete re-epithelialization of the surface coincides with cessation of bleeding.

DNA tracing studies have shown that increased DNA synthesis is confined to the basal layer of the body and fundus of the uterus and the adjacent isthmic and peritubal-ostial endometrial mucosa, all of which remain intact during menstruation.6 This increase occurs only after complete denudation of the basal layer by cycle day 3.

The postmenstrual endometrium is repaired by cellular migration and replication of surface epithelial cells.6 The resurfacing cells are flattened and spindle-shaped, with intracellular microfilamentous-microtubular systems and pseudopodial projections (Fig. 6). These features are consistent with ameboid contraction-expansion-mediated motility.

Fig. 6. Regenerative endometrium. The newly formed epithelial cells have flattened cytoplasm and prominent pseudopodial projections (×24,000).

Endometrial stromal cells modulate the growth, steroid hormone action, and functional differentiation of the epithelial cells.3 In vitro experiments have demonstrated production of basement membrane-like material with heavy desmosomal attachments by epithelial (but not stromal) cells. The basement membrane provides anchorage and participates in the control of proliferation and migration of epithelial cells as well as in their differentiations.8 Tenascin, an extracellular matrix protein, is immunolocalized around proliferative endometrial glands and is believed to enhance epithelial cell migration and proliferation during periods of postmenstrual repair by inhibiting cell attachments to fibronectin.9

After the initial epithelial spread, cell division and migration operate simultaneously until a confluent surface layer has been regenerated by cycle day 5. The sudden increase in nucleic acid synthesis and a very short DNA-synthesis phase of the regenerative cells result in accelerated tissue turnover (Fig. 7). These characteristics of migration and accelerated tissue turnover explain the spectacularly rapid wound healing capability of the human endometrium. DNA and ultrastructural data do not support the concept that the regenerative endometrium derives directly from persistent secretory spongiosa or stromal fibroblasts of the endometrium.

Fig. 7. Kinetic characteristics of the endometirum during the menstrual cycle according to in vitro historadioautography using the double-labeling technique with 3 H-thymidine. Labeling index ( LI ), DNA synthesis phase ( DNA-S phase ), and potential doubling time ( TpD) are negligible during the premenstrual and early menstrual periods. Note the sudden increase in LI and shortening of the DNA-S phase and tissue turnover time during the regenerative period on cycle days 3 to 4. The postregenerative period (cycle day 5 on) is characterized by prolongation of both the DNA-S phase and tissue turnover time.(Ferenczy A: How to date the endometrial cycle. Contemp Obstet Gynecol 18:115, 1981)

The mechanisms of induction of endometrial proliferation during menstruation do not seem to be influenced by estradiol. Indeed, during cycle days 3 and 4, despite increased DNA activity, plasma levels of estrogens and progesterone receptors are low and unchanged from the premenstrual values (see Fig. 7). Also, in experimental endometrial regeneration in the rabbit, proliferation kinetics and morphologic alterations of the regenerative but estrogen-deprived atrophic endometrium associated with ovariectomy are similar to those in animals with intact ovaries.6 In contrast, cycle days 7 through 12 are characterized by a sudden increase in the incorporation of nuclear thymidine (see Fig. 7; Fig. 8) and mitoses in the stromal, vascular, and gland cell components of the regenerated endometrium. These changes are accompanied by an increase in plasma levels of estrogens and progesterone receptors and a slight decrease in serum pituitary hormones (see Fig. 7), alterations that are consistent with target cell sensitivity and response to preovulatory estradiol.

Fig. 8. Historadioautography of proliferative endometrium. A. Note heavy labeling of functional layer of endometrium (×100). B. Detailed view of radiothymidine granules in nuclei of endometrial gland cells, stromal fibroblasts, and capillary endothelium ( arrow) (×250).

