MRI Atlas | GLOWM

MRI Atlas


Normal

Fig. 1. T2-weighted MRI of a normal female pelvis. A. Sagittal view of the uterine body, cervix, and vagina.


Fig. 3. A. Normal pelvis. Sagittal T1-weighted image of the uterus ( arrowheads ). Note the lack of clear demarcation between the endometrial tissue and the myometrium. On this T1-weighted image, the bladder fluid (b) has decreased signal, whereas the fat (f) has high signal. B. Sagittal T2-weighted image obtained at the same location as in A. Three zones are now apparent in the uterus. The area of decreased signal ( arrow) between the myometrium and endometrium is called the junctional zone. The cervix ( curved arrows) has less signal than the uterine fundus. The vagina is readily apparent as a thin stripe of high signal intensity surrounded by linear bands of decreased signal intensity ( open arrows ). On this T2-weighted image, the fluid in the bladder (b) now has high signal intensity, whereas fat (f) has somewhat less signal and is gray. C. Coronal T1-weighted image showing the uterus (u) and adnexa ( arrows ). D. Coronal T2-weighted image at the same level as in C. The internal architecture of the uterus is now well depicted. The right adnexa ( arrow) is isointense with fat. The left ovary ( open arrow) has slightly increased signal intensity when compared with fat as a result of several small follicular cysts.

Back to Top

Leiomyomas

Fig. 4. A. Leiomyoma. Coronal T1-weighted image of an 81-year-old woman with a pelvic mass. On both clinical examination and ultrasonography, distinction between an ovarian and uterine mass could not be made. On this sequence, both the leiomyoma ( m) and uterus ( u) have approximately the same signal intensity. B. T2-weighted image shows the leiomyoma ( m) to have decreased signal intensity when compared with the uterus ( u ).

Back to Top

Adenomyosis

Fig. 5. A. Adenomyosis. Sagittal T2-weighted image of adenomyosis ( a) seen as an irregular, hypoin-tense, enlarged junctional zone with indistinct margins infiltrating into the myometrium ( arrowheads ). B. Transverse T2-weighted image of the same patient showing adenomyosis ( a ). ( A and B courtesy of Dr. Leslie Scoutt, Yale University)

Back to Top

Hemorrhagic Ovarian Cyst

Fig. 11. A. Hemorrhagic cyst. Longitudinal view of the pelvis on ultrasonography showing a large fluid-filled mass in the pelvis. B. Sagittal T1-weighted image showing a mass with high signal intensity superior to the bladder (c). C. T2-weighted sagittal image showing the cyst to have persistently high signal intensity. Findings are consistent with a hemorrhagic cyst subsequently confirmed at surgery.

Back to Top

Endometrioma

Fig. 12. A. Endometrioma. Transverse T1-weighted image showing a left adnexal mass with areas of both increased and decreased signal ( arrow ). B. T2-weighted image showing change in signal intensities within the cyst consistent with different stages of blood. Findings are consistent with the final diagnosis of an endometrioma.

Back to Top

Dermoid

Fig. 13. A. Dermoid. T1-weighted transverse image showing a left adnexal cyst of high signal intensity ( arrow ). B. With increased T2 weighting, the cyst shows persistently high signal intensity. Findings are consistent with the diagnosis of a dermoid. Volume 1, Chapter 93

Back to Top

Simple Ovarian Cyst

Fig. 14. A. Simple ovarian cyst. Transverse T1-weighted image showing a right adnexal soft-tissue density of low signal intensity ( arrow ). B. With increased T2 weighting, the abnormality shows high signal intensity. The thin wall and the appearance on both T1- and T2-weighted images are consistent with the final diagnosis of a simple ovarian cyst.

