This chapter should be cited as follows:
Timmerman S, Kotlarz A, Glob Libr Women's Med
ISSN: 1756-2228; DOI 10.3843/GLOWM.419643
The Continuous Textbook of Women’s Medicine Series – Gynecology Module
Volume 10
Ultrasound in gynecology
Volume Editors:
Professor Antonia Testa, Agostino Gemelli University Hospital, Rome, Italy
Professor Simona Maria Fragomeni, Agostino Gemelli University Hospital, Rome, Italy
Chapter
Endometriosis and Adenomyosis: Ultrasound Features and Diagnosis
First published: October 2025
Study Assessment Option
By answering four multiple-choice questions (randomly selected) after studying this chapter, readers can qualify for Continuing Professional Development points plus a Study Completion Certificate from GLOWM.
See end of chapter for details.
INTRODUCTION
Although imaging has been regarded over the past decades as a useful adjunct in the identification of patients with endometriosis, definitive diagnosis has traditionally required direct visualization and histological confirmation. Recently, this reliance on invasive diagnostic procedures has been increasingly challenged, favoring non-invasive diagnostic approaches instead.1,2
This chapter examines the role of ultrasound imaging in the diagnosis of endometriosis and adenomyosis. Ultrasound is widely regarded as the first-line imaging modality in the evaluation of numerous gynecological conditions and has demonstrated strong diagnostic accuracy, particularly for detecting deep endometriosis (DE).2 When combined with magnetic resonance imaging (MRI), diagnostic performance can be further enhanced.3 However, it is important to emphasize that a negative imaging result does not rule out endometriosis, especially in cases of superficial peritoneal disease.1,4 Therefore, laparoscopy should be considered in patients with inconclusive imaging, persistent symptoms despite empirical treatment and when such treatment is deemed inappropriate.1
ASSESSMENT
A systematic approach for the assessment of the pelvis in women with suspected endometriosis was proposed by the IDEA group.5
The goal of performing imaging studies for suspected endometriosis is to try to explain underlying symptoms, map the disease location and assess its severity, in order to guide appropriate medical or surgical intervention. A structured four-step approach was proposed, in order to help identify different forms of endometriosis.
- Routine evaluation of the uterus and adnexa (including sonographic signs of adenomyosis and presence or absence of endometrioma).
- Evaluation of transvaginal sonographic ‘soft markers’ (e.g. site-specific tenderness and ovarian mobility).
- Assessment of the status of the pouch of Douglas (POD) using the real-time ultrasound-based ‘sliding sign’.
- Assessment for DE nodules in anterior and posterior compartments.
Although historically difficult to detect, superficial endometriosis (SE) may be visualized on transvaginal ultrasound (TVS) using standardized protocols, especially when soft markers or subtle peritoneal changes are present.6
Additionally, evaluation of the parametrium has recently been proposed as a supplementary step, recognizing that involvement of this region is often associated with more severe forms of endometriosis.5 Disease in this area may affect critical structures such as the ureters and the nerve fibers of the lower hypogastric plexus, as well as somatic nerves including the sacral roots.7
ADENOMYOSIS
Adenomyosis is a benign uterine disorder which is characterized by the presence of ectopic endometrial glands and stroma in the myometrium.8,9 It has long been considered a histopathological diagnosis, only possible after hysterectomy. However, due to imaging advancements, it is increasingly seen as a clinical condition.10 Adenomyosis may be diagnosed in persons with a uterus of various ages, presenting with abnormal uterine bleeding, subfertility and/or pelvic pain, but it can also occur in those who are asymptomatic.11
Common clinical and imaging diagnostic criteria have been lacking, making the literature heterogeneous and impeding meaningful comparisons. Unified terminology and definitions are crucial in both clinical and research settings as they reduce interoperator variability in myometrial assessment, enhance diagnostic accuracy of uterine pathology and enable effective evaluation of myometrial changes following medical or surgical treatments.12
Ultrasound assessment
In 2015, a consensus on terminology describing the myometrium and uterine masses on ultrasound was published by the international Morphological Uterus Sonographic Assessment (MUSA) group.13 Subsequently, in 2022, the MUSA group published a revised consensus on the classification of features as direct or indirect signs of adenomyosis, based on a modified Delphi procedure.14 Direct features of adenomyosis indicate the presence of ectopic endometrial tissue within the myometrium. These include myometrial cysts, hyperechogenic islands and echogenic subendometrial lines and buds disrupting the junctional zone (JZ). Indirect features, which are secondary changes resulting from ectopic endometrium and subsequent hypertrophic myometrial reaction,15 include a globular uterus, asymmetrical myometrial thickening, fan-shaped shadowing, translesional vascularity and an irregular or interrupted JZ (Figure 1).14

1
Schematic representation of direct and indirect Morphological Uterus Sonographic Assessment (MUSA) features of uterine adenomyosis, adapted from Vanthienen et al.16
A consensus on how to assess and describe a uterus with adenomyosis has been published and consists of seven items.17 These are also reflected in MRI classifications and provide a useful framework for both clinical practice and research purposes.18,19
- Presence. The myometrium should be classified as either normal or abnormal. If abnormal, it should be further categorized based on the presence of adenomyosis, myoma or sarcoma, using MUSA terminology. Direct and indirect MUSA features indicative of adenomyosis, as stated above, should be described. The differential diagnosis between adenomyosis and fibroids (uterine myomas) is essential, specifically when contemplating medical treatment or surgical options.20 Fibroids grow by pushing adjacent myometrium aside, and, while the myometrium may appear compressed or thinned, it recovers after myomectomy without losing healthy tissue. In contrast, adenomyosis involves ectopic endometrial tissue that infiltrates the myometrium without compressing it, often leading to significant myometrial loss when resected. While distinguishing between an adenomyoma and a fibroid with cystic degeneration can be challenging on ultrasound, the difference between a typical fibroid and diffuse adenomyosis is usually clear. Fibroids are well-defined, round lesions, whereas adenomyosis lesions are typically ill-defined. Fibroids show varying echogenicity, while adenomyosis presents as a heterogeneous, cystic ultrasound pattern due to the presence of endometrial tissue or cysts within the myometrium.21
- Location. This should be specified as anterior, posterior, left lateral, right lateral or fundal. To determine accurately the site of adenomyosis, the uterus should be assessed in both sagittal and transverse planes.
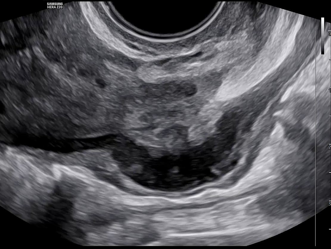
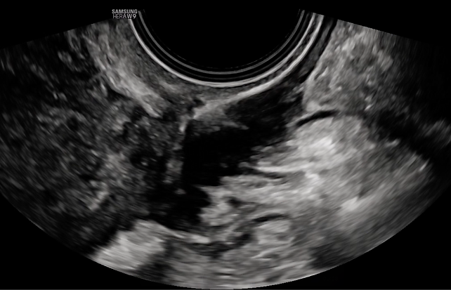
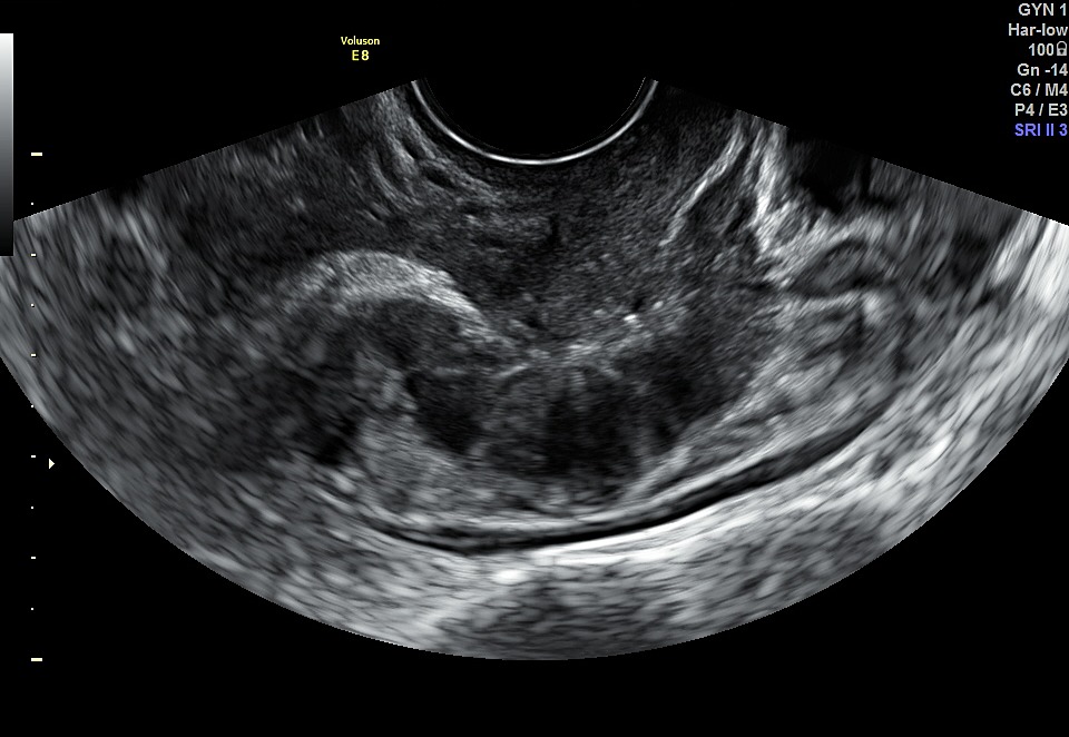
- Differentiation (focal/diffuse). Adenomyosis should be classified as focal or diffuse based on the proportion of normal myometrium surrounding the lesion when assessed in the largest sagittal section. Adenomyosis is defined as focal when > 25% of the lesion's circumference is surrounded by normal myometrium, and diffuse (Figures 2 and 3) when < 25% is surrounded by normal tissue. If differentiation is unclear, it should be classified as diffuse. Mixed-type adenomyosis refers to both focal and diffuse lesions in different uterine locations. Future studies are needed to assess the use of transverse and coronal planes for classification. A distinct, hypertrophic myometrium surrounding focal adenomyosis is termed an adenomyoma.
- Cystic/non-cystic. Cysts, defined as myometrial cysts with a diameter ≥ 2 mm, should be reported for all types of adenomyosis (focal, diffuse, mixed-type and adenomyoma). Cystic fluid is typically anechoic or of low-level echogenicity and may have an echogenic rim. Only the largest cyst’s diameter needs to be measured, and the presence of an echogenic rim should be noted.
- Uterine layer involvement. Evaluating involvement of the uterine layers in adenomyosis in terms of the number and type of layers affected, may depend on the etiology and correlate with clinical presentation. Adenomyosis can affect one or more of the layers: the JZ (inner myometrium), middle myometrium (between the JZ and vascular arcade) and outer myometrium (subserosal layer). If the outer myometrium is involved, the serosa may remain intact or be disrupted. To assess serosal involvement, note any fixed or sliding viscera against the uterus, such as bowel. Layer involvement is classified as Type 1, 2 or 3, with combinations recorded as Type 1–2, Type 2–3 or Type 1–3. Using color Doppler to evaluate vascularity and location relative to the vascular arcade may help differentiate the middle and outer layers. Future studies are needed to assess the feasibility and clinical significance of distinguishing these layers.
- Extent. The proportion of the uterine corpus that is affected should be assessed subjectively, classified as mild (< 25%), moderate (25–50%) or severe (> 50%). When lesions are present in different locations, the total volume of all lesions should be estimated. While the extent may not correlate with symptom type or severity, it can be useful for research purposes.
- Size. The largest diameter of the adenomyosis lesion(s) should be measured. Clinically, this measurement should be taken in the plane in which the largest lesion’s diameter is greatest. For diffuse lesions, the myometrial wall thickness should be recorded, along with the affected site.

