This chapter should be cited as follows:
Taliento C, Timmerman D, et al., Glob Libr Women's Med
ISSN: 1756-2228; DOI 10.3843/GLOWM.419663
The Continuous Textbook of Women’s Medicine Series – Gynecology Module
Volume 10
Ultrasound in gynecology
Volume Editors:
Professor Antonia Testa, Agostino Gemelli University Hospital, Rome, Italy
Professor Simona Maria Fragomeni, Agostino Gemelli University Hospital, Rome, Italy
Chapter
Ultrasound Evaluation of Malignant Ovarian Masses
First published: October 2025
Study Assessment Option
By answering four multiple-choice questions (randomly selected) after studying this chapter, readers can qualify for Continuing Professional Development points plus a Study Completion Certificate from GLOWM.
See end of chapter for details.
INTRODUCTION
According to estimates from the International Agency for Research on Cancer (GLOBOCAN 2022), ovarian cancer is the 8th most common cancer among women, with approximately 207 000 women dying from the disease globally every year, making it the most lethal gynecological malignancy.1
In clinical practice, a transvaginal ultrasound examination is generally considered as the standard first-line imaging investigation for the assessment of adnexal pathology.
The use of risk prediction models, such as the International Ovarian Tumor Analysis (IOTA) Assessment of Different NEoplasias in the adneXa (ADNEX) model, significantly improves diagnostic accuracy, enabling less experienced examiners to distinguish reliably between benign and malignant ovarian tumors (see How to Discriminate Between Benign and Malignant Adnexal Masses using Ultrasound | Article | GLOWM).2,3 Additionally, subjective assessment by expert ultrasound examiners has been demonstrated to have excellent performance in making this distinction.4 In many cases, within the context of referral ultrasound, for example in oncology centers, experts are often able to further refine the diagnosis to a specific histological subtype.
In 2021, the European Society of Gynaecological Oncology (ESGO), International Society of Ultrasound in Obstetrics and Gynecology (ISUOG), IOTA group and European Society for Gynaecological Endoscopy (ESGE) collaborated to develop a clinically relevant and evidence-based consensus statement on the preoperative diagnosis of ovarian tumors and assessment of disease spread.5 In this chapter, we integrated the clinical and pathological characteristics of different types of malignant ovarian tumors with their ultrasound features, drawing on the consensus statement and the WHO 2020 classification of ovarian tumors.6 The cases illustrated in all but one of the figures in this chapter were sourced from the IOTA Phase 7 study (EC number s59207 ClinicalTrials.gov NCT02847832), specifically from patients enrolled at University Hospitals Leuven, all of whom provided informed consent.
CLASSIFICATION OF OVARIAN TUMORS
Ovarian tumors are primarily categorized into epithelial tumors and non-epithelial tumors, as shown in Figure 1. Malignant epithelial ovarian tumors (about 95% of all ovarian tumors) include different histotypes such as serous tumors, mucinous tumors, endometrioid tumors, clear cell tumors, seromucinous tumors and Brenner tumors. Malignant non-epithelial ovarian tumors include malignant germ cell tumors (MGCTs) and malignant sex cord stromal tumors (SCSTs) that account for 5% and 3–5%, respectively of all ovarian malignancies. MGCTs originate from germ cells and include entities such as dysgerminoma, yolk sac tumor and immature teratoma. Malignant SCSTs derive from the stromal component of the ovary, which comprises the granulosa, theca cells and fibrocytes, and include granulosa cell tumors, Sertoli-Leydig cell tumor and gynandroblastoma.
This landscape highlights the diversity of ovarian tumors, each with distinct biological and clinical characteristics, and possible therapeutic implications. Figure 1 details the 2020 WHO classification of ovarian tumors.6 This chapter will focus on the main histotypes of epithelial ovarian tumors, including borderline ovarian tumors, and non-epithelial ovarian tumors.

1
2020 WHO Classification of ovarian tumors. Adapted from WHO Classification of Tumours Editorial Board.6 Figure created using BioRender.
EPITHELIAL OVARIAN TUMORS
Borderline ovarian tumor
Borderline ovarian tumors (BOTs) account for approximately 15–20% of all serous ovarian tumors, with an incidence ranging from 1.8 to 4.8 per 100 000 women-years.7 BOTs affect women with a mean age of 45 years, although over one-third are diagnosed under the age of 40. They are diagnosed at FIGO Stage I in 75% of cases. BOTs include various histological types, predominantly serous (50%) and mucinous (45%), with less common types including seromucinous, clear cell, endometrioid and Brenner tumors. BOTs can be a precursor of low-grade serous carcinoma (LGSC), clear cell carcinoma (CCC), endometrioid ovarian carcinoma (EOC) and mucinous carcinoma (MC).8 Prognostic factors include FIGO stage at diagnosis, presence of invasive peritoneal implants and residual disease post-surgery. Pathologically, BOTs are tumors of low malignant potential characterized by mild to moderate atypia, increased mitotic activity, in the absence of infiltrative destructive growth or obvious stromal invasion. Serous BOTs typically appear as cystic formations exhibiting epithelial proliferation, characterized by hierarchically branching papillae lined with a heterogeneous epithelium showing mild to moderate nuclear atypia. In contrast, mucinous BOTs usually present as large, unilateral cysts lined by gastrointestinal-type mucinous epithelium, displaying varying degrees of atypia that affect more than 10% of the tumor, sometimes associated with intraepithelial carcinoma.
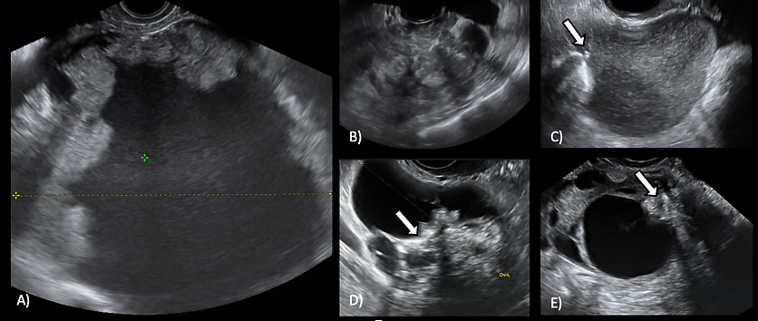
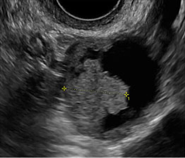
On ultrasound, serous BOTs typically appear as unilocular-solid (55%) or multilocular-solid (30%) masses, with cystic fluid that is anechoic (47%) or exhibits low-level echogenicity.9,10,11 These tumors are characterized by the presence of more than three irregular papillations (81%), with internal blood flow, containing intrapapillary anechoic spaces and absence of acoustic shadows (Figure 2).
|
|
2
Images of serous borderline tumor. Grayscale ultrasound image of unilocular-solid cyst without acoustic shadows. The color score was 3. Postoperative gross specimen showing a friable exophytic growth on the internal surface of the cyst wall.