Proliferative Phase

The preovulatory endometrium demonstrates proliferative changes in the glands, stromal cells, and vascular system.1,4,5,10 The glands acquire numerous mitoses and become longer and larger, with convoluted shapes. The stroma becomes vascularized. These changes take place under the stimulatory action of estradiol, which stimulates the DNA-promoter enzyme, thymidylate synthetase.7,10,11 This, in turn, stimulates ribonucleic acid (RNA) polymerase activity,12 DNA synthesis, and mitosis. Increased proliferation leads to a considerable thickening of the endometrial mucosa. It is interesting to note that the endometrium demonstrates geographic variations in its response to hormonal stimuli. Maximum DNA synthesis is observed in the fundus and body of the uterus, whereas the isthmic and cornual regions contain comparatively lower values.10 Also, nuclear DNA activity is higher in the upper third than in the lower two thirds of the functional layer.10 This zonal variation in sensitivity of endometrial tissue to hormonal influence may be related to different physiologic functions: the upper functional layer facilitates implantation and nutrition of the blastocyst, whereas the lower functional layer is involved in the secretory activity and provides for the integrity of the endometrial mucosa. Whether differences in hormonal responses are due to dissimilar vascular supply of the upper and lower layers or to the intrinsic, heterogeneous nature of the endometrial tissue in terms of receptor content or to both remains to be determined. Maximum DNA synthesis during the midproliferative phase of the cycle (i.e., cycle days 8 to 10),10 correlates with the maximum number of mitoses in both the stromal and epithelial endometrial cellular elements as well as with the midproliferative peak of plasma estradiol and nuclear estradiol receptors (see Fig. 7).13

Increased nuclear DNA synthesis and mitotic activity in gland cells correlate with high levels of nucleolar organizer regions. These are loops of DNA, transcribed to ribosomal RNA, and are proliferation indicators.9 An increase in estradiol-mediated DNA activity during the early and midproliferative phases and its decrease by cycle days 11 through 14 may reflect the growth-inhibition effects of long-standing estradiol stimulation. According to animal studies,14 DNA synthesis decreases rather than increases after 2 days of estrogen administration. Inhibition of nucleic acid synthesis is apparently not related to loss of estradiol receptors or nuclear translocation of estradiol receptors, but rather, presumably, to accumulation of the chalone-like inhibitors of DNA synthesis.14 This hypothesis is attractive, but it remains to be tested.

Recent biochemical and immunohistochemical studies have identified several peptides suspected to be involved in the autocrine or paracrine control of endometrial growth.15 Epidermal growth factor is produced by both epithelial and stromal cells and is likely to stimulate alone or with estradiol stromal/epithelial proliferation. Insulin-like growth factors also promote endometrial cellular mitosis, including that of decidual cells. It is likely that epidermal growth factor mediates the mitogenic action of estradiol. The transforming growth factor-β mainly inhibits cellular proliferation and promotes differentiation of the endometrium, acting via autocrine and paracrine mechanisms. It is increased in the secretory phase and particularly in early pregnancy decidua and may enhance placental calcium transport. Cytokines are multifactorial immunomodulators acting by autocrine, paracrine, or endocrine mechanisms on proliferation and differentiation of cells of the immune system.

In addition to tissue proliferation, estradiol promotes the development of free and bound ribosomes, mitochondria, golgiosomes and primary lysosomes in gland cells and presumably in stromal cells (Fig. 9A). Biochemically, these organelles each provide for protein matrix, energy, and synthesis of various enzymes. Some of these enzymes, including glucose-6-phosphatase, hexokinase, pyruvate kinase, and lactate dehydrogenase, are involved in carbohydrate metabolism.16 Other important proteins thought to be produced by estradiol are estradiol receptors and progesterone receptors.11,17 Concentrations of estradiol receptors and progesterone receptors increase in both the blood and the endometrium during the proliferative phase of the cycle (see Fig. 7). Another characteristic feature of proliferative-surface and gland-lining cells is an increase in the number of cilia and microvilli (Fig. 9B-C). These decrease considerably during the secretory phase, suggesting that endometrial ciliogenesis and microvillogenesis are estrogen dependent.16 Additional evidence for this concept is provided by observations of even more cilia and microvilli in hyperplastic endometria, whereas progestational therapy leads to their disappearance and decrease, respectively.16 Ciliated cells are especially numerous around gland openings (see Fig. 5C). It has been suggested that this peculiar distribution and strong-forward and slow-recovery ciliary beat pattern facilitate mobilization and distribution of endometrial secretions during the luteal phase of the cycle.16