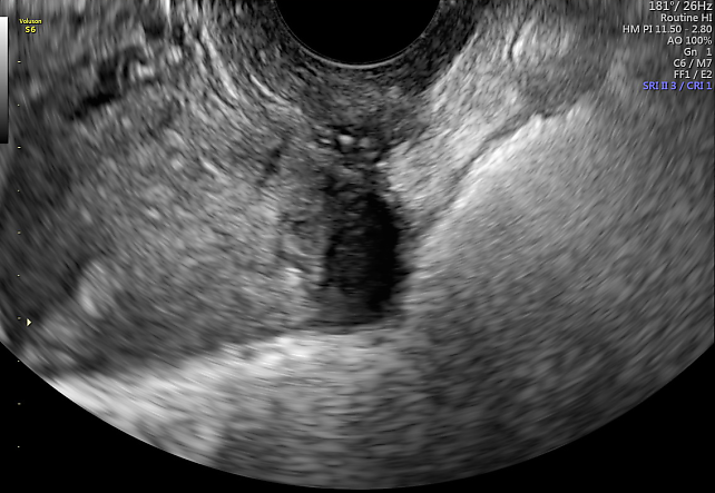
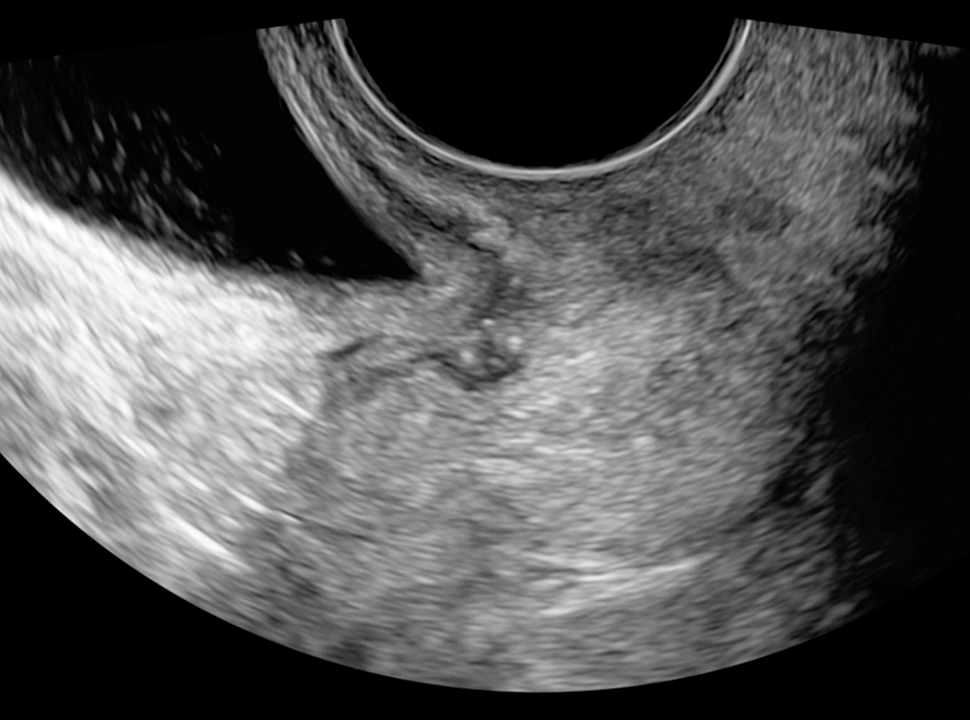
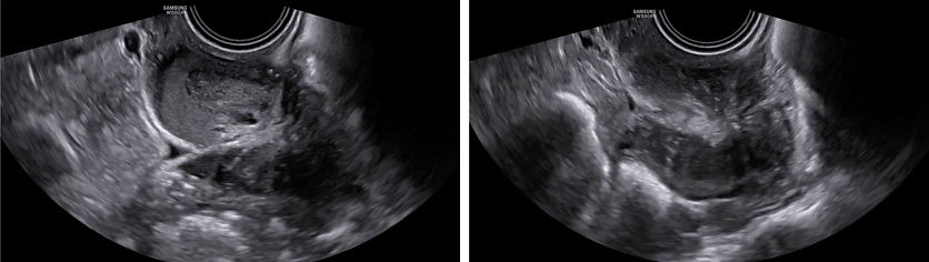
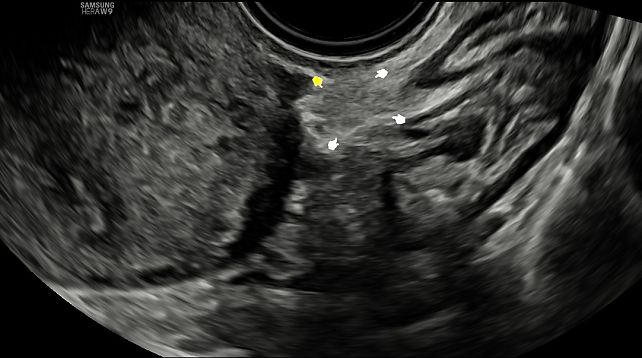
2
Ultrasound image showing an enlarged globular uterus, with diffuse fan-shaped shadowing and an irregular junctional zone. This is indicative of severe diffuse adenomyosis, Type 1–3.

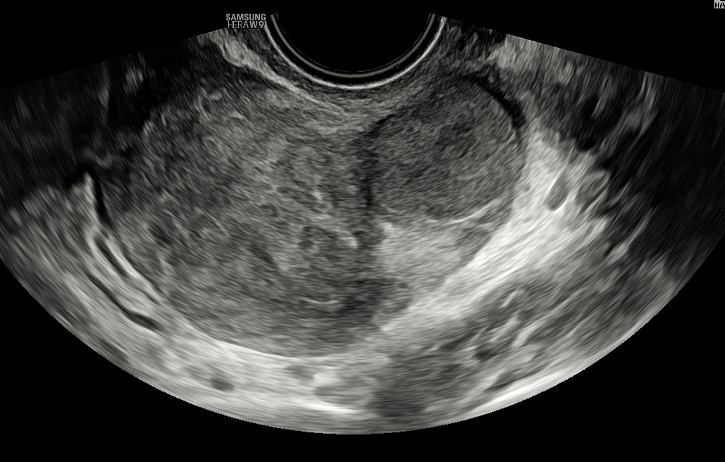
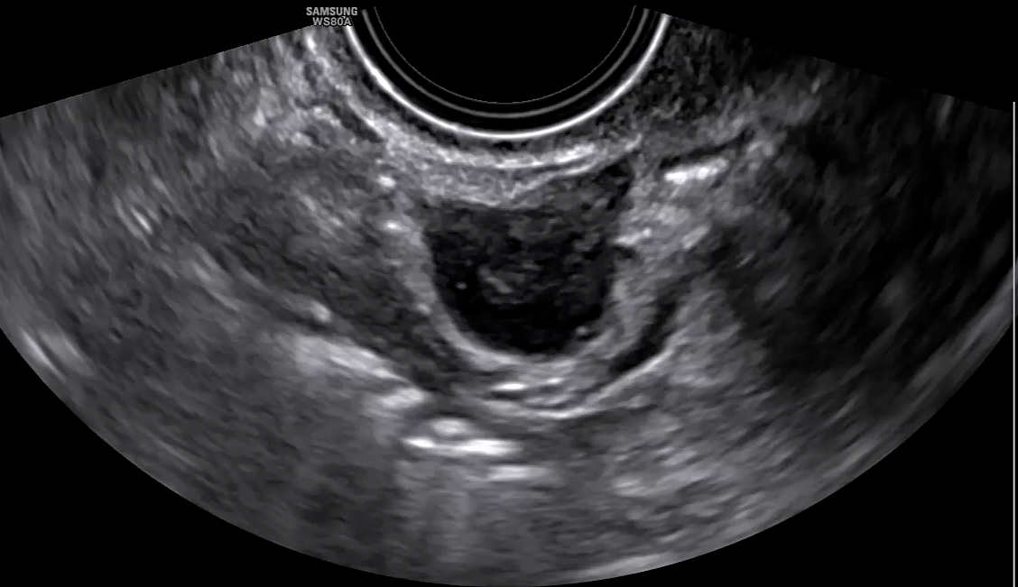
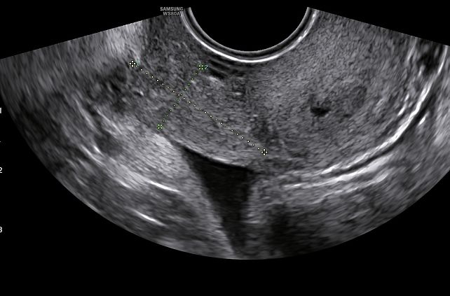
3
Ultrasound image showing asymmetry between the anterior and posterior myometrium and an irregular junctional zone. This is indicative of moderately diffuse adenomyosis, Type 1–2.
Focal adenomyosis lesions
Different types of focal lesions have been described in the literature, based on their sonographic and histopathologic features. A recent paper described five distinct types.22
- Focal adenomyosis in the outer myometrium (FAOM). In these cases, there is an ill-defined, predominantly hypoechogenic nodule located in the outer myometrium (external to the arcuate vessels), often with acoustic shadowing and minimal/no vascularization (Figure 4). There is a strong correlation between the presence of FAOM and DE, particularly in the posterior compartment, as well as in the vesicouterine area.23,24 It is hypothesized that aggressive endometriotic lesions not only infiltrate the bowel, posterior vaginal wall, ureters and bladder, but also extend into the outer uterine myometrium. The close association between FAOM and DE may result from shared pathogenic pathways between these two conditions.24
- Focal area of direct signs of adenomyosis in the inner myometrium. This is characterized by an irregular or disrupted JZ. Ectopic tissue may lead to localized, asymmetrical thickening of the myometrial wall on the affected side, and fan-shaped shadowing could occur if small myometrial cysts are present. The pathogenesis of this type of focal adenomyosis is likely due to the invasion or development of ectopic endometrial tissue from the uterine cavity through an interrupted or absent JZ. This form is likely to progress into more diffuse disease over time.
- Hyperechogenic islands with or without small myometrial cysts (mean diameter <10 mm) in the middle/outer myometrium without contact with the JZ or uterine cavity. In these cases, both direct and indirect features of adenomyosis should be carefully assessed, as the most conspicuous lesion may represent part of a more diffuse adenomyotic process. Although a 10-mm diameter cut-off is often used to differentiate between small cysts and macrocysts, this threshold is arbitrary.
- Macrocystic lesion in the myometrium without contact with JZ or uterine cavity. Some lesions appear to be exclusively macrocystic (greater than 10 mm in diameter), consisting of one or more large, well-defined hypoechogenic cysts within the myometrium (Figure 5), typically surrounded by an echogenic rim. Retroacoustic enhancement is observed behind the central part of the cyst, while posterior to the lateral part, edge shadowing can also be present. Some of these lesions show other direct features of adenomyosis, with the most likely hypothesis being invasion from the uterine cavity with progressive development of one or more microcysts within the ectopic endometrial tissue. In the absence of direct features, de-novo development of a cystic lesion within the myometrium is more probable. The cyst content may exhibit a ground-glass or hemorrhagic appearance.
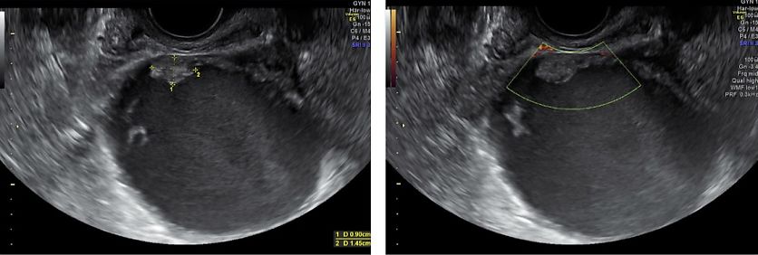
- Accessory cavitated malformation (ACUM) in the outer myometrium. ACUM is defined as a cavitated lesion, surrounded by a myometrial mantle, in continuity with the anterolateral uterine wall and located beneath the insertion of the round ligament and the interstitial portion of the Fallopian tube (Figures 6 and 7). The uterine cavity should be normal, in contrast to that in other uterine anomalies such as a rudimentary horn and its associated unicornuate hemiuterus.25,26 The lesions have a predominantly ground-glass echogenicity, with a smooth inner lining, corresponding to hemorrhagic cyst content and functional surrounding endometrium, respectively. ACUMs have been described using different terms ranging from ‘juvenile cystic adenomyosis’ to ‘uterus-like mass’. It is hypothesized that this is a newly recognized type of Mullerian anomaly, other theories suggesting a specific form of metaplasia.27,28