Mucinous BOTs (previously called intestinal type BOTs) are generally multilocular (80%) or unilocular (15%) and are typically large, with a median diameter of 195 mm. They feature multiple small loculi, often resembling a 'honeycomb appearance' and contain low-level cystic fluid without papillations (Figure 3).

3
Grayscale sonographic images of mucinous borderline ovarian tumors, appearing as multilocular cysts. From A) to H) there is an increase in the number of locules, varying from a cyst with <10 locules to a multilocular cyst with a marked honeycomb appearance.
Seromucinous BOTs, previously referred to as the endocervical type BOTs, are typically unilocular-solid, occasionally multilocular-solid, with a median diameter of 37 mm. These tumors commonly display papillations (60%) and contain cystic fluid that is either low-level or ground-glass in appearance.
Fertility-sparing surgery, defined as the preservation of the uterus and at least part of one ovary, appears safe in patients with BOT. Recurrence has been reported in 5–56% of cases, with mucinous BOT recurring less frequently than serous BOT.
In a retrospective study including 62 patients with a recurrence of serous BOT and six patients with recurrent mucinous BOT, Franchi et al. reported that most recurrent BOTs display the same sonographic features as those reported for primary BOTs.9
Low-grade serous carcinoma
Low-grade serous carcinoma (LGSOC) is a distinct subtype of serous ovarian cancer, representing 2% of epithelial ovarian cancers and 5–10% of all serous ovarian cancers. Initially, the WHO classified low-grade and high-grade serous carcinoma as different subtypes of the same tumor. However, recent research has shown that low-grade and high-grade serous carcinomas are two distinct types of carcinoma with different pathogenesis, morphology, immunohistochemical profile and behavior.
The median age at diagnosis of LGSOC ranges from 43 to 47 years, and most cases are diagnosed at FIGO Stage III. LGSOC may arise from serous BOT or as de novo malignancy from the ovary or peritoneum. LGSOCs generally exhibit a relatively indolent clinical course, in contrast to that of the more aggressive high-grade serous carcinomas. Oncological outcomes of those affected by LGSOC include a progression-free survival of about 19 months and a median overall survival of 10 years. However, recurrence is common, with 70% of patients experiencing a relapse.
Unlike other forms of ovarian cancer, LGSOC is rarely associated with a strong family history of ovarian cancer and is believed not to be related to hereditary breast and ovarian cancer syndrome. LGSOC and serous BOT are characterized by the absence of p53 mutations, which are present in more than 90% of high-grade serous carcinoma (HGSOC), and are also rarely associated with BRCA1/2 mutations.
LGSOCs commonly appear as multilocular-solid (55%) or solid (32%) masses (Figure 4). Sonographic features typically include small calcifications in the solid tissue and papillations (32%).10

4
(A–E) Grayscale sonographic images of low-grade serous carcinoma (LGSOC). Arrow indicates echogenic foci consistent with calcifications. As reported by Moro et al., LGSOCs commonly appear as multilocular-solid (55%) or solid (32%) masses.10
In a retrospective analysis of preoperative ultrasound images of malignant serous ovarian tumors, Moro et al. reported an overlap in ultrasound appearance between BOTs and non-invasive LGSOCs, both presenting as cysts with papillary projections.10 Similarly, the authors reported an overlap in ultrasound characteristics between invasive LGSOCs and HGSOCs, as both tumor types appeared as multilocular-solid masses with non-papillary solid components or solid masses. However, HGSOCs were more likely to be solid than were invasive LGSOCs which, in turn, were more often multilocular-solid.10 Moreover, a considerable number of invasive LGSOCs presented hyperechoic foci, which were very rare in the other subclasses of malignant serous ovarian tumors.
High-grade serous carcinoma
HGSOC is the most common subtype of ovarian cancer, accounting for 85–90% of serous carcinomas and 70% of all ovarian carcinomas. It is diagnosed at an advanced stage in 75% of cases, with a mean age of 64 years at diagnosis. Approximately 80% of advanced-stage and 70% of all HGSOC patients will experience recurrence. Previously thought to arise from the surface epithelium without a known precursor, studies on prophylactic bilateral salpingo-oophorectomy in patients with germline BRCA mutations have identified occult intraepithelial serous carcinoma, mostly located in the fimbriated end of the Fallopian tube, as the precursor. This serous tubal intraepithelial carcinoma (STIC) shares the same TP53 mutation profile as that of invasive ovarian carcinoma in BRCA-mutated patients. Increased CA-125 levels were found in 85% of serous ovarian tumors.12
Macroscopically, HGSOC presents as a large, solid tumor with areas of hemorrhage and necrosis. Microscopically, the cells form papillae, solid masses or slit-like spaces with high-grade nuclear atypia and more than 12 mitoses per 10 high-power fields.
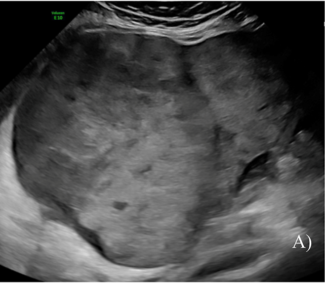
On ultrasound, HGSOC commonly appears as solid (64%) or multilocular-solid (33%) masses, with sonographic features including areas of necrosis in solid tissue and occasionally papillations (7%).10 Figure 5 shows the correspondence of solid component and necrotic areas between the grayscale ultrasound image and the gross specimen examination.

5
Images of high-grade serous carcinoma, showing a solid tumor with color score 4, and correspondence of solid component and necrotic areas between the grayscale ultrasound image and gross specimen examination.
Mucinous carcinoma
Primary mucinous carcinomas account for only 2–3% of ovarian carcinomas, with a median age at diagnosis of 53 years, though 26% of patients are younger than 44 years. CEA is elevated in approximately 30% of cases of borderline and invasive mucinous carcinoma, while CA 19–9 shows increased levels in about 40% of mucinous carcinomas. In contrast, cancer antigen 125 (CA 125), which is more commonly associated with serous ovarian neoplasms, is elevated in only about 10% of mucinous ovarian carcinomas. Based on invasion pattern, invasive mucinous carcinomas are classified as either expansile, with confluent glands and a complex papillary pattern without stromal destruction, or infiltrative, with a destructive invasion pattern, desmoplastic stromal reaction, and a higher likelihood of extraovarian spread.13,14 Expansile mucinous carcinomas are usually diagnosed at Stage I (95%) and have an extremely low risk of relapse, whereas 40–60% of infiltrative mucinous carcinomas present at an advanced stage with 17–30% showing positive lymph nodes, and 15–30% experiencing lethal relapse. Oncological outcomes for localized mucinous ovarian cancer show a 5-year overall survival rate exceeding 90%, but for Stages III or IV, the median overall survival is between 12 and 33 months, likely due to poor chemotherapy response.