Fig. 9. Proliferative endometrium. A. Transmission electron microscopy of gland cells with numerous supranuclear (n), golgiosomes (g), mitochondria (m), granular endoplasmic reticulum ( arrow ), and electron-dense primary lysosomes ( ly) (×13,000). B. Surface epithelium with numerous ciliated ( arrow) and nonciliated microvillous cells (×3000). C. High magnification of ciliary shafts ( arrow) in the process of development (×10,000).

Intracytoplasmic filaments serve as a cytoplasmic “skeleton” in gland and stromal cells. Gland cells have cytokeratin- and vimentin-positive intracytoplasmic filaments, whereas endometrial stromal cells contain vimentin and smooth muscle-related antigens.4

Lymphoid aggregates resembling follicles may be seen in the endometrial stroma, particularly in the basal layer and during the proliferative phase of the cycle.18 They are made of T-cells, macrophages, and B-cells16 and stain for IgA, IgM, or IgG. They are unlikely to play a significant role, if any, in the local secretory immune system. Indeed, endometrial epithelial cells synthesize negligible amounts of immunoproteins,19 and IgG-containing plasma cells are absent in normal endometrium. The observations are consistent with the sterile nature of normal endometrium.

Secretory Phase

During the postovulatory phase, or secretory phase, the estradiol-primed endometrium is under progestagenic stimulation and undergoes secretory differentiation.4,5,16 The first morphologic event indicating ovulation occurs on the 16th day of the cycle (postovulation day 2, or POD 2) with the appearance of small, cylindric vacuoles occupying the base of some of the gland cells in the functional layer. Because similar changes may be produced by estrogens alone in the absence of ovulation, incomplete or abortive subnuclear vacuolization is not considered specific to ovulation. The first reliable histologic alterations that are considered specific to ovulation are seen on the 17th day (POD 3) of the cycle.4,5,16 These include well-developed subnuclear glycogen vacuoles in gland lining cells and palisading of gland cell nuclei. Both phenomena involve every cell in a given gland (Fig. 10A). TAG-72 or B72.3, a mucin-like glycoprotein, is exclusively found in postovulatory secretory gland cells; it serves as an immunomarker of ovulation.4

Fig. 10. Secretory endometrium. A. Day 17 (POD 3) secretory endometrial glands with S-shaped configuration, subnuclear vacuolization, and palisading of nuclei in middle of lining epithelium (×450). B. Ultrastructurally, ovulation is followed by appearance of giant mitochondria (m), nucleolar channel system ( arrow ), and abundant glycogen granules ( open arrow) in gland cells (×7100). C. Detailed view of nucleolar channel system made of hollow tubules and embedded into nucleolar ribosomes (×30,000).

At the transmission electron microscopic level, ovulation may be recognized by the appearance of giant mitochondria and the so-called nucleolar channel system in gland cells.16 Nucleolar channel systems are unique to women and occur only during the postovulatory period (Table 1; Fig. 10B-C). They are presumably produced by the infolding of the nuclear membranes under progesterone stimulation.