4
Ultrasound image of focal adenomyosis with a hypoechogenic nodule in the posterior outer myometrium, adherent to the distal bowel.

5
Well-circumscribed adenomyoma in a 27-year-old patient, presenting as a heterogeneous, hypoechoic intramyometrial lesion.

6
Diagram showing typical anatomical location of accessory cavitated uterine malformation.25

7
Ultrasound images of accessory cavitated uterine malformation (arrows), with uterine cavity denoted by star.25
Diagnostic performance of ultrasound and MRI
Ultrasound imaging is widely available and relatively inexpensive and offers a dynamic examination without need for patient preparation. Furthermore, it has no contraindications and is relatively accurate in expert hands, making it the first-line imaging modality of choice in gynecology.29 In a systematic review of the performance of TVS in diagnosing adenomyosis, pooled sensitivities, pooled specificities and pooled positive likelihood ratios were 0.72–0.82, 0.85–0.81 and 4.67–3.7, respectively, but with a high heterogeneity between the studies. MRI had a pooled sensitivity of 0.77, specificity of 0.89, positive likelihood ratio of 6.5 and negative likelihood ratio of 0.2. The results suggest that MRI is more useful than ultrasound in the diagnosis of adenomyosis, and could be used as a second-line test.18 However, such diagnostic performance figures should be interpreted with caution: the reference test (i.e. histology of hysterectomy specimen) is not infallible and may be associated with false-negative results, the index test used may be outdated (e.g. in systematic reviews including papers published more than 5 or 10 years ago), and the examiners’ experience level may vary widely for both imaging modalities.21
Currently, there is a lack of well-designed prospective studies evaluating the diagnostic and clinical significance of the various features described in the literature. While it is commonly believed that the detection of more features increases the likelihood of diagnosing adenomyosis, the specific importance of each feature, as well as the role of clinical symptoms such as pain or uterine bleeding, remain unclear. Consequently, therapeutic implications should be approached with caution.21
DEEP ENDOMETRIOSIS
DE refers to lesions that infiltrate pelvic structures beneath the peritoneal surface and are typically associated with fibrosis and mass effect.5,30
Anterior compartment
DE in the anterior compartment involves the vesicouterine fold, bladder and ureters.5 Although they are less frequently affected than posterior structures, DE in the anterior compartment requires detailed ultrasonographic assessment as it can lead to serious urological consequences, such as silent ureteral obstruction and impaired renal function. Epidemiological studies indicate that DE in the anterior compartment is present in 10–20% of patients with pelvic endometriosis. Specifically, bladder involvement occurs in 6–8% of women with endometriosis, vesicouterine fold lesions in 10% and ureteral involvement in 0.1–1.0%. However, these figures increase to 5–10% in cases of severe DE.31,32,33
Vesicouterine fold
Lesions at the vesicouterine fold are best assessed in the midsagittal plane using TVS with a partially filled bladder (Figure 8, Video 1). DE in this region typically presents as hypoechoic thickening or nodules on the anterior uterine serosa, which often have ill-defined margins that blend into the surrounding tissue. The absence of the 'sliding sign' between the bladder and uterus suggests adhesions or peritoneal infiltration. Dynamic scanning with gentle pressure applied to the probe may reveal restricted uterine mobility or focal tenderness over the lesion.31

8
Infiltration at the vesicouterine fold with a negative sliding sign between the uterus and bladder.
1
By pressing against the uterus and the bladder, one can observe the sliding sign in the vesicouterine fold. On the video, an endometriotic bladder nodule is the cause of a negative sliding sign.
Bladder
The bladder is the most affected organ in cases of DE of the urinary tract. Lesions typically arise from the posterior bladder wall or dome (Figures 9–12), often within the detrusor layer. On TVS, these appear as hypoechoic nodules, sometimes with posterior acoustic shadowing. The lesions can be intramural or transmural, and they may protrude into the bladder lumen (Figures 10–12). Optimal bladder filling is essential for assessing wall integrity and nodule extent. The lesion should be evaluated in three orthogonal planes and its maximal dimensions should be measured, as well as the distance to the ureteral orifices if they are visible.5
Color Doppler can help distinguish between fibrotic and vascularized lesions (Figure 12). When ultrasound findings are ambiguous, or when the nodule is situated cranially, transabdominal ultrasound or MRI may be used as complementary tools.31,3

9
Transabdominal three-dimensional ultrasound image (3D) of the urinary bladder triangle demonstrating normal anatomy.

10
Bladder endometriotic nodule visualized on three-dimensional ultrasound.

11
Examples of bladder endometriotic nodule with a negative sliding sign, indicating infiltration between the bladder and the anterior uterine wall.

12
Typical appearance of a bladder endometriotic nodule: hypoechoic, irregular lesion protruding into the bladder wall. On color doppler, it shows moderate vascularization.
Ureters
Ureteral endometriosis (UE) is classified as extrinsic (fibrotic compression) or intrinsic (intraluminal infiltration), with extrinsic being more common.5 Although UE may be asymptomatic, it carries the risk of progressive hydronephrosis and renal damage. TVS can indirectly identify UE through visualization of hydronephrosis or ureteral dilatation (> 6 mm) and directly as a hypoechoic band or nodule compressing or deviating the distal ureter34 (Figure 13, Video 2).
The distal ureters can be identified laterally and posteriorly to the uterine arteries in the longitudinal plane. Deviation, thickening or reduced mobility of the ureter at this level should raise suspicion of UE involvement. Assessment of ureteral jets with color Doppler is recommended to confirm ureteral patency. In cases of hydronephrosis or loss of ureteric visualization, further imaging, such as renal ultrasound (Figure 14), computed tomography (CT) scan or MRI scan, should be considered.32
Both ureters and kidneys should be systematically evaluated in all patients with DE, particularly when sacrouterine ligament (SUL) or parametrial nodules are present. Ureteral involvement is often underestimated yet has significant surgical and functional implications.33,35

13
Parametrial fibrosis causing distal ureteral stenosis with proximal dilatation.
2
Dynamic imaging of the ureter, showing fibrosis in the parametrium and ureteral stenosis with proximal dilation.