Mucinous carcinomas often arise from mucinous BOTs and exhibit a heterogeneous pattern, containing areas of mucinous cystadenoma, mucinous BOT and mucinous adenocarcinoma. They are typically unilateral, large (18–22 cm), multilocular-solid cystic tumors filled with mucus and often have solid components. Histologically, these tumors feature cysts and glands of varying size with a confluent pattern, back-to-back glands and complex papillary architecture. The cells are tall, columnar and stratified with basophilic cytoplasm containing mucin.
On ultrasound, these tumors appear multilocular-solid (55%), multilocular or solid, with very large dimensions (median diameter of 197 mm) and contain low-level cystic fluid (Figure 6).15
In a large series of benign, borderline and malignant mucinous ovarian tumors, Alcazar et al. found that a significant number of borderline (33.3%) and malignant invasive mucinous (23.5%) tumors had benign ultrasound features, and that benign tumors exhibited malignant features in 25.4% of cases.16 Similar results were reported in a subsequent retrospective multicenter study in which Moro et al. concluded that, although preoperative ultrasound can be useful in identifying mucinous ovarian tumors, the overlapping ultrasound features among benign mucinous cystadenoma, mucinous BOT and invasive mucinous epithelial ovarian carcinoma often make it difficult to differentiate between these three categories.15

6
Color Doppler ultrasound image of a unilocular-solid mass (46 x 41 x 38 mm) of the right ovary, showing ground-glass echogenicity and a hyperechogenic papillary structure with dimensions of 14 x 20 x 23 mm containing several blood vessels. Color score was 3. Subsequent pathological diagnosis was ovarian mucinous adenocarcinoma with expansive invasion and two foci of infiltrative invasion (maximum diameter of foci of infiltrative invasion <5 mm). FIGO stage IA.
Endometrioid carcinoma
Endometrioid carcinomas constitute 10–15% of all ovarian carcinomas, representing the second most common type of ovarian epithelial cancer. The mean age at presentation is 55–58 years, which is slightly younger than that for HGSOC. Approximately 80% present with disease confined to the pelvis (Stages I and II). Endometrioid carcinoma carries the most favorable prognosis among ovarian carcinoma histotypes, with a 5-year survival rate exceeding 95% for patients diagnosed at Stage I.
Shared mutations between carcinoma and adjacent endometriosis cysts suggest endometriosis as a precursor for endometrioid ovarian carcinoma, endometriosis being observed in 23–42% of cases. Additionally, it has been observed that 15–20% of ovarian endometrioid carcinomas coexist with endometrial carcinoma. These tumors are usually solid masses with a smooth outer surface and are composed of glands resembling endometrial epithelium. Histologically, endometrioid adenocarcinoma is characterized by extensive glandular branching, budding, true cribriform architecture and highly complex papillary proliferations, with less frequently destructive infiltrative patterns. Most ovarian endometrioid carcinomas are well-differentiated with low-grade nuclei, and the grade is determined by the architectural pattern and nuclear atypia.
In a retrospective multicenter study including 239 histologically confirmed pure endometrioid carcinomas, the tumors typically appeared on ultrasound as multilocular-solid (48%) with low-level (53%) or ground-glass (16%) cystic fluid, or solid (34%), with a median diameter of 102 mm. On retrospective review by Moro et al., 54.8% of endometrioid cancers developing from endometriosis were described as cysts with papillary projections.17 The most typical (36.3%) ultrasound image of an endometrioid cancer not developing from endometriosis was a cyst with a large central solid component entrapped within locules. This pattern resembles the concentric layers of a cockade, hence the term ‘cockade sign’ (Figure 7).

7
Ultrasound images of endometrioid carcinoma without evidence of tumor developing from endometriosis on histological examination. Carcinomas were described as multilocular-solid masses showing a cockade-like appearance. Adapted from Moro et al.17
Clear cell carcinoma
Clear cell carcinoma represents 6% of all ovarian carcinomas in Western countries but accounts for 15–25% in Japan, with the reasons for this geographic variation remaining unknown. The mean age at presentation is 55 years, slightly younger than that for HGSOC. Most cases (49%) are diagnosed at Stages I–II and 21–54% of cases are associated with ovarian or pelvic endometriosis. Both atypical endometriosis and atypical adenofibroma of the ovary are considered precursor lesions, and the risk of clear cell carcinoma is significantly elevated in patients with an ovarian endometrioma (relative risk, 12.4). Clear cell carcinoma exhibits a low response rate to platinum/taxane therapy. Oncological outcomes indicate worse 5-year disease-specific survival for clear cell carcinoma compared to serous carcinoma (85.3% vs 86.4% for Stage I and 17.5% vs 22.2% for Stage IV).
Macroscopically, the tumor is predominantly solid, unilateral (98%) and has a yellow cut surface. Microscopically, it is composed of papillae with a hyalinized core, solid, tubule-cystic and glandular patterns, with large cells displaying clear or eosinophilic cytoplasm and pleomorphic, irregular, hyperchromatic nuclei.
On ultrasound examination, these tumors appear as multilocular-solid (41%), unilocular-solid (35%) or solid (24%), with a median diameter of 117 mm. Sonographic features include solid nodules and papillations in 38% (Figure 8). In a study assessing high quality ultrasound images of 77 clear cell carcinomas, using pattern recognition, no specific ultrasound pattern was detected. It was also reported that clear cell cancers developing from endometriosis more often contained cyst fluid with ground-glass echogenicity than those not developing from endometriosis (50% vs 16.5%).18
|
|
8
Grayscale ultrasound image (a) and photograph of the specimen (b) of a clear cell carcinoma in a 66-year-old woman. Ultrasound shows a solid tumor with hyperechoic, round nodules. The gross appearance of the same clear cell carcinoma shows multiple tumor nodules.