Back to Top

Uterine Prolapse

Fig. 15. Sagittal MR images of a 62-year-old patient with uterine prolapse before corrective surgery (A) and after surgery (B). Note that the levator plate is highlighted by the dashed line and does not cross the symphysis prior to surgery but clearly crosses the symphysis after surgery.(Ozasa H, Mori T, Togashi K: Study of uterine prolapse by magnetic resonance imaging: Topographical changes involving the levator ani muscle and the vagina. Gynecol Obstet Invest 34:43, 1992) Volume 1, Chapter 93

Back to Top

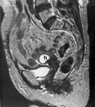
Hydrometra

Fig. 7. T2-weighted sagittal MRI of the pelvis shows cervical carcinoma ( c) causing hydrometras ( h ).


Fig. 10. Sagittal T2-weighted MRI of the pelvis shows moderate hydrometras ( h) caused by postirradiation cervical scarring.

Back to Top

Post-irradiation Fibrosis

Fig. 10. A. Fibrosis. Transverse T1-weighted image showing minimal fullness in the tissues surrounding the cervix ( arrows ). B. With T2 weighting, the tissues surrounding the cervix show no increase in signal, suggesting radiation-induced fibrosis. Biopsy specimens failed to identify persistent disease.

Back to Top

Endometrial Cancer

Fig. 6. A. Endometrial carcinoma. Slightly T2-weighted sagittal image in a patient with endometrial carcinoma (e). Normal zonal anatomy has been disrupted. The central region of high signal intensity represents endometrial carcinoma that has invaded through the junctional zone and extends deeply into the myometrium. Only a small rim of normal myometrium remains ( arrow ). B. A more T2-weighted image than in A, showing similar findings.


Fig. 22. Sagittal T2-weighted MRI in a patient with a stage IA endometrial carcinoma shows replacement of the lower two thirds of the hyperintense endometrium by an inhomogeneous medium-intensity irregular mass ( m) that invades the deeper layer of the myometrium anteriorly. ( u, uterus; c, cervix; v, vagina; b, bladder; black arrow, endometrium; white arrow, uterine junctional zone.)

Back to Top

Cervical Cancer

Fig. 7. A. Cervical carcinoma. Sagittal T1-weighted image showing prominence in the region of the cervix. Distinction between the vagina, cervix, and a soft-tissue mass is difficult ( arrows ). B. Sagittal T2-weighted image in the same location. The cervical carcinoma can now be seen extending toward the fundus as well as into the vaginal vault ( arrows ).


Fig. 2. Axial T1-weighted MR ( A) and CT ( B) images of the pelvis in a patient with cervical cancer show right parametrial extension of tumor ( arrow ). Note the normal left parametrium ( arrowhead ). Proven stage IIB. ( s, sigmoid; b, bladder; r, rectum.)


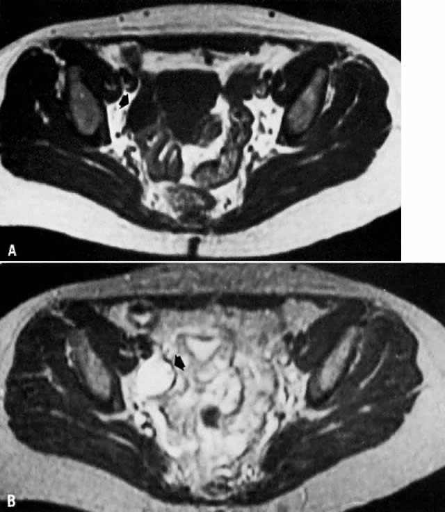
Fig. 8. A. Parametrial extension. Transverse T1-weighted image of a patient with cervical carcinoma extending into the parametrium ( white arrows ). The pelvic side walls ( open arrows) are uninvolved. B. T2-weighted image showing the cancer to have high signal intensity.


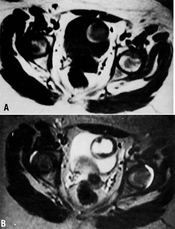
Fig. 9. A. Recurrent cervical carcinoma. Transverse T1-weighted image through the pelvis showing a large left pelvic soft-tissue mass ( arrows ). B. With T2 weighting, the mass in A now shows increased signal intensity consistent with recurrent carcinoma.