TABLE 1. Morphologic Evidence of Ovulation


 

Cycle

Morphology

Days

Nucleolar channel system* in gland cells

15–25

Subnuclear vacuolization with nuclear palisading of gland cells

17–18

Stromal edema with ferning of glandular epithelium

22–23

Perivascular and stromal predecidulalization

23–28

Diffuse predecidual and glandular necrosis, inflammation, and vascular thrombosis

1–2

Inflammatory exudate, aggregates of stromal cells (stromal balls) with or without

2–4

  hypertrophic surface epithelial cells, diffuse

 


* At ultrastructural level.

During the first 4 postovulatory days, occasional mitoses are seen in the glandular epithelium. The glands are engaged in intracellular synthesis, but not as yet in active extracellular secretion of glycoproteins. On cycle days 19 and 20 (PODs 5 and 6), the intracellular secretory products are extruded into the glandular space by apocrine-type secretion. This is characterized by protrusions and eventual detachment of the apical portion of cells containing glycoproteins. Transudation of plasma from circulating blood in the endometrial mucosa also contributes to uterine secretory fluids. The peak of intraglandular secretions on cycle day 21 (POD 7) coincides with the time of implantation of the free blastocyst if fertilization has taken place in this cycle. Nucleic acid synthesis by gland cells ceases as apocrine secretory activity is initiated by day 19 (POD 5) (see Fig. 7). This correlates with total lack of mitoses in the glands during the mid and late periods of the secretory phase.4,5,16 Inhibition of mitosis has been attributed to rising levels of postovulatory progesterone, which antagonizes the action of estradiol by decreasing estrogen receptors17 and by increasing the progesterone-specific enzyme 17β-hydroxydehydrogenase.13

This enzyme converts estradiol into estrone, which leaves the target cell with negligible stimulatory effect on the nucleus.13 As a result, an increase in 17β-hydroxydehydrogenase lowers the concentration of estradiol and its products (i.e., specific receptors for estradiol) in the tissue and increases estrone sulfotransferase.1,2 It has been suggested that in mice, progesterone induces the epithelial cells to enter a nondividing (G0) stage of the cell cycle during decidualization.20

For accurate dating purposes from cycle day 21 (POD 7) on, the pathologist relies on changes in the stroma, rather than in the glands. These include edema, coiling of spiral arterioles, and predecidualization of the stroma (Fig. 11A-C). These alterations are possibly mediated by prostaglandin F(PGF) and prostaglandin (PGE2). Indeed, estradiol stimulates the production of PGF, whereas progesterone stimulates the synthesis of both PGFand PGE2 in vitro.21 PGE2 presumably promotes capillary permeability and stromal edema via histamine, whereas vascular endothelial growth factor is a potent mitogen of endothelial cells. Endometrial vascular proliferation at the implantation site is related to the blastocyst rather than to histamine or PGE2. The blastocyst has a unique biologic property that is shared only with tumor cells producing the so-called angiogenesis factor, a substance capable of inducing growth of new capillaries.22 Receptors for human chorionic gonadotropin and luteinizing hormone are present in vascular smooth muscle cells and endothelium, suggesting their possible role in regulating blood flow.23

Fig. 11. Secretory endometrium. A. Cycle day 22 (POD 8) characterized by marked stromal edema (×50). B. Scanning electron microscopy of spiral arteriole on cycle day 23 (×100). C. Predecidual cells with large, round nuclei and cytoplasm. Note well-defined cellular membranes producing a “honeycomb” pattern. Mitoses are seen ( arrow) (×450). D. Ultrastructure of predecidual cells containing membrane-bound autophagosomes ( arrows) with incorporated collagen fibers (×8000).

PGF, Ki-67, and other peptides are responsible for the predecidual transformation and growth of spindle-shaped stromal cells.24 Estradiol is not involved in this process because decidualized cells have no receptors for estradiol. This change consists of cytonuclear enlargement with tetraploid nuclei resulting in plump, liver-like epithelioid cells (Fig. 11C). Predecidualization (not pseudodecidualization) is accompanied by an increase in nuclear DNA synthesis, mitotic activity,16 and the formation of a pericellular laminin substance.25 The latter is typical of epithelial cells and is believed to be related to the midsecretory phase peak of estradiol plasma levels. Although progesterone plasma levels are also elevated during this period of the cycle, progesterone-dependent 17β-hydroxydehydrogenase appears to be a specific enzyme only for the endometrial gland cells.13 Consequently, predecidual cells are relatively independent of the growth-inhibitory effect of progesterone.