Carcinosarcoma
Carcinosarcoma, accounting for less than 1% of ovarian cancers, typically affects elderly patients, with a mean age at diagnosis of 65 years. These tumors are often diagnosed at advanced stages with peritoneal spread in 75% of cases. Carcinosarcoma has a poor prognosis, with a 5-year overall survival rate of less than 30%. In a previous WHO classification, carcinosarcomas were considered biphasic tumors with both carcinoma and sarcoma components. However, the 2020 WHO classification reclassifies them as high-grade carcinomas, as the sarcomatous component is believed to derive from carcinoma through transdifferentiation via epithelial-mesenchymal transition (EMT). Morphologically, carcinosarcomas are large, cystic and solid tumors with extensive areas of hemorrhage and necrosis. The epithelial component comprises high-grade carcinoma with serous, endometrioid and/or clear cell morphology, while the sarcomatous component can be homologous or heterologous, including elements such as rhabdomyosarcoma, chondrosarcoma, osteosarcoma or liposarcoma.
Sonographically, carcinosarcomas typically appear as solid (72.5%) or multilocular-solid (24.5%) masses with a median diameter of 100 mm.5
Table 1 summarizes the key sonographic features, patient demographics and tumor morphology associated with the different histological subtypes of epithelial ovarian carcinoma.
1
Sonographic features, patient demographics and tumor morphology of different histological subtypes of epithelial ovarian carcinoma.
Category/type | Age (years) | Laterality | Appearance | Typical features |
Low-grade serous carcinoma | Median: 53 | Bilateral (60%) | Multilocular-solid (55%) or solid (32%) | Small calcifications in solid tissue; papillations (32%); color score 2/3/4 |
High-grade serous carcinoma | 55–65 | Bilateral (50%) | Solid (64%) or multilocular-solid (33%) | Areas of necrosis in solid tissue; rarely papillations (7%); color score 2/3/4 |
Mucinous carcinoma (3%) | Median: 53 | Unilateral (80%) | Multilocular-solid (55%), multilocular or solid | Very large tumor (median diameter: 197 mm); cystic fluid low-level; color score 2/3/4 |
Endometrioid carcinoma | Median: 55 | Unilateral (79%); coexist with endometrial carcinoma (20%) | Multilocular-solid (48%) with low-level (53%) or ground-glass (16%) cystic fluid, or solid (34%); median diameter: 102 mm | Cockade-like appearance; papillations in 29%; 20% develop from endometriosis; color score (2)/3/4 |
Clear-cell carcinoma | Median: 55 | Unilateral (85%) | Multilocular-solid (41%) or unilocular-solid (35%) with low-level (44%) or ground-glass (22%) cystic fluid, or solid (24%); median diameter: 117 mm | Solid nodules; papillations in 38%; 20–30% develop from endometriosis; color score (2)/3/4 |
Carcinosarcoma | Median: 66 (range: 33–91) | Bilateral (50%) | Solid (72.5%); multilocular-solid (24.5%); median diameter: 100 mm | Most tumors solid with irregular margins and cystic areas; color score 3/4 |
Modified from ESGO/ISUOG/IOTA/ESGE consensus statement on preoperative diagnosis of ovarian tumors.5
SEX CORD STROMAL TUMORS
Granulosa cell tumor
Granulosa cell tumors account for 1–2% of all ovarian neoplasms and present in two forms: juvenile type (5% of cases, seen in the first three decades) and adult type (95% of cases, typically encountered in postmenopausal patients aged 50–55 years). Adult granulosa cell tumors, which are hormone-secreting, frequently present with estrogenic manifestations such as postmenopausal bleeding and endometrial hyperplasia or neoplasia, and most are diagnosed at Stage I. Serum inhibin levels and antimullerian hormone (AMH) are usually elevated, while CA 125 levels are usually normal. Estradiol levels can be elevated in postmenopausal women. Juvenile granulosa cell tumors can have aggressive behavior in 5% of cases, with recurrence occurring within 3 years of diagnosis, especially in tumors beyond Stage Ia. Adult granulosa cell tumors can recur in 10–50% of cases, either locally in the pelvis or as distant metastases to the liver, spleen and lungs, with recurrences potentially occurring 5 to over 20 years after the initial diagnosis. Prognostic factors include stage, tumor rupture during surgery, mitotic count and nuclear atypia, with TP53 mutation indicating a high-grade transformation and poor outcome. The 5-year overall survival rate is 86% for Stage I but drops to 49% for Stages II and IV.
Granulosa cell tumors are derived from the hormonally active granulosa cells of the ovarian stroma responsible for estradiol production. They are composed of small cells with scant cytoplasm and ovoid or angular nuclei with longitudinal grooves (‘coffee bean’ appearance), low mitotic activity and occasionally nuclear pleomorphism. Call–Exner bodies, small eosinophilic fluid-filled spaces between granulosa cells, give a follicle-like appearance.
On ultrasound, these tumors appear as large multilocular-solid or solid masses, with a median diameter of 100 mm, and feature heterogeneous solid tissue with areas of necrosis and hemorrhage. In a series of 23 cases of granulosa cells tumors, Van Holsbeke et al. identified 13 multilocular/multilocular-solid masses.19 All of them contained five locules or more and 10/13 (77%) contained 10 or more locules. The echogenicity of the cyst content was usually low level (44%) or mixed (38%). Using pattern recognition, two typical patterns were recognized: the first was a solid mass with heterogeneous echogenicity of the solid tissue, while the second pattern had a ‘Swiss cheese’ appearance characterized by many small locules with a variable thickness of solid tissue around the cystic areas and no papillary projections.19
Sertoli–Leydig cell tumor
Sertoli–Leydig cell tumors (SLCTs) are rare, constituting 1–2% of pediatric ovarian cancers and less than 0.5% of all ovarian neoplasms. The mean age at diagnosis is 25 years, although these tumors can also present after menopause. Approximately 80% of SLCTs are diagnosed at Stage I, and 40–60% of cases are associated with endocrine symptoms, particularly androgenic manifestations such as hirsutism, clitoromegaly, breast atrophy and menstrual irregularities or amenorrhea. The histologic grade and subtype of SLCT correlate with clinical behavior, with well-differentiated SLCTs showing well-formed Sertoli tubules separated by Leydig cells and having an excellent prognosis. Moderately and poorly differentiated SLCTs demonstrate fewer hollow or solid Sertoli tubules, a sarcomatoid pattern with mitotically active cells, and the presence of retiform patterns or heterologous elements such as mucinous glands, cartilage and skeletal muscle.
Pattern recognition showed that the SLCTs were solid tumors, or multilocular-solid tumors with purely solid areas mixed with areas of innumerable closely packed small cyst locules. Ultrasound findings described by Demidov et al. showed that 96% of 23 SLCTs contained solid components, 70% being purely solid. No tumor contained papillary projections. Additionally, in almost all, cyst fluid, when present, was anechogenic.20
Table 2 summarizes the key features associated with the above histological subtypes of SCST.