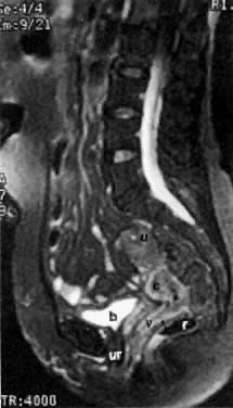
Fig. 14. A. Sagittal T1-weighted MRI of a cervical carcinoma. Note the large, hyperintense mass enlarging the cervix. A tampon is in place to outline the vagina. Preservation of the fat planes that separate the cervix from the bladder and rectum ( arrows) excludes extension to these organs. B. Sagittal T2-weighted fat suppression MRI of the same patient. ( u, uterus; c, cervical carcinoma; b, bladder; r, rectum; ur, urethra; t, tampon.)


Fig. 15. Sagittal T2-weighted MRI of a stage IIA cervical carcinoma ( c) shows invasion in upper third of the posterior vaginal wall ( arrow ). ( u, uterus; v, vagina; b, bladder; r, rectum; ur, urethra.)


Fig. 16. A. Axial T1-weighted MRI of a stage IIB cervical carcinoma shows a mass ( m) extending from the cervical tumor ( c) in the right parametrium. B. Axial contrast-enhanced T1-weighted MRI shows enhancement of the cervical and parametrial mass after gadolinium bolus injection.(Mayr NA, Tali ET, Yuh WTC et al: Cervical cancer: Application of MR imaging in radiation therapy. Radiology 189:601, 1993) Volume 4, Chapter 54


Fig. 17. Recurrent cervical carcinoma with possible radiation changes in the bones and muscles. Sagittal ( A ), low-transverse ( B ), coronal ( C ), and high-transverse ( D) T1-weighted MRI of the pelvis show a large high-signal-intensity mass ( m) (density less than that of fat and more than that of muscle) superior and posterior to the bladder ( b ). Note thickening of the right lateral and superior bladder wall caused by tumor invasion ( arrows ). There is also spread of tumor to the pelvic sidewall ( arrowheads ). There is thickening and increased signal intensity to the right iliopsoas muscle ( ip) compared to the left. There is also evidence of increased signal intensity to the bone marrow of the sacrum and L5 in A. The muscle and bone changes are probably caused by radiation.


Fig. 18. Axial T1-weighted MRI shows a stage IV cervical carcinoma. Note the focal thickening of the bladder ( b) base ( arrowheads) caused by direct extension from the cervical mass ( c ). Note also the obliteration of the intervening fat plane. ( r, rectum.)


Fig. 19. Sagittal T2-weighted MRI in a patient with stage IVA cervical cancer shows invasion of the anterior wall of the rectum ( r ). ( u, uterus; c, cervical mass; v, vagina; b, bladder.)


Fig. 57. Axial MRI shows the utility of MR in planning radiation ports. In this case, MR showed that the tumor extending into the right parametrium is not included in the radiation port.

Back to Top

Ovarian Cancer

Fig. 32. A and B. Sequential coronal T2-weighted MRI of the pelvis in a patient with left ovarian carcinoma. Note that the left ovary ( o) is enlarged, lobulated, irregular, and inhomogeneous with areas of high and medium signal intensities. ( u, uterus.) Volume 4, Chapter 54

Back to Top

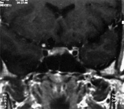
Pituitary Microadenoma

Fig. 1. Magnetic resonance imaging scan of patient with a prolactin-secreting microadenoma ( arrow ).

Back to Top

Pituitary Macroadenoma

Fig. 2. Magnetic resonance imaging scan of a patient with a prolactin-secreting macroadenoma ( arrow ).

Back to Top