14
Renal assessment is an essential part of the endometriosis ultrasound protocol. Up to 3% of patients present with silent hydroureteronephrosis.
Posterior compartment
DE involving the posterior compartment (Figure 15) is a common and clinically significant condition, particularly affecting women with chronic pelvic pain, dyschezia and deep dyspareunia. Precise ultrasound mapping is essential for preoperative planning and involves a systematic transvaginal assessment of the following key anatomical sites: the rectum and rectosigmoid junction, the rectovaginal septum, the posterior vaginal fornix, the SULs and the torus uterinus.5
Posterior compartment DE is reported in over 60% of patients with surgically confirmed disease. Specifically, bowel endometriosis affects 8–12% of patients; SUL lesions are present in 53–63%; posterior vaginal involvement is present in 13–19%; and lesions of the rectovaginal septum are present in 6–10%.5,36,37

15
Deep endometriosis in the posterior compartment involving the posterior vaginal fornix, rectovaginal septum and infiltrating the muscular layer of the bowel.
Bowel (rectum, rectosigmoid, sigmoid)
DE involving the bowel, most commonly the rectum and sigmoid colon, is a key aspect of posterior compartment disease. Accounting for up to 90% of intestinal endometriotic lesions, it may present with dyschezia, constipation, cyclic rectal bleeding or tenesmus in cases of low rectal involvement. The bowel has a layered appearance on ultrasound (Figure 16). TVS performed by experienced practitioners is considered the primary imaging technique for preoperative assessment.5,38

16
Layered appearance of the bowel wall on ultrasound, from outer to inner: hyperechoic serosa, hypoechoic muscularis propria (superficial and deep), hyperechoic submucosa, hypoechoic muscularis mucosa, mucosa and lumen.
Ultrasound technique
TVS, with or without bowel preparation, enables a dynamic, real-time assessment of the rectum and rectosigmoid colon. The examination should be conducted using a high-frequency transducer (≥ 7.5 MHz) in both the sagittal and transverse planes.5,36
Key ultrasound features of bowel DE include: (1) solid, hypoechoic nodules, which are typically located on the anterior wall of the rectum or the rectosigmoid junction;5,38 (2) posterior acoustic shadowing; (3) irregular outer contour; and (4) loss of the sliding sign between the bowel and adjacent structures, indicating adherence or infiltration (Video 3).5,39
3
Dynamic ultrasound imaging of a patient with severe endometriosis, resulting in adhesions and obliteration of the normal anatomical spaces (frozen pelvis). An endometriotic bowel nodule causes the uterus to be adherent to the rectosigmoid (with obliteration of the pouch of Douglas) and the right ovary (with endometrioma) cannot be normally mobilized from the uterus.
In advanced cases, elongation of lesions along the bowel axis may be observed.36 The evaluation should focus on the lesion's location, depth and relation to surrounding tissues, particularly in relation to the anal verge and posterior compartment structures.
Bowel DE lesions should be described based on:
- Location: rectum, rectosigmoid junction or sigmoid colon.
- Distance from the anal verge (AVD): critical for planning the surgical approach.
- Depth of infiltration: muscularis propria, submucosa or mucosa (rare).
- Size and number of nodules
- Percentage of circumferential involvement
These descriptors facilitate standardized reporting and optimize preoperative decision-making.5,38
The International Deep Endometriosis Analysis (IDEA) consensus defines six morphological ultrasound patterns of bowel DE:4
- Regular outline: a smooth contour without spikes or tapering (Figure 17)
- Comet sign: a lesion that progressively narrows along its axis, indicating longitudinal infiltration (Figure 18)
- Moose antler: a spiculated lesion with hypoechoic projections into the lumen, indicating transmural involvement (Figure 19)
- Combined morphology: features of both the comet sign and the moose antler appearance (Figure 20)
- Pulling sleeve sign with spikes: retracted lesion with mucosal folding and spiculations, often associated with a negative sliding sign (Figure 21)
- Pulling sleeve sign without spikes: a retracted lesion without visible spikes, also associated with reduced bowel mobility (Figure 22)
These morphologies provide a structured lexicon for consistent reporting and enhance interdisciplinary communication during preoperative planning.5,38
Accurate ultrasonographic characterization of bowel DE is essential for determining the appropriate surgical strategy. The depth and extent of bowel infiltration, as well as the AVD, influence the choice between shaving, discoid excision and segmental resection.5,36,39

17
Regular-shaped endometriotic nodule in the sigmoid colon. No spikes or tapering can be visualized.

18
A bowel nodule showing progressive narrowing along its axis (comet sign).

19
A bowel lesion displaying the 'moose-antler' sign.

20
A bowel lesion displaying features of both ‘moose-antler sign’ and ‘comet sign’.

21
Bowel lesion with 'pulling-sleeve sign' with spikes.

22
Endometriotic lesion with 'pulling-sleeve sign' without spikes.
Rectovaginal septum (RVS)
DE affecting the RVS typically appears as a hypoechoic band or nodule located between the posterior vaginal wall and the anterior rectum (Figure 23). TVS in sagittal and axial views is effective and sonovaginography using 20–40 mL ultrasound gel can enhance visualization by separating the vaginal and rectal walls.37
Lesions may extend caudally to the perineum or blend with vaginal or bowel nodules. Distinguishing between true RVS lesions and deep muscularis involvement of the vagina is critical and has been emphasized in the recent international consensus terminology, which recommends documenting vaginal muscularis involvement separately from rectovaginal or rectal disease.30

23
Endometriotic nodule involving the posterior vaginal wall and rectovaginal septum, without bowel infiltration. The bowel remains freely mobile relative to the nodule.
Posterior vaginal fornix and vaginal wall
Involvement of the posterior vaginal fornix and adjacent vaginal wall appears on TVS as hypoechoic thickening or nodular lesions located at the posterior vaginal fornix, adjacent to the posterior aspect of the cervix (Figures 15 and 24). These lesions may present with architectural distortion, reduced mobility of the posterior cervix or firm adhesions to the rectum.5 It is essential to differentiate between isolated posterior fornix involvement and deep vaginal muscularis invasion, especially when lesions infiltrate cranially towards the upper third of the vaginal wall.
Sonovaginography improves accuracy by delineating the vaginal muscularis and determining whether a lesion involves the mucosa or the deeper stromal layers. Posterior vaginal wall nodules may cause angulation of the cervix or simulate rectovaginal septum disease.

24
Cyst in the vaginal fornix with bowel involvement in a 29-year-old patient.
Sacrouterine ligaments (SULs) and torus uterinus
The SULs can be visualized using transverse or oblique parasagittal TVS views and extend from the posterior cervix laterally towards the sacrum. DE nodules appear as hypoechoic, irregular thickening with or without hyperechoic foci (fibrosis or microcalcifications) (Figure 25). The torus uterinus, a fibromuscular transverse band between the SULs, is often affected by midline nodules and should be evaluated alongside SUL disease. Findings include: (1) nodularity or asymmetry of the ligaments; (2) reduced uterine mobility; (3) site-specific tenderness on probe pressure; (4) displacement or elevation of the posterior uterus when the torus is fibrotic.
Leonardi et al. proposed classifying SUL lesions by laterality and depth, which correlates with surgical complexity.40 Reporting the torus uterinus and SULs as distinct structures, despite their anatomical continuity, can support a more accurate description of disease extent and improve preoperative assessment.30

25
Endometriotic nodules within the sacrouterine ligaments.
ENDOMETRIOMA
Endometriotic lesions in the ovary are often cystic, larger than lesions in other locations and contain blood with a dark brown color, explaining why endometriomas are often referred to as ‘chocolate cysts’. Due to shedding of intracystic endometrial foci, cyst fluid is produced, with at first no real cyst wall and only a thin layer of endometriotic tissue. Over time, however, processes such as fibrosis, acute and chronic inflammation, edema and necrosis lead to thickening and irregularity of the cyst wall.41 In pregnancy, decidualization of ectopic endometrial tissue may occur, which can result in increased solid components and enhanced vascularization within the cyst.
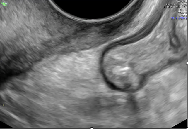
On ultrasound examination, typical endometriomas present as a cystic lesion with ground-glass echogenicity, with one to four locules and no solid components in a premenopausal patient (Figure 26). Of 713 histologically confirmed endometriomas in the International Ovarian Tumor Analysis (IOTA) studies, 65% were unilocular and 73% exhibited ground-glass echogenicity and 13% had low-level echogenicity.42 Atypical endometriomas are defined as unilocular-solid lesions with ground-glass echogenicity and a papillary projection, a color score of 1 or 2 and no vascularization inside the papillary projection (Figure 27).5 As per the recommendation of the IDEA consensus, the presence or absence of endometriomas should be described, as well as their number, size in three orthogonal planes and their ultrasound appearance according to International Ovarian Tumor Analysis (IOTA) terminology.43 Assessing vascularization by power Doppler may help in the differentiation between an endometrioma, a corpus luteum and a malignant lesion.44 A corpus luteum is characterized by strong circumferential blood flow (‘ring of fire’) and will generally resolve spontaneously after the menstrual cycle, unlike an endometrioma.

26
Ultrasound images of endometriomas with typical features of ground-glass echogenicity, up to four locules and no solid components.

27
Ultrasound images of atypical endometrioma, with the presence of a non-vascularized papillary projection.
Ovarian endometriomas are associated with more extensive endometriosis, characterized by greater disease severity and the presence of multifocal DE.45 Whether or not endometriomas are present, the ovaries may appear adherent to each other and become fixed behind the uterus in the POD, a phenomenon known as ‘kissing ovaries’ sign (Figure 28). This finding points toward more severe pelvic adhesions, as well as a higher chance of bowel involvement and Fallopian tube obstruction.46

28
‘Kissing ovaries’ appearance with the left ovary attached to the uterine wall, suggestive of pelvic adhesions.
Ovarian cancer (e.g. clear cell cancer or endometrioid adenocarcinoma) may exhibit similar features to those of endometriomas, especially in menopausal women (Figure 29). In addition, malignancies may develop in endometriomas (malignant transformation). The presence of vascularized solid components/papillary projections in a presumed endometrioma is alarming and warrants further investigation.47 Serum CA 125, a tumor marker for ovarian cancer, is often elevated in patients with endometriosis and correlates with the severity of the disease.48 This limits its utility in distinguishing between a benign endometrioma and malignancy in premenopausal women.
During pregnancy, endometriomas may undergo decidualization, a process that can mimic ovarian malignancy on ultrasound. Decidualized endometriomas typically appear as ovarian cysts containing rounded, vascularized papillary projections with smooth contours and contents of ground-glass or low-level echogenicity, often present in asymptomatic patients.49 Furthermore, the concurrent presence of other endometriotic lesions can aid in accurately diagnosing endometrioma during pregnancy, reducing the likelihood of unnecessary surgical intervention.
Ultrasound has a high diagnostic performance, with a mean sensitivity of 93% and specificity of 96% for detection of ovarian endometriomas.4 This makes it a suitable first-line investigation.5