Predecidual cells are of stromal origin. They have mesenchymal-related (e.g., vimentin, desmin), not epithelial-related (e.g., cytokeratin) antigens.4 They represent precursor forms of gestational decidual cells (decidua vera). Because they develop after implantation, they are not involved in the implantation process per se. The cells have several metabolic functions related either to pregnancy or, if conception has not occurred, to menstrual breakdown of the endometrium. For example, prolactin is produced by decidual cells and is related to osmoregulation of amniotic fluid.15 After implantation, the decidual cells appear to control the invasive nature of the normal trophoblast,26,27 for a lack of decidual reaction in the endometrium is accompanied by deep myometrial implantation of the placenta (i.e., placenta accreta, increta, percreta).

Decidual tissue during early periods of gestation is rich in lymphocytes, natural killer cells and macrophages. The latter are observed near nidation sites, are of the major histocompatibility complex (MHC) class II type, and have the potential to present fetal antigens to T-lymphocytes. In addition, they secrete monokines and have immunosuppressive activity.28

In the nongestational endometrium, predecidual cells are engaged in phagocytosis and digestion of extracellular collagen matrix13 (Fig. 11D), and these cellular activities may contribute to menstrual breakdown of the endometrium. Uterine decidual response may be induced experimentally both in vivo and in vitro in the prepubertal rat maintained on progesterone by PGF.24 Indomethacin, an inhibitor of prostaglandin synthesis, prevents decidualization, providing supporting evidence for the concept of prostaglandin-mediated decidual reaction. The presence of progesterone, however, appears to be a prerequisite for decidualization, for without it, no such reaction is observed in vitro.24 Predecidual transformation of stromal cells begins around the arterioles on day 23 (POD 9) and later involves the stroma under the surface epithelium, producing the compact layer by day 25 (POD 11).

By the 26th (POD 12) day of the cycle, the predecidual stromal reaction under the surface epithelium and around the arterioles fuses together, forming large sheets of predecidua. One day later, this confluence may involve the upper two thirds of the functional layer. In addition to marked predecidualization, the stroma on cycle days 26 (POD 12) and 27 (POD 13) is associated with a progressively increasing number of extravasated polymorphonuclear leukocytes (Fig. 12) and the so-called endometrial granulocytes ( Körnchenzellen), or K-cells.16,29 These granulocytes have a granular, eosinophilic, cytoplasmic substance and resemble eosinophils except for having a single, round (nonlobulated) nucleus. They are members of the large granular lymphocyte series. They are particularly numerous during the first trimester of pregnancy and may play a role in placentation. By day 28 (POD 14), the spiral arterioles become dilated, and fissures appear in the compact layer (see Fig. 4A). These fissures contain edematous fluid, red blood cells, and acute inflammatory exudate.

Fig. 12. Secretory endometrium. Cycle days 26 and 27 (PODs 12 and 13) are marked by predecidualization of the functional layer, which is scattered with inflammatory cells. Glands demonstrate secretory “exhaustion,” with inspissated intraglandular secretions (×100).