2
Sonographic features, patient demographics and tumor morphology of two different histological subtypes of sex-cord stromal tumor.
Category/type | Age (years) | Laterality | Appearance | Typical features |
Granulosa-cell tumor (70%) | 50% premenopausal; 3–10% prepubertal (juvenile type) | Unilateral | Large multilocular-solid/solid; median diameter: 100 mm; heterogeneous solid tissue with areas of necrosis and hemorrhage; echogenicity of fluid mixed or low-level; rarely papillations | ‘Swiss cheese’ pattern; hyperestrogenic (abnormal bleeding, thick endometrium); CA 125 normal; estradiol elevated in postmenopause; color score 3/4 |
Sertoli–Leydig cell tumor | ≤30 (75%) | Unilateral (100%) | Large multilocular-solid or solid; median diameter: 50–150 mm | Endocrine symptoms (one-third virilization); testosterone/ androstenedione; color score 3/4 |
Modified from ESGO/ISUOG/IOTA/ESGE consensus statement on preoperative diagnosis of ovarian tumors.5
GERM CELL TUMORS
Dysgerminoma
Dysgerminoma constitutes 1–2% of all malignant ovarian tumors and is the most common MGCT of the ovary, accounting for 50% of such tumor types. It is one of the most common neoplasms in pregnancy and often presents with elevated serum lactate dehydrogenase (LDH) (95%) and occasionally increase of alpha-fetoprotein (AFP) levels. In addition, dysgerminoma can cause hypercalcemia as a paraneoplastic syndrome due to the tumor's production of 1,25-dihydroxyvitamin D3.
The high chemosensitivity of MGCTs contributes to their associated favorable outcomes. Most dysgerminomas are diagnosed at Stage I and, with treatment, the prognosis is excellent, with an overall survival rate of over 90% and a recurrence risk of 15–25% in stage IA. Prognostic factors for improved survival include young age, low grade and surgical intervention. Dysgerminomas are solid tumors composed of cells resembling primordial germ cells, arranged in sheets, cords and nests, with stroma containing small lymphocytes and histiocytes. A minority of cases may present scattered syncytiotrophoblastic cells, which can cause slight elevations in serum human chorionic gonadotropin (hCG). In a case series of 20 pure dysgerminomas, the most characteristic ultrasound features identified through pattern recognition included a purely solid tumor with a lobulated pattern, exhibiting heterogeneous internal echogenicity, smooth lobulated contours, well-defined borders and rich vascularization on color/power Doppler examination.21 The lobulated ultrasound appearance of dysgerminomas may be attributed to fine connective tissue containing lymphocytes that separate nodules of tumor cells, as shown in Figure 9. However, a similar ultrasound pattern may also be seen in other solid malignant ovarian tumors, such as solid metastases or lymphoma.

9
Lobulated pattern of ovarian dysgerminoma. Ultrasound examination shows a solid tumor with relatively anechoic connective tissue (yellow marks) that separates lobules. The gross specimen shows a multilobulated, fleshy, pink-tan cut surface with fibrovascular septa (yellow marks).
Yolk sac tumor
Yolk sac tumor is the second most common MGCT (20%), after dysgerminoma. Yolk sac tumor is mostly seen in the second and third decades of life with a mean age at diagnosis of 19 years, although it can also occur in postmenopausal women. These tumors usually present as a pure form, though they can occasionally be a component of a mixed germ cell tumor.
Yolk sac tumors are characterized by elevated serum AFP and are known for their rapid growth, a common feature of malignant ovarian germ cell tumors. Despite the generally favorable clinical outcomes due to their chemosensitivity, the prognosis for yolk sac tumors is less favorable than that for dysgerminomas.
Histologically, yolk sac tumors exhibit multiple patterns, including reticular/microcystic papillary, festoon, glandular, endodermal sinus pattern with Schiller-Duval bodies. The latter are structures that are characterized by the presence of a central blood vessel and lined by a layer of cuboidal or columnar cells.
Sonographically, yolk sac tumors are large and heterogeneous, typically measuring 100–200 mm, and are multilocular-solid or solid in appearance. They exhibit fine-textured, slightly hyperechoic solid tissue.22
Immature teratoma
Ovarian teratomas are common germ cell tumors that arise from totipotent germ cells. There are three types of ovarian teratoma: mature, immature and monodermal. A mature teratoma represents 95% of all teratomas and is benign and displays elements from all three layers (ectoderm, endoderm and mesoderm). It contains bone tissue, hair, teeth, sebum, fatty tissue and keratin. An immature teratoma, which is the malignant form of teratoma, is the second most common type of teratoma.
Immature teratoma comprises less than 1% of ovarian germ cell tumors and typically manifests at a mean age of 20 years, with few cases diagnosed in patients older than 40.
These tumors are characterized by mildly elevated serum AFP, with levels above 100 ng/mL suggesting the presence of a yolk sac tumor component. A characteristic associated with immature teratoma is the ‘growing teratoma syndrome’, in which post-neoadjuvant chemotherapy, the ovarian tumor persists or enlarges despite normalization of serum markers. Another feature is gliomatosis peritonei, found in 25% of cases and characterized by implants arising from a pluripotent Mullerian stem cell in the peritoneum, rather than representing a metastasis. The grade and stage of immature teratomas significantly impact outcomes, with higher grades (2 and 3) associated with worse prognosis. Recurrence risk is low, particularly in Stage IA Grade 1 tumors (less than 5%), but higher in Grade 3 tumors (20%). Patients with Stage IA immature teratoma generally exhibit a favorable 10-year survival rate of 70%, with comparable rates when treated by unilateral or bilateral salpingo-oophorectomy. Immature teratomas are larger than mature teratomas, and can be solid or mixed with solid and cystic elements. They contain sebaceous, mucinous and serous fluids. Microscopically, while mature teratomas typically contain differentiated adult-type tissue from one or more of the germ layers, the immature teratoma contains immature tissue with the presence of embryo-appearing tissue, typically in the form of neuroepithelial rosettes and tubules.
Sonographically, immature teratomas appear as unilateral, large masses, predominantly solid, displaying highly heterogeneous solid tissue with vascularized hyperechogenic areas.23
Choriocarcinoma
Choriocarcinoma of the ovary is a rare and aggressive malignancy, constituting approximately 2% of ovarian MGCTs. It can be categorized into gestational and non-gestational types, each with distinct clinical presentation and outcome. Gestational choriocarcinoma may arise either as a primary tumor from an ectopic ovarian pregnancy or as a metastasis from a primary gestational choriocarcinoma originating in the uterus or other parts of the genital tract. Non-gestational choriocarcinoma arises from a primary germ cell tumor that exhibits trophoblastic differentiation, typically occurring in younger women, often younger than 20 years of age. Both types of choriocarcinoma are characterized by markedly elevated levels of hCG.