29
Ultrasound imaging of a histologically confirmed clear cell carcinoma arising from an endometrioma. In Image A, a unilocular lesion with ground-glass echogenicity and smooth wall is visible. After 3 years of follow-up, significant change was noted, including an increase in size of the maximum diameter of the lesion from 67 mm to 117 mm and a morphological transformation from a unilocular cyst to a unilocular-solid lesion with four vascularized papillary projections (Images B and C).
SOFT MARKERS
In evaluating suspected endometriosis, dynamic TVS plays a crucial role in visualizing anatomical abnormalities and assessing indirect disease indicators, commonly referred to as 'soft markers' (Video 4). These include organ mobility (particularly ovarian and uterine mobility) and site-specific tenderness (SST), both of which may suggest the presence and location of endometriotic lesions.5
Ovarian immobility, defined as the ovary's inability to move freely against adjacent pelvic structures during probe manipulation, is a clinically relevant soft marker. It has been significantly associated with ipsilateral pelvic pain, SE of the SULs and the pelvic sidewall, endometriomas, DE of the posterior compartment, and POD obliteration.6,50,51 In women with isolated SE, i.e. without co-existing endometriomas or visible deep lesions, ovarian immobility demonstrates high specificity (94%) and negative predictive value (87%) for ipsilateral pelvic sidewall SE, although sensitivity remains low.50
SST is assessed by applying gentle pressure with the transvaginal probe to anatomical landmarks such as the adnexa, SULs and posterior vaginal fornix. A pain response, usually quantified using a visual numerical rating scale, may indicate underlying disease. Although SST has limited utility in detecting SE due to its high false-positive rate, it is valuable in predicting the presence and location of posterior compartment DE.35,52
These soft markers are integral to the IDEA protocol, which outlines the main steps of the structured transvaginal ultrasound assessment in suspected endometriosis.5,31 Notably, dynamic TVS techniques, including soft marker assessment, allow ultrasonography to serve as a functional extension of the physical examination.
Including soft markers in routine ultrasound examinations enhances diagnostic accuracy in equivocal cases and provides valuable insight into the likely extent of adhesions. This aids preoperative planning, particularly when complex surgical procedures such as ureterolysis or pelvic sidewall dissection are required.
4
Dynamic ultrasound imaging of a patient with suspected endometriosis. Adhesions have resulted in restricted mobility between the ovary (containing a small endometrioma) and the sacrouterine ligament.
SUPERFICIAL ENDOMETRIOSIS
Definition and classification
SE, also referred to as peritoneal endometriosis, is characterized by the presence of endometrium-like epithelium and/or stroma located on the peritoneal surface, without invasion into adjacent organs or fibrotic extension. Macroscopically, SE can present with a wide range of appearances, including red, white, black or colorless lesions, and is typically confined to the visceral or parietal peritoneum.30
According to the AAGL/ESGE/ESHRE/WES international terminology consensus, SE and DE are primarily distinguished by the absence or presence of infiltration into the tissues beneath the peritoneal surface.30 Although a 5-mm depth threshold was used to define DE,4 this criterion is now considered arbitrary. The most recent extension of the IDEA consensus (2025) highlights that such quantitative cut-offs do not reliably correlate with histopathological or imaging findings.6 Instead, lesion classification should rely on anatomical location and morphological characteristics.6,30 Importantly, even lesions that do not visibly extend below the peritoneum may still be classified as DE if they are nodular, infiltrative, and involve or distort adjacent subperitoneal structures.30
Ultrasound diagnosis
SE has traditionally been considered invisible to imaging due to its small size and non-mass-forming nature. However, recent advances in TVS protocols, especially those proposed by the IDEA group, have significantly improved the detection of subtle peritoneal lesions.5,6,53,54
Recommended sonographic techniques include: (1) systematic dynamic sweeping from the posterior vaginal fornix through the POD; (2) gentle rotation and tilting of the probe with light compression; (3) assessment of pelvic sidewalls, sliding signs and soft markers (e.g. SST, ovarian immobility); (4) use of physiological free fluid or instilled saline (sonoPODography) to enhance lesion contrast.5 6,54
According to the 2025 IDEA addendum, typical sonographic features of SE include: (1) hypoechoic tissue with stromal reaction or fibrosis; (2) hyperechoic foci; (3) cystic areas or vesicles (solitary or clustered, small or large); (4) peritoneal pockets or concave defects; and (5) convex lesions protruding into the peritoneal cavity. These findings may appear alone or in combination, and velamentous (filmy) adhesions can be associated with any of them, although they are not specific (Figure 30, Video 5).6
Additional features may include subtle hypoechoic or hyperechoic foci without shadowing. These may mimic normal peritoneal folds or physiological irregularities. Routine documentation of suspected SE lesions with still images or video loops is encouraged, particularly in expert centers.6
Soft markers may also be present in women with SE in the absence of DE, especially ovarian fixation and ipsilateral tenderness. Their presence should always be interpreted in conjunction with the overall clinical picture.6
Diagnostic performance
SE remains challenging to detect due to its variable morphology and lack of fibrotic retraction. Bailey et al. reported that systematic TVS assessment of the POD, particularly in the luteal phase using sonoPODography, achieved a sensitivity of 51.5% and a specificity of 94.0% for detecting SE.53
Nonetheless, a negative ultrasound cannot exclude SE. In cases of persistent symptoms and negative imaging, diagnostic laparoscopy remains the reference standard. Operator experience, awareness of subtle signs, and integration of soft markers significantly improve the diagnostic yield. Correlation with physical examination findings is essential.54,55
Clinical relevance
SE is the most prevalent phenotype of endometriosis, accounting for up to 80% of laparoscopically diagnosed cases.53,54 It is frequently associated with chronic pelvic pain, dysmenorrhea and infertility, yet remains underdiagnosed due to its subtle appearance and limited detectability in imaging.55
While many patients benefit from conservative hormonal management, surgical excision may be considered in selected cases. Importantly, SE may occur in isolation or coexist with other forms of endometriosis, including endometriomas and DE.
The recent consensus update on superficial endometriosis emphasizes that SE should be actively sought during imaging and should not be dismissed as clinically irrelevant. Moreover, distinguishing SE from DE in overlapping anatomical locations, such as the POD, is crucial due to differences in disease behavior and treatment approach.6

30
Examples of ultrasound appearance of superficial endometriosis: (A) solitary tiny cyst;
(B) clustered cysts with a honeycomb appearance and associated hypoechoic tissue;
(C) clustered tiny cysts with a linear appearance and associated hypoechoic tissue;
(D) clustered tiny cysts with associated hypoechoic lesions and hyperechoic foci within a peritoneal pocket;
(E) small peritoneal pocket with a hyperechoic focus;
(F) clustered tiny cysts with a honeycomb appearance;
(G) clustered cysts with hyperechoic foci located above a bowel deep endometriotic nodule.
Note, findings may appear in isolation (A,F) or in combination (B,C,D,E,G), and different lesions within the same patient may demonstrate variable associated features.
5
Free pelvic fluid allows visualization of superficial peritoneal endometriosis in the pouch of Douglas with associated filmy adhesions.
PARAMETRIAL INVOLVEMENT IN ENDOMETRIOSIS
Parametrial involvement is one of the most complex and surgically challenging forms of DE. It occurs when endometriotic lesions infiltrate the parametrium, which is a dense connective tissue space that extends laterally from the cervix and upper vagina towards the pelvic sidewall. This region contains vital structures, including the ureter, the uterine artery and the inferior hypogastric plexus, which makes diagnosis and surgical excision particularly demanding.56
Ultrasound assessment
From a sonographic perspective, the parametrium is divided into three compartments:
- Anterior parametrium: located lateral to the cervix, anterior to the ureter and medial to the uterine artery.
- Lateral parametrium: located between the ureter and the pelvic sidewall, overlying the internal obturator muscle (Figure 31).
- Posterior parametrium: located posterior to the cervix and ureter, bordering the SUL and torus uterinus (Figure 32).
During TVS, parametrial endometriosis should be suspected if a hypoechoic nodule with irregular borders and minimal or absent vascularity is seen adjacent to the cervix or upper vagina. The posterior parametrium is the most commonly affected area, followed by the lateral and anterior compartments.56 The 'star-shaped' appearance of these nodules, due to fibrotic retraction and distortion of the surrounding tissue, may be a useful pattern recognition feature.57
It is essential to identify key anatomical landmarks during the scan. The ureter typically appears as a hypoechoic tubular structure with peristaltic movement and serves as a mediolateral reference point. The uterine artery, which can be seen using color Doppler, crosses over the ureter laterally and marks the lateral boundary of the anterior and lateral parametria.
The internal obturator muscle and the pelvic sidewall provide additional orientation in the lateral compartment.
Color Doppler ultrasound can be used to rule out vascular structures and confirm the avascular nature of fibrotic endometriotic nodules. Applying gentle pressure with the probe may elicit SST, which reinforces clinical suspicion.
Practical scanning tips:
- Use a systematic approach, starting with a mid-sagittal scan of the cervix and then sweep laterally to assess the parametrium in cross-section.
- Use the sliding sign to evaluate the mobility of the cervix and rectum relative to adjacent structures; fixation may indicate posterior parametrial disease.
- Combine gray-scale imaging with targeted Doppler and tenderness mapping to improve detection sensitivity.
31
Deep endometriotic nodule in the lateral parametrial region, in contact with the uterine cervix.

32
Lesion in the posterior parametrium with a pulled-sleeve-like appearance of the adjacent bowel loop, suggestive of fibrotic retraction or deep infiltration.
Clinical relevance
Parametrial endometriosis often coexists with SUL, vaginal or rectal involvement. Its preoperative detection allows for better surgical planning. An accurate ultrasound diagnosis enables referral to high-volume centers with expertise in nerve-sparing techniques, reducing the risk of postoperative voiding dysfunction or neuropathic pain.58,59
Training in parametrial assessment requires familiarity with pelvic neurovascular anatomy and a structured scanning technique. Integrating parametrial evaluation into routine TVS protocols, especially in patients with suspected DE, enhances diagnostic completeness and improves multidisciplinary management.60
EXTRAPELVIC SITES OF ENDOMETRIOSIS
Although endometriosis most commonly affects pelvic organs, ectopic endometrial tissue can also be found outside the pelvis. These extrapelvic forms are rare, yet clinically significant, as they can lead to notable symptoms and delayed diagnosis. It is essential to be aware of such presentations in order to ensure an appropriate workup in women with cyclical symptoms in unusual anatomical regions.61
The most frequent extrapelvic manifestation is abdominal wall endometriosis, which usually occurs in surgical scars following laparotomy or cesarean section (Figure 33). Patients typically report a painful, palpable nodule within or near the scar that worsens during menstruation. Ultrasound imaging often reveals a hypoechoic or heterogeneous lesion, occasionally exhibiting internal vascularity.62,63

33
Examples of endometriotic nodules within cesarean section scars.
Inguinal endometriosis, which often involves the round ligament, presents as a painful, unilateral groin mass, commonly on the right side. It may mimic a hernia or lymphadenopathy. Ultrasound imaging typically reveals the lesion as a solid, hypoechoic mass (Figure 34) with increased vascularity. 62,63