The cyclic endometrium, as with many other tissue systems in the body, is subject to two fundamental types of cell death: apoptosis and necrosis. Apoptosis, or programmed, multifocal single cell death plays a complementary but opposite role to mitosis in normal tissue homeostasis. It is considered to be the major process responsible for cell death in various physiologic cell-turnover and differentiation events in both the embryo and the adult.30 Histologically, apoptosis is recognized by multiple fragments of condensed, shrunken nuclear material and cytoplasm of single cells. These alterations were traditionally called “polydust” before the true origin of this nuclear debris was recognized.4 These apoptotic bodies are subsequently engulfed by adjacent cells. An inflammatory reaction composed of leukocytes is generally absent in association with apoptotic bodies. Apoptosis is seen in both gland cells and predecidual cells, both in vivo and in vitro.31 The process is likely to be initiated by increased levels of tumor suppressor p53 and transforming growth factor-β due to severe (irreversible) DNA damage. Whether apoptosis is produced by a single mechanism of endonuclease activation leading to the hallmark of apoptosis, which is internucleosomal DNA cleavage and subsequently DNA fragmentation is not clear.32 In vitro experiments in the rodent suggest that apoptosis in endometrial stromal cells, including their decidual variants, is induced by transforming growth factor-β2 via an autocrine or paracrine mechanism.31 The extent that apoptosis contributes to endometrial degeneration and gestational decidual regression is not clear.

Also unclear is whether apoptosis is more or less important than tissue necrosis. Indeed, the endometrium demonstrates morphologic evidence of coagulative tissue necrosis in response to vasoconstriction of basal arteries and ischemia. The necrotic tissue with increased hydrolytic enzyme activity is characterized by collapse of the upper two thirds of the functional layer. It contains tissue fragmentation with swelling of the cells' nuclei and membrane disruption. The final event is heterolysis of dead cells due to the action of inflammatory cells invading the necrotic tissue.

Electron microscopy combined with enzyme-tracing studies demonstrates that in the absence of conception, the endometrium undergoes gradual involution, degeneration, and ischemic necrosis during the last 5 days of the cycle.5,6,16,33,34 During the proliferative phase, estradiol stimulates the development of Golgi complex-derived primary lysosomes, many of which contain acid phosphatase, a potent lytic enzyme (see Fig. 9A). Primary lysosomes are present in the epithelial, stromal, and endothelial cells of the functional layer of the endometrium.16,33 During the first half of the luteal phase, lytic enzymes, including acid phosphatase, are confined to membrane-bound lysosomes.

Their release is presumably inhibited by the membrane-stabilizer effect of progesterone. The sudden decrease in estradiol and progesterone levels causes a failure in the membrane integrity of acid phosphatase-containing lysosomes. As a result, the lysosomal enzyme is released into enzyme-free autophagic bodies filled with sequestered intracellular elements. The destructive action of the acid hydrolases leads to digestion of the incorporated cytoplasmic elements, producing empty vacuoles (Fig. 13). Thus, portions of the cytoplasmic substance are removed by lysosomal autodigestion. It also has been suggested that the gradual increase in lysosome-membrane permeability may result in direct intracellular and intercellular diffusion of the lytic enzymes, including type II collagenase found in predecidual cells. Relaxin, which is found in gland and decidualized cells, stimulates collagenase and plasminogen activators, contributing to tissue breakdown.15 It destroys the glandular and stromal cells as well as the vascular endothelium. Vascular luminal surface membrane injury promotes platelet deposition, release of prostaglandins, vascular thrombosis, and eventually tissue necrosis.16

Fig. 13. Secretory endometrium, cycle day 27 (POD 13). Portion of gland cell with prominent membrane-bound autophagosomes in various stages of enzymatic digestion of incorporated organelles and membranes. In the middle, an empty vacuole is seen, indicating total digestion of incorporated material (×9000).

Recently, a cytoplasmic pore-forming protein, perforin, which is present in the cytoplasmic granules of cytotoxic T-lymphocytes and natural killer cells, has been demonstrated in the human endometrium.35 Perforin-positive cytotoxic lymphocytes (CD3, CD56, and CD8) become numerous during the second phase of the postovulatory phase of the menstrual cycle, and their colonization is progesterone mediated. Perforin forms pores on the target cell membrane, enhancing passage of cytotoxic molecules that in turn produce or contribute to target cell death. Their maximum accumulation before menses and their participation in the regression of nongestational corpus luteum35 and deciduoma in the rodent may suggest that perforin-positive cytotoxic cells may play an important role in the menstrual breakdown of the endometrium.