Histopathologically, choriocarcinomas exhibit a mixture of syncytiotrophoblastic, cytotrophoblastic and intermediate trophoblastic cells, often arranged in a random fashion amidst areas of hemorrhage and necrosis. Vascular invasion is frequently observed, contributing to the aggressive nature of the tumor. Sonographically, ovarian choriocarcinomas present as large, solid masses with heterogeneous echogenicity and irregular cystic spaces, reflecting their rapid growth and propensity for hemorrhagic events.24
Embryonal carcinoma
Embryonal carcinoma represents a rare subset of ovarian MGCT, accounting for approximately 4% of cases. It typically manifests at a mean age of 15 years, often as part of a mixed germ cell tumor and rarely occurs in its pure form. Patients may present with menstrual abnormalities and endocrine disorders, particularly in cases involving non-gestational choriocarcinoma or embryonal carcinoma. Elevated levels of hCG and AFP are commonly observed.
Histologically, embryonal carcinoma is characterized by primitive-looking, mitotically active cells that resemble embryonic stem cells, arranged in sheets or nests containing scattered syncytiotrophoblasts. Syncytiotrophoblastic cells, if present, stain positive for cytokeratin and hCG. On ultrasound examination, ovarian embryonal carcinomas appear as large, unilateral masses with solid components exhibiting heterogeneous echogenicity, often accompanied by small irregular cystic spaces.
Prognosis for embryonal carcinoma is influenced by factors such as FIGO stage, tumor marker levels, histological grade and extent of residual disease post-surgery.
Sonographically, embryonal carcinomas appear as large, solid (with bizarre echogenicity) ovarian lesions with small and irregular cystic spaces.24
Malignant mixed germ cell tumor
Malignant mixed germ cell tumors are rare and highly aggressive malignancies, comprising about 8% of all germ cell tumors. These tumors typically present with elevated levels of hCG, LDH and AFP. The most common combination observed in malignant mixed germ cell tumors involves dysgerminoma and endodermal sinus tumor (EST), whereas combinations such as embryonal carcinoma and immature teratoma are rarer.
These tumors are known for their excellent response to chemotherapy, particularly with regimens like BEP (bleomycin, etoposide, cisplatin), which is effective against the diverse cellular elements within the tumor. Histologically, malignant mixed germ cell tumors can exhibit a complex composition, often featuring elements such as embryonal carcinoma, which carries the highest malignant potential among the components.
Sonographically, these tumors appear as large, solid masses with heterogeneous echogenicity, characterized by small and irregular cystic spaces within the lesion. This imaging appearance reflects the mixed histological nature of the tumor, which can include areas of necrosis, hemorrhage and different tissue types.24
Table 3 summarizes the key features associated with the different histological subtypes of MGCT.
3
Sonographic features, patient demographics and tumor morphology of different histological subtypes of germ cell tumors.
Category/type | Age (years) | Laterality | Appearance | Typical features |
Dysgerminoma | Median: 20 (range: 16–31) | Unilateral | Highly vascularized, purely solid tumors with heterogeneous internal echogenicity divided into several lobules; smooth and sometimes lobulated contour; well-defined relative to surrounding organs | Internal lobular appearance; raised LDH, sometimes AFP; color score 3/4 |
Yolk sac tumor | 20–30 | Unilateral | Large and irregular multilocular-solid/solid (100–200 mm) | Fine-textured slightly hyperechoic solid tissue; raised AFP; color score 3/4 |
Immature teratoma | 15–30 | Unilateral | Large, predominantly solid | Inhomogeneous solid tissue with hyper-reflective areas; raised AFP; color score 2/3/4 |
Choriocarcinoma | Median: 36 | Unilateral | Large, solid (inhomogeneous echogenicity) with small and irregular cystic spaces | Raised hCG; color score (3)/4 |
Embryonal carcinoma | 14–20 | Unilateral | Large, solid (inhomogeneous echogenicity) with small and irregular cystic spaces | Raised hCG and AFP; color score (3)/4 |
Malignant mixed germ cell tumor | Median: 18 | Unilateral | Large, solid (inhomogeneous echogenicity) with small and irregular cystic spaces | Raised hCG/LDH/AFP; color score (3)/4 |
Modified from ESGO/ISUOG/IOTA/ESGE consensus statement on preoperative diagnosis of ovarian tumors.5 AFP, alpha fetoprotein; hCG, human chorionic gonadotropin; LDH, lactate dehydrogenase.
METASTASIS TO THE OVARIES
In 2007, Testa et al. showed that ovarian metastases derived from stomach cancer, breast cancer, lymphoma and uterine cancer are solid in almost all cases, whereas those derived from the colon, rectum and biliary tract manifest more heterogeneous morphological patterns, most being cystic with many cyst locules and irregular borders (Figure 10). Papillary projections seemed to be relatively rare (12%) in metastatic tumors to the ovaries.25
In a retrospective study of 31 patients with histopathologically confirmed metastatic involvement of the ovary, the presence of the lead vessel was detected in 11/31 (35.4%) metastatic ovarian tumors, and in only two (0.01%) cases of primary ovarian carcinoma, the difference being statistically significant.26 Table 4 summarizes the key features associated with metastases of the ovary.
|
|
10
Grayscale ultrasound image, showing a solid tumor with irregular margin (A) and specimen photograph (B) of bilateral ovarian metastases from colorectal cancer.
4
Sonographic features, patient demographics and tumor morphology of different histological subtypes of metastasis to the ovary.
Category/type | Age (years) | Laterality | Appearance | Typical features |
Metastases from breast, stomach, lymphoma or uterus | Median: 56 | Bilateral (50–75%)/ | Solid; median diameter: 70 mm | 'Lead-vessel' sign; CA 125 moderately raised in 75%; CA 15–3 raised (breast); color score 3/4 |
Metastases from colon, rectum, appendix or biliary tract | Median: 56 (appendix: younger, 25–50) | Bilateral (50–75%)/ | Multilocular/multilocular-solid; median diameter: 120 mm; many locules; irregular; papillations | CA 125 moderately raised in 75%; CEA raised (colon, rectum); CA 19–9 raised (biliary tract); color score (2)/3/(4) |
Modified from ESGO/ISUOG/IOTA/ESGE consensus statement on preoperative diagnosis of ovarian tumors.5
PRACTICE RECOMMENDATIONS
- Use standardized IOTA terminology to support sonographic diagnosis, in line with the latest ESGO/ISUOG/IOTA/ESGE consensus on preoperative assessment of ovarian tumors.