34
Palpable deep endometriotic lesion in the right inguinal region of a patient with no history of previous surgery.
Diaphragmatic endometriosis usually affects the right hemidiaphragm and can result in catamenial shoulder pain or discomfort in the right upper quadrant. It is often associated with thoracic endometriosis syndrome and may coexist with pleural involvement. Ultrasound and MRI scans may reveal small nodules or areas of thickening, but the condition is often confirmed through surgery.61,64
Thoracic endometriosis may affect the pleura or lung parenchyma. Although rare, this condition is clinically significant due to its potential to cause catamenial pneumothorax, hemothorax or hemoptysis. Chest imaging may reveal pneumothorax or ground-glass opacities that are related to the menstrual cycle.61
Nerve-related endometriosis, including involvement of the sacral plexus or sciatic nerve, can cause severe, cyclic sciatica, paresthesia or motor deficits. These presentations are frequently misdiagnosed and often require MRI neurography and high clinical suspicion for detection.61
Other rare extrapelvic sites include the liver, pancreas, kidneys, umbilicus and perineum. These are usually identified by chance during imaging or surgery and confirmed histopathologically. Symptoms depend on the organ affected and may be non-specific.63
Although rare, extrapelvic endometriosis can cause significant, and sometimes severe, symptoms depending on the location. Multimodal imaging, including high-resolution ultrasound and MRI scans, combined with clinical suspicion and surgical exploration, is essential for diagnosis.
GLOSSARY OF KEY TERMINOLOGY BASED ON IOTA/MUSA/IDEA STUDY GROUPS
Ultrasound descriptors | ||
Measurement | ||
Lesion (part of the myometrium/adnexa judged to be inconsistent with normal physiological function) | Should be measured in the largest three diameters, in two perpendicular planes43 | |
Deep endometriotic lesion | Should be measured systematically in three orthogonal planes, to obtain the length (mid-sagittal measurement), thickness (anteroposterior measurement) and transverse diameter5 | |
Myometrial wall | Measured from the external uterine serosa to the external endometrial contour and should include the junctional zone but not the endometrium13 | |
Echogenicity | ||
(Iso-) echogenic | Echogenicity similar to that of the surrounding myometrium; appears with comparable brightness on ultrasound | |
Hyperechogenic | Exhibits increased echogenicity relative to the myometrium; appears brighter or lighter on ultrasound | |
Hypoechogenic | Exhibits decreased echogenicity relative to the myometrium; appears darker on ultrasound | |
Acoustic shadowing* | ||
Internal shadowing | Shadows arising from areas within the lesion13 | |
Edge shadowing | Shadows arising from the edge of the lesion13 | |
Fan-shaped shadowing | Presence of hypoechogenic linear stripes, sometimes alternating with linear hyperechogenic stripes13 | |
Retroacoustic enhancement | Artifact in which the area behind a fluid-filled structure (like a cyst or bladder) appears brighter than the surrounding tissue | |
Color score | Describes lesion vascularity as visualized by power Doppler at a PRF of 0.3–0.6kHz. A score of 1 is given when no blood flow can be found in the lesion; a score of 2 is given when only minimal flow can be detected; a score of 3 is given when moderate flow is present, and a score of 4 is given when the mass appears highly vascular with marked blood flow13,43 There can be an uneven spread of vascularization, in which case the most vascular area needs to be reported. A score might be assigned separately for circumferential and intralesional vascularity | |
Papillary projection | Any solid projection into the cyst cavity from the cyst wall with a height ≥ 3 mm43 | |
Margin definition | Well-defined: lesion with clear, distinct borders that are easily distinguishable from surrounding tissue, e.g. fibroid Ill-defined: structure with blurry or irregular margin that blends into adjacent tissue, e.g. adenomyosis | |
Lesion contour | Smooth or irregular | |
Lesion shape | Round, oval, lobulated | |
Lesion type | ||
Unilocular cyst | Unilocular cyst without septa, solid parts or papillary structures | |
Unilocular-solid cyst | Unilocular cyst with measurable solid component (≥ 3 mm) or at least one papillary structure | |
Multilocular cyst | Cyst with at least one septum but no measurable solid components or papillary projections | |
Multilocular-solid cyst | Multilocular cyst with measurable solid component or at least one papillary projection | |
Solid tumor | Tumor in which the solid component comprises 80% or more of the tumor when assessed on a two-dimensional section | |
Not classifiable because of poor visualization | For example in presence of strong acoustic shadowing | |
Cyst content43 | ||
Anechoic | Black | |
Low-level | Homogeneous low-level echogenicity as seen in mucinous tumors or with an appearance similar to that of amniotic fluid | |
Ground glass | Homogeneously dispersed echogenic cystic contents, as often seen in endometriotic cysts | |
Hemorrhagic | With internal thread-like structures, representing fibrin strands; in hemorrhagic cysts echogenicity can be described as star-shaped, cobweb-like or jelly-like | |
Endometriosis terminology | ||
Deep endometriosis | Endometriosis infiltrating structures beneath the peritoneum. | |
Superficial endometriosis | Endometrium-like tissue limited to the peritoneal surface, not infiltrating deeper structures5,6,30 | |
Ovarian endometrioma | Cystic ovarian lesion lined with endometrium-like tissue, usually containing echogenic, ‘chocolate-like’ fluid5 | |
Anterior compartment | Includes urinary bladder, uterovesical region and anterior vaginal wall5 | |
Central compartment | Includes uterus, ovaries and Fallopian tubes. Also assessed for mobility and adhesions (e.g. ‘kissing ovaries’)5 | |
Posterior compartment | Includes posterior vaginal wall, rectovaginal septum, posterior vaginal fornix, sacrouterine ligaments and rectum/rectosigmoid/sigmoid colon5 | |
Parametrium | Fibrous, connective and fatty tissue partially surrounding uterus, containing blood vessels, nerves and lymphatic vessels6 | |
Sliding sign† | ||
Posterior sliding sign | Evaluates whether the rectum slides freely over the posterior uterus or cervix; a negative sign suggests obliteration of the pouch of Douglas or posterior DE | |
Anterior sliding sign | Evaluates whether the bladder slides over the anterior uterine wall; negative sign suggests adhesions or anterior DE5 | |
Soft markers | Non-specific ultrasound findings, such as site-specific tenderness, reduced mobility, adhesions or hypoechoic thickening without a mass5 | |
IDEA protocol | A systematic approach to TVS evaluation of endometriosis:
| |
IDEA, International Deep Endometriosis Analysis; IOTA, International Ovarian Tumor Analysis; MUSA, Morphological Uterus Sonographic Assessment.
*Acoustic shadowing defined as loss of acoustic echo behind a sound-absorbing structure.43
†Sliding sign is determined by a dynamic maneuver on transvaginal ultrasound, which assesses organ mobility.
PRACTICE RECOMMENDATIONS
- Use standardized terminology and definitions, such as those proposed by the MUSA and IDEA groups, to enhance diagnostic consistency and facilitate comparisons in clinical and research settings.
- Employ transvaginal ultrasound as the first-line imaging modality due to its accessibility and dynamic examination capability. MRI can be used as a second-line test, especially for complex cases or when ultrasound findings are inconclusive.
- For the diagnosis of adenomyosis, assess for both direct features and indirect features of adenomyosis.
- When assessing adenomyosis, document its location, differentiation (focal or diffuse), cystic or non-cystic nature, uterine layer involvement, extent of the affected area (proportion of the uterus), and the size of the lesions to ensure a comprehensive evaluation.
- Distinguish adenomyosis from uterine fibroids by their imaging characteristics: fibroids are well-defined lesions with variable echogenicity, compress the surrounding myometrium, and exhibit predominantly circumferential blood flow, whereas adenomyosis appears as an ill-defined, heterogeneous, cystic ultrasound pattern with translesional blood flow.
- Use a structured transvaginal ultrasound protocol to assess systematically anterior, posterior and parametrial pelvic compartments in suspected deep endometriosis.
- Standardize deep endometriosis lesion characterization using IDEA group morphology and report lesion location, depth and size with reference to anatomical landmarks, given this is essential in surgical planning.
- Typical endometriomas present as a cystic lesion with ground-glass echogenicity, with one to four locules and no solid components in a premenopausal patient. In the presence of atypical features, especially vascularized solid components or papillary projections, further investigations are necessary.
- Incorporate dynamic scanning techniques for soft markers such as the sliding sign and site-specific tenderness to detect adhesions and enhance (superficial) lesion detection.
- Superficial endometriosis is a clinically significant but frequently underdiagnosed phenotype, which should be actively assessed during ultrasound examination, even in the absence of deep lesions.
- Routine documentation of suspected superficial endometriosis using still images or video loops is recommended to support diagnosis and follow-up.
- Systematically assess both ureters in all patients with deep endometriosis, especially when sacrouterine ligament or parametrial involvement is suspected. Ureteral involvement is often underestimated yet has significant surgical and functional implications.