PGF and PGE2 increase significantly in the secretory endometrium by the 25th day of the cycle and reach maximum concentrations during the menstrual period,36 but PGF increases to a much greater degree than does PGE2. It has been speculated that the high levels of the potent vasoconstrictors endothelin, which acts on spiral arterioles, and PGF, which is seen during menstruation, may stimulate the onset of bleeding via vasoconstriction of spiral arterioles at the endometrial-myometrial junction and the expulsion of degenerated endometrium through myometrial contractions, respectively.34,37,38

Back to Top
REFERENCES

1. Press MF, Goebl-Novsek M, King WJ et al: Immunohistochemical assessment of estrogen receptor distribution in the human endometrium throughout the menstrual cycle. Lab Invest 51: 495, 1984

2. Bergeron C, Ferenczy A, Shyamala G: Distribution of estrogen receptors in various cell types of normal, hyperplastic and neoplastic human endometrial tissues. Lab Invest 58: 338, 1988

3. Katzenellenbogen BS: Dynamics of steroid hormone receptor action. Annu Rev Physiol 42: 17, 1980

4. Ferenczy A: Anatomy and histology of the uterine corpus. In Kurman RJ (ed): Blaustein's Pathology of the Female Genital Tract, 4th ed, pp 327–366. New York, Springer-Verlag, 1994

5. Noyes RW: Normal phases of the endometrium. In Norris HJ, Hertig AT, Abell MR (eds): The Uterus, pp 110–135. Baltimore, Williams & Wilkins, 1973

6. Ferenczy A: Regeneration of the human endometrium. In Fenoglio CM, Wolff M (eds): Progress in Surgical Pathology, pp 157–173. New York, Masson Publishing, 1980

7. Kok P: Separation of plasminogen activators from human plasma and a comparison with activators from human uterine tissue and urine. Thromb Haemost 4: 734, 1979

8. Hopfer H, Rinehart CA, Vollmer G, Kaufman DG: In vitro interactions of endometrial stroma and epithelial cells in Matrigel: Reorganization of the extracellular matrix. Pathobiology 62: 104, 1994

9. Ferenczy A, Bergeron C: Histology of the human endometrium: From birth to senescence. In Bulletti C, Gurpide E (eds): The Primate Endometrium. Ann NY Acad Sci 622: 6, 1991

10. Ferenczy A, Bertrand G, Gelfand MM: Proliferation kinetics of human endometrium during the normal menstrual cycle. Am J Obstet Gynecol 133: 859, 1979

11. Gorski J, Toft D, Shyamala G et al: Hormone receptors: Studies on the interaction of estrogen with the uterus. Recent Prog Horm Res 24: 45, 1968

12. Epivanova OI: Effects of hormones on the cell cycle. In Baserga R (ed): The Cell Cycle and Cancer, pp 145–190. New York, Marcel Dekker, 1971

13. Gurpide E, Tseng L, Gusberg SB: Estrogen metabolism in normal and neoplastic endometrium. Am J Obstet Gynecol 129: 809, 1977

14. Gorski J, Stornshak F, Harris J, Wertz N: Hormone regulation of growth: Stimulatory and inhibitory influences of estrogens on DNA synthesis. J Toxicol Environ Health 3: 271, 1977

15. Giudice LC, Ferenczy A: The endometrial cycle: Morphologic and biochemical events. In Adashi EY, Rock JA, Rosenwaks Z (eds): Reproductive Endocrinology, Surgery, and Technology, pp 271–300. New York, Raven Press, 1995

16. Ferenczy A, Guralnick M: Endometrial microstructure: Structure-function relationships throughout the menstrual cycle. Semin Reprod Endocrinol 1: 205, 1983