- Routinely apply risk models such as IOTA ADNEX during adnexal mass evaluation.
- In equivocal cases or high-risk patients, obtain an expert second-opinion ultrasound to refine the preoperative differential diagnosis.
- Develop and maintain expertise in recognizing characteristic ultrasound ‘signatures’ of specific tumor types to guide surgical planning and referrals to oncology units.
- Test for tumor markers (AFP, hCG, LDH, inhibin, CA 125) based on sonographic and clinical suspicion, and interpret them in the context of the suspected tumor type to avoid misclassification.
CONFLICTS OF INTEREST
The author(s) of this chapter declare that they have no interests that conflict with the contents of the chapter.
Feedback
Publishers’ note: We are constantly trying to update and enhance chapters in this Series. So if you have any constructive comments about this chapter please provide them to us by selecting the "Your Feedback" link in the left-hand column.
REFERENCES
Bray F, Laversanne M, Sung H, Ferlay J, Siegel RL, Soerjomataram I, Jemal A. Global cancer statistics 2022: GLOBOCAN estimates of incidence and mortality worldwide for 36 cancers in 185 countries. CA Cancer J Clin. 2024 May-Jun;74(3):229–263. doi: 10.3322/caac.21834. Epub 2024 Apr 4. PMID: 38572751. | |
Barreñada L, Ledger A, Dhiman P, Collins G, Wynants L, Verbakel JY, Timmerman D, Valentin L, Van Calster B. ADNEX risk prediction model for diagnosis of ovarian cancer: systematic review and meta-analysis of external validation studies. BMJ Med. 2024 Feb 17;3(1):e000817. doi: 10.1136/bmjmed-2023-000817. PMID: 38375077; PMCID: PMC10875560. | |
Ledermann JA, Matias-Guiu X, Amant F, Concin N, Davidson B, Fotopoulou C, González-Martin A, Gourley C, Leary A, Lorusso D, Banerjee S, Chiva L, Cibula D, Colombo N, Croce S, Eriksson AG, Falandry C, Fischerova D, Harter P, Joly F, Lazaro C, Lok C, Mahner S, Marmé F, Marth C, McCluggage WG, McNeish IA, Morice P, Nicum S, Oaknin A, Pérez-Fidalgo JA, Pignata S, Ramirez PT, Ray-Coquard I, Romero I, Scambia G, Sehouli J, Shapira-Frommer R, Sundar S, Tan DSP, Taskiran C, van Driel WJ, Vergote I, Planchamp F, Sessa C, Fagotti A. ESGO-ESMO-ESP consensus conference recommendations on ovarian cancer: pathology and molecular biology and early, advanced and recurrent disease. Ann Oncol. 2024 Mar;35(3):248–266. doi: 10.1016/j.annonc.2023.11.015. Epub 2024 Feb 1. PMID: 38307807. | |
Meys EM, Kaijser J, Kruitwagen RF, Slangen BF, Van Calster B, Aertgeerts B, Verbakel JY, Timmerman D, Van Gorp T. Subjective assessment versus ultrasound models to diagnose ovarian cancer: A systematic review and meta-analysis. Eur J Cancer. 2016 May;58:17–29. doi: 10.1016/j.ejca.2016.01.007. Epub 2016 Feb 27. PMID: 26922169. | |
Timmerman D, Planchamp F, Bourne T, Landolfo C, du Bois A, Chiva L, Cibula D, Concin N, Fischerova D, Froyman W, Gallardo G, Lemley B, Loft A, Mereu L, Morice P, Querleu D, Testa AC, Vergote I, Vandecaveye V, Scambia G, Fotopoulou C. ESGO/ISUOG/IOTA/ESGE Consensus Statement on preoperative diagnosis of ovarian tumors. Ultrasound Obstet Gynecol. 2021 Jul;58(1):148–168. doi: 10.1002/uog.23635. Epub 2021 Jun 10. PMID: 33794043. | |
WHO Classification of Tumours Editorial Board (2020) Female Genital Tumours: WHO Classification of Tumours, Vol. 4. Lyon, France: IARC. | |
Fischerova D, Zikan M, Dundr P, Cibula D. Diagnosis, treatment, and follow-up of borderline ovarian tumors. Oncologist. 2012;17(12):1515–33. doi: 10.1634/theoncologist.2012-0139. Epub 2012 Sep 28. PMID: 23024155; PMCID: PMC3528384. | |
Lim D, Oliva E. Precursors and pathogenesis of ovarian carcinoma. Pathology. 2013 Apr;45(3):229–42. doi: 10.1097/PAT.0b013e32835f2264. PMID: 23478230. | |
Franchi D, Boveri S, Fruscio R, Fischerova D, Guerriero S, Moruzzi MC, Colombo N, Timmerman D, Valentin L, Testa AC. Imaging in gynecological disease (8): ultrasound characteristics of recurrent borderline ovarian tumors. Ultrasound Obstet Gynecol. 2013 Apr;41(4):452–8. doi: 10.1002/uog.12276. PMID: 22858859. | |
Moro F, Baima Poma C, Zannoni GF, Vidal Urbinati A, Pasciuto T, Ludovisi M, Moruzzi MC, Carinelli S, Franchi D, Scambia G, Testa AC. Imaging in gynecological disease (12): clinical and ultrasound features of invasive and non-invasive malignant serous ovarian tumors. Ultrasound Obstet Gynecol. 2017 Dec;50(6):788–799. doi: 10.1002/uog.17414. Epub 2017 Nov 2. PMID: 28101917. | |
Landolfo C, Valentin L, Franchi D, Van Holsbeke C, Fruscio R, Froyman W, Sladkevicius P, Kaijser J, Ameye L, Bourne T, Savelli L, Coosemans A, Testa A, Timmerman D. Differences in ultrasound features of papillations in unilocular-solid adnexal cysts: a retrospective international multicenter study. Ultrasound Obstet Gynecol. 2018 Aug;52(2):269–278. doi: 10.1002/uog.18951. PMID: 29119698. | |
Kurman RJ, Shih IM. The origin and pathogenesis of epithelial ovarian cancer: a proposed unifying theory. Am J Surg Pathol. 2010 Mar;34(3):433–43. doi: 10.1097/PAS.0b013e3181cf3d79. PMID: 20154587; PMCID: PMC2841791. | |
Lee KR, Scully RE. Mucinous tumors of the ovary: a clinicopathologic study of 196 borderline tumors (of intestinal type) and carcinomas, including an evaluation of 11 cases with 'pseudomyxoma peritonei'. Am J Surg Pathol. 2000 Nov;24(11):1447–64. doi: 10.1097/00000478-200011000-00001. PMID: 11075847. | |