- Be aware of the possibility of extrapelvic endometriosis locations. Although rare, these can cause severe symptoms depending on location. Multimodal imaging, including high-resolution ultrasound and MRI scans, can help with the diagnosis.
- Consider patient history, symptoms (e.g. abnormal uterine bleeding, pelvic pain) and clinical presentation alongside imaging findings. Avoid over-reliance on lesion extent to predict symptom severity, as the correlation between the two is often inconsistent.
CONFLICTS OF INTEREST
The author(s) of this chapter declare that they have no interests that conflict with the contents of the chapter.
Feedback
Publishers’ note: We are constantly trying to update and enhance chapters in this Series. So if you have any constructive comments about this chapter please provide them to us by selecting the "Your Feedback" link in the left-hand column.
REFERENCES
Becker CM, Bokor A, Heikinheimo O, Horne A, Jansen F, Kiesel L, King K, Kvaskoff M, Nap A, Petersen K, Saridogan E, Tomassetti C, van Hanegem N, Vulliemoz N, Vermeulen N; ESHRE Endometriosis Guideline Group. ESHRE guideline: endometriosis. Hum Reprod Open. 2022 Feb 26;2022(2):hoac009. doi: 10.1093/hropen/hoac009. PMID: 35350465; PMCID: PMC8951218. | |
Condous G, Gerges B, Thomassin-Naggara I, Becker C, Tomassetti C, Krentel H, van Herendael BJ, Malzoni M, Abrao MS, Saridogan E, Keckstein J, Hudelist G; Collaborators. Non-invasive imaging techniques for diagnosis of pelvic deep endometriosis and endometriosis classification systems: an International Consensus Statement. Ultrasound Obstet Gynecol. 2024 Jul;64(1):129–144. doi: 10.1002/uog.27560. Epub 2024 May 29. PMID: 38808587. | |
Moura APC, Ribeiro HSAA, Bernardo WM, Simões R, Torres US, D'Ippolito G, Bazot M, Ribeiro PAAG. Accuracy of transvaginal sonography versus magnetic resonance imaging in the diagnosis of rectosigmoid endometriosis: Systematic review and meta-analysis. PLoS One. 2019 Apr 9;14(4):e0214842. doi: 10.1371/journal.pone.0214842. Erratum in: PLoS One. 2019 Aug 16;14(8):e0221499. doi: 10.1371/journal.pone.0221499. PMID: 30964888; PMCID: PMC6456198. | |
Nisenblat V, Bossuyt PM, Farquhar C, Johnson N, Hull ML. Imaging modalities for the non-invasive diagnosis of endometriosis. Cochrane Database Syst Rev. 2016 Feb 26;2(2):CD009591. doi: 10.1002/14651858.CD009591.pub2. PMID: 26919512; PMCID: PMC7100540. | |
Guerriero S, Condous G, van den Bosch T, Valentin L, Leone FP, Van Schoubroeck D, Exacoustos C, Installé AJ, Martins WP, Abrao MS, Hudelist G, Bazot M, Alcazar JL, Gonçalves MO, Pascual MA, Ajossa S, Savelli L, Dunham R, Reid S, Menakaya U, Bourne T, Ferrero S, Leon M, Bignardi T, Holland T, Jurkovic D, Benacerraf B, Osuga Y, Somigliana E, Timmerman D. Systematic approach to sonographic evaluation of the pelvis in women with suspected endometriosis, including terms, definitions and measurements: a consensus opinion from the International Deep Endometriosis Analysis (IDEA) group. Ultrasound Obstet Gynecol. 2016 Sep;48(3):318–32. doi: 10.1002/uog.15955. Epub 2016 Jun 28. PMID: 27349699. | |
Guerriero S, Condous G, Rolla M, Pedrassani M, Leonardi M, Hudelist G, Ferrero S, Alcazar JL, Ajossa S, Bafort C, Van Schoubroeck D, Bourne T, Van den Bosch T, Singh SS, Abrao MS, Di Giovanni A, Tomassetti C, Timmerman D. Addendum to consensus opinion from the International Deep Endometriosis Analysis (IDEA) group: sonographic evaluation of superficial endometriosis. Ultrasound Obstet Gynecol. 2025 Jul 9. doi: 10.1002/uog.29288. Epub ahead of print. PMID: 40632542. | |
Ballester M, Santulli P, Bazot M, Coutant C, Rouzier R, Daraï E. Preoperative evaluation of posterior deep-infiltrating endometriosis demonstrates a relationship with urinary dysfunction and parametrial involvement. J Minim Invasive Gynecol. 2011 Jan-Feb;18(1):36–42. doi: 10.1016/j.jmig.2010.08.692. PMID: 20934922. | |
Bird CC, McElin TW, Manalo-Estrella P. The elusive adenomyosis of the uterus – revisited. Am J Obstet Gynecol 1972;112(March (5)):583–93. | |
Hunter WC, Smith LL, Reiner WC. Uterine adenomyosis: incidence, symptoms, and pathology in 1,856 hysterectomies. Am J Obstet Gynecol 1947;53(April (4)):663–8. | |
Dueholm M, Lundorf E, Hansen ES, Sorensen JS, Ledertoug S, Olesen F. Magnetic resonance imaging and transvaginal ultrasonography for the diagnosis of adenomyosis. Fertil Steril 2001;76:588–594. | |
Abbott JA. Adenomyosis and abnormal uterine bleeding (AUB-A)-pathogenesis, diagnosis, and management. Best Pract Res Clin Obstet Gynaecol 2017;40:68–81. | |
Gordts S, Brosens JJ, Fusi L, Benagiano G, Brosens I. Uterine adenomyosis: a need for uniform terminology and consensus classification. Reprod Biomed Online 2008;17:244–248. | |
Van den Bosch T, Dueholm M, Leone FPG, Valentin L, Rasmussen CK, Votino A, et al. Terms, definitions and measurements to describe sonographic features of myometrium and uterine masses: a consensus opinion from the Morphological Uterus Sonographic Assessment (MUSA) group. Ultrasound Obstet Gynecol 2015;46 (September (3)):284–98. | |
Harmsen MJ, Van den Bosch T, de Leeuw RA, Dueholm M, Exacoustos C, Valentin L, et al. Consensus on revised definitions of Morphological Uterus Sonographic Assessment (MUSA) features of adenomyosis: results of modified Delphi procedure. Ultrasound Obstet Gynecol 2022;60(July (1)):118–31. | |
Atri M, Reinhold C, Mehio AR, Chapman WB, Bret PM. Adenomyosis: US features with histologic correlation in an in-vitro study. Radiology, 215 (2000), pp. 783–790. | |
Vanthienen M, Van den Bosch. Handvaten voor gestandaardiseerde echografische rapportering bij vermoeden van adenomyose. Gunaïkeia 2022; 27 (4): 41–46. | |
Van den Bosch T, de Bruijn AM, de Leeuw RA, Dueholm M, Exacoustos C, Valentin L, Bourne T, Timmerman D, Huirne JAF. Sonographic classification and reporting system for diagnosing adenomyosis. Ultrasound Obstet Gynecol. 2019 May;53(5):576–582. doi: 10.1002/uog.19096. PMID: 29790217. | |
Bazot M, Daraï E. Role of transvaginal sonography and magnetic resonance imaging in the diagnosis of uterine adenomyosis. Fertil Steril. 2018 Mar;109(3):389–397. doi: 10.1016/j.fertnstert.2018.01.024. PMID: 29566851. | |
Bourdon M, Oliveira J, Marcellin L, Santulli P, Bordonne C, Maitrot Mantelet L, et al. Adenomyosis of the inner and outer myometrium are associated with different clinical profiles. Hum Reprod 2021;36(January (2)):349–57. | |
Alabiso G, Alio L, Arena S, Barbasetti di Prun A, Bergamini V, Berlanda N, Busacca M, Candiani M, Centini G, Di Cello A, Exacoustos C, Fedele L, Fuggetta E, Gabbi L, Geraci E, Imperiale L, Lavarini E, Incandela D, Lazzeri L, Luisi S, Maiorana A, Maneschi F, Mannini L, Mattei A, Muzii L, Pagliardini L, Perandini A, Perelli F, Pinzauti S, Porpora MG, Remorgida V, Leone Roberti Maggiore U, Seracchioli R, Solima E, Somigliana E, Tosti C, Venturella R, Vercellini P, Viganò P, Vignali M, Zannoni L, Zullo F, Zupi E; Endometriosis Treatment Italian Club. Adenomyosis: What the Patient Needs. J Minim Invasive Gynecol. 2016 May-Jun;23(4):476–88. doi: 10.1016/j.jmig.2015.12.017. Epub 2016 Jan 6. PMID: 26772777. | |
Van den Bosch T, Van Schoubroeck D. Ultrasound diagnosis of endometriosis and adenomyosis: State of the art. Best Pract Res Clin Obstet Gynaecol. 2018 Aug;51:16–24. doi: 10.1016/j.bpobgyn.2018.01.013. Epub 2018 Feb 14. PMID: 29506961. | |
Haesen J., Santulli P., Bordonne C., et al. Focal what focal? – The diverse entities within focal adenomyosis, Journal of Endometriosis and Uterine Disorders, Volume 9, 2025,100099, ISSN 2949-8384. https://doi.org/10.1016/j.jeud.2024.100099 | |
Chapron C, Tosti C, Marcellin L, Bourdon M, Lafay-Pillet M-C, Millischer A-E, et al. Relationship between the magnetic resonance imaging appearance of adenomyosis and endometriosis phenotypes. Hum Reprod 2017;32(July (7)):1393–401. | |
Marcellin L, Santulli P, Bourdon M, Maignien C,Campin L, Lafay-Pillet M-C, et al. Focal adenomyosis of the outer myometrium and deep infiltrating endometriosis severity. Fertil Steril 2020;114(October (4)):818–27. | |
Timmerman S, Stubbe L, Van den Bosch T, Van Schoubroeck D, Tellum T, Froyman W. Accessory cavitated uterine malformation (ACUM): A scoping review. Acta Obstet Gynecol Scand. 2024 Jun;103(6):1036–1045. doi: 10.1111/aogs.14801. Epub 2024 Feb 12. PMID: 38345425; PMCID: PMC11103141. | |
Naftalin J, Bean E, Saridogan E, Barton-Smith P, Arora R, Jurkovic D. Imaging in gynecological disease (21): clinical and ultrasound characteristics of accessory cavitated uterine malformations. Ultrasound Obstet Gynecol. 2021 May;57(5):821–828. doi: 10.1002/uog.22173. Epub 2021 Apr 13. PMID: 32770812. | |
Ahmed AA, Swan RW, Owen A, Kraus FT, Patrick F. Uterus-like mass arising in the broad ligament: a metaplasia or Mullerian duct anomaly? Case report. Int J Gynecol Pathol. 1997;16:279–281. | |
Acién P, Acién M, Fernández F, José Mayol M, Aranda I. The cavitated accessory uterine mass: a Müllerian anomaly in women with an otherwise normal uterus. Obstet Gynecol. 2010;116:1101–1109. | |
Dueholm M, Lundorf E. Transvaginal ultrasound or MRI for diagnosis of adenomyosis. Curr Opin Obstet Gynecol. 2007;19:505–512. | |
International Working Group of AAGL, ESGE, ESHRE and WES; Tomassetti C, Johnson NP, Petrozza J, Abrao MS, Einarsson JI, Horne AW, Lee TTM, Missmer S, Vermeulen N, Zondervan KT, Grimbizis G, De Wilde RL. An international terminology for endometriosis, 2021. Hum Reprod Open. 2021 Oct 22;2021(4):hoab029. doi: 10.1093/hropen/hoab029. PMID: 34693033; PMCID: PMC8530702. | |
Savelli L, Scifo M.C Anterior compartment including ureter. In: Guerriero, S., Condous, G., Alcázar JL (eds). How to Perform Ultrasonography in Endometriosis. Springer, 2018. | |