17. Clark JH, Hseuh AJW, Peck EJ Jr: Regulation of estrogen receptor replenishment by progesterone. Ann N Y Acad Sci 286: 161, 1977

18. Marshall RJ, Jones DB: An immunohistochemical study of lymphoid tissue in human endometrium. Int J Gynecol Pathol 7: 225, 1988

19. Rebello R, Green FHY, Fox H: A study of the secretory immune system of the female genital tract. Br J Obstet Gynaecol 82: 812, 1975

20. Zhinkin LD, Samoshkina NA: DNA synthesis and cell proliferation during formation of deciduomata in mice. J Embryol Exp Morphol 17: 598, 1967

21. Neulen J, Zahradnik HP, Flecken U, Breckwoldt M: Effects of estradiol-17β and progesterone on the synthesis of prostaglandin F, prostaglandin E2 and prostaglandin I2 by fibroblasts from human endometrium in vitro. Prostaglandins 36: 17, 1988

22. Folkman J: The vascularization of tumors. Sci Am 234: 58, 1976

23. Reshef E, Lei ZM, Rao CV et al: The presence of gonadotropin receptors in nonpregnancy human uterus, human placenta, fetal membranes and decidua. J Clin Endocrinol Metab 70: 421, 1990

24. Sananes N, Baulieu EE, Le Goascogne C: Prostaglandin(s) as inductive factor of decidualization in the rat uterus. Mol Cell Endocrinol 6: 153, 1976

25. Wewer UM, Faber M, Liotta LA, Albrechtsen R: Immunochemical and ultrastructural assessment of the nature of the pericellular basement membrane of human decidual cells. Lab Invest 53: 624, 1985

26. Kerns M, Lala PK: Life history of decidual cells: A review. Am J Reprod Immunol 3: 78, 1983

27. Bigazzi M: Specific endocrine function of human decidua. Semin Reprod Endocrinol 1: 343, 1983

28. Mizuno M, Aoki J, Kimbara T: Functions of macrophages in human decidual tissue in early pregnancy. Am J Reprod Immunol 31: 180, 1994

29. Dallenbach FD, Dallenbach G: Immunohistologische untersuchungen zur lokalisation des relaxins in menschlichen placenta und decidua. Virchows Arch (A) 337: 301, 1964

30. Buja LM, Eigenbrodt ML, Eigenbrodt EH: Apoptosis and necrosis: Basic types and mechanisms of cell death. Arch Pathol Lab Med 117: 1208, 1993

31. Moulton BC: Transforming growth factor-β stimulates endometrial stromal apoptosis in vitro. Endocrinology 134: 1055, 1994

32. Stewart BW: Mechanisms of apoptosis: Integration of genetic, biochemical, and cellular indicators. J Natl Cancer Inst 86: 1286, 1994

33. Henzl MR, Smith RE, Boost G, Taylor ET: Lysosomal concept of menstrual bleeding in humans. J Clin Endocrinol Metab 34: 860, 1972

34. Christiaens GCML, Sixma JJ, Haspels AA: Morphology of haemostasis in menstrual endometrium. Br J Obstet Gynaecol 87: 425, 1980

35. Hameed A, Fox WM, Kurman RJ et al: Perforin expression in human cell-mediated luteolysis. Int J Gynecol Pathol 14: 151, 1995

36. Abel MH: Production of prostaglandins by the human uterus: Are they involved in menstruation? Res Clin Forum 1: 33, 1979

37. Markee JE: Menstruation in intraocular endometrial transplants in the Rhesus monkey. Contrib Embryol Carnegie Inst Washington 28: 219, 1940

38. Lindeman HJ: Hysteroscopic data during menstruation. In Beller FK, Schaumacher GFB (eds): The Biology of the Fluids of the Female Genital Tract, pp 225–229. Amsterdam, Elsevier-North Holland, 1979

Back to Top