X-ray Atlas | GLOWM

X-ray Atlas


OSTEOPOROSIS

Radiograph of the spine of a patient with postmenopausal (involutional) osteoporosis. A. At 51 years of age. B. At 54 years of age. The patient suffered two hip fractures in the intervening 3 years.

Back to Top

URETERAL OBSTRUCTION

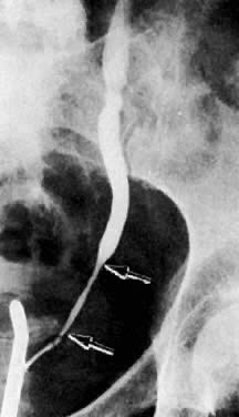
Blocking ureterogram shows narrowed area in left distal ureter ( between arrows) in a patient wtih endometrial carcinoma.

Excretory urogram shows dilated right collecting system to the ureterovesical junction in a patient with cervical carcinoma.

Back to Top

BOWEL OBSTRUCTION

Colon examination shows bowel obstruction (arrow) in sigmoid colon. Patient has advanced endometrial carcinoma.

A 62-year-old woman with cervical cancer. Small-bowel follow-through shows encasement of the distal jejunum (arrow) causing proximal obstruction.

Colon examination shows displacement of the sigmoid colon by a pelvic mass from endometrial carcinoma.

Back to Top

FISTULAS

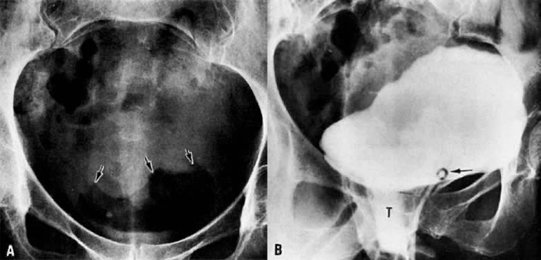
A. Plain film of abdomen. Air-filled bladder in a patient with vesicovaginal fistula. Dome of bladder is outlined with arrows. B. Cystogram. Contrast medium fills the bladder and runs onto the vaginal tampon (T) inferior to the bladder and posterior to the Foley catheter (arrow).

Barium examination of colon (lateral film). Barium flows from the rectum into the vagina and bladder. The caliber of the colon and rectum is small, and the space between the rectum and the sacrum is increased. This latter finding indicates shortening of the colon and is seen in patients with changes in the rectum caused by chronic irradiation. The lower vagina is not visualized because of coaptation of the vaginal walls after previous irradiation.

Back to Top

METASTASES

A. Bone scan shows increased radioisotope uptake in left acetabulum and ilium. B. Radiograph of pelvis shows destruction and some osteoblastic activity in left ilium and acetabular area (between arrows ). C. Bone scan 14 months after A and B shows less activity on the left than is shown in A. Osteoblastic activity at this time is much less than previously shown in A. D. Radiograph demonstrates much larger lytic areas than in B. Acetabulum and adjacent bony areas are completely destroyed. Femur is rotated, but femoral head is intact. (B, bladder.)

A. Posteroanterior chest film with metastatic lesion in left upper lung field, second anterior interspace (arrow ). B. Axial CT scan shows the lesion (arrow) projecting from the pleura.

Multiple metastatic nodules in a patient with uterine leiomyosarcoma. Note pleural effusion in the left costophrenic angle.

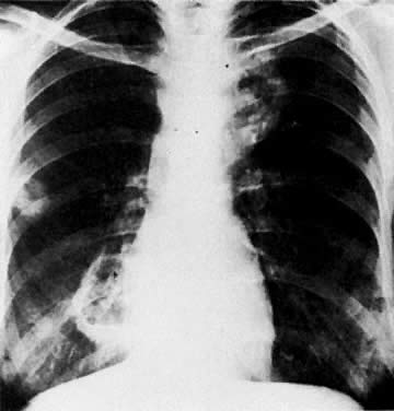
Endometrial carcinoma metastatic to both lower lung fields (lower left and lower right arrow). There is also destruction of the eighth rib (middle arrow) and an extrapleural lesion (upper arrow) on the left.

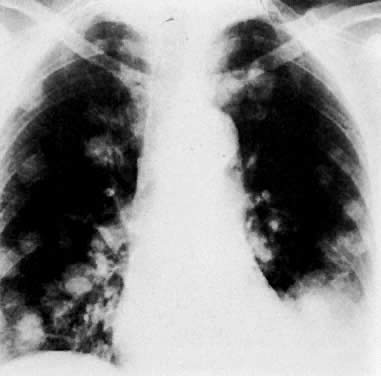
Posteroanterior chest film in a patient with metastatic cervical carcinoma shows multiple cavitating metastatic lung lesions.

Back to Top

HYSTEROSALPINGORAM

Intrauterine adhesions after induced abortion.

Back to Top