Barra F, Scala C, Biscaldi E, Vellone VG, Ceccaroni M, Terrone C, Ferrero S. Ureteral endometriosis: a systematic review of epidemiology, pathogenesis, diagnosis, treatment, risk of malignant transformation and fertility. Hum Reprod Update. 2018 Nov 1;24(6):710–730. doi: 10.1093/humupd/dmy027. PMID: 30165449. | |
Ceccaroni M, Ceccarello M, Raimondo I, Roviglione G, Clarizia R, Bruni F, Mautone D, Manzone M, Facci E, Rettore L, Rossini R, Bertocchi E, Barugola G, Ruffo G, Barra F. "A Space Odyssey" on Laparoscopic Segmental Rectosigmoid Resection for Deep Endometriosis: A Seventeen-year Retrospective Analysis of Outcomes and Postoperative Complications among 3050 Patients Treated in a Referral Center. J Minim Invasive Gynecol. 2023 Aug;30(8):652–664. doi: 10.1016/j.jmig.2023.04.005. Epub 2023 Apr 26. PMID: 37116746. | |
Carfagna P, De Cicco Nardone C, De Cicco Nardone A, Testa AC, Scambia G, Marana R, De Cicco Nardone F. Role of transvaginal ultrasound in evaluation of ureteral involvement in deep infiltrating endometriosis. Ultrasound Obstet Gynecol. 2018 Apr;51(4):550–555. doi: 10.1002/uog.17524. Epub 2018 Mar 4. PMID: 28508426. | |
Collins BG, Ankola A, Gola S, McGillen KL. Transvaginal US of Endometriosis: Looking Beyond the Endometrioma with a Dedicated Protocol. 2019 Sep-Oct;39(5):1549–1568. doi: 10.1148/rg.2019190045. PMID: 31498746. | |
Dave HB, Chamié LP, Young SW, Sakala MD, VanBuren WM, Jha P, Shen L, Pectasides M, Movilla P, Laifer-Narin S, Glanc P, Shenoy-Bhangle AS. Bowel Endometriosis: Systematic Approach to Diagnosis with US and MRI. Radiographics. 2025 Apr;45(4):e240102. doi: 10.1148/rg.240102. PMID: 40111900. | |
Hudelist G, Aas-Eng K. Rectovaginal septum endometriosis. In: Guerriero S, Condous G, Alcázar JL (eds). How to Perform Ultrasonography in Endometriosis. Springer, 2018. | |
Goncalves MO, de Mattos LA, Abrao MS. Rectum, rectosigmoid and sigmoid endometriosis. In: Guerriero S, Condous G, Alcázar JL (eds). How to Perform Ultrasonography in Deep Endometriosis. Springer, 2018. | |
Young SW, Groszmann Y, Dahiya N, Caserta M, Yi J, Wasson M, Patel MD. Sonographer-acquired ultrasound protocol for deep endometriosis. Abdom Radiol (NY). 2020 Jun;45(6):1659–1669. doi: 10.1007/s00261-019-02341-4. PMID: 31820046. | |
Leonardi M, Martins WP, Espada M, Arianayagam M, Condous G. Proposed technique to visualize and classify uterosacral ligament deep endometriosis with and without infiltration into parametrium or torus uterinus. Ultrasound Obstet Gynecol. 2020 Jan;55(1):137–139. doi: 10.1002/uog.20300. PMID: 31008537. | |
Brosens IA, Brosens JJ. Endometriosis. Eur J Obstet Gynecol Reprod Biol. 2000 Jun;90(2):159–64. doi: 10.1016/s0301-2115(00)00265-7. PMID: 10825635. | |
Van Holsbeke C, Van Calster B, Guerriero S, Savelli L, Paladini D, Lissoni AA, Czekierdowski A, Fischerova D, Zhang J, Mestdagh G, Testa AC, Bourne T, Valentin L, Timmerman D. Endometriomas: their ultrasound characteristics. Ultrasound Obstet Gynecol. 2010 Jun;35(6):730–40. doi: 10.1002/uog.7668. PMID: 20503240. | |
Timmerman D, Valentin L, Bourne TH, Collins WP, Verrelst H, Vergote I; International Ovarian Tumor Analysis (IOTA) Group. Terms, definitions and measurements to describe the sonographic features of adnexal tumors: a consensus opinion from the International Ovarian Tumor Analysis (IOTA) Group. Ultrasound Obstet Gynecol. 2000 Oct;16(5):500–5. doi: 10.1046/j.1469-0705.2000.00287.x. PMID: 11169340. | |
Exacoustos C, Zupi E, Piccione E. Ultrasound Imaging for Ovarian and Deep Infiltrating Endometriosis. Semin Reprod Med. 2017 Jan;35(1):5–24. doi: 10.1055/s-0036-1597127. Epub 2017 Jan 11. PMID: 28076877. | |
Chapron C, Pietin-Vialle C, Borghese B, Davy C, Foulot H, Chopin N. Associated ovarian endometrioma is a marker for greater severity of deeply infiltrating endometriosis. Fertil Steril. 2009 Aug;92(2):453–7. doi: 10.1016/j.fertnstert.2008.06.003. Epub 2008 Aug 9. PMID: 18692806. | |
Ghezzi F, Raio L, Cromi A, Duwe DG, Beretta P, Buttarelli M, Mueller MD. "Kissing ovaries": a sonographic sign of moderate to severe endometriosis. Fertil Steril. 2005 Jan;83(1):143–7. doi: 10.1016/j.fertnstert.2004.05.094. PMID: 15652900. | |
Testa AC, Timmerman D, Van Holsbeke C, Zannoni GF, Fransis S, Moerman P, Vellone V, Mascilini F, Licameli A, Ludovisi M, Di Legge A, Scambia G, Ferrandina G. Ovarian cancer arising in endometrioid cysts: ultrasound findings. Ultrasound Obstet Gynecol. 2011 Jul;38(1):99–106. doi: 10.1002/uog.8970. Epub 2011 Jun 16. PMID: 21351179. | |
Van Calster B, Timmerman D, Bourne T, Testa A, Van Holsbeke C, Domali E, Jurkovic D, Neven P, Van Huffel S, Valentin L. Discrimination between benign and malignant adnexal masses by specialist ultrasound examination versus serum CA-125. J Natl Cancer Inst. 2007;99:1706–1714. doi: 10.1093/jnci/djm199. | |
Mascilini F, Moruzzi C, Giansiracusa C, Guastafierro F, Savelli L, De Meis L, Epstein E, Timor-Tritsch IE, Mailath-Pokorny M, Ercoli A, Exacoustos C, Benacerraf BR, Valentin L, Testa AC. Imaging in gynecological disease. 10: Clinical and ultrasound characteristics of decidualized endometriomas surgically removed during pregnancy. Ultrasound Obstet Gynecol 2014; 44: 354–360. | |
Reid S, Leonardi M, Lu C, Condous G. The association between ultrasound-based 'soft markers' and endometriosis type/location: A prospective observational study. Eur J Obstet Gynecol Reprod Biol. 2019 Mar;234:171–178. doi: 10.1016/j.ejogrb.2019.01.018. Epub 2019 Jan 22. PMID: 30708269. | |
Reid S. Soft Marker Evaluation. In: In: Guerriero S, Condous G, Alcázar JL. (eds), How to Perform Ultrasonography in Endometriosis. Springer, 2018. | |
Leonardi, M., Condous, G. Standardized Ultrasonographic Diagnostic Protocol to Diagnose Endometriosis Based on the International Deep Endometriosis Analysis (IDEA) Consensus Statement. In: Guerriero, S., Condous, G., Alcázar, J.L. (eds) How to Perform Ultrasonography in Endometriosis. Springer, 2018. | |
Bailey F, Gaughran J, Mitchell S, Ovadia C, Holland TK. Diagnosis of superficial endometriosis on transvaginal ultrasound by visualization of peritoneum of pouch of Douglas. Ultrasound Obstet Gynecol. 2024;63(1):105–112. doi: 10.1002/uog.27529. | |
Pedrassani M, Guerriero S, Pascual MÁ, et al. Superficial Endometriosis at Ultrasound Examination-A Diagnostic Criteria Proposal. Diagnostics (Basel). 2023;13(11):1876. Published 2023 May 27. doi: 10.3390/diagnostics13111876. | |
Tan S, Leonardi M, Lo G, Lee E. Role of ultrasonography in the diagnosis of endometriosis in infertile women: Ovarian endometrioma, deep endometriosis, and superficial endometriosis. Best Pract Res Clin Obstet Gynaecol. 2024;92:102450. doi: 10.1016/j.bpobgyn.2023.102450. | |
Barra F, Zorzi C, Albanese M, et al. Ultrasonographic characterization of parametrial endometriosis: a prospective study. Fertil Steril. 2024;122(1):150–161. doi: 10.1016/j.fertnstert.2024.02.031. | |
Garzon S, Laganà AS, Guerriero S, Alcázar JL, Dababou S, Uccella S, Scioscia M. Transvaginal Sonography for the Preoperative Assessment of Parametrial Deep Infiltrating Endometriosis: A Diagnostic Accuracy Study. Gynecol Obstet Invest. 2024;89(2):111–119. doi: 10.1159/000535940. Epub 2024 Feb 20. PMID: 38377973. | |
Guerriero S, Martinez L, Gomez I, Pascual MA, Ajossa S, Pagliuca M, Alcázar JL. Diagnostic accuracy of transvaginal sonography for detecting parametrial involvement in women with deep endometriosis: systematic review and meta-analysis. Ultrasound Obstet Gynecol. 2021 Nov;58(5):669–676. doi: 10.1002/uog.23754. PMID: 34358386; PMCID: PMC8597587. | |
Benoit L, Dabi Y, Bazot M, et al. Parametrial endometriosis: A predictive and prognostic factor for voiding dysfunction and complications. Eur J Obstet Gynecol Reprod Biol. 2022;276:236–243. doi: 10.1016/j.ejogrb.2022.07.035. | |
Guerriero S, Condous G, Rolla M, Hudelist G, Ferrero S, Alcazar JL, Ajossa S, Bafort C, Van Schoubroeck D, Bourne T, Van den Bosch T, Singh SS, Abrao MS, Szabó G, Testa AC, Di Giovanni A, Fischerova D, Tomassetti C, Timmerman D. Addendum to consensus opinion from International Deep Endometriosis Analysis (IDEA) group: sonographic evaluation of the parametrium. Ultrasound Obstet Gynecol. 2024 Aug;64(2):275–280. doi: 10.1002/uog.27558. Epub 2024 Jun 30. PMID: 38057967. | |
Andres MP, Arcoverde FVL, Souza CCC, Fernandes LFC, Abrão MS, Kho RM. Extrapelvic Endometriosis: A Systematic Review. J Minim Invasive Gynecol. 2020 Feb;27(2):373–389. doi: 10.1016/j.jmig.2019.10.004. Epub 2019 Oct 13. PMID: 31618674. | |
Chamié LP, Ribeiro DMFR, Tiferes DA, Macedo Neto AC, Serafini PC. Atypical Sites of Deeply Infiltrative Endometriosis: Clinical Characteristics and Imaging Findings. Radiographics. 2018 Jan-Feb;38(1):309–328. doi: 10.1148/rg.2018170093. PMID: 29320327. | |
Guerriero S, Conway F, Pascual MA, Graupera B, Ajossa S, Neri M, Musa E, Pedrassani M, Alcazar JL. Ultrasonography and Atypical Sites of Endometriosis. Diagnostics (Basel). 2020 May 27;10(6):345. doi: 10.3390/diagnostics10060345. PMID: 32471042; PMCID: PMC7345680. | |
Hosseiny M, Khoshpouri P, Cledera T, Brun-Vergara ML, Avalos F, Bartlett DJ. Endometriosis of the Diaphragm. Radiographics. 2024 Nov;44(11):e240153. doi: 10.1148/rg.240153. PMID: 39418187; PMCID: PMC11580019. |
Online Study Assessment Option
All readers who are qualified doctors or allied medical professionals can automatically receive 2 Continuing Professional Development points plus a Study Completion Certificate from GLOWM for successfully answering four multiple-choice questions (randomly selected) based on the study of this chapter. Medical students can receive the Study Completion Certificate only.
(To find out more about the Continuing Professional Development awards programme CLICK HERE)