Momeni-Boroujeni A, Song H, Irshaid L, Strickland S, Parra-Herran C, Busca A. Outcome-based Validation of Confluent/Expansile Versus Infiltrative Pattern Assessment and Growth-based Grading in Ovarian Mucinous Carcinoma. Am J Surg Pathol. 2022 Sep 1;46(9):1250–1259. doi: 10.1097/PAS.0000000000001895. Epub 2022 Apr 4. PMID: 35363158. | |
Moro F, Zannoni GF, Arciuolo D, Pasciuto T, Amoroso S, Mascilini F, Mainenti S, Scambia G, Testa AC. Imaging in gynecological disease (11): clinical and ultrasound features of mucinous ovarian tumors. Ultrasound Obstet Gynecol. 2017 Aug;50(2):261–270. doi: 10.1002/uog.17222. Epub 2017 Jun 22. PMID: 28782867. | |
Alcazar J, Pascual M, Guerriero S, Rams N, Juez L, Ajossa S, Graupera B, Hereter L, Cappai A, Pero M, Perniciano M, Jurado M. OC04.01: Ultrasound features of mucinous ovarian tumors. Ultrasound Obstet Gynecol. 2015 46:7–7. https://doi.org/10.1002/uog.14971 | |
Moro F, Magoga G, Pasciuto T, Mascilini F, Moruzzi MC, Fischerova D, Savelli L, Giunchi S, Mancari R, Franchi D, Czekierdowski A, Froyman W, Verri D, Epstein E, Chiappa V, Guerriero S, Zannoni GF, Timmerman D, Scambia G, Valentin L, Testa AC. Imaging in gynecological disease (13): clinical and ultrasound characteristics of endometrioid ovarian cancer. Ultrasound Obstet Gynecol. 2018 Oct;52(4):535–543. doi: 10.1002/uog.19026. PMID: 29418038. | |
Pozzati F, Moro F, Pasciuto T, Gallo C, Ciccarone F, Franchi D, Mancari R, Giunchi S, Timmerman D, Landolfo C, Epstein E, Chiappa V, Fischerova D, Fruscio R, Zannoni GF, Valentin L, Scambia G, Testa AC. Imaging in gynecological disease (14): clinical and ultrasound characteristics of ovarian clear cell carcinoma. Ultrasound Obstet Gynecol. 2018 Dec;52(6):792–800. doi: 10.1002/uog.19171. PMID: 29978567. | |
Van Holsbeke C, Domali E, Holland TK, Achten R, Testa AC, Valentin L, Jurkovic D, Moerman P, Timmerman D. Imaging of gynecological disease (3): clinical and ultrasound characteristics of granulosa cell tumors of the ovary. Ultrasound Obstet Gynecol. 2008 Apr;31(4):450–6. doi: 10.1002/uog.5279. PMID: 18338427. | |
Demidov VN, Lipatenkova J, Vikhareva O, Van Holsbeke C, Timmerman D, Valentin L. Imaging of gynecological disease (2): clinical and ultrasound characteristics of Sertoli cell tumors, Sertoli-Leydig cell tumors and Leydig cell tumors. Ultrasound Obstet Gynecol. 2008 Jan;31(1):85–91. doi: 10.1002/uog.5227. PMID: 18098335. | |
Guerriero S, Testa AC, Timmerman D, Van Holsbeke C, Ajossa S, Fischerova D, Franchi D, Leone FP, Domali E, Alcazar JL, Parodo G, Mascilini F, Virgilio B, Demidov VN, Lipatenkova J, Valentin L. Imaging of gynecological disease (6): clinical and ultrasound characteristics of ovarian dysgerminoma. Ultrasound Obstet Gynecol. 2011 May;37(5):596–602. doi: 10.1002/uog.8958. Epub 2011 Apr 5. PMID: 21305635. | |
Anfelter P, Testa A, Chiappa V, Froyman W, Fruscio R, Guerriero S, Alcazar JL, Mascillini F, Pascual MA, Sibal M, Savelli L, Zannoni GF, Timmerman D, Epstein E. Imaging in gynecological disease (17): ultrasound features of malignant ovarian yolk sac tumors (endodermal sinus tumors). Ultrasound Obstet Gynecol. 2020 Aug;56(2):276–284. doi: 10.1002/uog.22002. Erratum in: Ultrasound Obstet Gynecol. 2020 Dec;56(6):966. doi: 10.1002/uog.23526. PMID: 32119168. | |
Landolfo C, Froyman W, Testa AC, Czekierdowski A, Guerriero S, Coosemans A, Franchi D, Van Holsbeke C, Van Calster B, Verbakel J, Van Nieuwenhuysen E, Vergote I, Timmerman D, Valentin L. Imaging in gynecological disease: clinical and ultrasound features of primary immature teratomas of the ovary. Ultrasound Obstet Gynecol. 2025. https://doi.org/10.1002/uog.70111 | |
Moro F, Castellano LM, Franchi D, Epstein E, Fischerova D, Froyman W, Timmerman D, Zannoni GF, Scambia G, Valentin L, Testa AC, Mascilini F. Imaging in gynecological disease (22): clinical and ultrasound characteristics of ovarian embryonal carcinomas, non-gestational choriocarcinomas and malignant mixed germ cell tumors. Ultrasound Obstet Gynecol. 2021 Jun;57(6):987–994. doi: 10.1002/uog.23529. PMID: 33142349. | |
Testa AC, Ferrandina G, Timmerman D, Savelli L, Ludovisi M, Van Holsbeke C, Malaggese M, Scambia G, Valentin L. Imaging in gynecological disease (1): ultrasound features of metastases in the ovaries differ depending on the origin of the primary tumor. Ultrasound Obstet Gynecol. 2007 May;29(5):505–11. doi: 10.1002/uog.4020. PMID: 17444565. | |
Testa AC, Mancari R, Di Legge A, Mascilini F, Salutari V, Scambia G, Ferrandina G. The 'lead vessel': a vascular ultrasound feature of metastasis in the ovaries. Ultrasound Obstet Gynecol. 2008 Feb;31(2):218–21. doi: 10.1002/uog.5251. PMID: 18254156. |
Online Study Assessment Option
All readers who are qualified doctors or allied medical professionals can automatically receive 2 Continuing Professional Development points plus a Study Completion Certificate from GLOWM for successfully answering four multiple-choice questions (randomly selected) based on the study of this chapter. Medical students can receive the Study Completion Certificate only.
(To find out more about the Continuing Professional Development awards programme CLICK HERE)






